近期,我在一些网络平台上不断收到有人提到脚痛、腿麻、下肢冰凉的问题,还有些发来足趾或踝部溃烂发黑的触目惊心图片,问我有什么好办法。在这些病例里面,有很大比例是下肢动脉硬化闭塞症所致。部分病例,我回复他们及时找医生诊查,通过有效治疗可以保全肢体;但另外一些病例,我也只能是徒叹“奈何”,请他们及时截肢保命,继续拖下去可能就是不能承受之重了!
如果有人出现上述那些症状,我推荐尽量早些去找介入医生咨询,及时得到有效治疗,不要把宝贵的治疗时机轻易失去了!
何为下肢动脉硬化闭塞症?
下肢动脉硬化闭塞症(arteriosclerosis obliterans,ASO)是指由于动脉硬化造成的下肢供血动脉内膜增厚、管腔狭窄或闭塞,肢体供血不足,引起下肢麻木、冰冷感、间歇性跛行、疼痛乃至发生溃疡或坏死等临床表现的慢性进展性疾病。下肢ASO常为全身性动脉硬化性疾病(如常伴有不同程度的冠心病、脑动脉硬化等)的一部分,其发病率有逐年升高的趋势。下肢ASO患者生活质量下降、心脑血管疾病风险增大,且为截肢的主要原因。

本文改编来源:中国中西医结合影像学杂志继续教育文章
为什么要推荐介入诊疗?
1.药物治疗有限度 下肢ASO患者出现急性肢体缺血时,可表现为“6P”症:疼痛(pain)、苍白(pallor)、无脉(pulselessness)、麻木(paresthesia)、麻痹(paralysis)、皮温降低(poikilothermia),全身*药性**物治疗疗效不佳,且有较高的出血风险。
2.手术治疗陷困境 手术取栓、血管旁路和动脉内膜剥脱术是下肢血运重建的有效方法。然而,下肢ASO患者常常年纪比较大,且常合并其他基础疾病,难以耐受较大的手术创伤,或在心理上不愿接受大创伤性的手术方式。
3.介入诊疗有优势 血管腔内介入诊疗融合了内科保守治疗和手术治疗的优势,且兼具诊断和治疗的双重意义。在对下肢动脉的狭窄或闭塞程度、范围、代偿侧支作精确而全面的评估后,能够立即转入治疗。相对于手术治疗而言,介入治疗具有创伤小、重复性强、术后恢复快、并发症少等优点,如果治疗失败也不会造成大的医源性损伤,因而逐渐成为下肢ASO治疗的主流手段。

a.白箭处为右股浅动脉起始部闭塞;b.导管鞘(粗白箭)支撑导管(细白箭)并配合导丝(黑箭)开通闭塞;
介入诊疗的原理何在?
1.明确ASO诊断 对病情诊断清楚才动手,这是下肢ASO介入诊疗的必要环节。间歇性跛行或静息痛等是下肢ASO进展到一定程度后才会出现的症状,超声及CTA可作为术前筛查、评估的重要手段。然而迄今为止,DSA设备下的血管造影才是最精准的评估手段,俗称“金标准”,对指导后续的腔内治疗或手术均有重要意义。
2.重建下肢血运 开通闭塞或严重狭窄的血管,这是下肢ASO介入诊疗的中心环节。它主要是通过腔内的血栓溶解、机械再通、扩张成形等手段,快速改善下肢动脉的腔径和血流,恢复缺血组织的再灌注,防止截肢缺趾,并恢复肢体的运动功能。
3.维持动脉畅通 别把好不容易取得的成果轻易葬送,这是下肢ASO介入诊疗的后续环节。通过器械改良、中西药物应用及护理措施等,可有效地预防下肢动脉的再闭塞。

介入血管造影,血管狭窄闭塞及治疗后改善情况一目了然
介入诊疗时要关注哪些问题?
1.制定严密的诊疗方案 医患双方要充分讨论,取得信任合作,备好介入器材和药物。一般首选对侧股动脉逆行穿刺,如病变血管在股浅动脉中远段及以远,常可经患侧股动脉顺行穿刺;如髂动脉病变,可选(左)肱动脉穿刺入路;经患肢远端动脉逆行穿刺则可作为顺行开通困难者的补充入路。
2.重视血管造影的应用 必须在治疗开始前进行动脉造影,对病变血管进行精准评估后才确定最终治疗方案。推荐应用下肢全长的追踪造影,辅以病变节段的一定角度造影或旋转DSA方式,以最少的对比剂用量充分了解病变血管的概况及分支方向与走行,并可通过“路径图”设定,引导后续的介入操作(特别是开通闭塞段)。在治疗的各个阶段,均应及时复查造影,以评估疗效,并引导后续的治疗进程。
3.选择适宜的具体技术 往往需要联合应用多种具体的介入诊疗技术(如经导管溶栓术、经皮血管腔内成形术、支架植入术、机械性斑块切除术等),从安全高效的角度进行合理选择,为患者带来更实际的利益。
何时可用经导管溶栓术?
经导管介入溶栓术,简称CDT,主要适用于下肢ASO伴有血栓形成或血栓栓塞的患者。将导管插至存在血栓的病变血管段后,通常可经导管团注10万~50万单位尿激酶先行溶栓;部分患者可配合进行血栓抽吸术,以改善疗效。CDT亦适用于介入治疗后的急性血栓形成,可经导管注入尿激酶进行溶栓,必要时需留置导管2~3 天持续溶栓。

动脉内抽出之血栓
经皮腔内血管成形术是怎么回事?
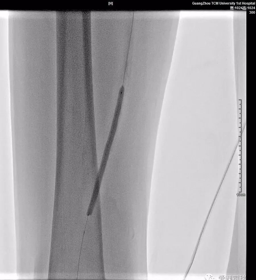
经皮腔内血管成形术,常简称为PTA,是采用可以在血管腔内扩张的球囊导管进行的介入操作,充盈球囊后可在一定程度上恢复血管的腔径,从而恢复血流灌注。PTA是下肢ASO的主要介入技术,适用于从髂动脉直至足背动脉弓的各个节段。在导丝通过狭窄或闭塞段后,即可引入与目标血管匹配的球囊导管,连接压力泵进行扩张成形。推荐长的非顺应性球囊,控制压力为6~12 个大气压,每部位扩张1~2次,每次持续30~180 秒。

图中的黑长条就是球囊导管正在对狭窄血管进行扩张成形
支架植入术有什么作用?
血管支架如同隧道内防止塌方的支撑架。球囊扩张成形后,有时并不能完全保障血管就能够得到有效扩开,或难以保证持续再通,或者出现了影响血流的夹层,植入支架就是良好的补救手段。有时,血管的硬化广泛,腔内无法开通,只能选择内膜下开通时,植入支架也是必要的。

支架植入示意图
有没有更加高效的介入技术?
有是有,就是价格贵!比如:所谓的“经皮机械性血栓切除术”、“经皮机械性斑块切除术”,就是使用专用的介入器材,经导管鞘插到病变血管段(也是经皮穿刺,无须切开血管),机械性地清除血管内的血栓或斑块。对于有溶栓禁忌或者溶栓疗效不佳者,这些新型介入治疗手段能够大大地加快治疗进程。这些器材有Angiojet、Rotarex血栓清除装置,SilverHawk和TurboHawk斑块切除系统等。需要注意的是,进行斑块切除时宜配合保护伞的使用,以防斑块碎屑脱落造成远端血管栓塞。这些器材和保护伞都比较昂贵,在使用审批上可能会太过麻烦,或者根本就无法得到同意应用的批复。

还有哪些介入新技术可供选用?
介入新器材的不断研制,有力地促进了介入新技术的开展与普及。目前,切割球囊对下肢静脉移植物狭窄和膝下动脉顽固性狭窄的治疗、冰冻球囊对糖尿病患者股浅动脉狭窄治疗、药物涂层球囊对股腘动脉狭窄的治疗等都有较好表现。药物涂层支架和可吸收支架渐已成为腔内治疗的新热点,值得密切关注。
介入医生在临床治疗过程所遇到的新问题,病患者日益提高的新追求,反过来又为介入新器材的研制提供了题材和方向,相信动脉硬化闭塞症的微创诊疗之路一定会越走越宽广。
主要参考文献
[1] 中华医学会外科学分会血管外科学组.下肢动脉硬化闭塞症诊治指南(上)[J].中国血管外科杂志(电子版).2015,7:145-151.
[2] Patel MR, Conte MS, Cutlip DE, et a1.Evaluation and treatment of patients with lower extremity peripheral artery disease: consensus definitions from Peripheral Academic Research Consortium (PARC).[J].J Am Coll Cardiol. 2015;65(9):931-41. doi: 10.1016/j.jacc.2014.12.036.
[3] Trummer G, Brehm K, Siepe M, et a1.The management of acute limb ischemia[J]. Minerva Chir. 2010;65(3):319-328.PMID: 20668420
[4] 王深明,李梓伦.应重视急性下肢缺血的诊断和治疗[J]. 中国血管外科杂志(电子版)2012;4(2):65-71.
[5] 王芳军,周伟生,温凤媚,等.中西医结合介入治疗下肢动脉闭塞性血管病[J].中国中西医结合影像学杂志2003; 1(1): 27-30.
[6] Olin JW,White CJ,Armstrong EJ,et al.Peripheral Artery Disease: Evolving Role of Exercise, Medical Therapy, and Endovascular Options[J]. J Am Coll Cardiol 2016;67:1338-1357.DOI:10.1016/j.jacc.2015.12.049
[7] Karnabatidis D, Spiliopoulos S, Tsetis D,et al.Quality Improvement Guidelines for Percutaneous Catheter-Directed Intra-Arterial Thrombolysis and Mechanical Thrombectomy for Acute Lower-Limb Ischemia[J]. Cardiovasc Intervent Radiol 2011.34(6):1123-1136.DOI 10.1007/s00270-011-0258-z
[8] Akkus NI, Abdulbaki A, Jimenez E,et al.Atherectomy devices: technology update[J].Med Devices (Auckl). 2015; 8:1-10. doi:10.2147/MDER.S50594
[9] 谷涌泉,郭连瑞,齐立行,等. TurboHawk斑块切除治疗伴严重钙化斑块的下肢动脉硬化闭塞症2例[J]. 中国微创外科杂志2016;16(5):449-451.
[10] 项以力,杨镛.球囊扩张治疗下肢动脉硬化闭塞症的研究进展[J].中国血管外科杂志(电子版)2015;7(4):306-309.