一直以来,民间就有“大头聪明,小头精”的说法,不少家长也深信“大脑袋宝宝会更聪明”。但神经外科专家提醒:如果小孩头围超出正常范围,应当引起警惕。

病例解读
来自昭通彝良的11岁男孩, 自幼运动发育迟缓, 2岁才能独立行走且行走时向左侧偏斜,随着男孩生长发育,不断长大,行走不稳的症状逐渐消失,恢复正常, 家长便未在意,也没有带孩子就医。
大约8年前,男孩无明显诱因出现间断言语缓慢及左上肢不自主抖动, 并没有头痛头晕及恶心呕吐、肢体抽搐、意识障碍及无肢体无力及行走不稳等症状, 当时未行任何诊疗,想着孩子可能一段时间就好了。
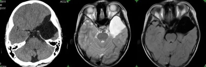
可遗憾的是, 男孩的这些症状并没有像运动发育迟缓那样自行消失, 上述症状一直持续存在,无明显改善,并有加重的趋势 ,今年8月,家长才带着男孩就诊于当地医院, 行头颅MRI检查后:提示“左侧中颅窝巨大蛛网膜囊肿”,大小约6x5cm,累及鞍区,建议转上级医院治疗。

术前检查
为进一步治疗就诊于昆明三博脑科医院,门诊以“左侧中颅窝蛛网膜囊肿”收入神经外科二病区, 院长张永力 详细查看患者、询问病史、查体及阅片后分析指示,结合患者病史、症状、体征及辅助检查, 患者目前诊断明确为:左侧中颅窝蛛网膜囊肿,有明确的手术指征,择期予以“左侧额颞开颅蛛网膜囊肿切除造瘘术”治疗。

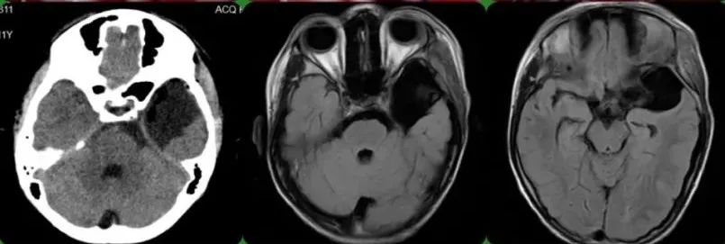
术后检查
术后,家长诉男孩术后无肢体不自主抖动, 复查头颅MRI检查示:左侧中颅窝蛛网膜囊肿术后状态,囊肿范围较术前缩小。
蛛网膜囊肿是什么疾病,要怎么治疗?
蛛网膜囊肿多为先天性良性脑囊肿病变,临床上,蛛网膜囊肿患者症状表现差异较大,多数小囊肿并不引起临床症状,只是在头部外伤后进行检查时偶尔被发现。
但是,当囊肿呈现进行性增大,囊肿体积大者具有占位效应,并可能因增加蛛网膜下腔脑脊液阻抗力而产生脑积水,同时压迫脑组织及颅骨,从而产生神经症状及导致颅骨发育改变,可能出现头围增大、癫痫发作、局限性颅骨膨隆、颅内压增高,局限性神经功能缺失等症状或体征。
对于儿童患者而言,持续的囊肿压迫还可能会对孩子的大脑发育造成影响,造成智力发育不全、运动语言发育迟缓,当然,患者症状表现与囊肿位置也有着直接关系。

建议对偶然检查发现,没有临床症状,也不存在脑组织受压时,体积比较小的颅内蛛网膜囊肿,可不做对症治疗,但建议每隔半年到一年复查一次,观察囊肿是否进展,周围脑组织、颅骨是否有动态改变。
需要手术治疗的病例,其手术指征首先要明确两点:一、囊肿是否压迫脑组织、神经、血管,囊肿和症状是否有因果关系;二、囊肿是否进行性增大,症状体征有无进行性加重。
总结蛛网膜囊肿手术指征包括以下几点:有症状的蛛网膜囊肿;虽无症状,但囊肿有增大趋势,影像学存在占位征象,而无临床症状的幼儿蛛网膜囊肿,合并囊内出血、硬膜下出血或合并脑积水,蛛网膜囊肿手术关键在于使囊肿与蛛网膜下腔广泛沟通,解除对脑组织压迫,以利于脑组织的发育和复位,防止囊肿复发。
需要提醒的是,随访的孩子,应该避免剧烈运动、头部外伤等。此外,孩子一旦出现头痛、呕吐等症状,应及时复查CT或MRI,并考虑手术治疗。
大头不一定聪明,警惕5种疾病来临!
1、脑积水
正常人的脑子是泡在水里面的,我们把这水称为“脑脊液”。正常情况下,为了维持颅内脑脊液的平衡,脑脊液会一直保持产生和吸收的功能。一旦这个平衡被某些原因破坏,就会出现脑脊液无法吸收或积液过多的情况,这就是所谓的“脑积水”。
而孩子的颅骨比较软,过多的脑脊液就会把孩子的头骨撑大,如果宝宝患有脑积水,那么最典型的特征就是头围比同龄儿童偏大。并且还会出现,宝宝生长发育迟缓、颅门隆起、呕吐以及头皮上的血管比较明显等症状。
2、佝偻病
如果宝宝维生素D含量不足,就会出现钙、磷等电解质紊乱,从而会导致以骨骼病变为主要特征,并伴随有全身营养不良的疾病,又称佝偻病。
此病的症状是患儿骨组织钙化不全,患儿表现为颅骨发生改变,头型变成“方颅”,并且头围也比同龄儿较大。

3、营养不良
由于儿童处在快速生长发育时期,对营养需求较高,如果长期营养不良,儿童就会停止生长发育,就会导致宝宝全身水肿,尤其是头部。就会表现出:头脸肿大大,体重较轻,还会有恶心呕吐等症状。
4、颅内病变
脑部脓肿、脑部肿瘤以及蛛网膜囊肿等疾病都会阻碍脑脊液的正常吸收,从而会导致患儿头围增大。还会伴有患儿恶心呕吐、抽搐、头晕以及哭闹等症状。
5、巨脑畸形
巨脑症是一种遗传性的疾病,婴儿不仅仅头围较大,还伴随有身高体重以及四肢等都较同龄宝宝大,并且还会导致患儿智力低下等特征
免责声明:
本文部分资料来源于网络,如有侵权,请联系编辑删除。
文章目的是提供一般的健康科普信息,仅供参考,不能代替个人医学诊断和治疗,个人的医学问题请到院咨询医生。