想看明星整容爆料,专业变美知识请搜索订阅号“更美”(ID: wanmeizhensuo)。关注我们,每周有免费福利让你变更美哦!
老一辈人常说洗牙不好,会让牙齿变薄、牙缝越来越大,洗牙还很疼会出血。

那么,洗牙到底是不是必须的?洗牙洗多了牙缝真的会变宽吗?
本期【医美小百科】所长就来跟大家探讨下洗牙的必要性和副作用吧~
牙科医生常说,普通人一年至少要洗一次牙。那么,如果平时刷牙特别认真仔细,真的有必要去洗牙吗?

说真的,并不是每个人每年都要去洗牙的~这就好比,平时家里卫生保持得好,无需频繁大扫除~
只要平时牙齿清洁到位,口腔犄角旮旯儿里没有黑黑黄黄的脏东西,牙缝、牙齿与牙龈之间没有白色的“结石”,无需一年洗一次。

但牙齿清洁不到位,又长了牙垢,即使上一次洗牙不到一年也还是要老老实实去洗的。
因为牙齿变脏不仅影响美观,还特别影响牙齿的健康~
大家知道,人的口腔是很脏的,里面有很多细菌:拿口内入路的整形手术(比如切下颌角和假体隆下巴)来说,需要对口腔进行非常严格的消毒,使用医生会将一次性棉球浸泡在碘伏中,然后使劲擦拭口内,有些情况甚至要用碘伏漱口才行。可见细菌有多顽强啊!

嘴里含着农药一样的深棕色液体并来回震荡?想想就够了!

但没办法,人口腔里的细菌太多,再加上细菌的生命力实在顽强~
而正常刷牙后,仅仅几分钟的时间,口腔中的细菌就开始滋生,几小时后细菌家族就几代同堂了~再过十几个小时,就开始对牙齿进行损害!

唾液中的营养物质可附着在牙齿表面形成薄膜,为细菌的繁殖提供土壤和营养,最终会形成菌斑。
没有人为的破坏,菌斑群体集结在一起,还会友爱团结地共生、共同抵抗外界的干扰。菌斑群体形成后,使用漱口水这种温柔的方法根本无法达到清洁牙菌斑的目的,唯有使用牙刷反复摩擦、仔细洗刷才能将菌斑祛除。

但道高一尺,魔高一丈,这些牙菌斑发展到一定程度后,会钙化形成牙结石,刷牙刷不掉。

它有点类似于水壶壁上的水垢,很难祛除,只有用超声波洁牙器(洗牙)才能把它弄掉~


强迫症表示看着蛮爽的~

牙菌斑生命力如此顽强,它的破坏力也是极大的:引起龋齿和牙周疾病。
龋齿,也就是普通人讲得虫牙。其实并不是真的虫,而是牙菌斑附着在牙齿上并吸收唾液中的糖分,分解成酸,“腐蚀”牙齿并最终形成“虫洞”。
另外,牙菌斑对牙龈和牙根也都有破坏作用,引起牙龈炎,进一步可发展成牙周炎,破坏牙槽骨(让牙缝变宽的真正元凶在这儿啊!),让牙齿松动、脱落。
一张图就能搞懂↓

前面都不是重点啊,重点在于美人们平时要好好刷牙(睡前、吃完东西务必仔细刷牙)!形成良好的口腔习惯啊!

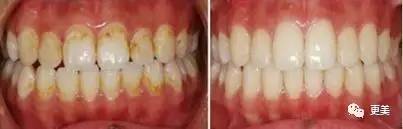
如果发现牙齿表面和缝隙中已经有牙石了,就立马去洗牙啊,不要等到出现牙龈肿痛、龋齿时,才后悔啊~

洗牙效果也是立竿见影的,一次性把牙齿里里外外的脏东西全都清理干净。

回到最初我们的那个问题:洗牙会让牙缝变宽、牙齿变薄吗?
其实很多人洗完牙都有种错觉,包括所长自己:感觉牙齿变小了、牙缝变大了,说话呼呼地漏风。
其实洗牙洗掉的基本是堵在牙缝、牙齿和牙龈之间的牙结石,洗干净后暴露了牙齿本来的真实面目,所以许多人常常觉得洗牙会让牙缝变宽、牙齿变薄。另外,老不洗牙,放纵牙结石的堆积反而会让牙龈萎缩、牙缝变宽。

这就好比,洗澡搓泥,搓掉的是“泥”(多余的角质与污垢)而不是皮~
另外,洗牙的感受因人而异的,所长的牙齿比较健康,洗牙时基本没感觉,某些地方会感觉酸酸的~有牙周疾病的人就不同了,有些人会感觉比较酸爽。

再多讲一个洗牙的好处吧~
洗牙一般会经历三个步骤:超声波洁牙器洁牙、喷砂和抛光。

前两个步骤都是起到摩擦与清洁作用的,第三个步骤是为了能让牙齿表面变得更光滑,这样脏东西(牙菌斑和牙石)不容易附着在上面~
抛光就好比于清洁完木地板再去打蜡~
想牙齿健康就正确刷牙+定期洗牙吧~
想让牙齿健康又美丽?快戳【阅读原文】教你怎么找到靠谱的医生!
想看明星整容爆料,专业变美知识请搜索订阅号“更美”(ID: wanmeizhensuo)。关注我们,每周有免费福利让你变更美哦!