导读
当临床医生拿到一份转氨酶升高的报告单时,通常要考虑筛查各类肝病。在排除了一些常见疾病后,就要反思一下,究竟还有哪些疾病没有被考虑到……
病例介绍
患者,男性,40岁,既往患有糖尿病合并高脂血症。该患者10个月前超声检查发现肝脏结节,合并血小板减少,被诊断为肝硬化。推测其肝硬化是由非酒精性脂肪性肝病所致。随后,他的血清肝酶水平急剧升高,并被转到肝病科作进一步评估。
患者自述有右上腹疼痛,持续8周。他回忆起在发病前10-12周曾使用过阿莫西林治疗上呼吸道疾病。复查时未发现其他症状。患者生活作息健康,没有饮酒、服用娱乐*药性**物或草药补充剂、出国旅游或接触农场动物的经历。其常规使用的药物包括二甲双胍、加巴喷丁和普伐他汀。问其家族史,患者表示自己有一位肥胖合并不明原因肝硬化的叔叔。
血清学检测结果:总胆红素水平为5.3 mg/dL↑,AST 163 U/L↑,ALT 162 U/L↑,碱性磷酸酶 528 U/L↑。
进一步的血清学检查排除了病毒性肝炎、自身免疫性肝炎、原发性胆汁性肝硬化和代谢紊乱(包括血色素沉着症和Wilson’s病)。
然而,患者血清中α1-抗胰蛋白酶浓度(38 mg/dL;正常值为83-119 mg/dL)较低。蛋白酶*制剂抑**(PI)基因分型显示了ZZ变异的存在。不过,这一检测结果虽然确定了该患者慢性肝病的可能原因,但并没有说明其急性发作的原因。
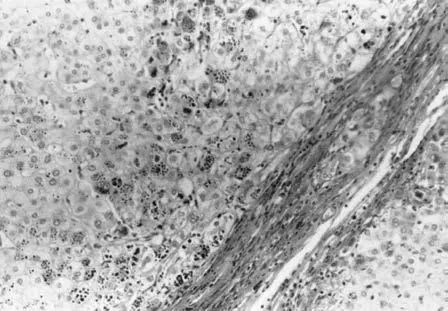
随后,超声指导下的肝活检发现肝结节和纤维化,提示肝硬化伴脂肪变性和部分胆汁淤积,但未发现气球样变和小叶炎症。过碘酸-希夫(PAS)阳性的肝细胞球形小体增多,符合纯合子PIZZ α1-抗胰蛋白酶(AAT)缺乏的典型组织学特征(图1)。

图1 纯合子PIZZ AAT缺乏有独特组织学特征。图中显示了肝细胞中的过碘酸-希夫(PAS)阳性、淀粉酶抵抗的球形小体
随访期间,患者血清肝酶浓度下降。回想起来,肝酶急性升高是由于阿莫西林治疗而引起药物性肝损伤。随后为患者进行了遗传咨询,并继续在肝脏诊所接受后续治疗。目前他的情况稳定。
α1-抗胰蛋白酶缺乏
α1-抗胰蛋白酶(AAT)是一种分泌型糖蛋白,主要合成自肝脏,分泌至血清中,可通过抑制炎症过程中释放的毁损性中性粒细胞蛋白酶,来保护宿主组织。在数量上,它是仅次于白蛋白的血清蛋白。
α1-抗胰蛋白酶缺乏(AATD)是一种常染色体共显性遗传疾病,通常可导致早发性肺气肿,同时也会累及肝脏。AAT编码基因的变异体是根据蛋白酶抑制物(PI)表型的不同来分类和命名的。正常AAT基因(野生型等位基因)被称为M;最常见的AATD人群的等位基因变异体被称为Z,其他还有F、I、S等突变型等位基因。当某人携带一正常等位基因M和一突变等位基因Z时,通常能够产生和分泌足够数量的AAT,并无明显症状。大多数累及肝脏的AATD都是Z突变等位基因的纯合子(常用ZZ表示)。
ZZ型基因突变患者会产生大量错误折叠的突变蛋白,这些蛋白不能分泌进入血液,因此堆积在肝细胞中。一些错误折叠的蛋白在肝细胞内质网中聚合,导致一系列的细胞内损伤,最终表现为慢性肝炎、肝硬化和肝细胞癌。
AATD的诊断
虽然AATD通常表现在生命早期,但也可能在成人后才被诊断出来。即使是患有明显的肺部疾病的患者也可能被漏诊。据Stoller等人报道,在AATD患者中,从症状发生到最终诊断,平均延迟时间达5.6±8.5年。因此,尽管AATD很少见,美国胃肠病学院(ACG)的指南仍推荐将AATD筛查,作为评估成年患者肝功能异常的一部分手段。
推荐使用血清AAT水平检测来筛查AATD;如果AAT水平低于正常(85-215 mg/dL),应通过基因检测确诊。在急性发作疾病中,血清AAT水平应谨慎解释,因其水平在急性组织损伤或炎症反应时可上升,造成一种“假性”正常的现象。因此,在炎症标志物(如C反应蛋白)升高的情况下,AAT水平正常很难被解释。
虽然不是强制性的,但对一些AATD患者可以使用肝活检技术确诊;比如本文所介绍的这例病例,在可能存在其他疾病的情况下,为避免混淆诊断,便采用了活检手段。在AATD患者的肝活检切片中,通常可见由错误折叠的AAT蛋白形成的细胞内碘酸-希夫(PAS)阳性球形小体(图1)。
AATD的治疗
AATD患者最重要的治疗原则是禁止吸烟,因为吸烟可显著加速AATD相关性损伤性肺病的进展,降低这些患者的生活质量,显著缩短其寿命。
目前,AATD相关性肝病并无特效疗法。因此,临床上对肝功能不全引起的症状多采用支持治疗和预防并发症的策略。由于移植肝可正常合成AAT,所以肝移植也是一种治疗手段;但由于资源问题,也仅考虑那些失代偿性肝硬化和进行性肝功能衰竭患者。
医脉通编译自:Zain A. Sobani, Graziella R. Paniz, Morgan Wong, et al. Don’t Miss the BoAAT: Correctly Diagnosing Acute‑on‑Chronic Liver Disease. Digestive Diseases and Sciences. 28 AUG 2019. DOI: https://doi.org/10.1007/s10620-019-05816-y