莫要小看阑尾炎!
在多数人看来,阑尾炎是个小毛病,殊不知“小”阑尾也有“大”脾气。今天,就来学习1例急性阑尾炎的少见并发症。
病例介绍
患者,男性,37岁,是一名私人健身教练。因“腹痛伴发热12日”就诊。
现病史:患者12天前无明显诱因下出现腹部钝痛,疼痛部位自右上腹至左下腹呈L形分布。起病时曾伴一过性头痛,后出现发热,呈弛张热,热峰38.4℃-39.4℃。患者曾至社区医院就诊,查体无腹膜炎体征,辅助检查未见白细胞增多,但有肝酶异常,各项寄生虫筛查均阴性。予解热镇痛药对症治疗缓解不明显,腹部不适渐加重。
入院查体:体温37.3℃,心率107次/分,血压149/80mmHg,呼吸16次/分,氧饱和度100%。腹部查体无腹膜刺激征,肌力、感觉、神经系统体征均正常。
辅助检查:血常规:白细胞计数12*10^9/L,N:84%;尿常规:正常;肝功能:AST66IU/L,ALP 275IU/L。胸片未见异常。
诊治经过
患者中年男性,既往体健,为何会突然以腹痛伴发热起病?综合现有证据,应倾向于考虑急性感染性疾病。那么,感染从何而来?感染又去往何处?不急,先完善下影像学检查。
果然,腹部增强CT一扫就看出了端倪:
首先映入眼帘的是肝脏多发脓肿(图1)!

图1.多发肝脓肿形成
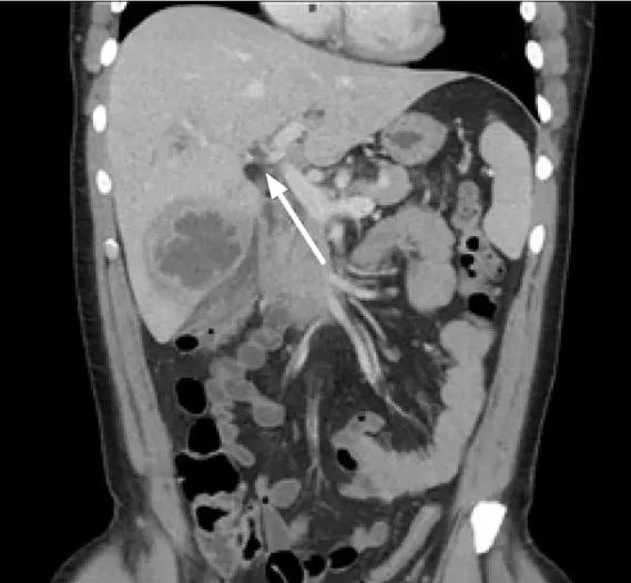
如此精壮的男子缘何无故发生肝脓肿?仔细一看,原来门静脉还有感染性血栓(图2)!

图2.门静脉感染性血栓
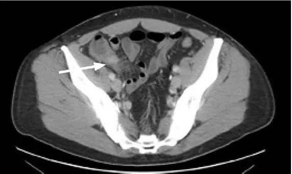
门静脉的感染从何而来?罪魁祸首就是这条已经穿孔的阑尾(图3)!

图3.坏疽穿孔性阑尾炎
故迅速予广谱抗生素抗感染,并行肝脓肿穿刺引流,脓液培养为溶血性葡萄球菌,青霉素敏感。患者症状迅速好转,最终择期完成阑尾切除术。
经验总结
急性阑尾炎作为一种最常见的急腹症,临床上常常见多不怪。随着外科技术的发展和抗生素的广泛使用,已经较少见到引起严重并发症的阑尾炎。但其实,教科书里对于阑尾炎并发症的描述一直未曾删减。

图4.来自第9版人卫版《外科学》
温故而知新,除了化脓性门静脉炎,另外两条则分别是腹腔脓肿和内、外瘘形成。
急性阑尾炎合并化脓性门静脉炎发生率较低,据文献报道仅占所有阑尾炎的0.4%。该篇病例来源于美国波士顿著名的贝斯以色列女执事医疗中心,作者称从20世纪50年代以后就未再见过此等症状。
这个病例提醒我们,不少阑尾炎可能初期并不会发生经典的“右下腹转移性疼痛”,而让医生和患者都放松警惕,最终造成病情迁延。对于不明原因的腹痛伴发热,腹部增强CT应作为首选检查手段。
你遇到过这种少见的阑尾炎并发症吗?欢迎留言讨论!
病例来源:
Kurtzman N, Adler J, Ketterer A, Lewis J. RareComplications of Acute Appendicitis: A Case Report. Clin Pract Cases Emerg Med.2021 Feb;5(1):66-69.
参考文献:
1. Addiss DG, Shaffer N, Fowler BS, et al.The epidemiology of appendicitis and appendectomy in the United States. Am JEpidemiol. 1990;132(5):910–25.
2. Owings MF and Kozak LJ. Ambulatory andinpatient procedures in the United States, 1996. Vital Health Stat 13.1998;(139):1-119.
3. Milliken NT and Stryker HB Jr.Suppurative pylethrombophlebitis and multiple liver abscesses following acuteappendicitis; report of a case with recovery. N Engl J Med. 1951;244(2):52-4.
4. Soro Y. Pylephlebitis and liverabscesses due to appendicitis. J Int Coll Surg. 1948;11(5):464-8.
5. Chang TN, Tang L, Keller K, et al.Pylephlebitis, portal-mesenteric thrombosis, and multiple liver abscesses owingto perforated appendicitis. J Pediatr Surg. 2001;36(9):E19.
6. Smith-Bindman R, Lipson J, Marcus R, et al.Radiation dose associated with common computed tomography examinations and theassociated lifetime attributable risk of cancer. Arch Intern Med. 2009;169(22):2078-86.
本文首发:医学界外科频道
【版权声明】本平台属公益学习平台,转载系出于传递更多学习信息之目的,且已标明作者和出处,如不希望被传播的老师可与我们联系删除