
胡美,解放军306医院,呼吸内科
从流感到肺炎的过程又有多少人清楚呢?实际上重症流感的治疗基本原则包括三个方面:一是原发病治疗,主要是指抗病毒治疗。二是支持治疗,呼吸支持是最重要的,首当其冲;如果病人有其他脏器问题,还需要其他的脏器支持治疗。三是并发症与合并症的治疗我们还是有必要全民科普以下。
重症流行性感冒诊断与治疗
一、 病原学
流感病毒属于正黏病毒科病毒。分为甲、乙、丙三型。
流感的流行病学特点为突然暴发,迅速扩散,从而造成不同程度的流行。
二、临床分型
1.单纯型流感。最常见。
2.中毒型流感。极少见。表现为高热、休克及弥漫性血管内凝血(DIC)等,病死率高。
3.胃肠型流感。除发热外,以呕吐、腹泻为显著特点,儿童多于成人。2~3天即可恢复。
三、重症病例的临床表现
1. 流感病毒性肺炎:
季节性甲型流感(H1N1、H2N2和H3N2等)所致的病毒性肺炎主要发生于婴幼儿、老年人、慢性心肺疾病及免疫功能低下者,2009年甲型H1N1流感还可在青壮年、肥胖人群、有慢性基础疾病者和妊娠妇女等人群中引起严重的病毒性肺炎,部分患者发生难治性低氧血症。人感染高致病性禽流感病毒引起的肺炎常可发展成急性肺损伤(Acute lung injury, ALI)或ARDS,病死率高。

2. 肺外表现:
⑴ 心脏损害: 心脏损伤不常见,主要有心肌炎、心包炎。可见肌酸激酶水平升高、心电图异常,而肌钙蛋白异常少见,多可恢复,重症病例可出现心力衰竭。
⑵ 神经系统损伤: 包括脑脊髓炎、横断性脊髓炎、无菌性脑膜炎、局灶性神经功能紊乱及急性感染性脱髓鞘性多发性神经根神经病(吉兰-巴雷综合征,Guillain-Barre syndrome)。
⑶ 肌炎和横纹肌溶解综合征: 在流感中罕见。主要症状有肌无力、肾功能衰竭,肌酸激酶水平升高。
危重症患者可发展为多器官功能衰竭(MODF)和DIC等,甚至死亡。
四、并发症
1. 继发细菌性肺炎: 发生率为5~15%。流感起病后2~4天病情进一步加重,或在流感恢复期病情反而加重,出现高热、剧烈咳嗽、咳脓性痰及呼吸困难,肺部可闻及湿性罗音及肺实变体征。外周血白细胞总数和中性粒细胞显著增多,以肺炎链球菌、金黄色葡萄球菌,尤其是耐甲氧西林金黄色葡萄球菌(methicillin-resistant staphylococcus aureus,MRSA)或流感嗜血杆菌等为主。
2. 其他病原菌感染所致肺炎: 包括衣原体、支原体、嗜肺军团菌及真菌(曲霉菌)等,对流感患者的肺炎经常规抗感染治疗无效时,应考虑到真菌感染的可能。
3. 其它病毒性肺炎: 常见的有鼻病毒、冠状病毒、呼吸道合胞病毒及副流感病毒等,在慢性阻塞性肺部疾病(chronic obstructive pulmonary disease,COPD)患者中发生率高,并可使病情加重,临床上难以和流感病毒引起的肺炎鉴别,相关病原学和血清学检测有助于鉴别诊断。
4. 急性脑病合并内脏脂肪变性综合征(Reye综合征): 偶见于14岁以下的儿童,尤其是使用阿司匹林等水杨酸类解热镇痛药物者。
五、
重症流感判断标准
流感病例出现下列1项或1项以上情况者为重症流感病例。
⑴ 神志改变:反应迟钝、嗜睡、躁动、惊厥等。
⑵ 呼吸困难和/或呼吸频率加快:成人及5岁以上儿童>30次/min;1岁~5岁>40次/min;2~12月龄>50次/min;新生儿~2月龄>60次/min;
⑶ 严重呕吐、腹泻,出现脱水表现;
⑷ 少尿:成人尿量<400ml/24hr;小儿尿量<0.8 ml/kg/h,或每日尿量婴幼儿<200ml/m2,学龄前儿<300ml/m2,学龄儿<400ml/m2,14岁以上儿童<17ml/h;或出现急性肾功能衰竭;
⑸ 血压<90/60 mmHg;
⑹ 动脉血氧分压(PaO2)<60 mmHg或氧合指数(PaO2/ FiO2)<300mmHg;
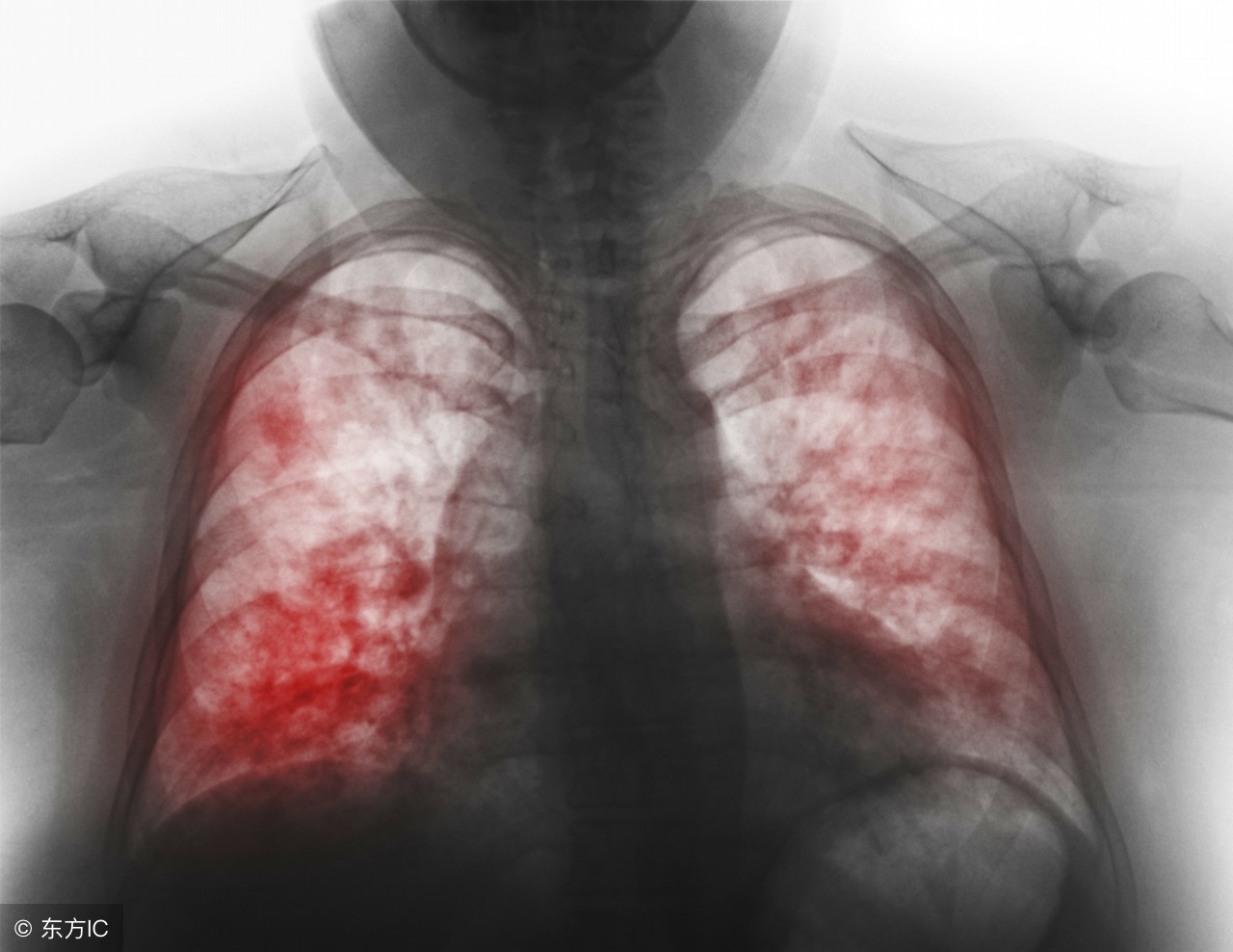
⑺ X线胸片显示双侧或多肺叶浸润影,或入院48小时内肺部浸润影扩大≥50%;
⑻ 肌酸激酶(CK)、肌酸激酶同工酶(CK-MB)等酶水平迅速升高;
⑼ 原有基础疾病明显加重,出现脏器功能不全或衰竭。
六、鉴别诊断
㈠ 普通感冒
㈡ 其他类型上呼吸道感染
包括急性咽炎、扁桃体炎、鼻炎和鼻窦炎。感染与症状主要限于相应部位。局部分泌物流感病原学检查阴性。
㈢ 下呼吸道感染
流感有咳嗽症状或合并气管支气管炎时需与急性气管支气管炎相鉴别;合并肺炎时需要与其他肺炎,包括细菌性肺炎、衣原体肺炎、支原体肺炎、病毒性肺炎、真菌性肺炎、肺结核等相鉴别。根据临床特征可作出初步判断,病原学检查可资确诊。
㈣ 其他非感染性疾病
流感还应与伴有发热,特别是伴有肺部阴影的非感染性疾病相鉴别,如结缔组织病、肺栓塞、肺部肿瘤等。

七、治疗
㈠ 抗流感病毒药物治疗
1. 神经氨酸酶*制剂抑**:对甲、乙型流感均具活性。在我国上市的有奥司他韦(Oseltamivir)和扎那米韦(Zanamivir)。
2. M2离子通道阻滞剂:仅对甲型流感病毒有抑制作用。包括金刚烷胺(Amantadine)和金刚乙胺(Rimantadine)
3. 儿童用药剂量与成人不同,疗程相同。在紧急情况下,对于大于3个月婴儿可以使用奥司他韦。即使时间超过48小时,也应进行抗病毒治疗。
㈡重症病例的治疗
治疗原则:积极治疗原发病,防治并发症,并进行有效的器官功能支持。
一)呼吸支持:
重症肺炎是流行性感冒最常见严重并发症,可以导致死亡。大约有30%的死亡病例中可见继发性细菌性感染。常见的死亡原因有呼吸衰竭、难治性休克和多器官功能衰竭。
1.氧疗:
2.机械通气:
重症流感患者病情进展迅速。从患者出现首发症状到住院的时间为2~7 天,10%~30%住院患者在住院当天或者住院1~2 天内即转到重症监护室(ICU)治疗。在这些重症患者中,肺部是最常受累的脏器之一,表现为迅速发展的重症肺炎,出现急性肺损伤(ALI)或者进展为ARDS。在需要行机械通气的重症流感患者,可参照ARDS患者通气的相关指南建议进行。
⑴ 无创正压通气:对于NIV在2009年甲型H1N1流感呼吸衰竭病例中的应用取得了良好的效果和初步的认可。
⑵ 有创机械通气:如呼吸窘迫、低氧血症、常规氧疗和无创通气失败等具体标准。
⑶ 体外膜肺(extracorporeal membrane oxygenation,ECMO):
二)循环支持:
难治性休克属于流感患者最常见的死因之一。流感患者的休克多见于感染性休克,但也可见于心源性休克。流感病毒对心脏的直接损害比较少见,但有报道流感病毒导致心肌炎和心包炎;流感病毒启动促炎因子释放,间接对心脏造成损害,使原有的心脏基础疾病加重。在重症流感病例,直接和间接的因素均可导致心源性休克。
1.感染性休克治疗:
⑴ 重视早期液体复苏。
⑵ 血管活*药性**物、正性肌力药物:
⑶ 对于依赖血管活*药性**物的感染性休克患者,可应用小剂量糖皮质激素。
⑷ ARDS并休克时,一是要积极地抗休克治疗,二是要高度重视液体管理, 在保证循环动力学稳定情况下,适当负平衡对患者有利。
2.心源性休克治疗: 应遵循ABC原则,补充血容量,血管活*药性**物应用及正性肌力药物应用,给予机械性辅助循环支持(如主动脉内球囊反搏)。
三)肾脏支持:
流感重症患者中,肾脏也是常受累的器官,表现为急性肾功能衰竭,多为肾前性和肾性因素引起。急性肾功能衰竭让患者的死亡率增加10~60%。
合并急性肾功能衰竭的ARDS患者可采用持续的静脉-静脉血液滤过或间断血液透析治疗。 肾脏替代治疗有助于合并急性肾功能不全的ARDS患者的液体管理。对血流动力学不稳定患者,持续肾脏替代治疗可能更有利。
四)糖皮质激素治疗:
糖皮质激素治疗重症流感患者,目前尚无循证医学依据。对感染性休克需要血管加压药治疗的患者可以考虑使用小剂量激素。在流感病毒感染的患者,全身大剂量的激素会带来严重的副作用,如继发感染和增加病毒的复制。因此,仅在动力学不稳定时使用,一般的剂量为氢化考的松200~300 mg/d,甲基泼尼松龙80~120 mg/d。儿童剂量:氢化可的松 5~10 mg/kg.d静点;甲基泼尼松龙1~2 mg/kg.d静点。
五)其他支持治疗:
流感病毒除了累及肺、心和肾,还可能累及全身其他脏器系统,如脑膜和神经肌肉等。此外,炎症反应可导致多器官功能障碍综合征(MODS),也是患者死亡的主要原因。

下面详细解毒重症肺炎的相关知识
重症肺炎除具有肺炎常见呼吸系统症状外, 尚有呼吸衰竭和其他系统明显受累的表现, 既可发生于社区获得性肺炎(community -acquired pneumonia, CAP),亦可发生于医院获得性肺炎(hospital acquired pneumonia, HAP)。在HAP中以重症监护病房(intensive care unit ,ICU)内获得的肺炎、呼吸机相关肺炎(ventilator associated pneumonia ,VAP)和健康护理( 医疗) 相关性肺炎(health care–associated pneumonia ,HCAP)更为常见。免疫抑制宿主发生的肺炎亦常包括其中。重症肺炎死亡率高,在过去的几十年中已成为一个独立的临床综合征,在流行病学、风险因素和结局方面有其独特的特征,需要一个独特的临床处理路径和初始的抗生素治疗。重症肺炎患者可从ICU综合治疗中获益。临床各科都可能会遇到重症肺炎患者。在急诊科门诊最常遇到的是社区获得性重症肺炎。本章重点介绍重症社区获得性肺炎。对重症院内获得性肺炎只做简要介绍。
【诊断】首先需明确肺炎的诊断。CAP 是指在医院外罹患的感染性肺实质(含肺泡壁即广义上的肺间质) 炎症,包括具有明确潜伏期的病原体感染而在入院后平均潜伏期内发病的肺炎。简单地讲,是住院48 小时以内及住院前出现的肺部炎症。CAP 临床诊断依据包括: ①新近出现的咳嗽、咳痰,或原有呼吸道疾病症状加重,并出现脓性痰; 伴或不伴胸痛。②发热。③肺实变体征和(或) 湿性啰音。④WBC > 10 ×109 / L 或< 4 ×109 / L ,伴或不伴核左移。⑤胸部X 线检查示片状、斑片状浸润性阴影或间质性改变,伴或不伴胸腔积液。以上1~4 项中任何一项加第5 项,并除外肺结核、肺部肿瘤、非感染性肺间质性疾病、肺水肿、肺不张、肺栓塞、肺嗜酸性粒细胞浸润症、肺血管炎等,可建立临床诊断。
重症肺炎通常被认为是需要收入ICU的肺炎。关于重症肺炎尚未有公认的定义。在中华医学会呼吸病学分会公布的CAP 诊断和治疗指南中将下列症征列为重症肺炎的表现: ①意识障碍; ②呼吸频率>30次/min ③PaO2<60mmHg, 氧合指数( PaO2/FiO2) <300, 需行机械通气治疗; ④血压<90/60mmHg;⑤胸片显示双侧或多肺叶受累, 或入院48h内病变扩大≥50%; ⑥少尿: 尿量<20mL/h, 或<80mL/4h,或急性肾功能衰竭需要透析治疗。HAP 中晚发性发病( 入院>5d、机械通气>4d) 和存在高危因素者, 即使不完全符合重症肺炎规定标准, 亦视为重症。
美国胸科学会(ATS) 2001年对重症肺炎的诊断标准:主要诊断标准 ①需要机械通气; ②入院48h 内肺部病变扩大≥50%; ③少尿( 每日<400mL) 或非慢性肾衰患者血清肌酐>177μmol/L( 2mg/dl) 。次要标准: ①呼吸频率>30 次/min;②PaO2/FiO2<250 ③病变累及双肺或多肺叶;④收缩压<12kPa( 90mmHg) ; ⑤舒张压<8kPa( 60mmHg) , 符合1 条主要标准或2 条次要标准即可诊断为重症肺炎。
2007年ATS 和美国感染病学会( IDSA) 制订了新的《社区获得性肺炎治疗指南》,对重症社区获得性肺炎的诊断标准进行了新的修正。主要标准:① 需要创伤性机械通气 ② 需要应用升压药物的脓毒性血症休克。 次要标准包括:①呼吸频率>30 次/min; ② 氧合指数( PaO2/FiO2) <250, ③ 多肺叶受累,④意识障碍 ⑤ 尿毒症(BUN>20 mg/dL)⑥白细胞减少症(WBC计数<4×109 /L)⑦血小板减少症(血小板计数<100×109 /L)⑧体温降低(中心体温<36℃)⑨低血压需要液体复苏。符合1条主要标准,或至少3项次要标准可诊断。
重症医院获得性肺炎(SHAP)的定义与SCAP相近。2005 年ATS 和美国感染病学会( IDSA) 制订了《成人HAP, VAP, HCAP 处理指南》。指南中界定了HCAP 的病人范围: 在90d 内因急性感染曾住院≥2d; 居住在医疗护理机构; 最近接受过静脉抗生素治疗、化疗或者30d 内有感染伤口治疗; 住过一家医院或进行过透析治疗。因为HCAP患者往往需要应用针对多重耐药(MDR)病原菌的抗菌药物治疗,故将其列入HAP 和VAP 的范畴内。
【临床表现】 重症肺炎可急性起病,部分病人除了发热、咳嗽、咳痰、呼吸困难等呼吸系统症状外,可在短时间内出现意识障碍、休克、肾功能不全、肝功能不全等其他系统表现。少部分病人甚至可没有典型的呼吸系统症状,容易引起误诊。也可起病时较轻,病情逐步恶化,最终达到重症肺炎的标准。在急诊门诊遇到的主要是重症CAP患者,部分是HCAP患者。重症CAP的最常见的致病病原体有:肺炎链球菌、金黄色葡萄球菌、军团菌、革兰氏阴性杆菌、流感嗜血杆菌等,其临床表现简述如下:
⑴肺炎链球菌 为重症CAP最常见的病原体,占30%~70%。呼吸系统防御功能损伤(酒精中毒、抽搐和昏迷)可是咽喉部大量含有肺炎链球菌的分泌物吸入到下呼吸道。病毒感染和吸烟可造成纤毛运动受损,导致局部防御功能下降。充血性心衰也为细菌性肺炎的先兆因素。脾切除或脾功能亢进的病人可发生暴发性的肺炎链球菌肺炎。多发性骨髓瘤、低丙种球蛋白血症或慢性淋巴细胞白血病等疾病均为肺炎链球菌感染的重要危险因素。典型的肺炎链球菌肺炎表现为肺实变、寒战,体温大于39.4℃,多汗和胸膜痛疼,多见于原先健康的年轻人。而老年人中肺炎链球菌的临床表现隐匿,常缺乏典型的临床症状和体征。典型的肺炎链球菌肺炎的胸部Ⅹ线表现为肺叶、肺段的实变。肺叶、肺段的实变的病人易合并菌血症。肺炎链球菌合并菌血症的死亡率为30%~70%,比无菌血症者高9倍。
⑵金葡菌肺炎 为重症CAP的一个重要病原体。在流行性感冒时期,CAP中金葡菌的发生率可高达25%,约50%的病例有某种基础疾病的存在。呼吸困难和低氧血症较普遍,死亡率为64%。胸部Ⅹ线检查常见密度增高的实变影。常出现空腔,可见肺气囊,病变变化较快,常伴发肺脓肿和脓胸。MRSA(耐甲氧西林金葡菌)为CAP中较少见的病原菌,但一旦明确诊断,则应选用万古霉素治疗。
⑶革兰氏阴性菌CAP 重症CAP中革兰氏阴性菌感染约占20%,病原菌包括肺炎克雷白杆菌、不动感菌属、变形杆菌和沙雷菌属等。肺炎克雷白杆菌所致的CAP约占1%~5%,但其临床过程较为危重。易发生于酗酒者、慢性呼吸系统疾病病人和衰弱者,表现为明显的中毒症状。胸部X线的典型表现为右上叶的浓密浸润阴影、边缘清楚,早期可有脓肿的形成。死亡率高达40%~50%。
⑷非典型病原体 在CAP中非典型病原体所致者占3%~40%。大多数研究显示肺炎支原体在非典型病原体所致CAP中占首位,在成人中占2%~30%,肺炎衣原体占 6%~22%,嗜肺军团菌占2%~15%。但是肺炎衣原体感染所致的CAP,其临床表现相对较轻,死亡率较低。肺炎衣原体可表现为咽痛、声嘶、头痛等重要的非肺部症状,其他可有鼻窦炎、气道反应性疾病及脓胸。肺炎衣原体可与其他病原菌发生共同感染,特别是肺炎链球菌。老年人肺炎衣原体肺炎的症状较重,有时可为致死性的。肺炎衣原体培养、DNA检测、PCR、血清学(微荧光免疫抗体检测)可提示肺炎衣原体感染的存在。军团菌肺炎 占重症CAP病例的12%~23%,仅次于肺炎链球菌,多见于男性、年迈、体衰和抽烟者,原患有心肺疾病、糖尿病和肾功能衰竭者患军团菌肺炎的危险性增加。军团菌肺炎的潜伏期为2~10天。病人有短暂的不适、发热、寒战和间断的干咳。肌痛常很明显,胸痛的发生率为33%,呼吸困难为60%。胃肠道症状表现显著,恶心和腹痛多见,33%的病人有腹泻。不少病人还有肺外症状,急性的精神神志变化、急性肾功能衰竭和黄疸等。偶有横纹肌炎、心肌炎、心包炎、肾小球肾炎、血栓性血小板减少性紫癜。50%的病例有低钠血症,此项检查有助于军团菌肺炎的诊断和鉴别诊断。军团菌肺炎的胸部Ⅹ线表现特征为肺泡型、斑片状、肺叶或肺段状分布或弥漫性肺浸润。有时难以与ARDS区别。胸腔积液相对较多。此外,20%~40%的病人可发生进行性呼吸衰竭,约15%以上的病例需机械通气。
⑸流感嗜血杆菌肺炎 约占CAP病例的8%~20%,老年人和COPD病人常为高危人群。流感嗜血杆菌肺炎发病前多有上呼吸道感染的病史,起病可急可慢,急性发病者有发热、咳嗽、咳痰。COPD病人起病较为缓慢,表现为原有的咳嗽症状加重。婴幼儿肺炎多较急重,临床上有高热、惊厥、呼吸急促和紫绀,有时发生呼吸衰竭。听诊可闻及散在的或局限的干、湿性罗音,但大片实变体征者少见。胸部X线表现为支气管肺炎,约1/4呈肺叶或肺段实变影,很少有肺脓肿或脓胸形成。
[6]卡氏孢子虫肺炎(PCP) PCP仅发生于细胞免疫缺陷的病人,但PCP仍是一种重要的肺炎,特别是HIV感染的病人。PCP常常是诊断AIDS的依据。PCP的临床特征性表现有干咳、发热和在几周内逐渐进展的呼吸困难。病人肺部症状出现的平均时间为4周,PCP相对进展缓慢可区别于普通细菌性肺炎。PCP的试验室检查异常包括:淋巴细胞减少,CD4淋巴细胞减少,低氧血症,胸部X线片显示双侧间质浸润,有高度特征的“毛玻璃”样表现。但30%的胸片可无明显异常。PCP为唯一有假阴性胸片表现的肺炎 。
【辅助检查】
1.病原学:
⑴诊断方法 包括血培养、痰革兰氏染色和培养、血清学检查、胸水培养、支气管吸出物培养、或肺炎链球菌和军团菌抗原的快速诊断技术。此外,可以考虑侵入性检查,包括经皮肺穿刺活检、经过防污染毛刷(PSB)经过支气管镜检查或支气管肺泡灌洗(BAL)。
①血培养 一般在发热初期采集,如已用抗菌药物治疗,则在下次用药前采集。采样以无菌法静脉穿刺,防止污染。成人每次10~20ml,婴儿和儿童0.5~5ml。血液置于无菌培养瓶中送检。24小时内采血标本3次,并在不同部位采集可提高血培养的阳性率。

在大规模的非选择性的因CAP住院的病人中,抗生素治疗前的血细菌培养阳性率为5%-14%,最常见的结果为肺炎球菌。假阳性的结果 ,常为凝固酶阴性的葡萄球菌。
抗生素治疗后血培养的阳性率减半,所以血标本应在抗生素应用前采集。但如果有菌血症高危因素存在时,初始抗生素治疗后血培养的阳性率仍高达15%。因重症肺炎有菌血症高危因素存在,病原菌极可能是金葡菌、铜绿假单胞菌和其他革兰氏阴性杆菌,这几种细菌培养的阳性率高,重症肺炎时每一位病人都应行血培养,这对指导抗生素的应用有很高的价值。另外,细菌清除能力低的病人(如脾切除的病人)、慢性肝病的病人、白细胞减少的病人也易于有菌血症,也应积极行血培养。
②痰液细菌培养 嘱病人先行漱口,并指导或辅助病人深咳嗽,留取脓性痰送检。约40%病人无痰,可经气管吸引术或支气管镜吸引获得标本。标本收集在无菌容器中。痰量的要求,普通细菌>1ml,真菌和寄生虫3~5ml, 分支杆菌5~10ml。标本要尽快送检,不得超过2小时。延迟将减少葡萄球菌、肺炎链球菌以及革兰氏阴性杆菌的检出率。在培养前必须先挑出脓性部分涂片作革兰氏染色,低倍镜下观察,判断标本是否合格。镜检鳞状上皮>10个/低倍视野就判断为不合格痰,即标本很可能来自口咽部而非下呼吸道。多核细胞数量对判断痰液标本是否合格意义不大,但是纤毛柱状上皮和肺泡巨噬细胞的出现提示来自下呼吸道的可能性大。
痰液细菌培养的阳性率各异,受各种因素的影响很大。痰液培养阳性时需排除污染和细菌定植。与痰涂片细菌是否一致、定量培养和多次培养有一定价值。在气管插管后立即采取的标本不考虑细菌定植。痰液培养结果阴性也并不意味着无意义:合格的痰标本分离不出金葡菌或革兰氏阴性杆菌就是排除这些病原菌感染的强有力的证据。革兰氏染色阴性和培养阴性应停止针对金葡菌感染的治疗。
③ 痰涂片染色 痰液涂片革兰氏染色可有助于初始的经验性抗生素治疗,其最大优点是可以在短时间内得到结果并根据染色的结果选用针对革兰氏阳性或阴性细菌的抗生素;涂片细菌阳性时常常预示着痰培养阳性;涂片细菌与培养出的细菌一致时,可证实随后的痰培养出的细菌为致病菌。结核感染时抗酸染色阳性。真菌感染时痰涂片可多次查到霉菌或菌丝。痰液涂片在油镜检查时见到典型的肺炎链球菌或流感嗜血杆菌有诊断价值。
④其他 在军团菌的流行地区或有近期2周旅行的病人,除了常规的培养外,需要用缓冲碳酵母浸膏作军团菌的培养。尿抗原检查可用肺炎球菌和军团菌的检测。对于成人肺炎球菌肺炎的研究表明敏感性50%-80%,特异性90%,不受抗生素使用的影响。对军团菌的检测,在发病的第一天就可阳性,并持续数周,但血清型1以外的血清型引起的感染常被漏诊。快速流感病毒抗原检测阳性可考虑抗病毒治疗。肺活检组织细菌培养、病理及特殊染色是诊断肺炎的金标准。
⑵ 细菌学监测结果(通常细菌、非典型病原体)诊断意义的判定如下:
1) 确定
①血或胸液培养到病原菌
②经纤维支气管镜或人工气道吸引的标本培养到病原菌浓度≥105cfu/ml(半定量培养++)、支气管肺泡灌洗液(BALF)标本≥104cfu/ml(半定量培养+~++)、防污染毛刷样本(PSB)或防污染BAL标本103cfu/ml(半定量培养+)。
③呼吸道标本培养到肺炎支原体或血清抗体滴度呈4倍以上提高;
④血清肺炎衣原体抗体滴度呈4倍或4倍以上提高;
⑤血清中军团菌直接荧光抗体阳性且抗体滴度4倍升高,或尿中抗原检测为阳性可诊断军团菌;
⑥从诱生痰液或支气管肺泡灌洗液中发现卡氏肺孢子虫;
⑦血清或尿的肺炎链球菌抗原测定阳性;
⑧痰中分离出结核分枝杆菌。

2)有意义
①合格痰标本培养优势菌中度以上生长(≥+++);
②合格痰标本少量生长,但与涂片镜检结果一致(肺炎链球菌、流感杆菌、卡他莫拉菌);
③入院3天内多次培养到相同细菌;
④血清肺炎衣原体抗体滴度≥1:32
⑤血清中嗜肺军团菌试管凝聚试验抗体滴度一次高达1:320或间接荧光试验≥1:320或4倍增高达1:128。
3)无意义
①痰培养有上呼吸道正常菌群的细菌(如草绿色链球菌、表皮葡萄球菌、非致病奈瑟菌、类白喉杆菌等);
②痰培养为多种病原菌少量生长。
2.影像学检查 影像学检查是诊断肺炎的重要指标,也是判断重症肺炎的重要指标之一。肺炎的影像学表现:片状、斑片状浸润性阴影或间质性改变,伴或不伴胸腔积液。影像学出现多叶或双肺改变、或入院48h内病变扩大≥50%,提示为重症肺炎。由于表现具有多样性,特异性较差。但影像改变仍对相关病原菌具有一定的提示意义(见表1)。
表1 肺炎常见的X线表现和相关病原菌
|
X线表现 相关病原菌 |
|
肺叶或肺段实变 肺炎链球菌、肺炎克雷白杆菌、流感嗜血杆菌 其他革兰氏阴性杆菌 有空洞的浸润影 (多个时)金黄色葡萄球菌、结核菌、革兰氏阴性杆菌 浸润影加胸腔积液 肺炎链球菌、金黄色葡萄球菌、厌氧菌、革兰氏阴性杆菌、化脓性链球菌 多种形态的浸润影 肺炎支原体、病毒、军团菌 (斑片状或条索状) 弥漫性间质浸润影 军团菌、病毒、卡氏肺孢子虫 |
3.血常规和痰液检查 细菌性肺炎血白细胞计数多增高,中性粒细胞多在80%以上,并有核左移;年老体弱及免疫力低下者的白细胞计数常不增高,但中性粒细胞的比率仍高。痰呈黄色、黄绿色或黄褐色脓性混浊痰,痰中白细胞显著增多,常成堆存在,多为脓细胞。病毒性肺炎白细胞计数一般正常,也可稍高或偏低。继发细菌感染时白细胞总数和中性粒细胞可增高。痰涂片所见的白细胞以单核细胞为主;痰培养常无致病菌生长;如痰白细胞核内出现包涵体,则提示病毒感染。在重症肺炎时可因骨髓抑制出现白细胞减少症(WBC计数<4×109 /L)或血小板减少症(血小板计数<100×109 /L)。二者均提示预后不良,是诊断重症肺炎的2个次要标准。在感染控制、病程好转后可恢复。

4.血气分析:肺炎时由于发热、胸痛或病人焦虑可出现呼吸次数加快,病人可出现呼吸性碱中毒,PaCO2降低。 重症肺炎时由于通气-血流比例失调、肺内分流增加、弥散功能异常等可出现严重的低氧血症,PaO2小于60mmHg,出现I型呼吸衰竭。痰液过多致气道堵塞、呼吸浅慢或停止、以往有COPD时可表现为Ⅱ型呼吸衰竭,PaO2降低,小于60mmHg,并伴有PaCO2>50mmHg。
5.其他检查:可有血沉增快、C-反应蛋白升高、血清碱性磷酸酶积分改变等提示细菌感染的变化。肾功能不全时可有尿改变及血清尿素氮、肌酐升高,尿量<20mL/h, 或<80mL/4h、血清肌酐>177μmol/L( 2mg/dl) BUN>20 mg/dL可提示为重症肺炎。另外也可有肝功能异常;由于病人进食差、消耗增加,常可有低蛋白血症存在。心肌损害可有心肌酶的增高及心电图的改变。
【鉴别诊断】重症肺炎可以表现不典型,而许多非肺炎的疾病的表现可类似典型肺炎,鉴别诊断具有重要意义。
1.表现不典型的重症肺炎的鉴别:
⑴ 脑炎或脑膜炎等:老年人的重症肺炎可无典型的肺炎表现,可无咳嗽,甚至无发热,仅表现为意识障碍,如谵妄、淡漠或昏迷。易被误诊为脑炎或脑膜脑炎。胸片应作为常规检查,以明确是否肺炎、是否有肺部并发症。早期的粟粒性肺结核、部分卡氏孢子虫肺炎胸片可正常,应提高警惕,仔细除外。脑CT、脑脊液检查也是必须的,出现异常支持脑炎、脑膜炎的诊断。但结核性脑膜炎常有肺结核存在,脑隐球菌感染常有肺部隐球菌感染,应引起注意。病人有头痛、呕吐时也可误诊为脑血管病,脑CT检查可助鉴别。
⑵急腹症:肺炎累及膈胸膜可引起上腹痛,易被误诊为急性胆囊炎、急性胰腺炎、消化性溃疡等。病情重时才就诊检查可出现淀粉酶升高、肝功损害、黄疸、麻痹性肠梗阻等,使鉴别更困难。对于多系统损害病人应警惕重症肺炎,胸片检查必不可少。
2.同肺炎表现相似的疾病的鉴别:
⑴ 肺栓塞:有发热的肺栓塞因有胸痛、多发肺部阴影、呼吸困难、低氧血症、白细胞增高等很容易误诊为重症肺炎。诊断要点关键在于对有肺栓塞高危因素的病人提高警惕,对有下肢深静脉血栓形成、卧床、手术后病人应行心脏超声肺动脉压估测、CT肺动脉造影、肺通气-灌注扫描等明确诊断。
⑵ 风湿性疾病引起的肺病变:如皮肌炎、SLE、类风湿关节炎、血管炎等,有时全身表现不明显,影像表现同肺炎不能区别。有关抗体检测或组织活检病理有助于鉴别。
⑶ 肿瘤:肺肿瘤、淋巴瘤、白血病肺浸润等都可表现为发热、肺浸润影,必要时行病理、骨髓细胞学等检查。
⑷过敏性肺炎:急性病人在吸入大量抗原4~12小时后出现胸闷、、呼吸困难和干咳,并伴有发热、寒战、乏力、头痛和躯体痛等全身症状。双肺可闻及湿罗音,部分可有哮鸣音和紫绀。双肺小结节影或者斑片状浸润影。血气分析可有低氧血症。吸入激发试验有助诊断。抗原接触史对诊断具有重要意义。
【治疗】判断病情对治疗极为重要。判断病情的轻重有不同的方法,比较简便有效的是CURB-65评分。由意识障碍(confusion)、尿素氮升高(BUN >20 mg/dL)、呼吸频率加快(respiratory rate>30 breaths/min)、低血压 (blood pressure <90/60 mmHg),和年龄大于 65 岁5条组成,每条评1分。评分为0分,1分,2分时30天的死亡率分别为0.7%, 2.1%, 9.2%。当评分为3分,4分,5分时30天死亡率分别为14.5%, 40%, 57%。临床符合重症肺炎的标准,也提示病情重,需在ICU病房监护下治疗。一些研究表明,在住院后24~48小时才转到ICU的CAP病人死亡率和致残率高于那些直接收住ICU的CAP病人。相反地,不能从ICU治疗中直接获益的病人被收入ICU,资源也常可被不适当占用。判断CAP的严重程度,确定那些病人需要入住ICU仍旧是一个问题。但强调应动态评估病情:急性肺炎是病情发展变化较快的疾病,特别是起病的初期和应用抗生素治疗后。应分别在入院时 、入院前24小时内、在疾病过程中(24小时后)对病情进行评估。重症肺炎的死亡率居高不下,有人认为对重症肺炎重视程度应等同于心肌梗死、脑卒中。
重症肺炎的治疗包括抗菌药物治疗、呼吸支持、营养支持、加强痰液引流、以及免疫调节、防治多器官系统功能衰竭等。重症肺炎易出现多器官系统功能衰竭,有效的抗生素初始治疗是治疗的核心,可预防出现多器官系统功能衰竭。
1.抗生素的治疗
(1)社区获得性肺炎的抗生素治疗 第一次抗生素应在急诊科留取细菌培养标本后尽早给预。制定早期经验性抗生素治疗方案必须根据总的流行病学类型来制定,即基本的抗生素的初始方案应该根据具体病人的风险因素来进行调整,然后再根据微生物学调查结果调整:
1)在肺炎链球菌的耐药率低(<5%)的地区,常规抗生素治疗应包括以下联合治疗:二代头孢菌素(如头孢呋辛)或氨基青霉素加β内酰胺酶*制剂抑**加红霉素,或者选用三代头孢菌素(如头孢噻肟或头孢三嗪)。
2)当在特殊合并情况时,这种抗生素的基本方案应做相应调整
①对于存在肺脏合并症,如COPD或支气管扩张的病人,治疗中应包括GNEB或铜绿假单胞菌。四代头孢菌素如头孢吡肟和头孢匹罗可以覆盖这些病原体,也能覆盖青霉素耐药性肺炎链球菌,而且,联合用红霉素时,是这种情况下的合理选择。如果高度怀疑铜绿假单胞菌感染,应考虑给预抗假单胞菌的联合治疗,如β内酰胺类(头孢他定、头孢吡肟、亚胺培南)和加氨基糖苷类(最好是妥布霉素或阿米卡星)加红霉素或用一种β内酰胺类加环丙沙星(或曲伐沙星)。
②对于长期卧床病人,存在吸入性肺炎的风险,尤其是那些神经系统病变的病人,抗生素治疗应覆盖金黄色葡萄球菌和厌氧菌。此时不应选用二代头孢菌素,而应选择氨基青霉素加β内酰胺酶*制剂抑**或克林霉素。另外亚胺培南也有效。
③当存在特殊病原体的风险因素时,也应考虑修改抗生素的基本方案:先前的抗生素治疗超过48小时,应考虑GNEB感染。对于从护理院收入的老年病人,治疗也应覆盖GNEB。应选择三代头孢菌素,而不是二代头孢菌素。尤其是在青霉素和头孢菌素耐药率高的地区更是如此。另外,四代头孢菌素也是不错的选择。在军团菌发病率高的地区,应考虑加用利福平。在冬春季节,当由流感病毒引起的肺炎较多时,应考虑到金黄色葡萄球菌感染,因此应使用二代头孢菌素或氯唑西林。
④如果已知当地的微生物类型和易感性,应根据这些类型另外调整抗生素用药。
3)2007年ATS建议需ICU住院的CAP病人的治疗:
①一种β内酰胺类(头孢噻肟, 头孢曲松, 或氨苄西林/舒巴坦)加阿奇霉素或一种氟喹诺酮。对青霉素过敏的病人,推荐呼吸喹诺酮类和氨曲南。
②对假单胞菌感染,用一种抗球菌 、抗假单胞菌 β- 内酰胺类(哌拉西林-他唑巴坦, 头孢吡肟, 亚胺培南, 或美罗培南 )加环丙沙星或左氧氟沙星(750mg /d) 或以上的β- 内酰胺类加氨基糖苷类和阿奇霉素,或以上的β- 内酰胺类加一种氨基糖苷类和抗肺炎球菌的氟喹诺酮类(对青霉素过敏的病人,可用氨曲南替换以上的β- 内酰胺类)。
③如果考虑CA-MRSA 加万古霉素或利奈唑烷。
(2) 医院获得性肺炎的抗生素治疗
初始经验性治疗选择抗菌素要根据HAP患者的分组,一组为住院后早发的、没有MDR 病原体感染危险因素者, 其可能的病原体包括肺炎链球菌、流感嗜血杆菌、甲氧西林敏感金黄色葡萄球菌(M SSA )、敏感的肠杆菌科阴性杆菌(大肠杆菌、肺炎克雷伯杆菌、变形杆菌和沙雷杆菌) , 可分别选用头孢曲松、左氧沙星(或莫西沙星、环丙沙星)、氨苄西林/舒巴坦、艾他培南治疗; 另一组则为晚发的、有MDR 感染的危险因素者, 其可能病原体包括PA、产超广谱B内酰胺酶(ESBLs) 的肺炎克雷伯杆菌、不动杆菌属、MRSA、军团菌, 怀疑为前三者, 可选用具有抗绿脓活性的头孢菌素(头孢吡肟、头孢他啶) , 或具有抗绿脓活性的碳青霉烯类(亚胺培南或美洛培南) , 或β-内酰胺类/β-内酰胺酶*制剂抑**(哌拉西林/他唑巴坦)+ 具有抗绿脓活性的氟喹诺酮类(环丙沙星或左氧沙星) 或氨基糖甙类(丁胺卡那、庆大霉素、妥布霉素) 联合治疗, 后两者可分别选用利奈唑烷或万古霉素、大环内脂类或氟喹诺酮类治疗。重度HA P 常见病原体包括铜绿假单胞菌、不动杆菌、肺炎克雷伯杆菌、肠杆菌科细菌和MRSA。怀疑这些病原体感染者, 在初始治疗时应联合用药, 具体使用哪一种抗生素应依据当地或本单位的抗生素敏感性情况、药物的副作用、患者过去两周内用药情况等因素综合考虑, 尽量不选择已经使用过的抗生素。治疗中要尽可能增加对不同病原体的覆盖, 联合应用碳青霉烯类、阿米卡星和万古霉素是覆盖面最广的用药方案。如果要覆盖ICU 内引起VA P 最常见的两种病原体PA 和MRSA , 需联合应用万古霉素、一种碳青霉烯类和一种氟喹诺酮类, 这种方案可覆盖90% 以上的病原体。如果患者是在应用抗生素治疗其他部位感染期间发生了HA P, 经验性选药应选择另一种不同类型的抗生素。
(3)对抗生素疗效的评估和处理
如果微生物培养结果证实为耐药菌或是没有预计到的病原体感染, 并且患者对治疗没有反应, 则应对已选择的抗生素进行调整。如果培养结果与预计的MDR 病原体不符, 也不是铜绿假单胞菌 或不动杆菌感染, 或细菌对更窄谱抗生素敏感, 则应降阶梯或选用窄谱抗生素治疗。初始治疗有效时, 通常在治疗48~72h 后临床有改善, 不应调整用药。如治疗没有反应, 且病情恶化较快, 则要调整抗生素, 增加对病原体的覆盖面, 等待培养结果和其他诊断数据。治疗3d 后临床情况没有改善, 可认为治疗无效, 应对病情重新评估: 对病原体的估计是否错误, 是否系耐药病原体, 诊断是否有误, 是否为非感染因素所致, 有无肺外感染的证据(肺不张、肺栓塞、ARDS、肺出血症、基础疾病、肿瘤) , 是否出现了并发症(肺脓肿、机会菌感染, 药物热等)。影像学检查有助于发现治疗失败的原因, 侧卧位X线胸片、超声、肺CT 能发现可能的胸腔积液, 除外肺脓肿等。对于低血压、需液体复苏的重症CAP病人需要警惕隐性肾上腺功能不全。
2.其他治疗
(1)机械通气:
机械通气用于治疗严重低氧血症通过吸氧不能改善者。在需要机械通气的重症肺炎中,严重低氧血症的主要病理生理机制是存在肺内分流和通气-血流比例失调,通气-血流比值降低。轻到中度肺炎的病人分流量达到心输出量的10%以上,低通气-血流比值的区域达到血流量的10%以上。需要机械通气的病人,肺内分流量和低通气-血流比值的区域都达到心输出量的50%。死腔增加到肺泡通气量的60%。平均肺动脉压可能轻到中度增高(到35mmHg)。这些气体交换障碍,部分原因是由于精氨酸等舒血管性代谢产物的释放,部分地抵消了缺氧性肺血管的收缩。对不需要立即插管的低氧血症或呼吸窘迫病人,可试用NIV(无创通气)。在COPD病人可减少25%的插管需要。咳痰无力、痰多限制了NIV的应用。在最初的1~2小时内,呼吸次数、氧合未改善,PaCO2 未下降,需及时改用有创通气。对需要插管的病人,延长NIV时间会增加不良结局。NIV对ARDS没有益处,而双肺肺泡浸润的CAP病人与ARDS几乎不能鉴别。对于有严重低氧血症的病人(PaO2/FiO2 <150)也不适合NIV。因此,对PaO2/FiO2 <150、双肺肺泡浸润病人应及时插管,行有创通气。对双侧弥漫性肺炎和ARDS应低潮气量通气(6ml/kg理想体重)。经供氧和机械通气仍难以缓解的严重或难治的低氧血症,临床上对于单侧肺炎,调整病人体位到“健侧肺向下”,通过使通气好的区域增加血流量,可以使PaO2平均增加10~15mmHg。同样的道理,对于病变主要位于双肺背部的病人可进行俯卧位通气。
(2)抗炎药物:给予抗炎药物,环氧合酶*制剂抑**,如阿斯匹林和消炎痛,可以逆转对缺氧性肺血管收缩的部分抵消作用。接受消炎痛治疗的病人,有一半病人的PaO2明显改善,但也有研究显示阿斯匹林可以轻度改善肺内分流,而动脉氧合作用没有明显变化。因此这类抗炎药物改善低氧血症的作用仍无定论。
(3)前列腺素雾化吸入:低剂量的前列腺素雾化吸入,可以允许肺内通气-血流比值正常的肺泡区的血管舒张,表明可以减少肺内分流和肺动脉高压,而不会引起心输出量的变化,因此,可以使PaO2平均增加20mmHg 。
(4)氧化亚氮(NO):主要在成人呼吸窘迫的病人中研究了吸入少量NO的作用。吸入少量NO可引起选择性的肺动脉血管扩张,以及通过减少肺内分流,可改善动脉氧合作用。在一项对单侧重症肺炎的初步研究中,NO表现出良好效果,使PaO2平均增加20mmHg。但不论是雾化前列腺素还是雾化NO,都需要研究更多的例数、远期效应和这种方法对重症肺炎的结局的影响。
(5)免疫调节(粒细胞集落刺激因子):这种治疗的原理是通过增强多形核白细胞的肺内趋化以及其对细菌病原体的杀菌活性,调节免疫反应。用G-CSF治疗重症肺炎和败血症病人,在降低死亡率和器官衰竭方面都有良好效果趋势。在最近一项关于中性粒细胞减少重症肺炎病人的单相研究中,当用G-CSF75~600μg/d 的剂量,联合适当的抗生素治疗时,G-CSF治疗是安全的。
(6) 重组活化蛋白C (rhAPC): 对于死亡危险性高的患者(APACHEⅡ≥25分、感染导致多器官功能衰竭、感染性休克或感染导致的急性呼吸窘迫综合征)推荐使用, 出血性疾病不是使用rhAPC的绝对禁忌证。治疗费用高使其应用受到限制。
(7)感染性休克的治疗 补充血容量,以维持收缩压90~100mmHg,脉压差大于30mmHg,尿量大于30ml/h,中心静脉压4.4~7.4mmHg; 应用血管活*药性**物,如多巴胺、间羟胺、去甲肾上腺素和山莨菪碱;糖皮质激素在病情重、经补液升压药治疗血压不恢复者,可在应用适合抗生素的基础上使用氢化可的松100~200mg或地塞米松5~10mg静滴,病情好转后停药;纠正水、电解质和酸碱平衡紊乱;纠正心力衰竭。
(8)肾功能不全:避免应用肾毒*药性**物,行血液透析等治疗。


\u91cd\u75c7\u80ba\u708e\u8bca\u7597\u539f\u5219,\u8bca\u65ad\u6807\u51c6\u4e0e\u75c5\u60c5\u8bc4\u4f30,coNTENTS,\u75c5\u539f\u5b66\u4f9d\u636e\u4e0e\u6297\u83cc\u836f\u7269\u5e94\u7528\u539f\u5219,\u8425\u517b\u652f\u6301\u3001,\u6db2\u4f53\u590d\u82cf\u3001\u514d\u75ab\u8c03\u8282", "web_uri": "616f00008c1d92faf870", "width": 960}">
























