有网友私信我“戴了牙套一段时间,门牙跟牙龈之间出现了一个小洞,是矫正的副作用吗?”这个小洞我们习惯叫它“黑三角”,到底是不是牙齿矫正引起的呢?我们来说说。

可怕的牙齿“黑三角”是什么?
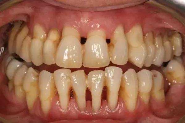
牙龈原本是紧贴在牙齿上面的,如果牙龈萎缩,不能完全覆盖两个牙齿的牙颈部与接触点之间的间隙时,就会与牙齿形成黑色的三角形的空洞,即“黑三角”。

很多人苦恼“黑三角”,是因为看起来丑,影响美观,但是“黑三角”真正可怕的地方在于——它无法自我修复,而且会越来越严重,造成食物嵌塞、细菌滋生等一列牙周问题。
引起“黑三角”的真正原因是——
牙齿拥挤
当牙齿拥挤不齐时,不易清洁,容易使牙龈处于萎缩状态,牙齿排列整齐后感觉牙齿间有“黑三角”,其实并不是戴牙套所造成的,而是牙龈本身状态既是如此。(划重点:“黑三角”不是牙齿矫正导致的!)

牙周炎
牙周炎会导致牙龈萎缩、牙槽骨吸收,是“黑三角”形成的主要原因之一。

年龄
随着年龄增长,牙龈乳头高度每年平均降低0.012mm,“黑三角”的出现率也会增加。

刷牙方式不正确
横向的用力刷牙,也会刺激牙龈,造成牙龈萎缩和牙齿楔状缺损, 另外不正确的使用牙签也会刺激局部的牙肉和牙槽骨,形成牙龈萎缩。

牙齿矫正操作不正规
矫正力过大引起牙龈萎缩,出现“黑三角”,尤其是成年人,所以要更加注意轻力原则。另外,拔下前牙矫正一定会出现“黑三角”,因为在关闭拔牙间隙时牙根很难平行移动。

一般来说,牙龈萎缩是不可逆的,只有少数情况可以自我恢复,大多数情况需要通过以下治疗方法恢复:
牙齿修复
①树脂充填:对牙齿邻面进行树脂充填,减小或消除黑三角区域。
②义龈:属于活动义齿的一种,对于广泛空缺的黑三角,我们可以用人工制作的假牙龈来作掩饰。
牙周治疗
①牙周治疗:牙周炎是导致牙齿出现黑三角的主要原因之一,因此应当尽早进行牙周治疗,缓解牙龈萎缩和牙槽骨吸收。
②牙周手术:通过再造龈间乳头来填补黑三角间隙,但是这种方式需要评估手术风险、费用、术后瘢痕、预期效果等因素,适用范围有限。

牙齿矫正前需要对口腔状况及预期效果进行评估,矫正中需要医生准确操作,才能更好地避免矫正后出现黑三角情况。