
前言: 实性肺结节形态各异,原因不同,特别是肉芽肿性炎与肺癌经常非常难以区分,导致临床上实际上肉芽肿的予以手术切除。当然我也不是说肉芽肿性炎就不能手术,手术切除可明确病理又可治愈,如果是楔形切除还是可以接受的。但如果术后病理是肉芽肿,我们应当回顾分析,来找出其影像特征,为以后再遇到类似病灶提供一些经验积累。其中隐球菌性肉芽肿,在我们碰到的有限病例中,个人感觉“实性病灶伴晕征”是非常有特征性的影像表现,据些可能可以区分大部分隐球菌性感染性的肉芽肿性炎。今天我们结合一例具体的病例来分享一下:
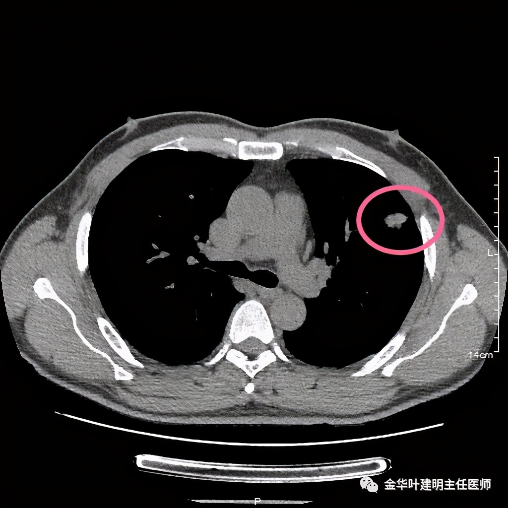
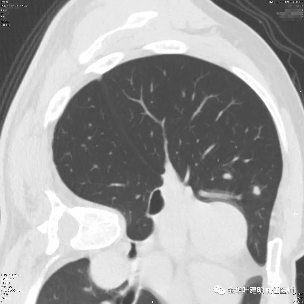
患者为48岁男性,检查发现左肺上叶实性结节,临床没有炎症表现,肿瘤指标不高,没有查过结核及隐球菌荚膜抗原试验或G试验、M试验等。我们先来看其前一个月时的平扫影像:





上图示有血管征,与病灶关系较密切

上图示血管与病灶临近,但没有被病灶牵拉从而进入病灶

上图血管有分支进入病灶


上图示纵隔窗,没有钙化
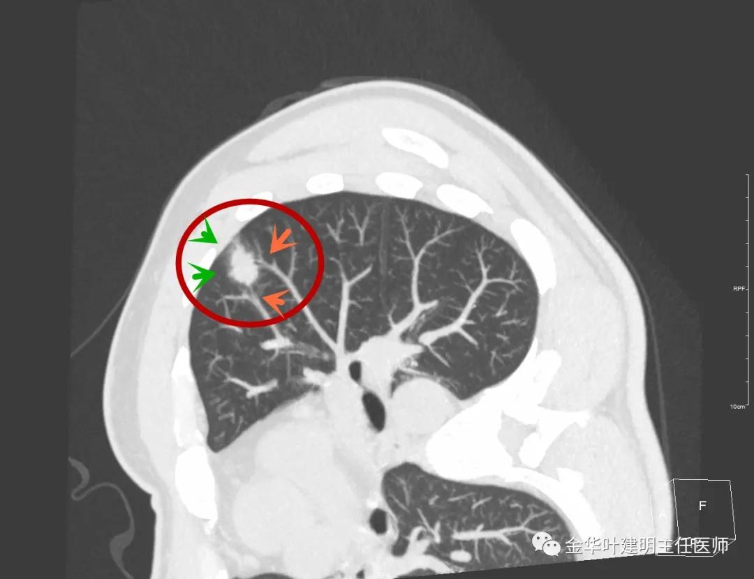
我们见左上实性病灶,主病灶旁有卫星灶,有血管进入,但也有贴边走行,边缘略显模糊,膨胀感与细毛刺不明显,收缩力也不明显。下面是其靶扫描的片子:

病灶实性,但收缩力弱,绿色箭头示病灶边缘有一圈晕征(模糊且均匀)

病灶实性,但收缩力弱,没有细毛刺征,实性部分比较圆润,绿色箭头示病灶边缘有一圈晕征(模糊且均匀)

此层面红色箭头示有卫星灶,粉色箭头示主病灶

红色示卫星灶,粉色示病灶,绿色示边缘晕征


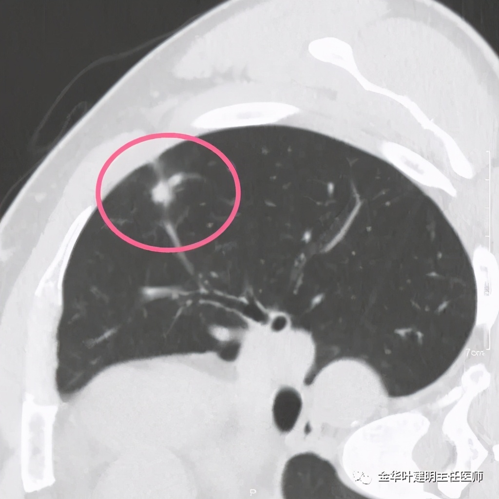
此层面相对最不舒服,病灶表面不平整。桔色箭头示血管进入病灶,但仍有绿色箭头示病灶有晕征(边缘是模糊的,不似肿瘤那种细毛刺且相对清楚轮廓)

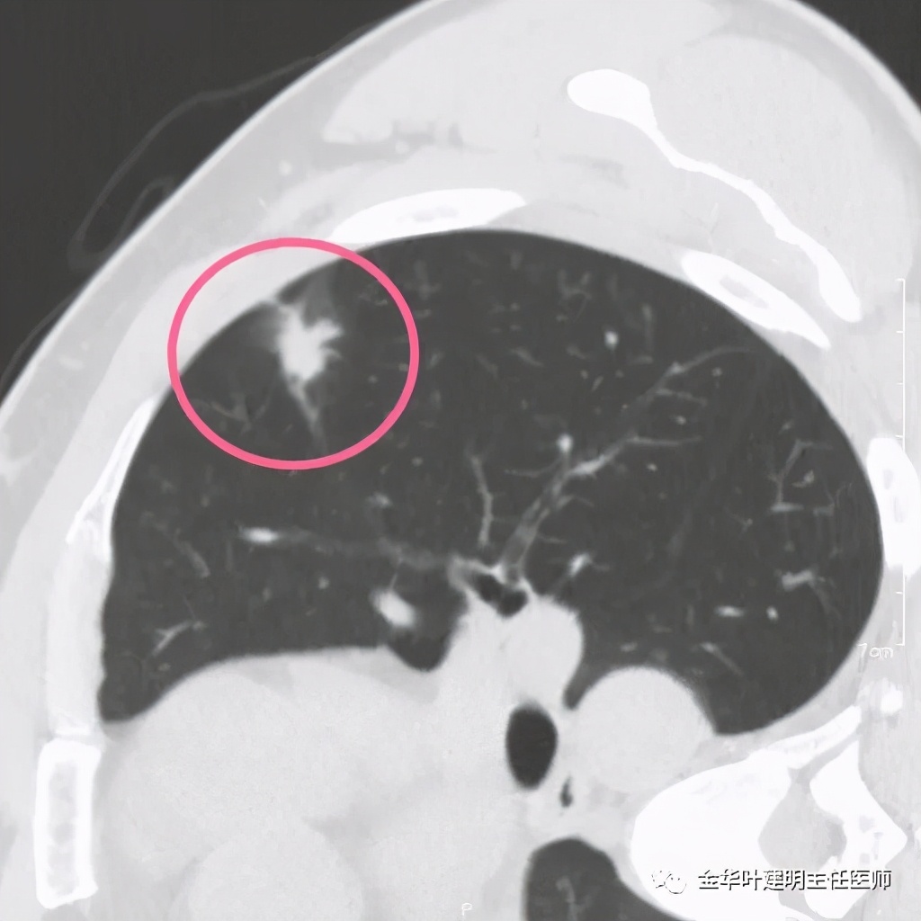
紫色箭头示病灶的边缘向内凹陷,说明无膨胀性,绿色示晕征,粉色箭头指向病灶

此层面示病灶呈三角形,缺乏膨胀性,边缘较直,没有毛刺征,实性部分没有收缩纠集感,绿色箭头示晕征
医生考虑炎性可能性大,予以头孢美唑抗炎治疗10来天,之后约一个月后复查了靶扫描,图像如下:




实性部分我看是有所缩小改善的,边上磨玻璃样的晕征更加明显了点

上图示病灶边缘向内凹陷,同时仍伴晕征

上图红色箭头示仍有血管进入,但蓝色箭头示边缘内凹,绿色示仍有晕征

上图红色箭头示血管进入病灶
医生告诉患者可以穿刺活检,也可予以胸腔镜下楔形切除。患者方选择手术切除。术后病理示:隐球菌感染伴肉芽肿性炎!
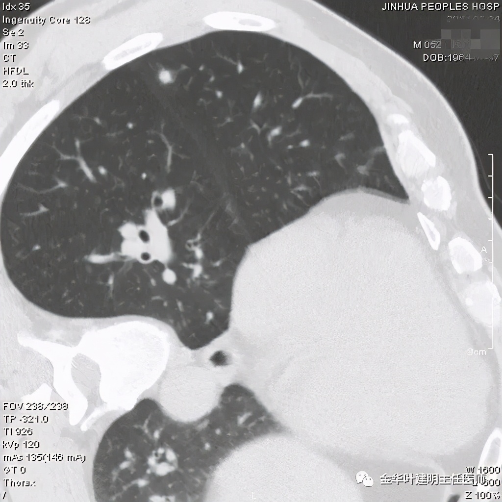
我们来看以往的隐球菌感染是怎样的影像表现:





我们看到它们的共同特征是:实性结节伴有晕征(边缘略糊,看不清的感觉),同时实性的病灶缺乏收缩力(没有胸膜凹陷及毛刺牵拉或纠集感)。
#叶建明谈肺结节#肺结节是不是肺癌#