摘要 :
60岁的刘先生近期频繁嗳气,常规检查化验都正常,胸腹部增强CT也没有发现明显异常,医生建议患者进一步完善胃镜检查,结果提示:距门齿27-31cm食管左后壁可见局部粘膜稍粗糙,片状充血(图1),NBI可见褐色区(图2),NBI放大观察可见B1型血管(图3),碘染色后可见大片状不规则不染区,累及3/4环周以上(图4),这些结果均提示早期食管癌可能。
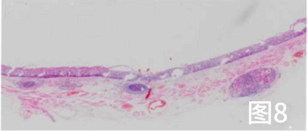
该患者有内镜黏膜下剥离术(ESD)适应症,因病变范围较大(切除病变大小约 3.5cm*5.0cm),术后再狭窄风险较高(图5)。ESD 术后 1 月复查胃镜:距门齿30cm食管狭窄明显,镜身不能通过,经过两次支架置入(1月后取出),狭窄有所改善(图6),术后9年规律随访,未见进一步狭窄(图7)。ESD术后病理示食管中分化鳞状细胞癌,癌组织浸润深度距粘膜肌层下缘约 1220.08μm,黏膜下固有腺受累及(累腺),初步病理结果提示T1bNx,但该病变受累腺体基底膜尚完整(图8),诊断T1b是否有可能过度诊断值得商榷,经内镜-病理联合讨论,累腺仍认为是粘膜内癌,病理诊断修订为T1a-MM,ESD术后无需追加进一步治疗。术后9年规律随访,未见病灶复发或转移,实现了治愈性切除。








图片选自《西京消化内镜病理对照图谱》
病史 :60岁的刘先生近期频繁嗳气,常规检查化验都正常,胸腹部增强CT也没有发现明显异常,医生建议患者进一步完善胃镜检查,提示:距门齿27-31cm食管左后壁可见局部粘膜稍粗糙,片状充血,NBI可见褐色区,NBI放大观察可见B1型血管,碘染色后可见大片状不规则不染区,累及3/4环周以上
诊断报告 :

评估路线: 胃镜通过白光、NBI、放大和碘染色提示早期食管癌,B1型血管提示浸润深度为粘膜上皮/固有层,术后初步病理提示T1bNx,经内镜-病理联合讨论,最终确诊早期食管鳞状细胞癌(T1a-MM)
治疗方法: 内镜黏膜下剥离术(ESD)
预后情况: 术后定期复查胃镜,最近一次复查为ESD术后9年,距门齿30cm食管狭窄明显,镜身不能通过,鼻胃镜可通过;未见病灶的复发或转移。
总结: 该患者早期食管癌病变范围大且累及黏膜下固有腺体,如何改善术后狭窄的程度,实现治愈性切除很有挑战性。团队通过NBI和碘染等方法实现了对病变范围的精准判断和标记,减少了ESD的切除范围,降低了术后的狭窄程度;通过内镜-病理的联合讨论,实现对病变浸润深度的准确判断,为ESD治愈性切除提供了依据,长期规律随访并未发现复发或转移。这个病例充分体现了ESD在早期食管癌的优势和内镜-病理联合讨论的价值。
参考文献:
[1] OYAMA T, INOUE H, ARIMA M, et al. Prediction of the invasion depth of superficial squamous cell carcinoma based on microvessel morphology: magnifying endoscopic classification of the Japan Esophageal Society [J]. Esophagus, 2017, 14(2): 105-12.
[2] OVERWATER A, VAN MUNSTER S N, OFFERHAUS G J A, et al. Extension of early esophageal squamous cell neoplasia into ducts and submucosal glands and the role of endoscopic ablation therapy [J]. Gastrointest Endosc, 2021, 94(4): 832-42 e2
[3] WANG W L, CHANG I W, HSU M H, et al. Risk factors and pathological characteristics for intraductal tumor spread of submucosal gland in early esophageal squamous cell neoplasia [J]. Sci Rep, 2020, 10(1): 6860.
[4] WANG W L, CHANG I W, CHEN C C, et al. Lessons from pathological analysis of recurrent early esophageal squamous cell neoplasia after complete endoscopic radiofrequency ablation [J]. Endoscopy, 2018, 50(8): 743-50.
[5] TAJIMA Y, NAKANISHI Y, TACHIMORI Y, et al. Significance of involvement by squamous cell carcinoma of the ducts of esophageal submucosal glands. Analysis of 201 surgically resected superficial squamous cell carcinomas [J]. Cancer, 2000, 89(2): 248-54
团队介绍:

刘志国教授
刘志国:医学博士,副主任医师,副教授,硕士研究生导师。西京医院消化内镜中心主任。2001年至2004年在美国麻州大学医学院从事博士后工作,2008年获日本消化协会奖学金在日本国立国际医学中心学习。是国内最早开展ESD治疗消化道早癌及癌前病变的专家之一,是我国乃至世界消化内镜切除技术迅速发展的推动者和引领者之一。曾在Gastro 2013、全国早癌会、全国内镜会等大会进行内镜操作演示,在DDW、UEGW受邀大会报告。现任或既往担任中华医学会消化内镜分会食道疾病学组成员兼秘书、中国抗癌协会胃癌专业委员会内镜学组委员、中国医师协会内镜医师分会消化内镜专委会委员、中国医师协会内镜医师分会内镜健康管理与体检专委会副主任委员、中国医学装备协会消化病学分会早癌诊治技术与器械学组委员、陕西医师协会消化医师分会总干事、陕西消化内镜分会委员兼秘书、陕西省保健学会消化专委会早癌学组组长、亚太消化内镜学会ESD委员会委员、世界内镜组织上消化道癌委员会委员。担任Endoscopy中文版副主编、《中华消化内镜杂志》、《中华肿瘤防治杂志》、《现代肿瘤医学》杂志编委。

陈辉副教授
陈辉:副主任医师、副教授、2014-2016年西班牙巴塞罗那大*联学**合培养博士,2016年毕业于空军军医大学获博士学位,长期从事消化道肿瘤及癌前病变的内镜下治疗,参编《西京消化内镜病理对照图谱》系列专著(早期胃癌篇、早期食管癌篇、早期黏膜下肿瘤篇、早期结直肠黏膜病变篇),荣获*队军**科技进步一等奖1项,承担国家自然科学基金1项,以第一或共一在Lancet Gastroenterol Hepatol、Hepatology、Thromb Res、Clin Cancer Res、J Gastroenterol Hepatol等肝病权威杂志发表SCI论著13篇,获批实用新型专利2项。现任陕西省营养学会委员;陕西省保健学会肝脏疾病防治专业委员会委员。
刘志国、陈辉教授团队主要由医生、研究人员、技师和随访护士构成,2008年至今累计完成消化道肿瘤ESD手术5000余例,建立并完善了ESD手术病例筛选、术前准备、术中处理和术后护理的标准化流程,建立了ESD标本库及随访跟踪信息;开展多中心临床随机对照研究,重点探讨基于早癌性质及浸润深度的多方法综合判断模式、内镜下粘膜剥离标准化流程优化和提高粘膜下剥离效率的新方法等目前国内外仍存在较多争议的策略问题,为早期胃肠癌的早诊早期提供了更丰富的循证医学证据;建立更加完善的微创技术推广与研究平台,开展针对ESD操作技术的专业培训班,为国内培养更多的年青骨干和相关技术人员。