夏天到了,门诊病人不少以进食冷饮牙齿不适前来就诊,自述牙齿“露神经”,或者“倒牙”了,总之就是感觉自己的牙既不能沾凉,也不能吃甜。
那牙神经果真这么脆弱吗?
其实,牙神经暴露并不容易,这是由牙神经的位置决定的。牙神经的学名是:牙髓,位于牙齿最中心的部位,相当于人体的内脏,外层由坚硬的牙釉质和牙本质包裹。牙髓包含神经、血管、淋巴和一些结缔组织,只通过牙根尖端的小孔与外界连通。

那么,什么样的情况是真“露神经”,什么样的情况又是假“露神经”呢?
真“露神经”:
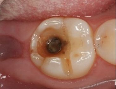
1. 龋齿(虫牙):牙齿因为腐蚀,造成空洞,当腐蚀达到牙齿深部牙髓时,有可能产生剧烈的疼痛感。

2. 重度牙周病:因为牙齿周围骨质的腐蚀缺失,导致感染侵入牙齿根尖部的牙髓,也会有明显疼痛感。

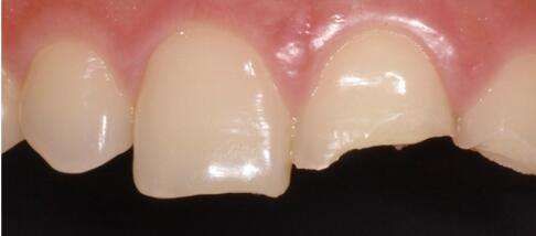
3. 外伤:因外伤导致的牙齿折断,神经外露,也会时常有痛感。

4. 隐裂:牙齿因发育或者咬硬物后出现裂纹,裂纹可深至牙髓。所以平时最好别拿牙起啤酒瓶盖,也别跟榛子、核桃等硬壳坚果较劲了。

假“露神经”
1. 牙本质过敏:多种因素造成的牙齿过敏,出现类似于“露神经”的症状,遇冷热酸甜会产生不适。

(长期横着刷牙,产生的牙龈缺损)

(经常吃硬的东西,牙面的重度磨耗)
2. 轻度牙周病:导致牙根暴露在口腔,因牙根外部无保护层,会产生类似“露神经”症状。
3. 浅层和中层龋齿:牙齿腐蚀接近牙髓。
4. 严重的食物嵌塞导致牙龈炎症:塞牙时间太长,引起牙龈刺激发炎,也会出现类似“露神经”症状。
可毕竟我们也看不到自己的嘴巴里是个什么状况,尤其是上排牙,那我们在日常生活中应该如何鉴别真假“露神经”呢?
最简单的鉴别方法是:看时间。
假“露神经”牙齿遇到刺激所产生的不适感只会持续几秒钟,通常不会超过一分钟。不遇到刺激一般不会产生疼痛。
真“露神经”遇刺激后产生的疼痛感很可能会超过一分钟。严重时甚至无刺激的情况下,也会出现疼痛。
鉴于牙齿情况通常都比较复杂,因此教给大家简单鉴别的目的,是希望大家在遇到不适时,不必产生“露神经”的恐慌。不过,一旦有明显的不适感,还是应该及时到口腔科就诊,避免耽误病情。
