精神分裂症发作起来真吓人!家属说道:“患病前温文尔雅的弟弟是一个懂事的青年。十年前大学毕业后踏入社会参加了工作,因工作压力精神变得有些异样,弟弟性格即内向又好强,又因工作遇到了挫折,患上了精神病。渐渐地越来越严重,这个病发作起来真恐怖“六亲不认”有时甚至拿刀追砍家人,要不就是威胁家人自己要自杀,喝农药,我们带他四处就医,确诊为精神分裂症,也住过几次院,可是这病就得长期吃药,他根本不配合吃药,一旦不规律服药就会犯病,一犯病,什么事情都做的出来。我们一家人被折磨的想放弃治疗了,听说贵院能用手术可以治好精神病,但有人说手术会留下严重后遗症,我们想选择手术治疗,但又害怕风险,我们该如何选择?”
或许是患者家属对“精神外科”知晓率较低,时常把精神疾病误认为是心理疾病,他们认为“精神病没有病灶,所以不能手术”,术后能让难治性精神疾病患者变得正常听起来更有点像“天方夜谭”。
据同济大学附属东方医院(南院)功能神经科专家介绍,精神疾病并非“心理病”,人类所有的生命活动都是由大脑控制的。脑内神经核团通过分泌神经递质调节控制正常生命活动。如多巴胺、乙酰胆碱、5—羟色胺等。精神病是一种功能性疾病,是大脑边缘系统上神经核团(如:杏仁核、扣带回、内囊前肢、中央隔区、伏隔核、尾核下束、眶束、额束等)的分泌、调节、传导异常所引发的精神异常、情感异常及行为异常。
手术治疗精神病的机理是通过刺激调控边缘系统核团的微小结构达到控制和改善精神症状的目的。临床大量实践证实,“精神外科”手术是药物治疗的重要补充手段,也是临床治愈手段之一。手术可以让顽固性精神症状消除,也可以使抗精神病药量减少。这两者的平衡点,让家属们找到了“临床治愈”的希望。
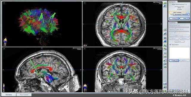
手术治疗精神疾病已有130多年历史,目前手术治疗精神病的技术已十分成熟,其手术靶点经过了几十年的探索和总结,随着神经生物学、神经解剖学、神经电生理学的进步,神经核团调控技术也逐渐成熟。神经核团靶点定位即有解剖学定位,又有电生理定位,双定位模式保障了定位的精准性。特别是现阶段使用的第五代脑立体定位技术,即CT/MRI/DTI图像融合下的可视化、实时、个体化的数字精确定位,其定位误差从过去盲式定位误差的10mm~13mm,发展到现在的数字定位误差±0.5mm。同济大学附属东方医院(南院)功能神经科的“第五代脑立体定向技术”原理是利用CT/MRI/DTI图像融合建立三维坐标准确定位靶点位置(图1),就好像发射导弹一样,先要找到发射目标的位置;它能够更加精准的对靶点进行精确的调控。很多家属担忧或疑虑手术后会出现并发症,例如,担心术后患者出现呆傻、偏瘫、失语等。其实,这类手术属于微创手术,手术可通过手术机器人完成(图2),手术切口微小,进入脑内的治疗电极仅仅2~3毫米粗细,并且也不在脑的智能区、运动区和语言区域手术,因此,上述并发症理论上完全不可能发生。

图1:利用CT/MRI/DTI图像融合建立三维坐标准确定位靶点位置

图2:在立体定向机器人配合下进行定位调控,射频电极仅2~3毫米粗细
同济大学附属东方医院(南院)功能神经科专家团队为充分了解手术对病人智商影响情况,对500例病人分别于术前及术后的3月、6月、9月、12月进行了智商测定。结果显示,术后的智商测定与术前智商相比,98%病人术后6个月的智商恢复到术前水平,即手术不会引起智商降低,术后1年患者的理解力、综合分析和概括能力均比术前有所提高。如以下案例:
杨某,女,18岁,高三学生,上海人。因“失眠、多疑、凭空闻语、自语自笑、悲观厌世、自杀行为五年余”入院。患者凭空闻语,耳边听见六七个人与自己说话,骂自己,让她自己自杀,术前一个月割腕自杀4次,平常敏感多疑,怀疑别人背后议论她,别人行为都针对她。经常心烦意乱,乱发脾气。不能集中注意力学习,学习成绩差,排名在全年级倒数十名。发病后反复到上海本地多家医院、北京各大精神卫生中心住院规范治疗,疗效不佳。因反复发病,病情日渐加重,自杀行为频发。2018年5月,经人介绍到上海市东方医院南院功能神经科住院,确诊为“精神分裂症“,有手术适应症,无手术禁忌症。经立体定向脑深部核团神经调控微创手术治疗后,患者的幻听、自言自语、关系妄想消失,不再有自杀观念及自杀行为,情绪稳定。术后出院休息1个月后,继续高三复学。由于能静下心来认真学习,术后8个月,在年级大考获得好成绩。在全年级252名同学中,排名第8。今年高考,以优异成绩考上一所本科大学。
总之,精神疾病尽管复杂难治,但是只要监护人客观地选择正确的治疗方法和途径,就可以让精神病人的临床表现逐渐正常化,帮助其回归家庭和社会。总之,精神疾病尽管复杂难治,但是只要监护人客观地选择正确的治疗方法和途径,就可以让精神病人的临床表现逐渐正常化,帮助其回归家庭和社会。
致头条读者:
您若有疑问可以发表文章评论,若您想咨询或更深层次的交流可以通过本平台“私信”功能进行对话,我会尽力帮助大家,解决疑惑。