
写于文前:这不是一篇软文。小编没有收洁尔阴洗剂一毛钱。小编只是把自己与洁尔阴的故事写出来,希望在用药方面,可以帮得到大家。仅此而已!还有本文仅供参考!不作为自治参考,否则后果自负!
1、股癣的治疗

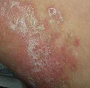
股癣
高中死*党**,有一天遮遮掩掩微信我,说他大腿内侧连同最重要的三角区奇痒无比,不敢去大医院看病。无奈之下跑去男科医院看病,那里的医生告诉他,这是见不得人的病,得花大价钱治疗。吓到他不得不放下面子联系我,让我给他点建议。
由于知根知底,我直白问清楚他私生活是否有不检点的行为,他说没有。再让他拍些瘙痒的图片给我看看,从图片跟发病位置,以我的经验,我估计是股廯。毕竟那时候是夏天,也是股廯的高发期。
在我建议下,他还是到当地正规的人民医院看病。并接受我的意见,保持随时联系,让我知道病情。
果真,当地二甲医院皮肤科检查后,给予他的诊断正是:股癣,并非男科医院所说的见不得人的性病。医生也给他开了外用的药。
过了一段时间,他又联系我了,说用了膏药反反复复,不见得好。问我除了医生最后建议的口服抗真菌药,还有没有其他办法?
本身,我个人是反对口服抗真菌药的,毕竟这个会给肝脏带来一定的负担,非万不得已没必要吃,而且还挺贵的。
但是西药激素外用药跟抗真菌外用药,确实也存在一定的耐药性。病人不科学用药或者个别医生滥用,却也容易导致耐药而无效。
可是中药外用药,这方面相对不多。于是我到药房里面查找了一下,根据药品说明书跟相关文献,给他推荐了“洁尔阴洗剂”,建议他将洁尔阴洗剂原液稀释成50%浓度的液体,白天用西药外用药,中午跟晚上分别用洁尔阴洗剂擦洗。结果电话那头突然就炸天了。反问我,是不是不懂,随便乱推荐。这一问,也是让我很无语。如果是普通病人,我倒真的会耐心跟他介绍。可是越是来自熟人的不信任,我越懒得理会。摆出一副爱用不用的样子挂了电话。
过了几天,他主动打电话给我,告诉我,按照我建议的方法,股癣比之前要好很多了。
其实,将洁尔阴洗剂用来治疗股癣,也并不奇怪,它的说明书就有这样的规定,只是一直被忽略而已——
“体股癣:用50%浓度洗液(即取本品50毫升加冷开水至100毫升混匀)涂擦患处,一日3次,21天为一疗程。”
根据《家庭医药杂志》报导,洁尔阴洗液对致病微生物具有广谱杀灭作用。对常见致病菌如金黄色葡萄球菌、大肠杆菌、伤寒杆菌、痢疾杆菌、淋球菌等均有较强的抑菌作用;对常见皮肤癣病的致病菌如絮状表皮癣菌也有抑制和杀灭作用;对单纯疱疹病毒、沙眼衣原体和阴道滴虫亦有明显抑制及杀灭作用。
而在《洁尔阴外搽治疗外阴湿疹与股癣 120 例》一文中(作者湖北长江葛洲坝工程局预防保健中心 傅梅湘),作者也通过对比实验得出结论,此药治疗真菌性皮肤病较变态反应性皮肤病疗效好,值得进—步探讨。
所以,洁尔阴洗剂可用于股癣
(未完待续)
上文链接—— 洁尔阴洗液新用疗效好