原本只是一场切肠息肉的微创手术,没想到却引发了一连串“考验”。近日,广州医科大学附属第一医院肺血管介入团队为一例多发血栓的肺栓塞患者成功进行了“经皮肺动脉球囊扩张术”,重新扩开的血管有效缓解了患者气促等症状,避免肺栓塞带来的致命“隐患!”
解决了小问题,
却发现了更大的问题
去年端午节,湛江的梁伯感觉到自己大便不顺畅,时常发生便秘问题,他来到医院检查发现有多发性肠息肉,在医生的建议下,他接受了肠息肉切除手术。
然而,术后第二天晚上,他突然感觉肚子痛的非常厉害,医生紧急为他做了CT检查,发现在梁伯体内多处已经形成了大大小小的 血栓 ,进一步检查发现了血液的问题—— 原发性血小板增多 ,导致他全身血液处于高凝状态,而肠息肉手术后长时间卧床成为形成大量血栓的“导火索”, 一旦血栓随血液流动进入肺部,便可形成致命的肺栓塞!

在医生的指导下,梁伯进入长期的“抗凝”治疗,尽管接受了药物的治疗,但梁伯仍感觉上楼时气喘吁吁。今年六月份,定期复查的梁伯被医生告知,肺血管内有阴影,很难判断是肺栓塞还是肺部肿瘤,建议他到上级医院明确诊断。

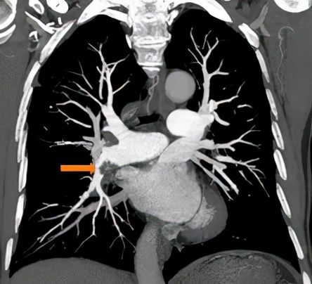
△肺动脉增强CT示:右下肺动脉主干及前基底段分支不完全性栓塞
详细检查后,
为梁伯制定个体化治疗
梁伯辗转几间医院,问题都没有得到有效的解决,最终,他来到广州医科大学附属第一医院国家呼吸医学中心,入住呼吸内科病房后,医生为梁伯做了详细的检查,并通过PECT检查显示,这个阴影的代谢不强,考虑不是肿瘤, 血栓的可能性更大 。
除此之外,洪城副主任医师发现,梁伯肺部血管里面散布着 很多慢性血栓 ,考虑到他已经规范抗凝治疗三个月都还有这些血栓,初步判断为已经转化为慢性血栓,单纯的药物治疗显然已经不奏效了。
“我们发现他 双下肺、右上肺都有慢性血栓 ,如果不及时采取措施, 血栓一旦堵塞肺部的分支或主干道,形成肺栓塞,可能会引发严重后果,甚至会导致右心衰竭死亡 。”
洪城副主任医师说, 肺栓塞是仅次于心肌梗死和卒中的全球第三常见的急性心血管综合征,被称为“隐形的杀手” ,在治疗方面主要包括肺动脉内膜剥脱术、靶向药物治疗和球囊肺动脉成形术。
肺动脉内膜剥脱术需要开胸、切开肺动脉,手术风险相对较高,梁伯非常抗拒外科手术,洪城副主任医师针对他的病情制定了个体化治疗方案,采用 “经皮肺动脉球囊扩张术” ,用头发丝细小的导丝进入狭窄的肺动脉,进行球囊扩张。

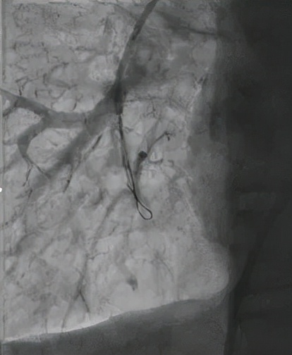
△导丝进入狭窄的肺动脉造影,明确病变血管

△送入OCT(光学相干断层成像)导管进行血管扫描,明确血管病变为网格样的慢性血栓
“人体的肺血管如同一棵大树,血栓常常堵在了‘树杈’、‘分支’部位,对狭窄血管进行扩张疏通,可以显著缓解肺动脉压力、血管阻力等问题。”介入手术过程中,医生需要身着厚重的防辐射铅衣,屏气凝神,在细微的血管间谨慎地完成每一项精细的操作,“如果稍有不慎,非常容易导致血管破裂,造成严重的并发症,非常考验操作者的经验与熟练度。”洪城副主任医师说,他们一次性为患者开通了8条血管,肺血管灌注后血流明显好转。

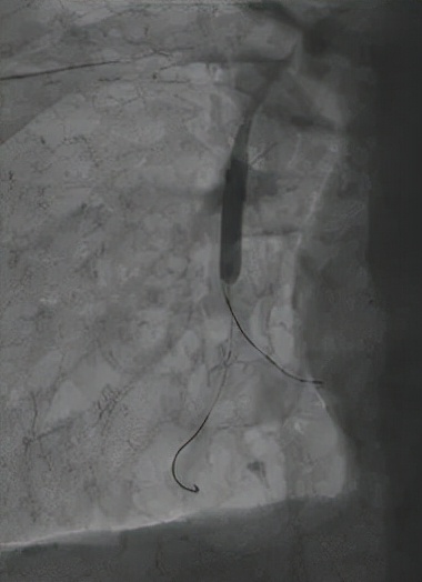
△球囊扩张狭窄血管

△球囊扩张后复查,血管血流明显改善
手术之后,梁伯感觉气顺了很多,症状得到立竿见影的改善,目前已经康复出院回家。
关于预防血栓,
专家有话说
“在肺栓塞的治疗方面,查因非常重要,明确病因后对症治疗,才能取得更好的效果。”洪城副主任医师说,对于患有肿瘤、风湿免疫病、血液病等患者,尤其要警惕血栓问题,对于一些查不出原因的血栓患者,则要重视检测易栓症基因,积极采取预防措施,进一步降低血栓性疾病的发生率和危害。

特别提醒
洪城副主任医师说,不可长时间保持同一姿势,如长时间站立、坐着不动等,都不要超过6个小时,休息时腿适当抬高,进行腿部的适当活动,手术后或产后要尽量早期下床活动,早期进行功能锻炼,促进血液流动,同时,要改变不良的生活习惯,特别是“三高”人群,要多饮水、多吃蔬菜水果、清淡饮食,加强锻炼,特殊情况需在医生指导下应用抗凝药物。
专家介绍

洪 城
广州医科大学附属第一医院呼吸内科副主任医师,医学博士,博士生导师
社会任职:中华医学会呼吸病学分会第十届肺血栓与肺血管疾病学组委员,广东省临床医学学会肺血管疾病及介入诊治专业委员会副主委,中国医师协会呼吸分会介入学组血管工作组副组长,中国老年医学学会呼吸病学分会第一届委员会肺血管病学术工作委员会委员等。
专业方向:各类肺血管疾病包括肺栓塞和肺动脉高压,擅长呼吸系统常见病病诊治尤其是肺血管疾病的介入诊断与治疗。