
来源:医考之声 公众号 作者:飞飞老师
不开赞赏,只求转发
如果各位觉得不错,请帮忙转发朋友圈
执医技能X线主要考3大块
胸片、泌尿消化X线、骨折
医考君今天用简单粗暴的方式
让你一分不丢
我们要掌握大纲考什么病
大家就答考试大纲的要求的这些病
你不要去答个肝包虫,肝囊肿……
那是吃饱撑着了……
在医师资格的技能考试中
会以病史+X线片形式出现
就像这样的

大家看上图的病史
有时候不会看片子,看病史就能答对
比如上面这题,所以分析病史很重要
分析病史
比如发热咳嗽,不是肺炎就是肺结核
发热两三天,体温高一般就是肺炎
低热几周、几月,一般就是肺结核
老年人,咳嗽,痰中带血,无发热—肺癌
因为咳嗽相关的,就考这3个病
有时候咳一两天,胸片也可能是正常的
有胸部外伤史,考虑肋骨骨折
如果患者呼吸困难
不是气胸就是胸腔积液
如果突发的呼吸困难,考虑气胸
如果慢慢发生的,考虑胸腔积液
心脏增大、二尖瓣型、主动脉型、普大型
这些一般直接问你
这个片子属于什么类型心脏
像靴子,像梨子还是像个大灌汤包
这个超简单
上面是根据病史来推导答案
不过看片子才是最准确的
怎么看呢?
一、胸片
大纲要求掌握的疾病
正常胸片、肺炎、浸润型肺结核、肺癌、
二尖瓣型心、主动脉型心、普大型心
气胸、胸腔积液
下面我们来看胸片
一张胸片摆在你面前
片子上的结构得搞清楚啊
下面图标注了X线的解剖结构
也是一张正常的胸片
看图
(认真看3分钟)
看片子,一定要左右对照看
就算你胸片不熟,也能发现问题
左右边不一样嘛,当然有问题
然后,按照下面这个顺序来看
心脏→ 肋骨→肺纹理→肺
也可以根据病史提示的方向,选择性的看
告诉你发热、咳嗽,你就看肺嘛
一看心脏
心脏就是考3种心脏形态
二尖瓣型(梨型)、主动脉型(靴型)、普大型
先来看正常的,才能发现异常
看图
(点击图,放大查看更清晰)
① 二尖瓣型心(梨型心)
特点:心脏像个梨子
二尖瓣型心
就是二尖瓣出了问题导致心脏变形
二尖瓣狭窄以后,左心房的血流不出
造成左心房增大,跟右心房重叠(双房影)
肺动脉的血液也没地方流(肺动脉段增粗)
这时候就会造成心腰饱满
就像一个梨子一样
看图

② 主动脉型心(靴型心)
特点:心脏像个靴子
靴型心主要是因为
心腰凹陷和左心室增大
心腰内陷:
常见于法洛四联征
其原因是法洛四联征的肺动脉狭窄
肺动脉狭窄了,心腰当然凹陷了
左心室增大:
使左心室增大的疾病
如主动脉关闭不全,主动脉瓣狭窄
所以又称为主动脉型心
增大的左心室向左下扩大
看图
③ 普大型心
特点:心脏向两边扩大
普大型,就是心脏向两边扩大
要么是心包里面灌了水
(心包积液—烧瓶心)
要么是心脏本身增大
(扩张型心肌病、全心衰-心肌松垮垮的)
看图

二看肋骨
肋骨就考一个肋骨骨折
非常容易看
如果病史中说胸部受伤后疼痛
这时候你就得看看肋骨是不是断了
一根根,左右对比看
看图
三看肺纹理
肺纹理消失,就考2个病
气胸、胸腔积液
① 气胸
特点:压缩部位纹理消失,有压缩线
气胸就是胸腔里面进了气体
把肺向肺门附近挤压

这样,肺组织就被挤成了一团
其他地方就没有肺纹理了
(肺纹理,就是胸片上的小树枝
主要是肺血管和支气管所组成)
而且还会形成一条压缩线
看图(左右对比看)
② 胸腔积液
特点:由下到上的高密度影

胸腔积液,就是胸腔里面灌了水
水往低处流,所以
水就会聚集在低洼的地方
少量积液时,肋膈角变钝
大量积液时
一侧胸腔从下往上的高密度影
看图
(液气胸)
四看肺
肺部考 3 个疾病
肺炎、浸润型肺结核、肺癌
一定要左右对比看
发现肺内有不正常的影像
那就根据下述特点来区分
1、肺炎
① 大叶性肺炎
特点:以肺叶、肺段分布的大片状影
病史:发热一天到几天,咳嗽、咳痰
大叶性肺炎,肺泡内纤维素渗出
所以表现为实变(白茫茫一大片)
这种炎症波及范围以肺段、肺叶为界
边缘一般都非常清晰
看图
(以肺叶为界的大片状实变影)
② 小叶性肺炎
特点:模糊的小片状影
病史:发热、咳嗽几天
小叶性肺炎沿着支气管分布
所以他是不规则的小片状影
而且是模糊的
不像大叶性那么白白的一大片
看图
(模糊的小片状影)
③ 间质性肺炎
特点:网格状伴有片状影
病史:发热、干咳/少痰N天
间质性肺炎,就是肺间质有炎症
但是肺泡是好的啊
所以片上是网格状的改变
就想咱们家门口的“出入平安”脚垫的材质
看图

看片
(网格状片状影)
2、浸润型肺结核
特点:上肺的云雾状,边缘模糊影
病史:咳嗽、低热几周、几月
看图
在考试中
肺炎和肺结核容易混淆
大家可以根据病史来判断
发热、咳嗽三两天的,选 肺炎
低热、咳嗽几周、几月的选 肺结核
3、肺癌
根据肺癌长在肺内的部位,分为:
靠近肺边缘的叫周围型肺癌
(段支气管以下的部位)
靠近肺门的叫中心型肺癌
(段支气管以上的部位)
病史:
老年人,咳嗽或痰中带血几周,一般无发热
特点:
结节状高密度影,周围有毛刺/分叶
就像一颗板栗一样

看片
周围型肺癌
中心型肺癌
考试中间
看到肺中间一小团
类似圆形的白色的影子
而且边缘不太整齐
那就选肺癌
二、腹部X线平片
① 正常腹部平片
一眼看上去,干干净净
没有膈下游离气体(黑影)
没有液气平,没有结石影
看图

上面片子中间有点肠道气体
这是正常的屁,不要误认为梗阻
② 消化道穿孔
病史:有溃疡史等,突发腹痛
特点:膈下新月型气体影
消化道穿孔以后
里面的气体就跑到腹腔来了
胸水、腹水往低处流
气体就往高处跑
就可以在膈下看到气体影(黑影)
看图
③ 肠梗阻
病史:腹痛,肛门停止排气、排便
特点:阶梯状液气平面,肠管扩张
肠道堵塞以后
肠道内的肠液就流不出去
加上肠道内的气体
就形成了典型的液气平面
看到液气平面,就选肠梗阻
看图
③ 泌尿系统阳性结石
病史:两侧腹部绞痛
特点:
肾和输尿管里面单个或成串的高密度影
看到两侧腹部有白色的圆点
就选肾结石/输尿管结石
看到下腹部的,就选膀胱结石
看图

(双肾结石)

(输尿管结石)

(膀胱结石)
三、X线胃肠道造影影像诊断
胃肠道造影
就是让患者吃钡剂,然后拍片
钡剂在X线下,是高密度影(白色的)
大纲要求大家掌握
食管静脉曲张、食管癌
消化性溃疡、胃癌、结肠癌
① 食管静脉曲张
特点:串珠状、蚯蚓状的充盈缺损
就是食管粘膜下的静脉增粗、弯曲
然后再胃镜下面,凹凸不平
看着跟大腿静脉曲张一样
看图

这些凸起的地方,钡剂就没法填充
所以就会显示黑色,钡剂填充地方显示白色
所以,就成了这样啦
看图

(串珠样充盈缺损)
② 食管癌
病史:进行性吞咽困难数月
特点:食管狭窄和充盈缺损
食管里面张了肿瘤
那么管腔就会狭窄
肿瘤的部分就不会被白色钡剂填充
所以表现为钡剂的充盈缺损
就像被狗咬去了一块
看图
看到食管里面有串珠
就选食管静脉曲张
看到被狗咬去了一块(充盈缺损)
选食管癌
③ 消化性溃疡
消化性溃疡
常考的就是胃溃疡
因为十二指肠很薄
一般没有龛影,不好考
胃溃疡,就是胃壁上烂了一个坑
这时候白色的钡剂进去了
形成一个胃轮廓外的龛影
看图

在X线上面,就是这样的
冒出一个“小鸡鸡”
看图

④ 胃癌
胃癌有不同的生长方式
所以表现也不一致
增生型
胃腔里面突出一个肿瘤
这块肿瘤不能被钡剂填充
所以表现充盈缺损(胃好像掉了一块)
浸润型
肿瘤沿着胃壁生长
把胃壁搞得失去弹性
变得很窄,所以只能看到一点钡剂
看图

胃部就考两2个病:
墙(轮廓)内犯人(坏),墙外好人
向轮廓外突出一个小鸡鸡,选胃溃疡
胃里面钡剂少了(充盈缺损,狭窄)
就选胃癌
⑤ 结肠癌
结肠癌也跟胃癌一样
只是他发生在结肠
增生型表现为充盈缺损
(少了一块)
浸润型表现为肠腔狭窄
(一点点钡剂通过)
看图

结肠就考2个病
看到液气平面,选梗阻
看到结肠有造影剂
就选结肠癌(考试套路而已)
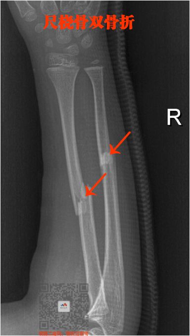
四、长骨骨折
就是四肢的长骨骨折
上肢:
肱骨、尺骨、桡骨
下肢:
股骨、股骨头、胫骨、腓骨
骨折非常简单的
不熟悉这几块骨头解剖的
赶紧去翻翻解剖图谱
这里就不讲解了,大家看片就行
看片

本系列到此结束
技能X线阅片这几分到手了
请转发本文,多多支持医考君
更多心肺听诊、心电图练习
请识别 二维码,在 公众号菜单栏 查看
▼
欢迎您加入我们的微信群:请加管理员微信linchuangkuakao,请务必标注您的专业、学历、职称!