
肺和血管
小豆女士,又喘了,不得不再次住院检查了。话说这位小豆女士,年轻清瘦又漂亮,今年只有38岁,6年前因为入秋后的一场感冒反复不愈,去医院检查发现左肺占位性病变,在当地医院经支气管镜检查,确诊为左肺腺癌,当时左肺已有3个病灶,无法手术,只能保守治疗。年仅32岁的小豆女士被确诊“肺癌晚期”,等于被判“死刑”缓期执行。她说平时心很大的她那个时候已经绝望了,对未来没有任何期望值,活一天算一天。父母丈夫比她着急,跑北京上海咨询各地肺癌专家,包括病理会诊、咨询治疗方案。经会诊,北京上海病理专家认可当地的诊断,并做了基因检测,未发现EGFR等敏感基因突变。没有基因突变就等于没有靶向药可治疗,只能化疗,在父母丈夫的劝谏下,小豆同意化疗,方案选用当时副作用最小、费用相对最贵的药物,化疗2周期后,评估疗效提示病灶变化不显著,医生说是“Stable Disease稳定”,建议再做两期化疗,后按照医生意见又做了两个周期,后两个周期副作用明显,小豆还是坚持做完了,遗憾的是4周期后结果仍然是“左肺病灶与前比较变化不显著”。

肺癌
治疗无效咋办呢?家属比她着急,小豆说当时有医生推荐做射频消融治疗,还有别的医生推荐免疫疗法,总之有很多种治疗方法,她说他都拒绝了。因为生病,放弃了自己的工作,养病期间,她看了很多关于癌症治疗的专业书籍。她决定什么治疗也不做,等到非常痛苦的时候去医院做点对症治疗,但他坚持定期复查。基本上都是每三到四个月复查一次。 停止化疗后的一年里,小豆啥治疗也没做,间或有点咳喘,尤其是上楼梯、走快了之后。在按期复查的第一个年头里,小豆左肺的病灶一直很稳定,瘤子没有长大趋势。

肺影像学
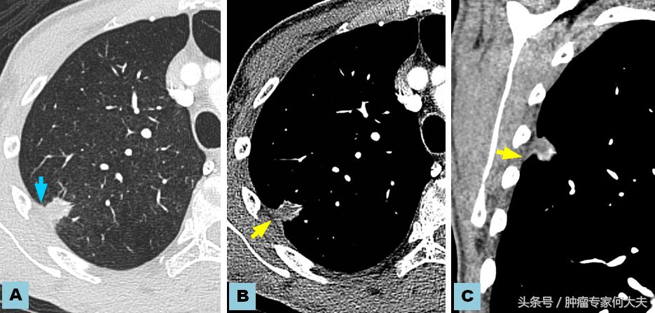
在第二年接近第三年的那次复查中,小豆被医生告知右肺也长了瘤子,医生建议小豆穿刺活检,小豆还是比较配合的,做了肺穿刺活检术,术后病理结果证实也是肺腺癌,和以前病理结果一样,医生推测可能是转移,并对取下的组织进行了基因检测,仍然没有检测到敏感突变基因,但医生建议小豆可以尝试口服“易瑞沙”,因为在生病的2年多时间里,小豆研读了很多肺癌的专业书籍,对肺癌的知识了解甚多,因此她同意了口服靶向药,在口服靶向药的两个月里,除过面部皮疹,没有其他不良反应,但用药三个月后,复查肺部CT,病灶依然没有明显变小迹象。医生考虑无效,于是就把靶向药停了。没有任何治疗,她还能撑多久?她自己不知道,医生们也众说纷纭,反正总体是时间不会太久,有的医生说也就半年一年左右,小豆说当时自己想“反正都这样了,与天争命也无济于事,静静等待未来会发生什么”。

肺相关淋巴
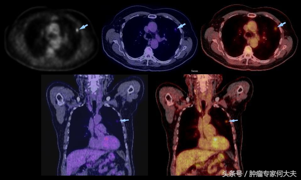
就这样,读书、看报、上网,有时候和朋友出去游游逛逛,虽然癌症在身,她不能积极作为,只能听天由命,但是半年过去了,右肺出现的病灶生长势头不明显,一年过去了,两年过去了,三年过去了,一直在复查,但是复查的结果总是说变化不显著。但医生仔细对比三年之初与三年之末(最近)的片子,瘤子是有所长大,但都长的不算多,个别小病灶甚至自然变小。 最近,小豆说自己喘的明显了,夜里咳嗽厉害,难以成眠,要来查查,我给做了胸部CT检查,结果提示两肺多发占位病变,对比了她3年前刚发现右肺时的片子,这次明显变大,目前尚未做出诊疗计划。但对于小豆这样的病人,实属少见。人类对于肿瘤的认识仍然处于很原始的阶段。就拿肺癌来说,现代医学研究算是比较成功的一种瘤种,已经认识到一部分肺癌患者因为存在某些基因突变可以从治疗中获益,但是没有突变的患者并不是一定就很危险,个体差异相当大。希望每个人不要因为得了肿瘤,就自暴自弃。