一、初识患者
57岁的林女士,是个退休工人,平时身体还算可以,也没有糖尿病、高血压、心脏病这些基础病史,偶尔腹痛,当成胃病,吃吃护胃药就好了,忍忍就过去了,也没有规律体检习惯。最近连续肚脐周围胀痛1周,休息和吃护胃药也不见好转,体重也减轻了5斤左右,家人为了缓解疼痛,给她吃了止疼药后好转。刚好当地医院有义诊活动,借着那个机会,他们抱着试一试的态度去看了。得知林女士的情况后,义诊的医生怀疑不是普通的胃肠炎,建议做个全腹部CT和肿瘤标志物筛查。2019-8-15全腹部CT报告:胰腺体部肿大,建议增强检查。肿瘤标志物:CA199 1600.46U/ml。根据CT结果高度怀疑胰腺癌,而不是之前简单认为的“胃痛”!转入我院普外科进一步检查,请多学科会诊后决定后续治疗方案。
二、治疗过程
入院以后还需要进一步了解肿瘤的大小、部位、是否有侵犯到其他器官等,完善了腹部增强CT、胸部CT和超声胃镜等检查。CT胸部平扫(2019-08-16 13:21):左肺微小结节,左肺纤维灶。CT上腹部平扫+增强(2019-08-20 16:39):胰腺颈体部胰腺癌伴脾动脉受侵考虑,脾静脉可疑受侵。 腹膜后多发稍肿大淋巴结。MR(磁共振)上腹部平扫+增强+MRCP(2019-08-17 15:49):胰腺颈体部占位(考虑胰腺癌),病变侵犯脾血管、腹腔干分叉部;腹膜后多发稍肿大淋巴结。ES(内镜)超声胃镜(2019-08-21 15:20):胰颈低回声病灶。
在超声内镜引导下做了胰腺肿物穿刺活检,病理报告提示“倾向高分化腺癌细胞”。综合检查报告,未见肿瘤远处转移,诊断为“胰腺癌 cT4N1M0 III期”。肿瘤侵犯血管,手术难度大,多学科讨论后决定先化疗,待病灶缩小后再决定是否可行手术治疗。

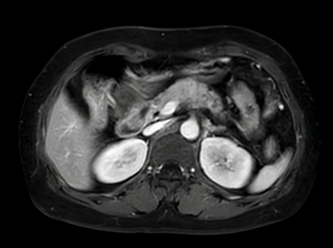
2019-8-17上腹部增强MRI

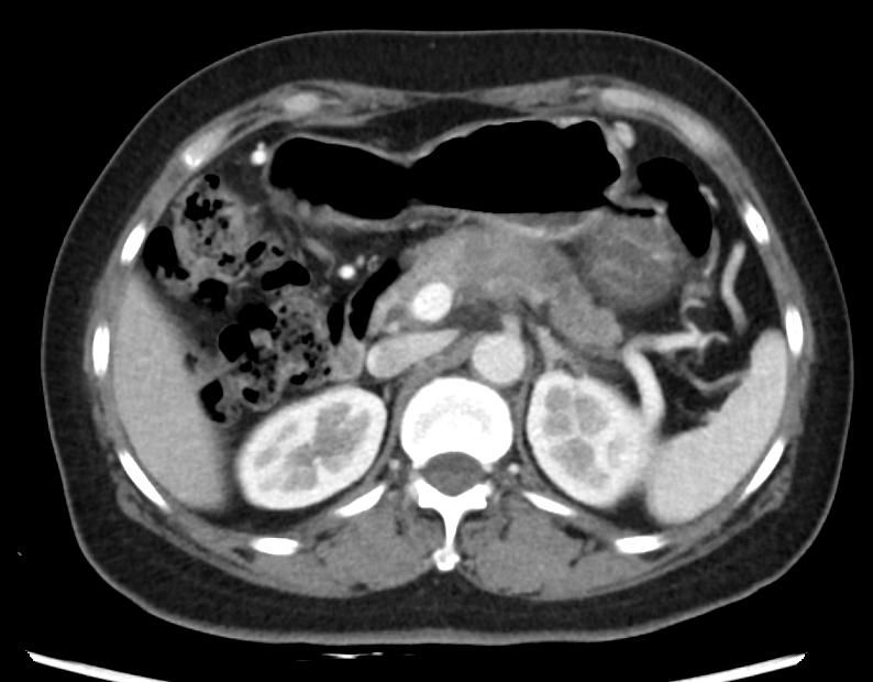
2019-8-20上腹部增强CT

2019-8-2超声内镜下胰腺穿刺病理
排除禁忌后于2019-8-23、2019-9-13行“白蛋白结合型紫衫醇+吉西他滨”方案化疗2次,复查上腹部平扫+增强(2019-10-06 14:03):胰腺恶性肿瘤化疗后改变,腹膜后多发稍肿大淋巴结,对比前片(2019-8-17)病变范围有所扩大。考虑化疗效果不佳,2019-10-10开始予mfolfirinox方案化疗3次,复查上腹部平扫+增强:胰腺恶性肿瘤化疗后改变,对照10月6日前片基本相仿。腹膜后多发稍肿大淋巴结。 经MDT讨论,暂不建议行手术治疗,可继续行辅助治疗(化疗+放疗)控制疾病。因患者化疗后恶心呕吐明显,于2019-12-25行“吉西他滨 1.4g D1,14+ 替吉奥 60mg D1-14”方案化疗1次。排除禁忌后于2020-02-11开始针对胰腺肿瘤及淋巴引流区放疗,照射野剂量95%PGTV拟给DT5400cGy/200cGy/27f,95%PTV拟给DT4995cGy/185cGy/27f ,每周五次,过程顺利,期间出现骨髓抑制,予升白细胞治疗后好转,未行同步化疗。复查“上腹部平扫+增强(2020-05-07 14:20):胰腺恶性肿瘤化疗后,对比2020-03-25日片大致相仿。腹膜后多发稍肿大淋巴结”,放疗结束后继续于2020.05.26行“吉西他滨针1.4 D1,,8 ivgtt + 替吉奥胶早60mg 晚40mg po D1-14 po”化疗2周期,期间出现III度骨髓抑制,予升白细胞治疗,化疗副反应大,停止化疗。

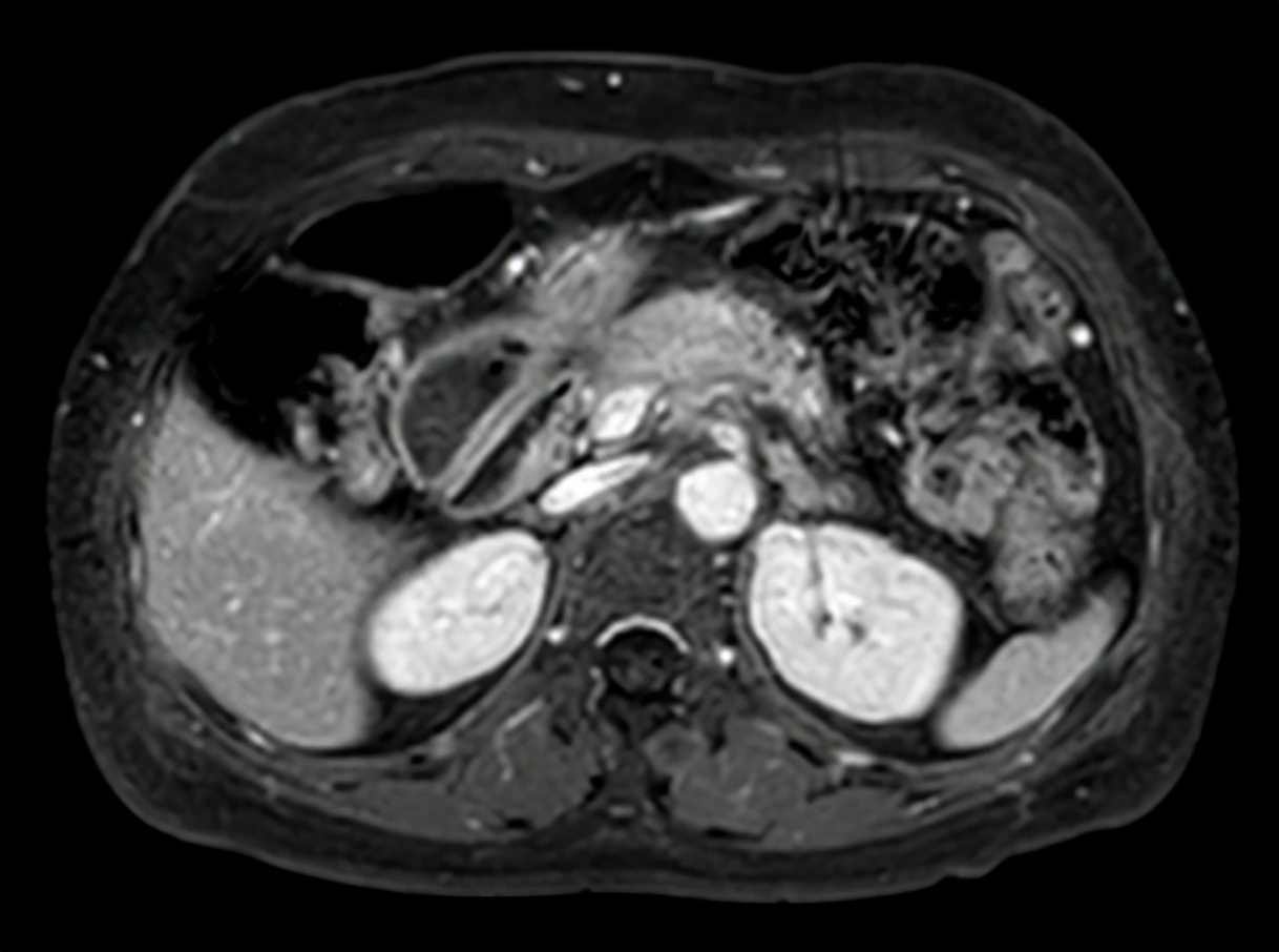
2019-10-06上腹部增强MRI

2020-5-7上腹部增强CT
放疗结束3个月后,无意间摸到左侧颈部包块,鸽蛋大小,伴局部胀痛,无发热畏寒,无胸闷胸痛,无腹痛,颈部平扫+增强(2020-07-13 11:08):左侧颈根部V区、锁骨上、左侧腋下多发肿大淋巴结,考虑转移性可能大。患者局部有放疗指征,于2020-08-06针对左侧锁骨上下区以及左侧腋下转移淋巴结以及相关淋巴引流区域行调强放疗,设95% PGTVnd DT5600cGy/200cGy/28f,95% PTV DT5000cGy/200cGy/25f,每周5次,过程顺利,颈部胀痛明显好转,自觉包块较前缩小。因患者身体虚弱,不能耐受化疗,完善血液基因NGS检测,未见明显获益药物靶点,放疗结束后未行特殊治疗。

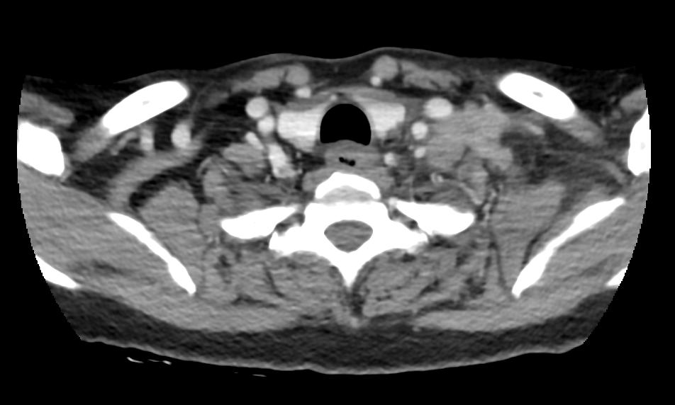
2020-7-13颈部增强CT

2020-10-25 颈部增强CT
放疗结束后3个月,患者出现胸闷气促,氧饱和度下降,至我科再次就诊,2020-12-23肺动脉CTA:双肺肺动脉多发栓塞。双肺炎症考虑;附见:双侧胸腔积液。考虑患者疾病进展,出现胸腔积液,肺栓塞严重威胁生命,予吸氧、抗凝、化痰、抗感染、营养支持治疗。期间腹胀明显,腹围较前也增大了,肝功能及胆红素进一步升高,考虑有腹水及胆道梗阻可能, 2021-1-6 全腹部CT:胰腺恶性肿瘤化疗后改变,肝脏第二肝门区占位,网膜多发结节灶,考虑转移瘤,建议随诊增强复查。低位性胆道梗阻伴肝内、外胆管明显扩张,胆囊内胆汁淤积。大量腹盆腔积液。予腹腔穿刺引流、护肝、降胆红素治疗,效果不佳,患者精神越来越差,患者想要回家见亲戚朋友最后一面,选择自动出院。

2020-12-23肺动脉CTA

2021-1-06 全腹部CT
三、患者在治疗中注意事项
1、放化疗期间应及时向医生反馈治疗的不适症状,警惕放射性肠炎、肠穿孔、出血等严重并发症,定期复查血化验。
2、在放疗期间,患者应保持口腔卫生,多漱口,进食清淡、高蛋白饮食,避免进食辛辣刺激、油腻的食物,保持体重稳定。
3、放疗期间保持放疗区皮肤清洁干燥,不要搔抓破损皮肤,保持身体标记清晰。
四、治疗效果
通过初始多线化疗方案后,腹部病灶增大,针对胰腺肿瘤调强放疗,使局部肿瘤稳定。后出现颈部转移性淋巴结,疼痛明显,放疗后包块稍缩小,疼痛明显好转。但是胰腺癌恶性度高,整体效果不佳,晚期患者出现腹水及胸水,通过胸腹腔穿刺引流后腹胀好转,通过化疗联合放疗的治疗方案,延长了患者生存期,提高了生活质量,缓解了病痛,确诊后总生存时间约16个月,超过了多数胰腺癌患者的平均存活时间。
五、患者在日常生活中的注意事项
1、平时不能暴饮暴食,饮食宜清淡、易消化、高蛋白,多吃新鲜蔬菜、水果,避免进食生冷、油腻以及刺激性食物等。
2、保持愉悦的心情,养成良好的习惯,早睡早起,不要熬夜,适量运动。
3、胰腺癌患者处于血液高凝状态,血栓形成高风险,平时少卧床,适当活动下肢,多饮水,发现肢体肿胀后要及时医院就诊排除血栓可能,同时合并胸闷胸痛症状,要警惕肺栓塞可能。有不适随时就诊,应严格按照医生交代的时间段,到医院随访。
六、医生感悟
胰腺癌是一种消化系统肿瘤,恶性程度极高。胰腺癌半数以上位于胰头,约90%是起源于腺管上皮的管腺癌。其发病率和死亡率近年来明显上升,5年生存率<1%,是预后最差的恶性肿瘤之一。胰腺癌发病隐匿,大多数患者在有症状就诊时已经到中晚期,可行手术患者比率不高,手术难度大,而治愈率很低,90%左右未经治疗的胰腺癌患者,平均生存期不足半年,而林女士在我们的努力下生存期达到16个月,已经超过多数人群。研究表明胰腺癌的病因尚不十分清楚,其发生与吸烟、饮酒、高脂肪和高蛋白饮食、化学物质及遗传因素有关;慢性胰腺炎病人与胰腺癌的发病存在一定关系。高危人群应当注意戒烟,适当饮酒,远离化学工作环境,做好预防工作。
疼痛是胰腺癌的主要症状,主要位于中腹或左上腹,少数病例主诉为左右下腹、脐周或全腹痛,易与其他疾病相混淆。当癌累及胰腺周围组织或腹膜后组织时,在相应部位可有压痛。早期症状疼痛无特异性,因此常不能引起重视,常被误认为“胃痛”。随着病情进展,患者可出现腹痛持续不缓解,向腰背部放射痛,肿瘤压迫胆道系统后会出现黄疸,远处转移可出现疼痛及包块,晚期出现纳差、乏力、消瘦等症状。早期发现,早期诊疗对于胰腺癌患者预后很重要。
患者在到我院就诊之前,已经出现过多次腹痛,自己一直认为是“胃痛”,后疾病症状加重,才引起重视,这个时候肿瘤已经是中晚期,从该患者诊疗经过我有几方面的感慨:
1、由于胰腺癌早期缺乏特异性表现,很容易被误诊为胃痛,使患者不能在第一时间得到治疗,建议患者有不适要及时就诊,中老年患者建议每年常规体检。同时医生需仔细评估患者病情,在治疗效果和预期不一致时,要敢于怀疑,进一步查明原因。
2、肿瘤是一组异质性疾病,建议多学科讨论,制定规范的方案,可延长患者生存期。
3、患者在治疗期间一定要按时到医院定期随访,这样才有利于医生动态了解病情变化的情况,及时调整治疗方案。
(此处已添加医疗卡片,请到*今条头日**客户端查看)