
三、颈部异常
(一)水囊状淋巴管瘤
水囊状淋巴管瘤系来自淋巴系统的囊性包块,以颈部两侧及后外侧多见,显示为多房分隔状无回声区或无分隔的无回声区(图1)。产前超声显像检查比较容易显示颈部水囊状淋巴管瘤,其出现与染色体异常有明显的关系。有报道认为60%~70%的水囊状淋巴管瘤存在非整倍体,并且以Turner综合征 (45, X)常见,其他还见于18-三体综合征、13-三体综合征和 21-三体综合征。为观察水囊状淋巴管瘤分隔与不分隔的意义,Bronshtein等用了5年的时间观察了125例无分隔水囊状淋巴管瘤和25例多房性水囊状淋巴管瘤的胎儿,并与其染色体核型分析、形态学和组织学外观以及妊娠结局进行比较,发现早期妊娠中有98%的无分隔水囊状淋巴管瘤仅短暂显示,而多房的水囊状淋巴管瘤中仅有44%;更重要的是前者仅有5.7%的异常核型发生,后者高达72%;胎儿水肿的发生率在前者仅为1.7%,后者为40%;活产率在前者是94%,后者是12%。与颈部比较,在非典型部位发生的水囊状淋巴管瘤其患非整倍染色体的危险性较低。类似的结论也被以后的研究证实。

图1 胎儿颈部水囊状淋巴管瘤
(二)颈项透明层与颈褶
Benacerraff等在1985年提出了颈项透明层(nuchal translucency, NT)在早期妊娠胎儿和21-三体综合征之间的关联特性后,针对中期妊娠的胎儿,在1987年又提出了颈褶(nuchal skinfold thickness, NFT)(图2)与21-三体综合征的关系,并采用≤6mm作为15~20周胎儿的界限值;国内有研究者统计、汇总了12~40孕周胎儿的NFT参考值。Tannirandorn等根据2114例染色体正常胎儿资料提出了16~24孕周胎儿颈褶厚度与孕龄的关系:
NFT (mm) = -0.502 + 0.212 GA(周)(r = 0.36, P< 0.001)
用以评价中期妊娠不同孕周胎儿颈褶厚度,但他们没有获得预期的应用效果。因此,Tannirandorn等的资料以及Grandjean等进行的多中心研究资料表明,使用胎儿颈褶厚度作为21-三体综合征的评价方法还需要进一步的研究。

图2胎儿颈项颈褶测量(测量标记+之间为胎儿颈项颈褶)
(三)蹼颈
蹼颈(webbed neck)显示为颈部两侧对称、从耳后乳突部至肩峰间由皮肤和皮下组织所构成的蹼状皱襞,偶见单侧。除蹼外,常合并颈后发际线位置低下、颈部短粗等异常。临床观察已经证明,蹼颈主要见于Turner综合征(45,X或45,XO)、Noonan综合征等染色体异常。但产前超声显像检查常常显示的是增厚的颈褶及其他异常,如:两眼距宽,眼睑下垂,突眼,耳位低,下颌小,上腭高、主动脉缩窄、肢体水肿,躯干短小,先天性心脏病等。很少见到产前超声显像检查发现蹼颈的报道。
四、心脏结构缺陷和大血管畸形
染色体异常常常合并心脏及大血管的异常。尽管不能根据心脏及大血管的异常确定某种染色体异常,但已经发现不同的心脏及大血管异常类型常常与某些类型的染色体异常关系更密切,如21-三体综合征以心内膜垫缺损最常见,13-三体综合征和18-三体综合征以室间隔缺损和流出道异常常见。主动脉缩窄可与单倍体X为伴,而迷走右锁骨下动脉在21-三体综合征中发生率比较高。
(一)心脏结构异常
有报道染色体异常胎儿心脏结构异常的发生率高达62%,尤其以18-三体综合征常见,其中以室间隔缺损、房室间隔缺损和法洛四联症常见Lammer等和Nyberg等发现,在非整倍染色体异常的胎儿中,心脏发育不良、房室间隔缺陷、法洛四联症和右室双出口等多见,发生率比较高的室间隔缺损或瓣膜狭窄单独存在时胎儿非整倍体染色体患病率较低。
(二)心内强回声灶
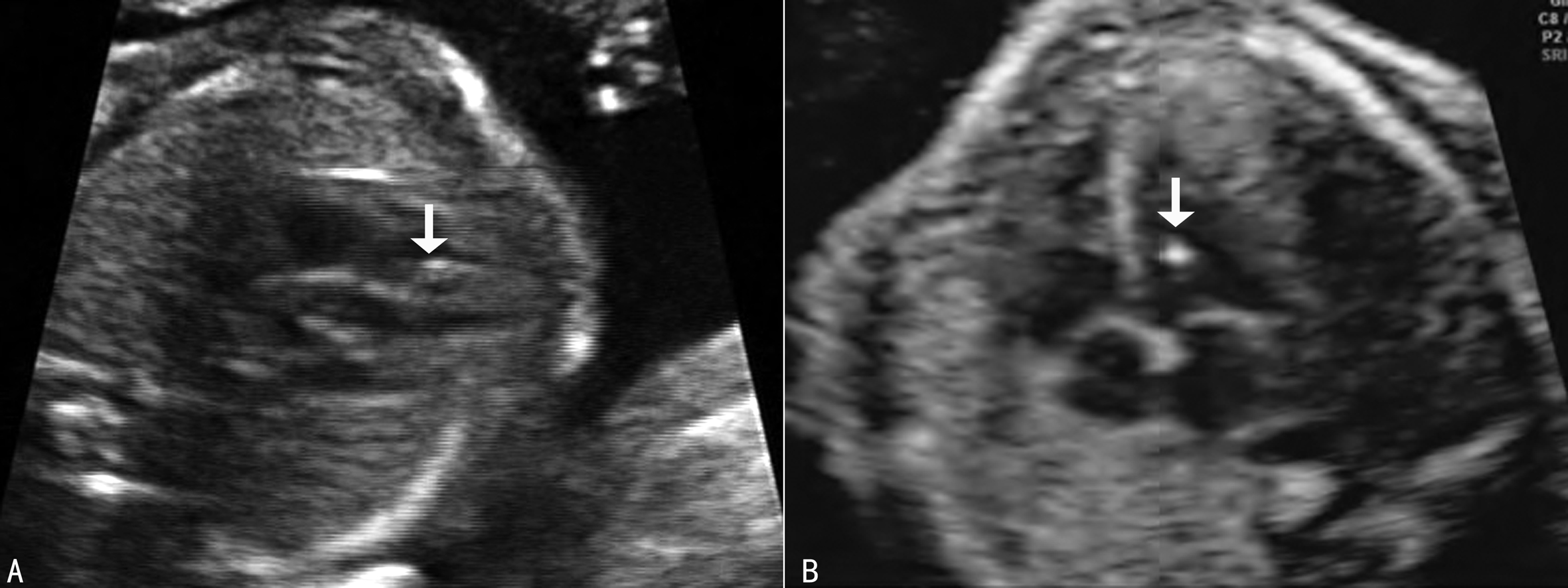
心内强回声灶(intracardiac echogenic focus, ICEF)显示为胎儿心脏内的斑点状或索状近似于骨骼强度的强回声灶,长2~7mm,又称为心内钙化灶(图3,图4),多为乳头肌的钙质沉积引起,有人认为可能与炎症或缺氧有关。心内强回声灶可以存在于一个或两个心室内,以左心室内多见,Bettelheim等检查了6995例胎儿心脏,心内强回声灶的发生率为2.15%,其中左心室、左右心室和右心室的发生率分别为96%、4.3%和0.7%,并且在不同的人种中其发生率不同,亚裔人中发生率可能达到30%,而黑人和白人中仅有6%和11%。一般认为,多发性心内强回声灶、范围较大的强回声灶以及累及双侧心室的心内强回声灶胎儿非整倍染色体的危险性增加。Bettelheim等对114例心内强回声灶胎儿进行了核型分析,非整倍体胎儿的发生率为4.39%(5/114)。在综合了多篇报道后Renna等认为心内强回声灶的显示对非整倍体胎儿风险的预测价值在已经使用的各种指标中是比较低的。因此,心内强回声灶的显示仅提示需要仔细的检查以发现有无更多的线索或进一步检查的必要。已经报道合并的染色体异常包括21-三体综合征、13-三体综合征等。

图3 右心室(A)和左心室(B)内强回声灶

图4 A示双心室内强回声灶及B示左心室内两个强回声灶
(三)迷走右锁骨下动脉
迷走右锁骨下动脉(aberrant right subclavian artery, ARSA)形成及解剖特点见前述(图5)。
对于中期妊娠中右锁骨下动脉迷走在21-三体综合征的发生情况,Paladini和De León-Luis等做了大量的观察和研究。De León-Luis等在统计了8781例胎儿(平均孕龄24 ± 5.4周)资料后发现,迷走右锁骨下动脉的发生率大约为1%,在7例非整倍体胎儿中,除迷走右锁骨下动脉外均发现合并其他异常;在Paladini等的资料中,21-三体综合征的胎儿迷走右锁骨下动脉的发生率为25%。

图5右侧锁骨下动脉迷走(三角箭头)