
代表真挚爱意的心形,不仅存在与玫瑰和巧克力中,还有美妙的人体中哦~当医师遇到情人节,内镜图片和惊喜更配哦~
作者丨糖糖
来源丨医学界消化肝病频道
又是一年情人节,在这样的一个日子里,我们时常能见到奢华的玫瑰,甜蜜的巧克力,化作心形传递爱意。

其实,在不为人知的角落,无需人工制作,生命之花就曾结出了那爱心之果。我们从医生涯中,确实看到了那些充盈着温暖爱意的图片,看到了生命的奇特、奇巧、奇迹。现将其呈现给大家。
结肠心形息肉

这是徐州一院的陈光侠医生发现的一例结肠息肉,像一颗心形气球飞翔在肠腔。我相信医生及患者看到它后,担忧的同时也会感动,切除的同时也会不舍。
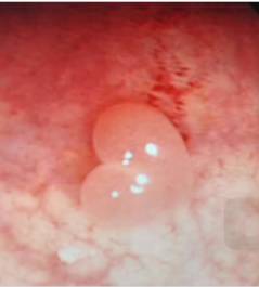
直肠的爱

这是呼伦贝尔市人民医院芦涛医生的作品,长在直肠的心形息肉,初次看到它时,我觉得很像女子钻戒上的宝石。晶莹剔透,精美别致。
食管里的爱心说

这是食管的乳头状瘤,是河北医科大学第二医院刘学臣医师的作品。手机翻拍的效果不太好,可是我们还是可以清楚的看到它努力把自己长成了爱的形状。而我开始不那么热爱内镜的师弟马伟平童鞋是当时的助手,在拍出这幅图后更是炫耀了很久,也逐渐沉迷于内镜。
Endoscopy杂志封面

庄严的学术大刊也有柔情蜜意的时刻,这是endoscopy杂志其中一期的封面图,我想,编辑在看到这个息肉身形的瞬间就被感动了,所以把它推送到了世人眼前。如此光洁的一颗粉粉的爱心,紧紧的贴在柔软的黏膜上,瞬间温暖了多少人的心。
刀锋下的柔情(1)

这是苏州大学附属第一医院李锐教授行胃窦ESD操作时于刀尖下画出的爱心图。从他的创作及他如此精心的修饰后才呈现这个图片,我们可以看出,一个粗犷的西北汉子,却有一颗温润如玉的心。
刀锋下的柔情(2)

这是吉林市人民医院刘时助医生的作品。高大威猛的东北汉子也时刻充满了情趣,做个镜下手术,创面都如此的充满爱意。
美丽的九宫图

这是芝加哥大学肖书渊教授的作品。与临床比相对更枯燥的病理学,却演绎出了如此唯美的画面,他们本身的形状就那么美,染色后更是色彩斑斓。充满爱意的图片也透出了他充满爱意的心。我想这样一幅图片,很容易打动女生的心。
日本群马大学麻兴华教授评到:“这就和佛教的舍利一样,这些患者肯定也在爱里修行了很久吧。”我想,是的。这些图片承载着的不仅仅是心形所代表的爱的意义,更是生命的广博、奇炫、唯美,大自然的鬼斧神工。
这是只有我们医护人员才能献出的情人节的大礼,向世人传递、告白——那封生命曾默默写下的情书。
愿天下有情人终成眷属,愿广大勤苦的医护人员能获得人间更多的真情、大爱。
值此七夕佳节,
祝广大医务工作者,爱情甜蜜,家庭和美~