
水霉病(Saprolegniasis)是一种世界性分布的淡水动物疾病,淡水动物在拉网、运输、相互摩擦等情况下发生机械性损伤,以及在孵化过程中卵未受精成功出现坏卵、死卵时,均易受到水霉菌入侵。
水霉菌在淡水动物体表或卵上滋生大量棉絮状菌丝,导致淡水动物免疫力下降、游动异常、食欲减退和孵化过程中大量卵的死亡变质降低孵化率,严重危害水产养殖业的健康发展。
水霉病的主要病原为水霉菌,隶属于卵菌纲( Oomycetes)、水霉目( Saprolegniales)、水霉科(Saprolegniaceae)的一些种类。
水霉菌多达17属122种,但是对淡水动物危害较大的种类并不多,JOHNSON 等报道 能够对淡水动物产生致病性的水霉菌种类主要有多子水霉、同丝水霉、异丝水霉和寄生水霉等。
预防方面及注意事项
想要治疗水霉病,最简单的方法就是升温、换水。这是一种由水霉菌引发的疾病,在低温时节容易患上。防治这类疾病,最好的方法就是避免鱼体受伤,因为病菌多从伤口入侵。
加强饲养管理,提高鱼体抗病力。尽量避免高密度条件暂养时造成鱼类挤压碰撞掉鳞,或在捕捞、运输过程中尽可能避免鱼体受伤。
水温低于 15℃时,尽量减少人为操作,防止出现应激反应,导致擦伤或冻伤。
经长途运输的鱼种放养前和放养后,及时2%~3%食盐水或消毒剂进行消毒。亲鱼人工繁殖受伤后,可在伤口涂抹10%的高锰酸钾溶液消毒处理。
常用药物介绍
1、 水杨酸
水杨酸又名柳酸,化学名称是“邻羟基苯甲酸”,是含有石碳酸环的环型结构物。水杨酸是一种天然存在的有机酸,可以从柳树皮、松树皮和甜橙等植物中提取得到。
之前一些老养殖户传下来经验就是收集一些柳叶,浸泡一段时间,然后用这种柳叶水泼洒,可以很好的祛除水霉。
在医药方面,水杨酸具有抗真菌、止痒及溶解角质作用。在鱼体表感染真菌时,水杨酸可软化角质层,角质层脱落时,也将菌丝同时脱落,此外,水杨酸能帮助其他抗真菌药物的穿透,并抑制细菌生长。水杨酸复配产品为目前治疗水霉病的主要药物。
2、硫醚沙星
硫醚沙星溶液是一种以合成大蒜素为主要成分的液体制剂。人工合成大蒜素主要由二丙烯基三硫醚(50%-80%)、二丙烯基二硫醚(20%-50%)、少量的一硫醚和四硫醚组成。大量研究表明大蒜素对真菌有较强的抑杀作用,抗真菌作用强度与苯甲酸、山梨酸相当。
硫醚沙星对引发鱼体水霉病的真菌有独到的杀灭作用,同时对嗜水气单胞菌、鳗弧菌、迟缓爱德华氏菌和柱状嗜纤维菌有良好的杀灭作用。
治疗鱼类的皮肤病有特效,硫醚沙星有着极强的渗透性,既能杀灭水体病原,又能渗透到动物表皮中杀灭病原体,并能刺激表皮细胞再生,具有促进皮肤组织修复等功能。
根据大部分养殖户反馈,这两个产品结合使用效果更好一些,第一天水杨酸,第二天硫醚沙星;然后隔一天再重复这样使用,一般三次左右会有明显好转。
---------------------------------------
近年来我国科研人员开展了一系列水霉病的病原分离鉴定的研究,报道了黄颡鱼卵、黄颡鱼、彭泽鲫卵、施氏鲟和花鲈等各种淡水动物及其卵的水霉病及其病原,但关于我国主要的致病性水霉菌种类并没有系统研究,因此开展我国致病性水霉菌株的病原分类归纳及其生物学研究,对有效防治水霉病的暴发具有重要的意义。
传统的水霉鉴定主要通过菌丝形态、游动孢子释放方式、新孢子囊产生形式等形态学特征来鉴定;
而属内具体种类的分类鉴定则需要基于有性繁殖器官的准确描述,包括卵原细胞、雄器及卵孢子分化位置及数目等,这些方法鉴定周期较长操作繁琐,由于水霉菌种间菌丝形状、细胞器形态等非常相似所以难以辨别。
水霉菌属包括的水霉菌种类繁多分类复杂,单一的形态学鉴定很难将其鉴定到种。
近年来应用分子生物学手段开展水霉菌种鉴定的相关研究有了很大的进展,可小丽等以核糖体 rDNA 内部转录间隔区(Internal Transcribed Spacer,ITS)区域为分子标记,建立了水霉菌株 ITS 区域 PCR 鉴定的方法。
FRANCIS 等应用限制性片段长度多态性分析( Restriction Fragment Length PolymorphismRFLP)方法将现有水霉菌种类分为8 种类型。
鉴于此,本实验利用近年来对我国水霉病流行病学调查期间采集的来自于中国上海、江苏江西、四川、河北、浙江、湖北等 7个主要淡水养殖区的致病性水霉菌株进行 ITSrDNA 序列扩增比对,进行 ITS-RFLP分析,结合我国之前已经报道的致病性水霉病原构建我国致病性水霉菌株的系统发育树,初步鉴定出我国淡水养殖主要的致病性水霉菌是多子水霉和寄生水霉,填补了关于我国淡水养殖主要致病性水霉菌病原的研究空白。
我们还比较了从草鱼和草鱼卵分离得到的致病性多子水霉菌株生物学特征,以期为我国水霉病的综合防控提供理论参考。
1、材料与方法:供试菌株来源和分离采集
60 株致病性水霉菌分别采样自上海、江苏江西、四川、河北、浙江、湖北等暴发水霉病的养殖场(表1)。将分离菌株先用70% 酒精漂洗3S,用无菌水冲洗两次后接种于加有双抗的马铃薯葡萄糖琼脂培养基(PDA)平板上按常规方法分离纯化菌株,常规保存,定期传种。

2、无性繁殖
在 15~20℃下,无论分离自鱼还是草鱼卵的菌株菌丝均生长良好。
它们无性繁殖无明显区别,菌丝中间有横隔(图版Ⅰ-2),分枝较少,细长;均有游动抱子囊产生,侧生或顶生于菌丝(图版Ⅰ-6);
其游动孢子囊呈棒状(图版Ⅰ-2),也有呈纺锤形(图版Ⅰ-1)或船形的。
有新孢子囊从老孢子囊中部再生(图版Ⅱ-1);游动孢子呈多排排列,发育成熟后从抱子囊顶端释放出来,并迅速游离(图版Ⅰ-3 图版Ⅱ-3),孢子囊前端成为空囊(图版Ⅰ-4),新的孢子囊由内部扩散重新形成(图版Ⅰ-6)。
第一代游动孢子能够产生第二游动孢子(图版Ⅰ-5);第二游动孢子囊以内层出的方式产生(图版Ⅰ-5)。
水霉属无性繁殖特征主要是孢子囊粗大,多为棍棒形,较常见的还有纺锤形,第一代游动孢子释放便游开,这都符合典型的水霉菌属形态特征可以观察到的菌丝横隔符合多子水霉和寄生水霉形态特征。

3、有性繁殖
分离自草鱼和草鱼卵的水霉菌在 15℃培养3周均能产生大量的藏卵器,卵细胞亦分化良好藏卵器呈球形(图版Ⅲ、Ⅳ),藏卵器多属顶生(图版Ⅲ,Ⅳ -2),卵壁光滑,藏卵器内卵原孢子数量较多;藏卵器主枝粗壮(图版Ⅲ -2)。

成熟藏卵器呈球形,与雄器多是同枝(图版Ⅲ,Ⅳ-3,4)依据JOHNSON等形态鉴定检索表发现,这些都与寄生水霉、多子水霉和异丝水霉的有性生殖器官相似。

CHAPLITSKI 等研究也显示多子水霉和寄生水霉形态上存在高度的亲缘关系,通常显示它们是一种。
结论
引起水霉病的病原是水霉菌,其广泛分布于世界各地淡水水域,是一种常见的水生真菌。
水霉菌是水霉目水霉科的一些种类,据报道水霉菌属种类众多,但其致病性不尽相同。
因此,开展我国致病性水霉菌分类归纳工作对水霉病的防控工作尤为重要。

鉴于此,我们对本实验室近年来在上海、江苏、江西、四川、河北、浙江、湖北等7个主要淡水养殖区进行水霉病流行病学调查期间采集到的 60 株致病性水霉菌进行系统分类鉴定,发现多子水霉和寄生水霉是我国主要的致病性水霉病原。
这一结果对以这两种水霉菌作为抗水霉药物模型提供了理论依据。
由于水霉菌形态不稳定,各种间存在重叠的遗传性状,单独依赖于通过新孢子囊产生方式、游动孢子释放方式和菌丝形态等手段很难进行分类鉴定。
近年来,随着分子生物学技术的迅速发展,ITS 区域具有种内相对一致、种间差异比较明显的保守性,同时具有序列片段较小,易于分析的优点,越来越多的研究人员利用ITS 序列分析技术作为水霉种间分析和种内鉴定的分子标记。
本研究利用 PCR 方法对实验室近年来在上海、江苏、江西、四川、河北、浙江、湖北等 7个主要淡水养殖区进行水霉病流行病学调查期间采集到的 60 株致病性水霉株的 ITS 区进行扩增、测序及序列比对分析。
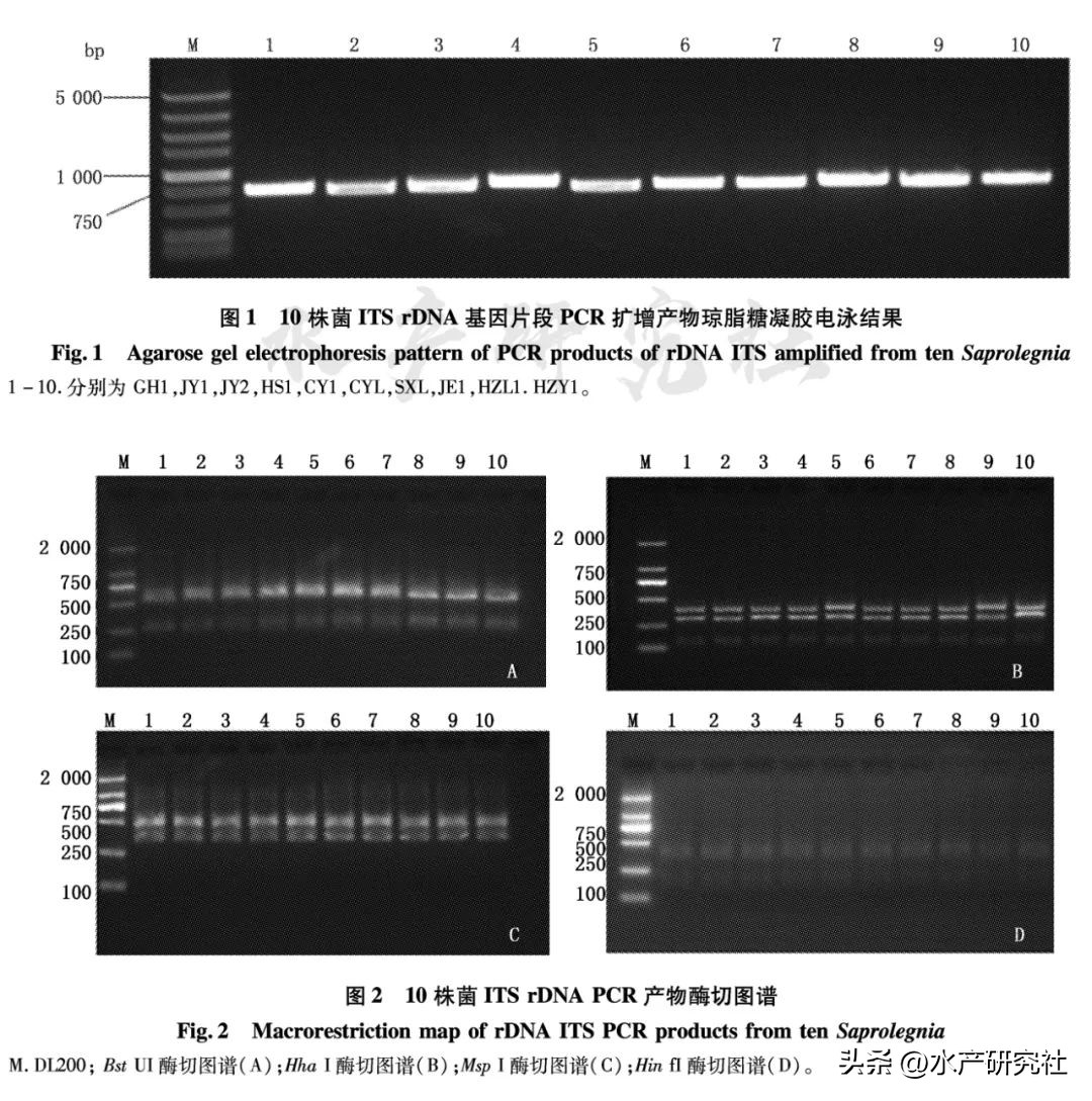
结果显示,60 个菌株分为10个基因型,利用GenBank 数据库 BLAST后均与水霉菌属的种类自然聚类,同源性达99%。
ITSrDNA 序列分析法相对于传统的真菌形态学鉴定方法具有简单、快速等优点,但由于ITSrDNA 序列保守性较强,在种的水平上区分真存在一定困难。
本研究利用 RFLP多态性分析,分别用 Bst UI 、Hha I、 Msp I和Hin fl 4种酶对获得GenBank 登录号的10个菌株的ITSrDN*片A**段进行酶切,结果显示10个菌株的 ITS-PCRRFLP 谱型一致特征性片段与 FRANCIS 等报道的多子水霉、澳大利亚水霉和寄生水霉谱型一致属于该3个种类的 RFLP 分型。
将我国之前报道的不同来源的 7 株致病性水霉菌株 与本次分离鉴定的 10个菌株进行对比研究,结果显示(图 3,表3):
目前我国致病性水霉菌有多子水霉、寄生水霉、澳大利亚水霉和两性绵霉4种。
已鉴定的17株致病性水霉菌以多子水霉和寄生水霉为主,前者有 10 株占总菌数的59% 左右,后者有4 株占总菌数的 24%左右。
有研究报道国外淡水养殖中最常见的致病性水霉菌种是寄生水霉,而我国最主要的致病性水霉是多子水霉,其次才是寄生水霉,水霉病主要致病原的明确对我国进一步制定有效的水霉病防治指施提供了理论借鉴。
我们分别对草鱼体和鱼卵分离的 20 株致性水霉菌进行无性生殖和有性生殖对比研究,结果显示(表3,图版Ⅰ、Ⅱ、Ⅲ、Ⅳ)分离自草鱼和草鱼卵水霉菌丝形态无性生殖中孢子囊形态和有性生殖中藏卵器的形态等特征均无明显差异。
这20个菌株在形态学上都符合水霉菌的典型特征此外,通过对 20个菌株的ITS 序列扩增测序共获得3个菌株序列,利用邻接法构建系统发育树结果显示这 3个菌株序列与多子水露亲缘关系最近,在同一分支上,判定这20 个菌株都是多子水霉。
结果表明水霉菌具有广泛的寄主谱,对宿主没有选择性,同一种致病性水霉菌对鱼体和鱼卵均有致病性该结果与周志明等报道一致。