痛风辟谣100条 (关于痛风的30个辟谣的问题)

门诊日,有位60岁的阿叔来看病,他说膝关节疼的睡不着觉,还发热发烫,已经行走困难。询问,查体及验血结果显示,他痛风严重,并患有痛风性关节炎。

关节炎与痛风性关节炎有什么区别,关于痛风的30个辟谣的问题

骨关节炎与痛风性关节炎

骨关节炎是骨骼退行性病变引发的无菌性炎症,常见于中老年人群,特别是肥胖,膝关节负重大,长期激烈运动的人群。骨关节炎,主要是由软骨退变引发,其他组织如软骨下骨、滑膜也参与其中。可影响多个关节,越是大关节、越是负重多的关节,就越容易产生磨损,如膝骨关节炎。

  • 常见表现

骨关节炎常发于大关节,如髋、膝;产生剧烈疼痛,影响行走。

体重大,经常从事激烈体育运动,喜欢爬山,爬楼梯的朋友,更容易患病。

因软骨退变,骨赘产生,力线改变等原因,可产生明显的关节积液。

VS

痛风性关节炎则是因为体内尿酸增高,尿酸盐结晶沉积在关节,进而引发局部红肿疼痛。结晶堆积越来越多,形成结节乃至痛风石,侵蚀关节骨骼,引发疼痛,炎症,红肿发热;严重者会造成骨缺损,进一步导致关节力线改变等,影响行走站立,影响生活功能。

  • 常见表现

疼痛起源于小关节,如手指,足小关节

喝酒后,吃海鲜(贝壳类),吃羊肉后,疼痛明显加剧

关节出现小结节,x光下,看到明显的结晶堆积

验血,常见血尿酸高(一些人尿酸不高但也疼)

关节炎与痛风性关节炎有什么区别,关于痛风的30个辟谣的问题

关节镜下的结晶

在治疗时,因为两者的治疗理念不同,保守治疗采用的方式也不同,一定要区分明确。骨关节炎初中期采取的玻璃酸钠注射,膏药热敷等方式。而同样的治疗对痛风性关节炎无效,痛风性关节炎需要解决尿酸高的问题,因为这才是正道。

药物治疗

急性期的痛风性关节炎,先考虑药物治疗,服用非甾体类药物消炎止痛,并配合降尿酸药物(非布司他)降尿酸。

因为每个医院的尿酸检验标准不一样,所以很多时候患者觉得自己的尿酸值400+,已经在正常范围了,没有必要继续吃药。但根据痛风治疗指南,想要化解结晶石,控制高尿酸,需要把尿酸控制在300umol以下。

然后就是“废话”口诀:忌口,运动,多喝水

详细的食物表,可以看我这篇文章。痛风8连问!医生超全面解答关于痛风石,美食及运动等疑问

关节炎与痛风性关节炎有什么区别,关于痛风的30个辟谣的问题

手术治疗

手术治疗则是针对,直径>1.5 cm的痛风石,及引发骨关节炎的结晶沉淀,进行清除。如果是单纯的取痛风石,多数可以通过关节镜微创手术完成,创口较小,避免大范围的开放性伤口。

但是很多痛风性关节炎的病人就诊时,已经严重到无法行走。他们多数已经发生关节侵蚀,也就是结晶石导致关节的畸形,骨缺损,使得膝关节的力线改变,出现关节内外翻的情况。

关节炎与痛风性关节炎有什么区别,关于痛风的30个辟谣的问题

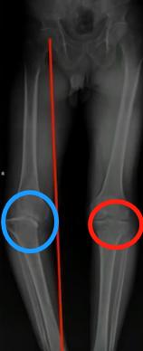
看上图这个病人,左膝是痛风性关节炎的患侧,右膝相对正常。左右膝对比就可以看出,左膝因为痛风性关节炎的影响,关节力线已经不好,即髋膝踝3点的连线不通过,膝关节,出现严重内翻膝的情况。而且关节间隙(圆圈处)已经不平衡,导致软骨磨损严重。且患者出现部分骨缺损情况,就是这个骨头没有了,无法承重了。

此时只能行全膝关节置换手术,并配合骨重建,重新换一个完整好用的人工关节。自体本身的关节,已经像一个千疮百孔的废胎,不能使用了。

关节炎与痛风性关节炎有什么区别,关于痛风的30个辟谣的问题

人工膝关节手术

同时因为骨缺损,在原有关节置换步骤中,要进行植骨。对于比较复杂的病例,可以通过术前3D扫描获取解剖及结构学数据,定制符合缺口大小的骨植入物,将原本缺损的部分,填充起来,以增加人工关节的稳定性,延长使用寿命。

关节炎与痛风性关节炎有什么区别,关于痛风的30个辟谣的问题

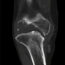
痛风性关节炎骨缺损

术后管理

术后除了常规的抗凝防栓(防止血栓),抗感染(防止伤口或假体感染),还有两点要注意:

1.降尿酸:如果病人复发高尿酸的情况,人工关节也可能受到结晶石的侵蚀,发生关节假体周围的骨组织破坏。这会使假体提前松动,滑膜炎等问题出现。

2.康复锻炼:因为病人膝关节畸形严重,应该很长时间无法正常弯曲或伸直,这会导致关节周围肌肉及韧带,有挛缩及代偿现象(简单理解就是肌肉萎缩)。所以术后要配合踝泵训练,股四头肌锻炼,伸直腿锻炼。在术后良好的情况下,逐步增加屈膝,负重锻炼等。

具体锻炼方法,辟谣:关节术后疼痛,要卧床静养?医生驳斥,康复锻炼才是王道,看我这篇文章吧~

#清风计划# #2019生机大会# #头条辟谣# #健康真相官# #头条健康#