
引言
「肺隔离症」是一种少见的先天性肺部发育畸形。其常与正常肺分开存在,有单独体循环血液供应,多有反复发作或者持续存在的肺部感染性症。该病例患者幼年时曾临床诊断为「肺结核」,很可能是既往对肺隔离症的错误诊断,提示左下肺病变幼年时即有。分享该病例是想提示大家,当针对反复感染而抗感染治疗无效时,需积极进行其他病因筛查,必要时活检及病原菌的培养甚至二代测序检查能够帮助我们进一步做出正确诊断。而当明确存在真菌感染时,需积极寻找真菌感染的病因,如环境暴露、糖尿病筛查、免疫功能的评估,以及肺部本身结构异常导致患者的易感。应分析清楚肺隔离症与真菌感染之间的关系,对病因进行积极干预,更好地控制感染。
反复咳嗽、咳痰1年余,发现左肺下叶团片影,半年后病情起变化……团片影疑窦重重,各项检查中能发现什么?
这是一位43岁的男性患者,四 川自贡人,职业为美发店老板。2020年4月主诉 「反复咳嗽、咳痰1+年」 入住我科。1年多前,患者受凉后出现咳嗽、咳痰,痰为黄色粘稠痰,痰量每天约20-50ml,无发热、盗汗、头痛、胸痛、咯血及呼吸困难等。患者于外院检查发现左肺下叶团片影,给予头孢类抗生素抗感染,氨溴索化痰治疗后症状好转出院。出院后至我院就诊,行无痛纤支镜检查提示支气管粘膜未见异常,患者未进行进一步诊治。
半年前,患者再次于我院复查胸部CT:左肺下叶后基底段见不规则团片影,较大层面约5.6×6.1cm,其内可见少许点状钙化灶,周围见斑片、条索影,邻近胸膜增厚、粘连;右肺中叶、左肺下叶背段、左肺斜裂可见直径约0.4cm结节影;右肺中叶内侧段、左肺上叶舌段及左肺下叶少许条索影。左肺门淋巴结稍大,纵隔淋巴结未见肿大。心脏未见增大,心包未见积液。双侧胸腔未见积液。扫及团片状脂肪密度影由腹腔经食管裂孔突入纵隔。左肺下叶软组织影,周围多发炎症,邻近胸膜增厚。右肺中叶、左肺下叶、左侧斜裂小结节。双肺少许慢性炎症。左肺下叶肿块对比1年多前无缩小。
4个多月前,患者于我院温江院区行CT引导下经皮肺穿刺活检病理诊断:肺组织轻-中度慢性炎伴灶区肺泡上皮增生。门诊予以拜复乐400mg、福多司坦对症治疗。患者服用拜复乐2周后,又自行购买拜复乐共连续服用药物50+天后再次复查胸部CT左肺下叶团片影无缩小。现患者偶有咳嗽、咳痰,痰多为白色,量少;无发热、盗汗;无关节疼痛、晨僵、咽痛;无尿频、尿急、尿痛;无红疹、水肿;无心累、气促,无胸闷、胸痛,无咯血及呕血,为求进一步明确左肺下叶病变性质收入我科。自患病以来,精神睡眠食欲尚可,二便正常,体重无明显改变。
追查病史发现,患者罹患高血压1年多,最高160+/90+mmHg,但未规律服用药物,平素血压多在140+/90+mmHg。患者既往体健,否认糖尿病、冠心病等慢性病史,否认肝炎或其他传染病。患者自诉11-12岁时曾在老家县医院被诊断为「肺结核」,规律服用抗结核药物1年余,遵医嘱停药。无过敏史,无外伤史,无手术史,无输血史,无特殊病史。无冶游史,无吸毒史,无吸烟史,无饮酒史。婚育史、家族史无特殊。
患者入院后,我们首先对其进行了体格检查:
T:36.6℃,P:101次/分,R:20次/分,BP:141/99mmHg。患者神志清醒,对答准确切题,皮肤巩膜无特殊,双瞳等大等圆,光反射灵敏,口唇无发绀,咽部不充血,扁桃不肿大,呼吸平稳,双肺呼吸音清晰,左下肺呼吸音稍减弱,未闻及干湿啰音,心界不大心律齐,全腹柔软无压痛及反跳痛。肝脾未触及,肠鸣音活跃,双病理征阴性,脑膜刺激征阴性,四肢肌力Ⅴ级,双下肢无水肿。
实验室检查情况如下:
1、常规检查
2019年2月23日血常规检查:血红蛋白 134g/L,血小板计数 343×109/L,白细胞计数 7.37×109/L,中性分叶核粒细胞百分率 61.2%。
10月7日血常规检查:血红蛋白 136g/L,血小板计数 266×109/L,白细胞计数 9.61×109/L,中性分叶核粒细胞百分率 65.4%。
12月5日血常规检查:血红蛋白 136g/L,血小板计数 287×109/L,白细胞计数 9.96×109/L,中性分叶核粒细胞百分率 64.8%。
2020年4月29日血常规检查:血红蛋白 130g/L,血小板计数 273×109/L,白细胞计数 12.83×109/L,中性分叶核粒细胞百分率 79.9%。
肝肾功、二便常规,DIC常规,糖化血红蛋白,输血前全套未见异常。
2、肿瘤相关筛查
2019年10月7日:CA199 156U/ml、CEA 3.44ng/ml 、NSE、CYFRA21-1正常。
2020年4月29日:CA199 36.9U/ml、CEA、NSE、CYFRA21-1正常。
3、感染相关筛查
2020年4月29日:血沉 37mm/h,PCT <0.02 ng/ml,CRP12.70 mg/L。
G试验、GM试验、隐球菌抗原检测未见异常。
PPD皮试,TB-IGRA均未见异常。
4、免疫相关检查
免疫全套,ANCA,T细胞分类及绝对值计数未见异常。
5、胸部影像学检查
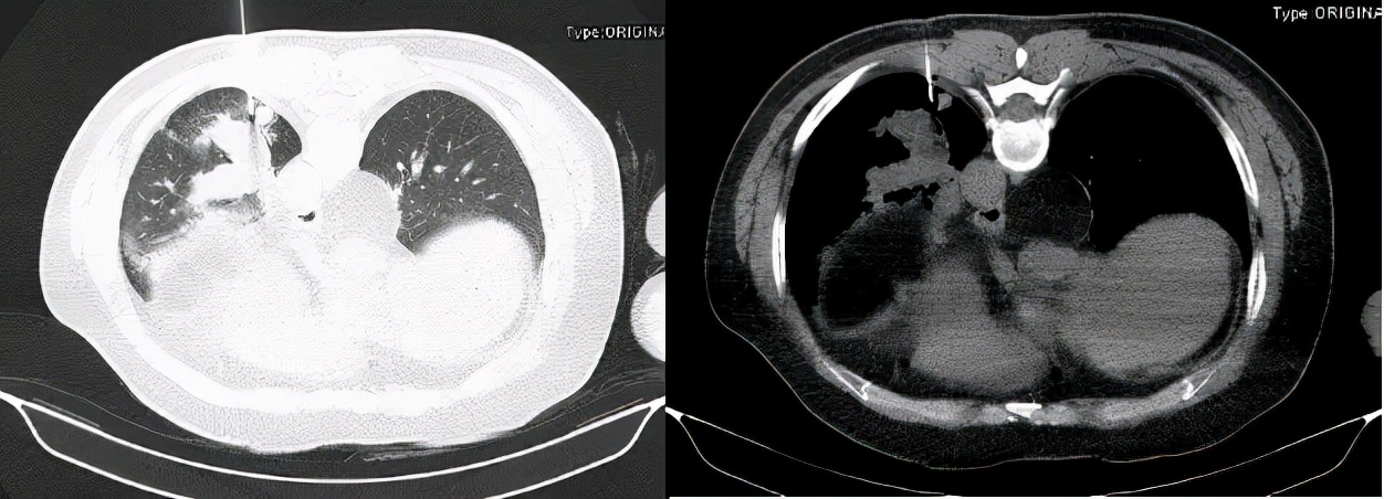
2019年12月5日胸部CT:1、左肺下叶后基底段见不规则团片影,较大层面约5.8×4.6cm,其内见少许点状钙化灶,周围见斑片、条索影,邻近胸膜增厚、黏连。2、右肺中叶、左肺下叶、左侧斜裂小结节,较大者约0.4cm,多系炎性。3、双肺少许慢性炎症。4、心脏未见增大,肺动脉干稍增粗。5、左肺门淋巴结稍大。6、食管裂孔疝。(图1)。

图1:胸部CT 2019年12月5日
2019年12月5日胸部CT:第一次经皮肺穿刺活检(图2)。

图2:第一次经皮肺穿(2019-12-5)
细菌和真菌培养均为阴性,却在第二次经皮肺穿刺活检抽出液化区血性液体……穿刺液完善NGS及培养均查见曲霉菌,如何求因?
第一次经皮肺穿刺活检的病理诊断为:肺组织轻-中度慢性炎伴灶区肺泡上皮增生。
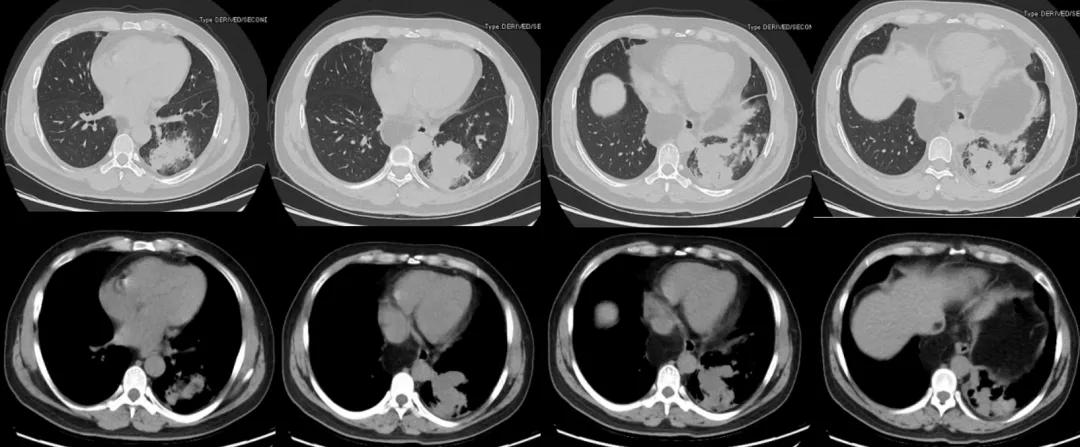
2020年3月17日胸部CT:1、左肺下叶后基底段见不规则团片影,较大层面约6.2×5.1cm,其内见少许点状钙化灶,周围见斑片、条索影,邻近胸膜增厚、黏连。2、右肺中叶、左肺下叶、左侧斜裂小结节,较大者约0.4cm,多系炎性。3、双肺少许慢性炎症。4、心脏未见增大,肺动脉干稍增粗。5、左肺门淋巴结稍大。6、食管裂孔疝(图3)。

图3:胸部CT 2020年3月17日
患者入院后的进一步检查情况如下:
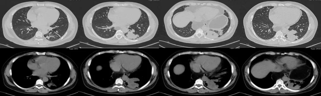
2020年4月28日胸部增强CT:1、左肺下叶后基底段见不规则团片影,较大层面约6.4×5.1cm,其内见少许点状钙化灶,增强后轻度强化,周围见斑片、条索影,邻近胸膜增厚、黏连。2、右肺中叶、左肺下叶、左侧斜裂小结节,较大者约0.4cm,多系炎性。3、双肺少许慢性炎症。4、心脏未见增大,肺动脉干稍增粗。5、左肺门淋巴结稍大。6、食管裂孔疝(图4及图5)。

图4:胸部增强CT(2020年4月28日)

图5:胸部增强CT纵隔窗(2020年4月28日)
2020年4月30日支气管镜检查:各级支气管粘膜光滑,通畅,未见异常(图6)。

图6:支气管镜下改变
BALF:送检TB-XPERT, GM试验,细菌和真菌培养均阴性。
2020年5月2日胸部CT:第二次经皮肺穿刺活检(图7),并抽出液化区血性液体(图8)。

图7:第二次经皮肺穿(2020-5-2)

图8:经皮肺穿刺抽出血性液体(2020-5-2)
病理诊断为:肺组织慢性炎,局灶纤维组织增生,慢性炎细胞聚集。穿刺液完善NGS及培养均查见曲霉菌。


长期接触染发剂及粉尘、既往疑诊肺结核是感染原因吗?……以左下肺团片影内含血性液化坏死区伴曲霉菌感染为切入点揭谜题
针对穿刺液完善NGS及培养均查见曲霉菌的结果,如何求因?团队首先对该患者的临床特点进行了回顾:
1、基本特征:青中年男性,职业为理发店老板,长期接触染发剂及粉尘,既往有临床疑诊「肺结核」,曾抗痨治疗。
2、症状:反复咳嗽、咳痰1+年,长时间广谱抗细菌治疗疗效欠佳。
3、体征:左下肺呼吸音稍减弱,未闻及明显干湿啰音。
4、辅助检查 ①胸部CT:左肺下叶团片影,内见液化坏死区;②两次肺穿刺病理活检均提示:慢性炎症。后穿刺出血性坏死液体,送检NGS及培养均提示查见曲霉菌;③血象增高;④肿标、T-SPOT和PPD皮试阴性。
团队认为,该患既往曾诊断为「左肺结核」,本次因反复咳嗽、咳痰1年余,胸部CT提示左下肺团片影伴液化坏死,长时间广谱抗细菌治疗左肺下叶团片影无吸收。两次经皮肺穿刺活检均提示慢性炎性改变。经皮肺穿刺出血性坏死液体,送检NGS及培养均提示查见曲霉菌。因此,本例应以左下肺团片影内含血性液化坏死区伴曲霉菌感染为切入点进行分析。诊断思路线路图如下(图9):

图9:诊断分析线路图
1、左下肺团片影内有血性液化坏死区
(1)肺脓肿
支持点:反复咳嗽,咳痰,左下肺团片影,增强CT可见轻度强化,内可见液化坏死区域。
不支持点:患者无高热,咳脓臭痰等病史,反复长时间抗细菌治疗无效,病变逐渐增大,CT引导下经皮肺穿刺液化坏死区域抽出血性液体查NGS及培养未见致病细菌。
(2)肿瘤
支持点:左下肺团片影,增强CT可见轻度强化,内可见液化坏死区域,反复抗感染无效。
不支持点:肺癌相关肿标无增高,两次CT引导下经皮肺穿刺活检病理报告均未见。
(3)血管炎
血管炎(vasculitis) 是指以血管壁炎症和纤维素样坏死为病理特征的一组异质性疾病, 可累及各种类型的血管, 临床表现复杂多样。因为认识程度的差异,临床误诊率较高,肺血管炎的影像特点同样也表现的非常复杂,肺内可表现为:结节、肿块、空洞、实变,气道改变,间质性改变。以肺内多发或者单发结节影为主要表现的多见于肉芽肿性多血管炎,c-ANCA多为阳性。
支持点:单发团片影,内有液性坏死区,经皮肺穿刺出血性液体。血沉轻度增高。
不支持点:ANCA筛查阴性,胸部CT团片影内无空洞行程,且两次肺部病理活检未见血管周围炎症。小便常规正常,缺少全身其他系统受累表现。
(4)肺结构异常(肺隔离症或者陈旧性肺结核导致的肺结构异常):
肺隔离症是一种少见的先天性肺部发育畸形。常与正常肺分开存在,有单独体循环血液供应;多有反复发作或者持续存在的肺部感染性症状;普通影像学表现为:囊实性,实性,囊性,浅淡斑片,条索影或者局部肺血管异常聚集。胸部血管三维增强扫描发现异常供血可确诊。分为三种类型:①叶内型(80%):隔离的肺组织再肺叶之内,为同意脏层胸膜所包裹;与正常的支气管相通或不相通;多位于后基底段,尤其是左下叶后基底段(约60%),常伴反复感染。②叶外型:有独立的脏层胸膜,可位于纵隔、隔下、心包或者肺内;多伴随其他畸形,以心脏和膈肌畸形多见;不易并发感染。③内外混合型:少见。
支持点(肺隔离症):反复咳嗽,咳痰,胸部CT提示左肺下叶单发团片影,内有液性坏死区,经皮肺穿刺出血性液体。反复抗细菌治疗疗效欠佳。确诊需要完善胸部血管增强三维扫描明确团片影是否存在异常的血管供血。
支持点(陈旧性肺结核):既往曾在当地医院诊断「继发性肺结核」。
不支持点(陈旧性肺结核):左肺下叶不是青少年肺结核的好发部位,且没有明显条索影及陈旧性肺结核的瘢痕样改变,之前纤支镜检查以及肺穿等检查均未见结核感染证据。
2、曲霉菌感染病因寻找
肺曲霉病是一种真菌感染,大部分时间由烟曲霉(Spergillus Fumigatus)引起,烟曲霉是自然环境中广泛存在的条件致病真菌,其产生的气传孢子,可被吸入呼吸道末端,引起曲霉致敏相关的疾病,例如过敏性哮喘、过敏性肺炎、变应性支气管肺曲霉病(Allergic bronchop-ulmonary aspergillosis, ABPA)等疾病。肺曲霉病感染并不罕见,特别是在慢性阻塞性肺病和免疫力下降的情况下。
(1)免疫低下:侵袭性肺曲霉菌病(IPA):
多发生于严重免疫功能低下的患者,尤其是因血液系统恶性肿瘤,化疗或免疫抑制治疗引起的中性粒细胞减少症患者。早期IPA:小结节和/或小的胸膜,楔形改变,周围有磨玻璃光晕(晕征)。晕征代表肺泡出血。随着疾病的进展,结节可能会出现空洞,坏死的薄壁组织会从邻近的肺部分离,形成类似于曲霉菌中所见的空气新月形。在正确的临床环境中,由磨玻璃晕环绕的结节或实变,进展为空洞或空气新月征,形成被认为是典型的血管侵袭性曲霉菌病。
(2)免疫正常:
多发生于肺部结构异常患者,如支气管扩张,结核感染后毁损肺,或者先天性肺结构异常,如肺隔离症等。
团队认为,该患者的职业性质导致其长期接触染发烫发化学用品,且有毛发碎屑接触史。患者血常规及T细胞绝对值检测均未见中性粒细胞及淋巴细胞数量降低,且免疫全套中免疫球蛋白水平也正常。而患者为免疫功能正常的曲霉菌感染。发生曲霉菌感染原因除了暴露因素,还需要考虑可能存在肺结构异常问题,所以在抗真菌治疗同时,应该进一步寻找肺部基础病因。
除了暴露因素还有别的基础病因吗?肺结构是否存在问题?检验及判断的方向在哪?……肺隔离症与曲霉感染究竟有何关联?
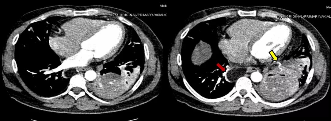
根据上述分析,下一步需要进行哪些检查呢?2020年5月8日,对该患者行胸部血管三维增强扫描:1、左肺下叶团片影区域见肺动静脉走行,肺动脉管腔内似见充盈缺损,考虑灌注不均。肺栓塞待排。左肺下叶团片影区域似见右膈下动脉分支走行,右膈下动脉增粗。2、心脏增大,肺动脉干稍增粗。3、左肺下叶后基底段见不规则团片影,较大层面约6.5×6.1cm,其内见少许点状钙化灶,增强后轻度强化,周围见斑片、条索影,邻近胸膜增厚、黏连。4、双肺多发小结节,多系炎性。5、双肺散在少许条片影及条索影,多系炎症。6、左侧少量胸腔积液。7、左肺门淋巴结稍大。8、食管裂孔疝,腹腔脂肪疝入。

图10:胸部血管三维增强扫描(2020-5-8)(黄色箭头:膈下来源的异常血管;红色箭头:食管裂孔疝)
双下肢静脉彩超:左侧股总静脉反流,未见深静脉血栓。
心脏彩超:左房稍增大,主动脉增宽,肺动脉稍增宽,室间隔增厚,左侧收缩功能测值正常。
入院后,给予特治星抗感染治疗,患者咳嗽、咳痰和呼吸困难较前明显好转,复查血常规恢复正常。
出院带药:威凡 200mg 口服 q12h,切诺 0.3g 口服 1天3次。
患者出院后口服威凡三周后复查胸部CT左肺下叶病变明显缩小,嘱患者胸外科就诊择期手术。

至此,得出最后诊断:1、肺隔离症(叶内型)伴曲霉菌感染2、左下肺细菌性肺炎;3、高血压2级中危;4.食管裂孔疝。
诊断的依据如下
1、基本特征:青中年男性,职业为理发店老板,长期接触染发剂及粉尘,幼年时临床疑诊「肺结核」,曾抗痨治疗。
2、症状:反复咳嗽、咳痰1+年,长时间广谱抗细菌治疗疗效欠佳。
3、体征:左下肺呼吸音稍减弱,未闻及明显干湿啰音。
4、辅助检查:①胸部CTA:左肺下叶团片影,内见液化坏死区;左肺下叶团片影区域似见右膈下动脉分支走行。②两次肺穿刺病理活检均提示:慢性炎症。后穿刺出血性坏死液体,送检NGS及培养均提示查见曲霉菌;③血象增高;④肿标、T-SPOT和PPD皮试阴性;
肺隔离症同时合并肺曲霉并不多见,目前资料可查询详细记载肺隔离症合并肺曲霉病的报道共几十例。肺隔离症合并曲霉感染的危险因素目前暂不明确,可能与肺隔离症病变部分解剖结构异常有关。肺隔离症病变为曲霉的生长提供了生存宿主因素。肺隔离症合并肺曲霉病临床症状与单纯肺隔离症临床症状无明显差异,主要为咳嗽、咳痰,其次为咯血。肺隔离症诊断依据影像学检查。CT 血管成像是目前诊断主要方法。但肺隔离症合并肺曲霉病的明确诊断必须依据病变部位组织病理检查,故往往在术后病理检查时明确本病。关于肺隔离症合并肺曲霉病的治疗,考虑肺隔离症合并的曲霉病大部分是以慢性感染表现为主,故目前治疗方案主要是手术将病变部分完全切除,药物方面不建议抗真菌,除非临床症状不排除侵袭性可能。之前国内外学者报道的十几例肺隔离症合并肺曲霉病术后均未抗曲霉治疗,术后无曲霉复发情况。表明肺隔离症合并肺曲霉病手术切除病灶足以控制肺曲霉病,无需常规抗曲霉菌治疗。
经验与体会
1、肺隔离症:一种少见的先天性肺部发育畸形;常与正常肺分开存在,有单独体循环血液供应;多有反复发作或者持续存在的肺部感染性症状;患者幼年时曾临床诊断「肺结核」,很可能是既往对肺隔离症的错误诊断,提示左下肺病变幼年时即有。
2、针对反复感染而抗感染治疗无效时,需积极进行其他病因筛查,必要时的活检及病原菌的培养甚至二代测序检查能够帮助我们进一步做出正确的诊断。
3、当明确存在真菌感染时,需积极寻找真菌感染的病因,如环境暴露,糖尿病筛查,免疫功能的评估,以及肺部本身结构异常导致患者的易感。应分析清楚肺隔离症与真菌感染之间的关系,对病因进行积极干预,更好地控制感染。
参考文献
1、张雷, 丁嘉安, 姜格宁,等. 肺隔离症的诊断和治疗[J]. 中华结核和呼吸杂志, 1998(11):675-677.
2、吴常明, 黄舒, 钱树苑,等. 以自发性血气胸为首发表现的肺隔离症合并肺曲霉病一例[J]. 中国呼吸与危重监护杂志, 2020, v.19(02):96-98.
3、孙成孚, 徐乐天, 李泽坚,等. 叶内型和叶外型肺隔离症(附七例报告)[J]. 中华结核和呼吸系疾病杂志 1985年08卷2期, 100页, MEDLINE ISTIC PKU CSCD, 2020.
4、李襄五, 雷茂禄. 肺隔离症误诊为肺脓肿一例报告[J]. 中华结核和呼吸系疾病杂志 1979年02卷2期, 111页, MEDLINE ISTIC PKU CSCD, 2020.
5、彭敏, 蔡柏蔷, 施举红,等. 不同免疫状态下肺曲霉菌感染24例临床分析[J]. 中国实用内科杂志, 2011, 31(007):533-535.
6、刘吉福. 无免疫功能缺陷者肺曲霉感染15例临床分析[J]. 中华结核和呼吸杂志, 2008, 31(7):517-519.
7、孙雪峰, 肖毅. 肺隔离症合并肺曲霉菌病七例并文献复习. 中华内科杂志, 2014, 53(11): 147-147.
专家介绍

杨婷
四川大学华西医院呼吸及危重症医学科副主任医师。2012年6月四川大学华西临床医学院毕业获得呼吸内科医学博士学位;2017年-2018年曾在美国梅奥医学中心访问学习一年;主要从事气道炎症、气道重构及肺间质纤维的发病机制及干预研究;主持国家自然科学青年基金一项,以第一作者发表SCI论文8篇;作为主译之一翻译书籍《非肿瘤性肺疾病诊断图谱》;目前学术任职有四川省间质性肺病学组成员,西部间质性肺疾病联盟秘书。

程德云
四川大学华西医院呼吸及危重症医学科,教授。医学博士,现任四川大学华西医院呼吸内科教授、博士研究生导师。长期从事临床工作,对呼吸系统疾病的诊治有丰富的临床经验,主要研究慢性阻塞性肺疾病、慢性肺源性心脏病及胸膜疾病的基础理论和临床诊治。现任职称: 呼吸内科教授、博士研究生导师。曾任学术任职:中华医学会呼吸学会第六届委员会委员,四川省医学会呼吸专委会第三届委员会副主任委员,四川省医师协会第四届呼吸医师分会会长,成都医学会呼吸专委会多届委员会主任委员,成都医学会常务理事,美国胸科医师协会资深会员,全国慢性阻塞性肺疾病学组成员。《中华结核和呼吸杂志》、《中国实用内科杂志》、《中国呼吸与危重监护杂志》编委、《中华内科杂志》通讯编委。科研成果:发表论文200余篇,主编、主译和合编专著数部,获卫生部、四川省科技进步奖、中华医学科技奖数项。
本文完
采写编辑:冬雪凝
排版:Aurora