今日育儿群内发生如下对话:

头垢是什么?如下图:

头垢就是典型的新生儿脂溢性皮炎位于头部的表现:一种淡黄色、油腻鳞屑在头皮上的堆积。
可这跟爱马仕鳄鱼皮包有什么关系?别着急,请耐心往下看。
这种淡黄色鳞屑是什么?
回答这个问题前,我们不如先看一下显微镜下的皮肤构造:

图 1头皮
我们的皮肤由表皮(外层,紫红色区域)和真皮(内层,浅红色区域)构成。至于生发的毛囊和分泌皮脂的皮脂腺,则都是表皮的附属结构。毛囊和皮脂腺在身体不同部位分布密度不同,头皮、腋窝等部位分布较多,而手掌、脚掌则较少(手心出汗,没人讲手心出油吧?)。
图片紫红色区域里你可以看到的细胞大部分都是角质形成细胞,是表皮中最主要的细胞成分。它的最底层是干细胞,干细胞不断生成新的角质形成细胞,将原来的“老”细胞“挤”向外层,“老细胞”在迁移过程中完成角化,变得扁平,最终到达最外层的角质层。如下图:

图 2表皮
这个过程通常需要四周的时间。
如果细胞生成速度过快,新生细胞未完全角化就被“挤”到角质层,就形成了鳞屑。肉眼看起来为大小不等的灰白色干燥碎片。如果其中混有大量生成的皮脂,就会呈现淡黄色,且有油腻感。这也就是新生儿头部的头垢产生原因!
而细胞生成速度过快与皮肤受损,发生炎症等因素都有关系。那究竟是什么引起了皮肤受损呢?这就要说到脂溢性皮炎的病因了。
脂溢性皮炎的病因
虽然它的发病机制我们还并不完全清楚,但可以肯定的是,脂溢性皮炎是在皮脂过多及糠秕马拉色菌数量增多基础上所发生的一种炎症。
1、皮脂过多

图 3皮脂腺
皮脂由皮脂腺分泌,分泌过程与刚刚讲到的角质层形成类似,外周为干细胞,不断产生脂肪生成细胞,脂肪生成细胞可以聚积脂质并向中央区迁移,最终细胞崩解释放脂质小滴与细胞残体,与脱落的上皮细胞混合成皮脂后,经导管排泄入其附着的毛囊中,再沿毛发由毛囊口排出体外。做个类比来理解这些傲娇的术语,皮脂腺是个工厂,不停的在生产“罐头“(也就是脂肪生成细胞),罐头里面装的都是脂肪。随着罐头生产的增多,新生成的罐头将旧罐头挤下流水线,旧罐头摔到地面(向中央区迁移),摔破了。罐头里面的脂肪就混合了角质层脱落的上皮细胞混合,形成了肉眼可见的黄色头痂。
皮脂腺的发育及分泌活动主要受激素的影响。人体内性激素含量升高有两个时期:胎儿期3个月~6个月期和青春期后至40岁左右。除此之外皮脂腺即进入休眠。可见婴儿本身皮脂腺是处在休眠期的,皮脂生成过多原因可能是母体性激素经过脐带传入孩子。
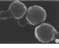
2、糠秕马拉色菌数量增多

图 4电镜下的马拉色菌
脂溢性皮炎活动度即严重程度与糠秕马拉色菌数量密切相关。
糠秕马拉色菌是一种嗜脂真菌,以分解人体皮肤皮脂为生,说人话就是:马拉色菌爱吃皮脂。同时马拉色菌是头皮占优势的常驻菌群。头皮皮脂溢出会给糠秕马拉色菌一个良好的繁殖环境,菌群过度生长,产生的毒性代谢产物进入表皮,导致皮肤受损,引发机体的免疫炎症反应。
3、炎症发生
炎症的发生一方面刺激角质形成细胞生成过快,鳞屑形成;另一方面导致皮肤浅层血管扩张,可能引起病变部位渗液,渗液干燥后与鳞屑形成痂块。由于炎症反应较轻,所以并不引起瘙痒、也不影响宝宝进食和睡眠,宝宝总体是健康的。
【治疗与护理】
婴儿脂溢性皮炎症状轻,一般采取简单的护理措施如洗澡及外用润肤剂即可。
早期可短期使用糖皮质激素制剂抑制炎症反应,常用药物有哈西奈德、1%氢化可的松霜等,每日一到两次。
皮肤损伤累及到面部、耳后、颈部、躯干及四肢时及时间过长时可外用1%酮康唑洗剂抑制糠秕马拉色菌生长。每周一次,出油太多时每周两次。
【福利——乳痂清除*法大**】
大多数病例头皮乳痂最终在数周至数月内自发消退,但有一些孩子的头皮乳痂特别难以去除,很硬、牢固的黏附在头皮上。有这种情况的孩子,不仅看起来乳痂影响容貌,还容易让老母亲的内心产生焦躁,并且持续存在“刮除”这一层头皮乳痂的骚动内心,那种感觉仿佛是少女在挤破青春痘(不建议这么做哟)。
对的!“刮除”的骚动内心应该得到释放,只不过我们要用合理的工具与恰当的手法!如果不想用酮康唑或者激素药膏,认死理保守派硬杠(轻度乳痂,用此法也很恰当),就需要如下两个工具,请注意,这里终于要出现爱马仕:
一、儿童软毛牙刷(使用过的更软);
二、爱马仕鳄鱼皮手提包!


是的,为什么需要这两样工具呢?因为软毛牙刷可以起到刮除鳞屑的作用,而爱马仕。。。。。。。。。。。因为它够精贵,表面是鳄鱼皮,可以让你练习操作时候的“手感”!爱马仕鳄鱼皮包,能够确保你在练习使用软毛刷去除头皮鳞屑的时候,既能用上力;还能充分感受在使用软毛刷去除头垢时候最真实的手感反馈;最后更能保证你在孩子头顶囟门区操作时候不会失误挫伤宝宝稚嫩的囟门!每周一次,出油太多时每周两次。2%硫化硒混悬液是良好的洗头剂,10分钟后用清水冲洗,也可用1%酮康唑洗剂损害发生于没有毛发的部位,硫磺制剂,含抗生素糖皮质激素制剂。
好的!讲完这些简单的道理,我打算用这篇文章作为脚本,拍成短视频。牙刷我很多,全新的、旧的都有!就差一个爱马仕鳄鱼皮包了~~
