虽然细胞移植可以挽救帕金森病(PD)模型的运动缺陷,但是移植物能否以及怎样修复人脑受损的神经环路仍然未知。
2021年1月,中科院脑科学与智能技术卓越中心的陈跃军团队在Cell Stem Cell杂志发表的研究阐明了人干细胞诱导的神经元与神经环路和神经功能的关系,题目为“Human Stem Cell-Derived Neurons Repair Circuits and Restore Neural Function”。
该团队将人胚胎干细胞衍生的中脑多巴胺(mDA)或皮层谷氨酸(Glu)神经元移植到PD模型小鼠的黑质或纹状体,发现其与宿主环路发生广泛整合,并有恢复和重建黑质纹状体回路的功能,从而改善了PD小鼠运动功能。

1. 移植的人mDA和Glu神经元投射到不同的靶点
将人胚胎干细胞诱导出mDA和Glu神经祖细胞,并移植到PD模型小鼠的中脑中,42天后,检测到移植物存活并分化为相应的神经元。将mDA或Glu祖细胞移植到PD小鼠的黑质中,移植6个月后,所有移植的细胞均存活。
大多数hNCAM+纤维分布在壳核内,该区域主要由A9 mDA神经元支配。Glu神经元将轴突延伸至充满整个中脑,神经元细胞沿着一定距离发出轴突,但主要是定向到杏仁核、嗅球、无名质区和大脑皮层,只有一小部分hNCAM+纤维在壳核中被检测到。
结果表明,移植的人神经前体细胞分化为不同的神经元类型,并将轴突投射到不同的脑区。移植的mDA神经元大部分按照黑质-纹状体通路延伸,表达A9mDA神经元的标志物,并且与宿主靶细胞之前存在突触联系。(图1)

图1黑质移植神经元的轴突投射通路
2. 基因标记揭示人mDA神经元的特异性轴突神经支配
为了明确mDA神经元移植后轴突的特异性神经支配,该团队建立了一个可以对移植人类细胞进行特异性标记和操作的细胞系,该细胞系称为TH-tdTomato/AAVS1-ChR2-EYFP hESCs。这种细胞可以在mDA整个神经元分化过程中组成性地表达ChR2-EYFP,而仅在TH阳性的mDA神经元分化的后期表达tdTomato。
该团队将来源于该细胞系的mDA祖细胞移植到PD模型小鼠的黑质或纹状体中,移植后6个月,所有移植动物中均发现了EYFP阳性的移植物。大多数人mDA神经元投射分布在壳核中,纤维形成密集和分支网络,只有一小部分投射出现在伏隔核中。在黑质移植物中,tdTomato阳性纤维显示出不同于周围移植物的大量树突状突起,表明人mDA树突和轴突的细胞靶向分化。(图2)
该团队对mDA神经元(EYFP+/tdTomato+)和非mDA神经元(EYFP+/tdTomato- )进行全细胞膜片钳记录。结果显示,移植后3个月神经元功能逐渐成熟,移植后6个月人mDA神经元出现显著的后超极化,其生理特征与内源A9 mDA神经元的特征一致。

图2 基因标记人mDA神经元的轴突投射和电生理特性
3.人体神经元的解剖突触输入与移植部位有关
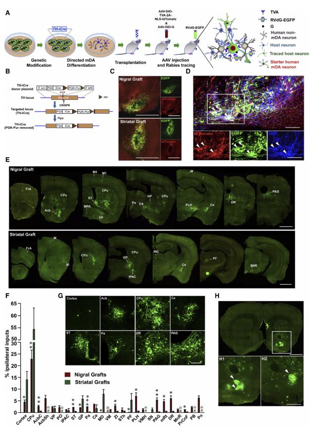
为了揭示移植的人mDA神经元的突触前输入,该团队将Cre-loxP基因表达系统与狂犬病毒介导的跨突触追踪相结合,建立了一个TH-iCre的人胚胎干细胞系,允许Cre重组酶直接表达到TH阳性的细胞而不破坏内源的基因表达。
移植的人mDA神经元可以共表达EGFP和tdTomato,宿主突触前神经元仅表达EGFP。在有移植物的脑中,纹状体中发现了大量的宿主神经元,包括壳核和伏隔核。在皮质区域,发现CTIP2阳性和SATB2阳性皮质神经元投射到人黑质mDA神经元。在下丘脑区,海马mDA神经元投射到下丘外侧核的蒂部和室旁核。在三叉神经末梢的床核和中央杏仁核中也发现了密集的宿主神经元。
同时,宿主神经元也存在于尾侧区、中缝背侧和中脑导水管周围灰质和脑桥网状核中。纹状体移植的mDA神经元优先投射到丘脑束旁核和丘脑内侧核。因此,在纹状体和黑质的人mDA神经元接收来自不同脑区的输入信号,说明了突触输入具有位置依赖性。(图3)

图3 狂犬病毒介导的基因标记人mDA神经元输入追踪
4.移植神经元的种类决定功能性输入特性
电生理记录显示,移植后3个月,纹状体或黑质移植物中的mDA和非mDA神经元中检测到少量自发性兴奋电流和抑制性突触后电流。结果表明,功能性输入在3-6个月时建立,不受移植物位置或神经元的类型影响,并且黑质移植的人mDA神经元接收到更多的抑制性输入,这一模式与内源性mDA神经元相似,而非mDA神经元接收到几乎相等的抑制性和兴奋性输入,说明移植的神经元类型而不是不同的移植部位决定了移植物神经元的抑制性和兴奋性输入的占比。
此外,移植的mDA神经元能够纠正PD小鼠的运动障碍,恢复模型小鼠的前肢运动不全和不对称旋转,这些都依赖于重构的黑质纹状体回路。
结 论
这项研究开发了基因标记策略和狂犬病毒介导的追踪系统,精确地标记PD小鼠模型中移植的人mDA神经元的投射和突触输入。通过突触前后的整合,移植的人mDA神经元恢复了黑质纹状体回路,并成功的修复了帕金森病小鼠的运动障碍。
这项研究通过细胞移植,恢复了成熟大脑中的神经元环路,其中涉及到了轴突定向、靶点特异性和功能输入的建立,这些特性很大一部分取决于所移植神经元的功能特性。因此,针对不同神经系统疾病,我们可以通过移植不同功能的神经元细胞达到改善疾病相关的神经环路的目的,这或许能够成为一种可行的治疗方法。
大脑的故事 大卫·伊格曼 脑科学家 《西部世界》科学顾问成名之作 科普纪录片 脑科学入门 自我进化
¥34.34
购买
编译作者:原代美少女 (Brainnews创作团队)
校审:小言 (Brainnews编辑部)
本文由brainnews团队原创编译,转载请联系授权。
