
晚上好牙,我是格格,欢迎来到 烤瓷牙研究所! (不是
昨天给大家简单介绍了一下烤瓷牙,我们发现:烤瓷牙兼具金属的强度和瓷的美观,能恢复理想的牙体形态和功能,具有色泽稳定,表面光滑,耐磨性好,耐腐蚀性和抗折力强等诸多优点。

可即便如此,我还是不建议大家去做烤瓷牙。
为什么?
手术外科曾遇到过这样一个病例:
某患者因颅颈外伤陷入深度昏迷,急需手术,术前需做核磁共振以确定伤口情况,结果却发现该患者有两颗金属烤瓷牙,影响了核磁共振的成像效果,需要先拆下牙齿,而患者又因为插了气管,无法上牙椅......

这个病例引起了很多口腔医生的重视,因为:
阻碍核磁共振 = 无法第一时间抢救生命!
所以,现在很多人去做烤瓷牙,医生都会推荐全瓷牙而不是金属烤瓷牙,这不是因为全瓷牙利润更大,而是因为它不影响核磁共振、CT和X射线,在紧要关头能够节省抢救时间!
除此之外,我不推荐大家做烤瓷牙还有以下几个原因:
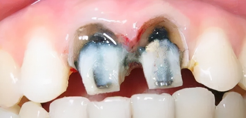
龈染问题
龈染,是指烤瓷牙与牙龈的连接处变成黑色,这是采用 非贵金属制作的烤瓷牙 最常见的并发症,处理起来十分困难。

烤瓷牙在国内流行早期,大多数患者选择的都是价格较为便宜的非贵金属烤瓷牙,结果随着时间的推移,烤瓷牙内部的金属层发生氧化,造成龈染。
出现龈染现象的烤瓷牙必须拆除重做,否则会引起牙龈炎和牙周炎,最终导致真牙松动和脱落。
真牙龋坏
牙齿打磨不合格,牙齿模型不精致,工厂技术不到位,都会使 烤瓷牙与真牙之间的结合不紧密 ,细菌可以通过牙冠与牙根衔接处的缝隙侵入牙齿内部,从而造成真牙龋坏。

而由于烤瓷牙冠的存在,我们无法得知内部真牙的情况,也无法使用牙刷、牙线、漱口水对其进行清理,久而久之,真牙就会烂完。
崩瓷
烤瓷牙毕竟是陶瓷和金属两种材料的粘合,不可能完全融为一体,在日常使用中可能会发生瓷层崩裂。 崩落的瓷块往往比较尖锐,误咽后不仅无法消化,还可能划伤食道和肠胃。

烤瓷牙崩瓷后修复难度较大,一般都需要重新制作,以保证牙冠的完整性,恢复最佳咀嚼功能。
冷热刺激疼痛
一些人装了烤瓷牙之后,在吃冷热酸甜类食物时往往会产生敏感或痛感。这大多是因为安装烤瓷牙前,在对真牙的磨耗过程中对牙髓造成了过大刺激。

在做烤瓷牙之前,一定要评估牙周牙龈的状况,如果存在明显的牙龈炎症、红肿、萎缩,颜色异常等都需要先进行牙周治疗,待牙龈恢复正常后再进行烤瓷牙修复。
很多人做完烤瓷牙后感觉良好,好几年都不管它。不过格格还是建议, 做完烤瓷牙8~10年后,即使没有不适症状也应找牙医复查,最好预防性打开烤瓷冠看看。
最后总结一下全文: 烤瓷牙,不推荐。

- End -
觉得有用就转发,反正不花钱
