陪伴每个父母和小孩,成为更好的自己。
搜寻公众号 "亲子天下"(微信 ID:cn-parenting)关注
你笑起来真好看!听到这句赞美,一定令人满心欢喜。如何让孩子拥有一口好牙,绽放自信笑容?矫正牙齿的费用动辄上万到数十万元(新台币),在掏腰包之前,先来了解牙齿歪斜,几岁做最好?矫正器如何选择?拥有正确的齿颚矫正观念,让你不必白花钱买经验。
齿颚矫正年龄,80% 为12岁以上,20%左右是7岁到12岁

现代人对牙齿美观和健康的重视,戴牙套已蔚为风潮。(图片来源:Shutterstock)
文:李佩璇
世界卫生组织(WHO)统计,全球每10人中7人有齿列问题,欧美国家平均每3~5人就有1人接受过齿颚矫正治疗,在台湾,随着大家对牙齿美观和健康的重视提升,「戴牙套」也成了全*运民**动。
台湾卫生福利部心理及口腔健康司简任技正陈少卿指出,除了车祸或先天疾病造成外,齿颚矫正多为自费医疗范围,加上医师的做法各有不同,常造成患者对收费、治疗结果的预期有落差,纠纷的事件变多。
《齿颚矫正健康照护手册》编撰团队召集人台北医学大学口腔学院院长郑信忠表示,会进行齿颚矫正不外乎美观、健康和功能3个理由,以矫正的年龄来说,80%为12岁以上、恒齿已经长齐的患者,但仍有20%左右是7岁到12岁、正值混合齿列的孩童来矫正。
小孩牙齿歪掉需要矫正吗?7岁可做全面评估
所谓「混合齿列」指嘴巴里同时有乳牙和恒牙并存的过度期,既然乳牙都会换掉,是矫正的好时机吗?
郑信忠说明,牙齿除了整齐美观之外,对学龄儿童来说,若严重到会影响咀嚼功能、发音学习、清洁不易而蛀牙等,就需要提早介入开始矫正。
咀嚼不良会连带影响肠胃的营养吸收功能,发音也必须趁学龄期建立正确口腔动作,这些事情对发育中的孩子不容错过。
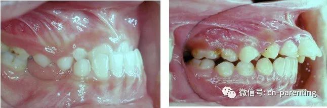
“如果孩子的牙齿从外观就可以看出不太对劲,像明显多颗暴牙、牙齿下排突出,或有吸手指、咬笔和口呼吸等坏习惯,建议在7岁时给专业的齿颚矫正医师评估,是否需要提早介入治疗。”

郑信忠认为,儿童如果出现倒咬(左)、严重暴牙(右)会较严重影响牙齿功能,建议早点开始矫正治疗。郑信忠提供
矫正费用、治疗成效最易有纠纷
齿颚矫正其实相当复杂,光是矫正器就有很多种类,固定式、活动式,装在牙齿的外侧或里侧,要不要拉橡皮筋,选透明或不锈钢的矫正器;在治疗方式上也很多元,有些情形需要打骨丁、拔牙,甚至动到上下颚的骨头,并非一个原则可以搞定。
陈少卿表示,矫正不是短时间可以完成,家长一定要和医师讨论完整的治疗计划,减少后面的纠纷,“依我们收到的陈情和申诉,以费用和预期治疗成效落差,这两项最多。”
要达到最佳成效,避免纠纷,治疗前要有完整的评估,医生也要让病人充分了解风险。
在《齿颚矫正健康照护手册》中提到,矫正前必须做相关检查例如 X 光、牙齿石膏模型等,之后由医师提出分析报告、判断预计使用的矫正装置等,并且充分告知病人相关风险、后续口腔照护的卫教等。
该手册中也提供了3个版本的「治疗同意书」供参考,特别提及矫正的流程、完整计划、费用、矫正器的种类、治疗成效、可能风险等。
陈少卿强调,这部份内容家长一定要详阅,很多做矫正前根本没想过的问题,都在这里列出可先考虑,以免当医生没有说清楚时,钱付了、牙齿拔了,后悔也来不及。
此外,手册中也有矫正期间应注意的事项,如:饮食避免太硬、太黏稠、太甜的食物;或矫正器线头露出、口腔破皮可以怎么居家照护等,都有非常实用的图文说明。
至于费用和预期成效,郑信忠认为,如果不是太复杂的矫正,费用大约落在10~20万(新台币)左右;而矫正的预期成效则需要患者配合,举例来说,拆除矫正器之后,维持器至少要戴一年,半年回诊一次也不能偷懒,如果都没有做到,就回来申诉牙齿又歪了、没效,恐怕再厉害的医师也没辙,郑信忠无奈表示。
儿童矫正牙齿2重点:准时回诊、慎防蛀牙
年纪小做牙齿矫正,会不会长大牙齿又乱了?这是许多家长的担心,郑信忠表示,重点是齿颚问题有没有严重到会影响孩子的发育和学习,小朋友如果已经咬不动、吃不好、营养不均衡、满口蛀牙,或因为暴牙外观、说话口齿不清等,造成人际上的问题,此时的矫正治疗就是在解决当务之急,不能只考虑孩子长大后的事情。
至于智齿长出来后,会不会把牙齿推乱?郑信忠指出,目前医界对此还没有共识,不认为必然有关,如果担心的话,建议在智齿冒出时给矫正医师评估,是否需要提早做维持。
郑信忠观察,由于孩子的牙齿移动速度快、正值成长期变化多,若想要达到好的矫正预期效果,一定要准时回诊,并且配合治疗建议,“小朋友矫正跟成人不同,通常都是家长觉得需要而进行,孩子自己的动机不强,有时治疗的配合度比较差,就会影响效果。”
另外则是学龄儿童刷牙的技巧较生疏,郑信忠强调,装上矫正器后不能只靠牙刷,一定要用牙间刷、牙线等工具辅助,或是使用电动牙刷帮忙才能把牙齿清洁干净,这点需要家长特别注意,免得牙齿整齐了,却换来一口蛀牙。

矫正期间每餐后都需要刷牙,并使用牙间刷清洁矫正器和牙齿间的缝隙。李佩璇摄
矫正医师有义务提醒患者其他口腔问题
进入矫正治疗后,常有家长期待:“都是牙医师,矫正时能不能顺便帮孩子补蛀牙、涂氟?”
陈少卿解释,由于口腔医疗的分类非常细致,目前台湾有1万4千多位一般牙医师,其中673位属于齿颚矫正专科医师,受限于器材和费用的考虑,因此有些牙医师只做矫正的治疗,若有其他口腔需求,要另外找一般牙医处理。
“有些矫正牙医只提供自费服务,涂氟是补助方案而无法进行,或根本没有可以补牙、拔牙的工具。”陈少卿说。
但陈少卿也提醒,这些细节矫正医师都必须在治疗前就跟家长说清楚,也是患者的权利,且在矫正期间,如果医师发现孩子需要补牙、拔牙或有其他口腔问题,矫正牙医有义务告知家长寻求其他牙医的协助,而不是看到孩子的问题却不处理,家长可以主动提醒,询问矫正医师孩子的口腔有没有其他问题。
★版权所有,转载请加注作者及出处,出处为亲子天下微信公众号(微信号:cn-parenting)