小夫妻L先生Z女士上海本地人,新婚一年就喜得贵子,并且是个大胖小子!小宝宝的降临,让一家人幸福不已,全家大小长辈、好友亲戚都纷纷前来恭贺道喜,探视月子。
就在月子的第一个星期,月嫂阿姨发现小宝宝的右侧胸壁皮肤大片淤青,一家人百思不得其解,找不到原因,心急如焚。是啊,宝宝这么小,怎么突然就淤青了呢?仔细观察,好像宝宝也没有别的什么异常反应,该吃吃该喝喝的,担心宝宝有什么问题,于是,一家人鞍前马后赶紧抱来医院找医生。
超声检查发现小宝宝的问题是右侧锁骨骨折,这根骨头不仅断成了三截,同时还合并了错位!听到这个消息,宝爸宝妈、爷爷奶奶、姥姥姥爷都吓的不轻,出生才几天的小宝贝,这接下来恐怕是要遭好大的罪,额.......
骨折?三截?一家人瞬间陷入了焦虑,是不是需要马上做手术呢?哎,这么小的娃,开刀那是得多遭罪......
看完报告,儿科医生给出的建议是:保守治疗,抱回家去。还说只要注意护理,很快就会康复的,不用担心!
一听不用手术,家长心里总算轻松了一些,可是,不开刀错位的骨折怎么能够长好呢?他们还是打心眼里半信半疑没法不担心.......
按照医生叮嘱的的注意护理,所以,一家人回到家都特别小心,给宝宝洗澡的时候,穿脱衣服的时候,抱起来放下去的时候都特别注意。
过了两个星期,他们又来到医院看医生,复查超声,发现小宝宝骨折的锁骨骨痂已经形成,并且,错位的部分也开始对接。这时,爷爷奶奶、姥姥姥爷总算是松了一口气,接下来的两个星期,他们一家继续坚持.......
刚满一个月,他们又迫不及待来看医生,哇!这一次,小宝宝断掉的锁骨已经基本对位完毕,局部的血肿也基本消散干净。
看到超声图像的显示,他们一家人情不自禁地感激:哇!简直不可思议,真是奇迹!谢谢医生!谢谢医生!
以下是女医生当时报导的这个病例,希望可以帮助到有需要的人,遇到疾病,请一定要相信医生,因为他们才是专业的!
【附本人发表文章原文如下:】
不用吃射线,超声就能确诊新生儿锁骨骨折!
医学界骨科频道 2019-06-23
以下文章来源于医学界影像诊断与介入频道

医学界影像诊断与介入频道

今天来说说新生儿锁骨骨折那些事。
新生儿锁骨骨折是自然分娩时最常见的并发症之一,据统计,每100个分娩的孩子中就有1-2例会出现锁骨骨折。研究表明,新生儿锁骨骨折的发生可能与宝宝体重过大、难产、急产等因素有关。
锁骨骨折好发于新生儿及婴幼儿,其中右侧较为多见,男女比例为2:1,经阴道分娩的发生率远远高于剖宫产。
由于新生儿的锁骨细长、弯曲,相比于成人十分脆弱,肩难产时其肩胛部在通过母体狭长的产道时很容易受到产道和耻骨的挤压导致过度弯曲甚至骨折。
新生儿锁骨骨折多发生于锁骨中央或中外1/3处,呈横形骨折并有移位,也有不完全性骨折(青枝骨折)。
新生儿锁骨骨折的确诊方法主要有两种:X线和超声。
由于X线的放射性,很多家长在选择时常常忧心忡忡,一项近3000名的新生儿临床研究显示,不用吃射线,超声对新生儿锁骨骨折的诊断准确率几乎达到百分之百!
新生儿锁骨骨折的超声声像图表现

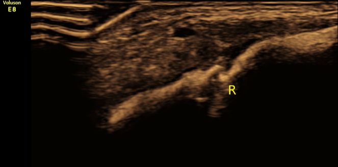
(图1:超声二维清晰显示右侧锁骨骨折断端,骨皮质连续性中断、断端错位。)

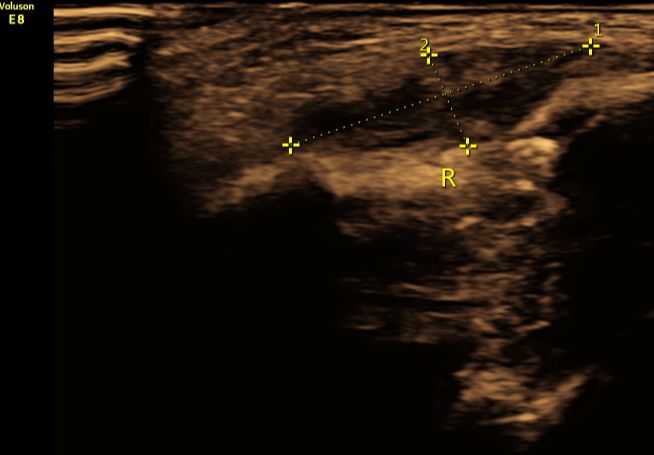
(图2:超声多切面显示右侧锁骨骨折断端)

(图3:超声二维显示锁骨骨折周围血肿形成,呈不均质低回声。)

(图4:彩色多普勒超声显示锁骨骨折周围血肿内血流信号较丰富)
如何早期发现新生儿锁骨骨折?
由于婴幼儿尚不会表述自己的感受,且锁骨骨折往往不伴有特殊的活动障碍,有时仅表现为小儿头偏向患侧,下颌偏向对侧,因此相对于其他骨折锁骨骨折不易被发现,尤其是新生儿。
1.警惕病史: 特别是难产史出肩困难的婴儿,出生后应仔细查体,从外向内仔细触摸锁骨,体会双侧锁骨轮廓,左右两侧是否对称。
2.注意异常表现:
①双侧锁骨不对称,患侧锁骨轮廓不清,通常有增厚感、模糊感,触诊至骨折处时患儿往往会出现哭闹;
②双上肢活动度差异,患肢可因活动时疼痛呈现假性麻痹而紧贴胸部;
③局部软组织可有肿胀、压痛;
④患儿拥抱反射不对称,患侧减弱或消失。
3.超声诊断: 超声检查作为最常用且最安全的一种临床诊断方法,它不仅无创、无痛、方便快捷又准确,还可以定期随访骨折的愈合情况。同时,超声检查对于新生儿锁骨骨折继发的神经、血管、肌肉或软组织损伤也有着非常重要的诊断价值。也就是说,不用吃射线,超声就能准确诊断新生儿锁骨骨折。
新生儿锁骨骨折诊断要点
1.病史: 询问有无外伤、难产或急产史等。
2.查体: 触诊时婴儿出现哭闹,患肢活动受限、紧贴胸部。局部软组织肿胀、压痛。患侧拥抱反射减弱或消失。
3. 超声诊断:
①直接征象:超声二维显示锁骨骨皮质连续性中断,新鲜错位骨折时断端显示清晰,愈合期骨折处显示增厚、模糊;
②合并周围软组织损伤:骨折周围可见血肿声像,呈不均质低回声。早期新鲜血肿时内部血流信号较丰富,晚期血流信号减少或消失;
③合并血管损伤:假性动脉瘤或锁骨下静脉破裂表现;
④合并臂丛神经损伤:神经水肿,增粗、增厚,回声减低。
新生儿锁骨骨折预后
新生儿锁骨骨折预后良好,一般无需特殊治疗,随着小儿的生长发育,肩部增宽,错位及畸形均可自行消失。

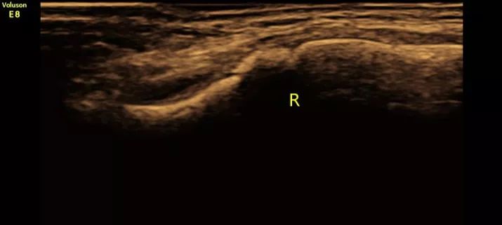
(图5:患儿三周后复查,右侧锁骨骨折断端已未见明显错位及成角,局部血肿已消失。)

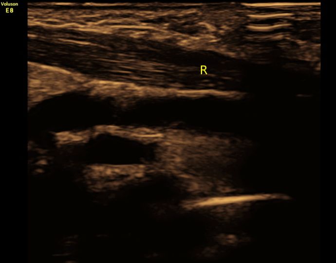
(图6:同侧胸锁乳突肌亦未见明显异常。)
本文首发:医学界影像诊断与介入频道