胸部CT
肺窗
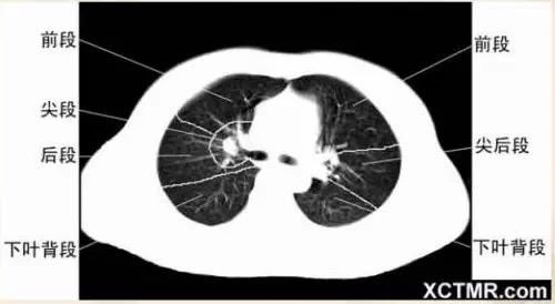
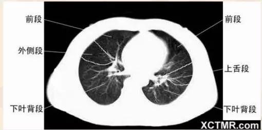
肺段划分






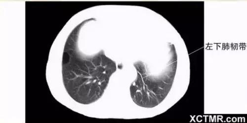
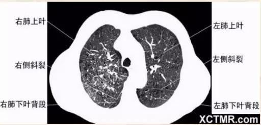
奇叶-奇静脉弓-胸膜分布








气管分叉层面

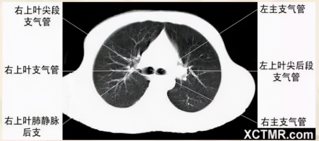
右上叶支气管层面

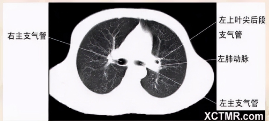
左主支气管层面

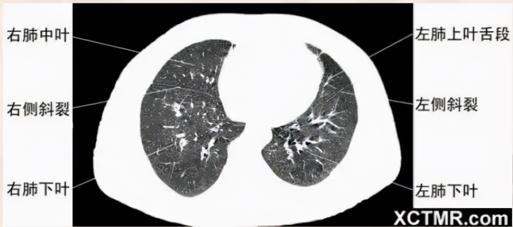
右中叶支气管层面

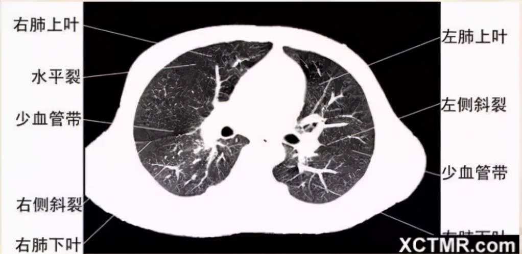
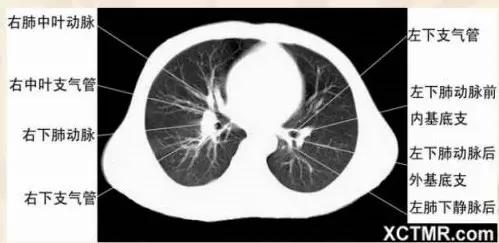
右基底支气管层面

纵膈窗
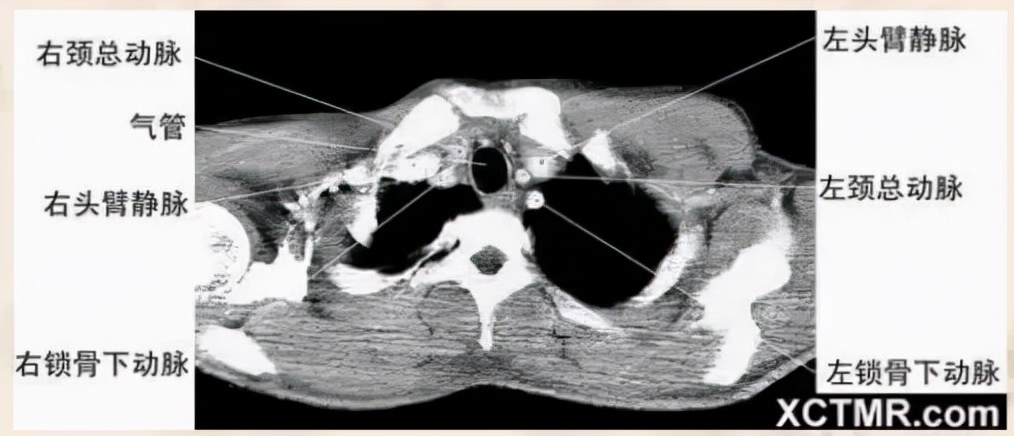
胸骨切迹层面

主动脉弓上层面

主动脉弓层面

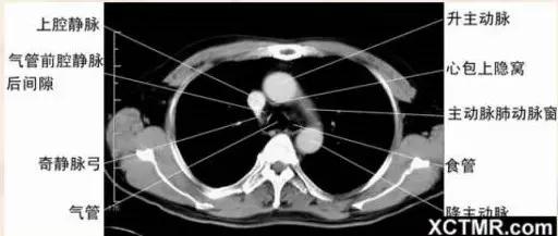
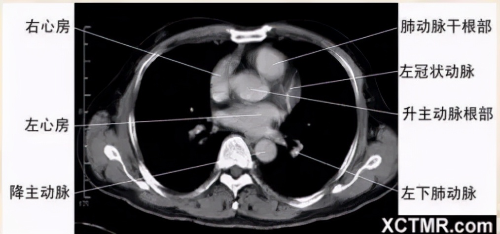
主肺动脉窗层面

气管分叉层面

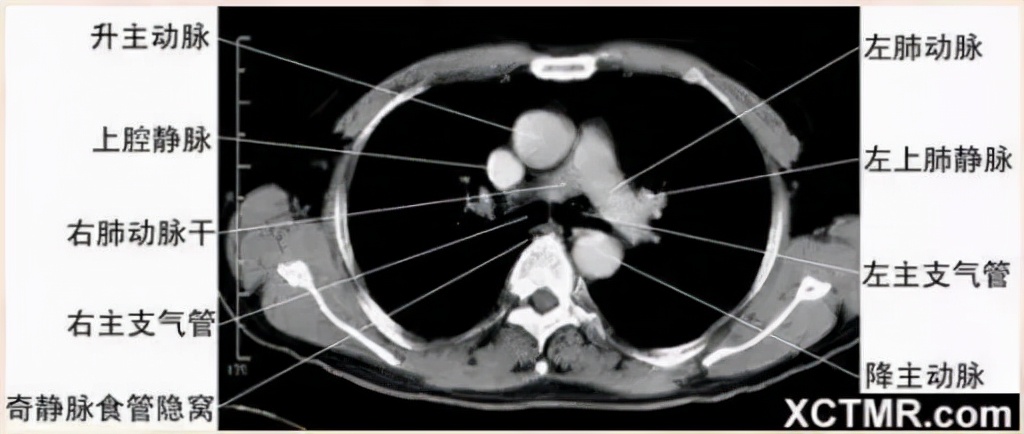
右肺动脉层面

左心房层面

左右房室层面

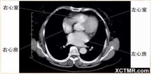
心室层面

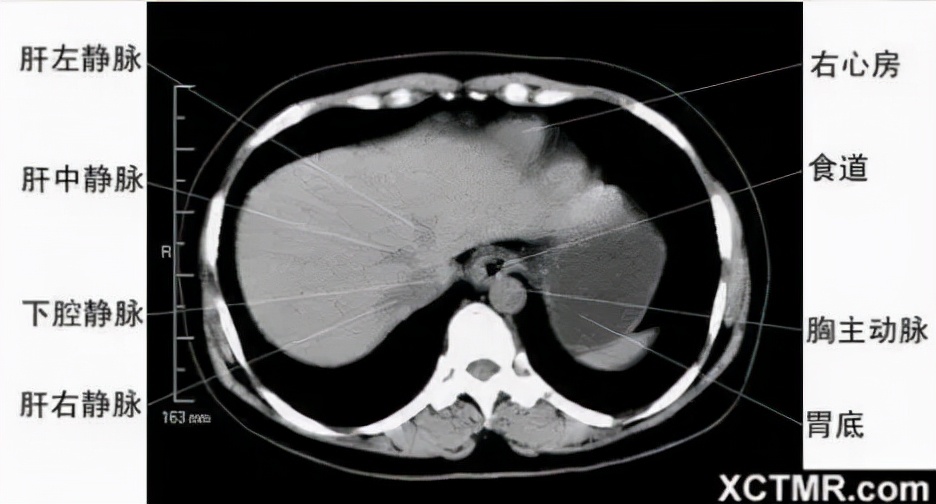
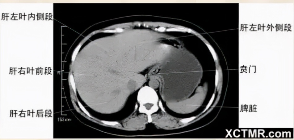
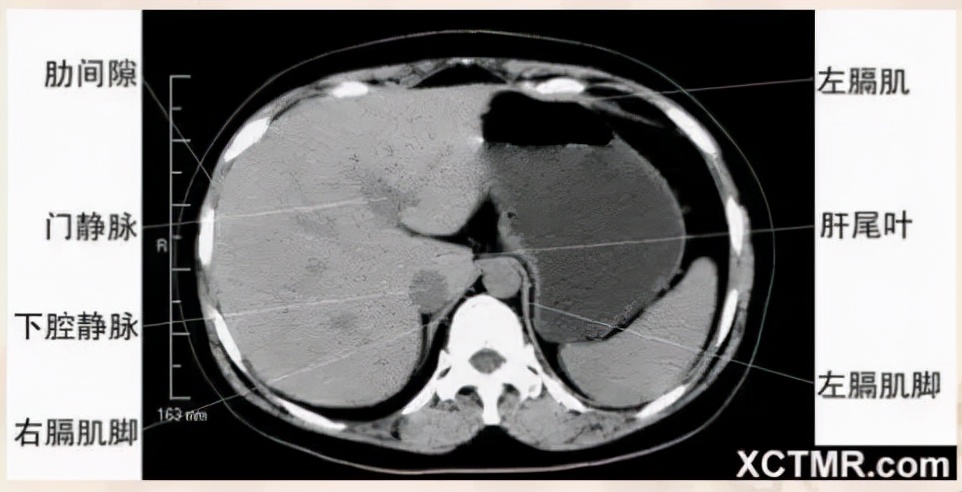
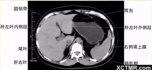
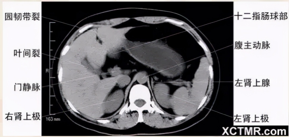
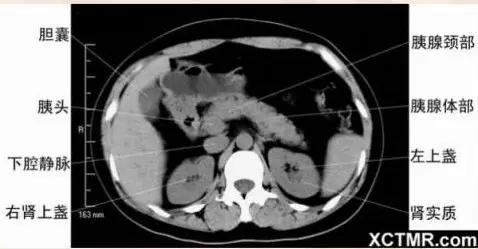
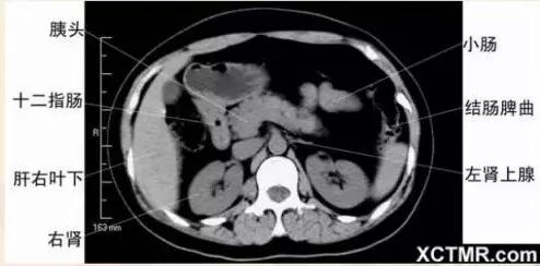
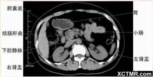
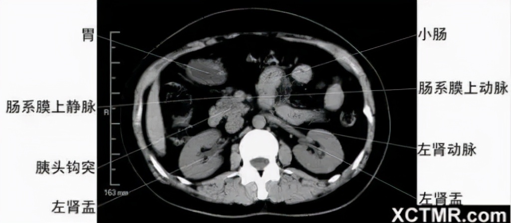
腹部CT










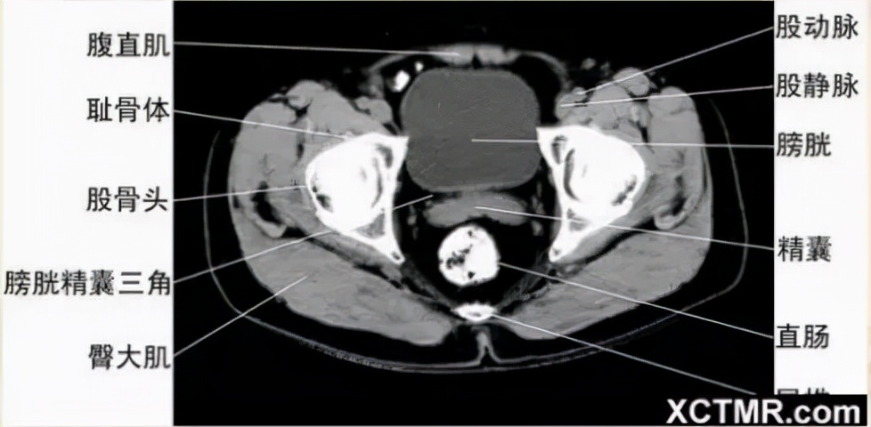
盆腔CT
女性盆腔CT断层


男性盆腔CT断层


正常肾上腺冠状位CT多平面重建(MPR)

来源:影像园
胸部CT
肺窗
肺段划分






奇叶-奇静脉弓-胸膜分布








气管分叉层面

右上叶支气管层面

左主支气管层面

右中叶支气管层面

右基底支气管层面

纵膈窗
胸骨切迹层面

主动脉弓上层面

主动脉弓层面

主肺动脉窗层面

气管分叉层面

右肺动脉层面

左心房层面

左右房室层面

心室层面

腹部CT










盆腔CT
女性盆腔CT断层


男性盆腔CT断层


正常肾上腺冠状位CT多平面重建(MPR)

来源:影像园