一组牙齿矫正动态图涵盖了我们矫正的常见8种情况,看完你就明白,杂乱无章的牙齿是如何一步步变成排列整齐的小列兵的。
前牙移位

相邻牙齿无秩序前突
牙齿前突

牙齿突出于牙列之外,牙齿排列不齐
牙列拥挤

牙齿过多,牙槽骨过窄,使牙齿没有足够空间生长就会造成牙齿排列不齐,需根据情况判断是否拔牙
开颌

通俗来讲就是咬牙时无法紧闭,上下牙齿中间有缝
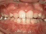
上牙深覆合

上牙边沿覆盖下牙超过1/3,俗话说的天包地
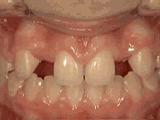
后天牙列稀疏

疾病外因等造成的牙列稀疏,牙槽骨过长或牙齿缺失,导致排列太宽松,零零散散
前牙反颌

下牙边沿覆盖上牙超过1/3,俗话说的地包天
先天牙列稀疏

正畸的几种方式
总有一款适合你




