异物是儿童意外伤害中最常见的一种,尤其是婴幼儿,认知和判断能力都尚不健全,对身体的探索,以及对各种“洞洞”的兴趣,让他们很容易把各种异物塞入口中、鼻腔,甚至阴道、尿道等。

只有你想不到,没有这里看不到的。今天就让我们从另一个视角,看看孩子们体内那些匪夷所思的异物们!

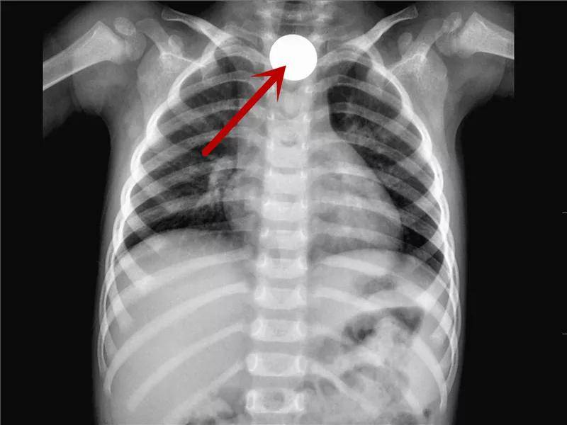
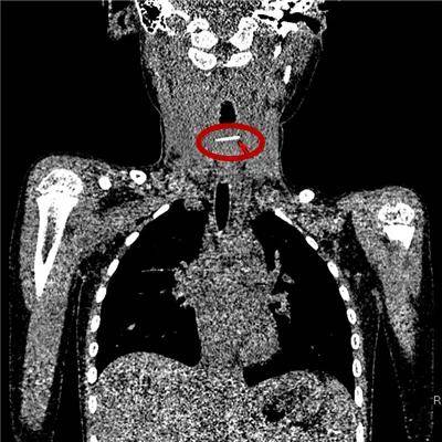
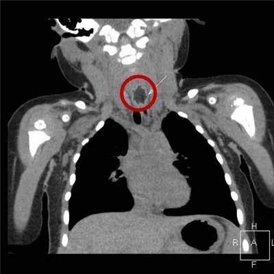
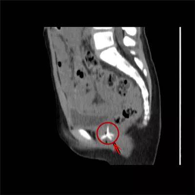
硬币的一场“旅行”
硬币是儿童消化道异物中最最最常见的。虽然有些孩子可以自行排出,但是部分幼龄患儿仍需手术取出。家长还是当心点吧!

进入食道上段

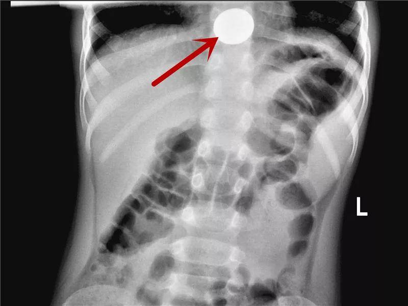
位于食道下段

到达食道最下端,贲门口上方了,只差临门一脚就进入胃了

进入胃啦

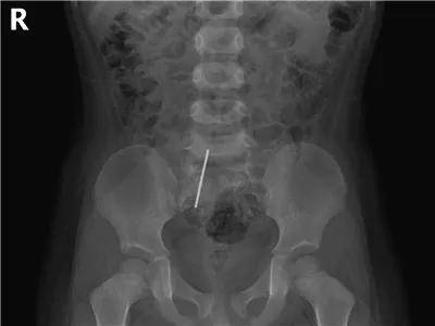
到直肠啦,肛门口上方了,此时硬币为侧影,因而呈条柱状。
五花八门的金属物件

2岁·金属杆
一天前误吞一金属杆状物,约4cm长,患儿偶感腹痛。

4岁·金属坠
入院1小时前误服5角硬币大小的金属吊坠。

7岁·金属链
两小时前患儿误服的金属链子。

1岁·拉链头
入院1小时前误服拉链头,约12mm大小。

1岁·别针
前一日中午12时左右误服“别针”一枚。还是打开的别针,真担心会戳到哪里,太危险了!
常见的各种钉子

4岁·铁钉
当天11点左右误吞铁钉一枚,约4cm大小,铁钉已入胃肠深处。这种尖锐的钉子最是危险,随时可能戳穿消化道!




各种年龄误服螺丝钉
这是误服的几个钝头钉,危害相对较小,但看着也很吓人。
常见的危险异物

1岁·水银
十小时前误服水银。患儿咬破水银温度计后吞入水银,呈散在点状高密度影。

虽然不小心误吞了水银温度计中的水银,一般不会引起汞中毒,但这仍然很危险的。因此,家长在用水银温度计给宝宝测量口温的时候一定要小心再小心!

2岁·电池
纽扣电池塞入鼻腔一天。幸好电池停留在了鼻腔,没有进入肺部或胃里。
如果电池在胃中被胃酸腐蚀后会崩解,进而流出腐蚀性液体,腐蚀性的液体有可能造成孩子的终身残疾。

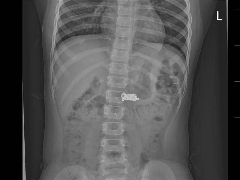
6岁·磁力珠
5小时前不慎误服磁力珠,未见呕吐,无腹痛。

2岁·磁力珠
1天余前误吞磁力珠9颗,每颗直径2mm左右,误服时孩子主诉食管部位不适。
单个磁铁的危险性不大,但是多个磁铁进入体内后,在不同的消化道会紧紧地吸在一起,强烈的吸力会导致消化道穿孔。
食物也会变成异物



7岁·鸡骨头
吞入鸡骨头,横看呈线,侧成点峰。
尤其是尖锐的鸡骨、猪骨、鱼刺,一旦卡住,非常容易戳穿消化道。

9个月·葡萄
半天前误咽葡萄。一颗傲娇的葡萄,不愿上来,也不肯下去,害苦了宝宝!

1岁·瓜子
5小时余前食用瓜子后有可疑呛瓜子,后出现咳嗽伴气喘。位于气管分叉处,您还能看出瓜子君的本来面目吗?

2岁·塑料异物
这异物有没有觉得眼熟?陌生又熟悉的感觉?难道是……

这下看清楚了不?没错,就是601的瓶盖盖!!!
还有些异物的位置令人匪夷所思

7岁·阴道异物
塑料玩具
家长发现*裤内**上分泌物增多,结果是阴道里一年前塞进个塑料玩具。

8岁·阴道异物
纽扣
半天前患儿反复诉会阴部疼痛,自诉经阴道塞入异物,家长说是可能是纽扣。


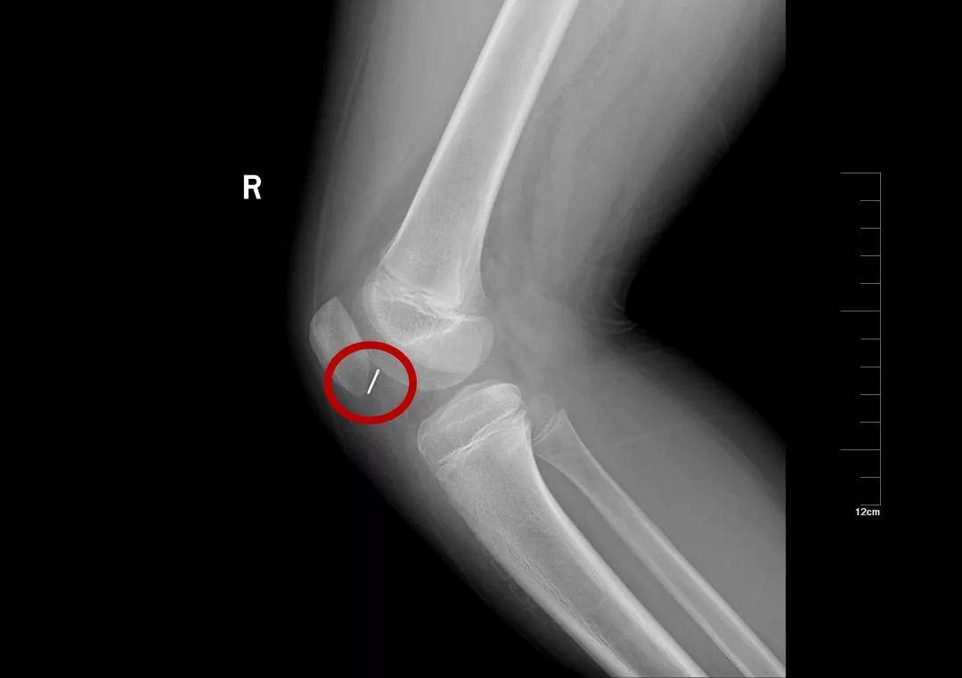
10岁·膝盖异物
半截针
患儿10天前不慎受伤,致半截床套针刺入右膝,无明显疼痛及活动障碍,至当地医院就诊摄片示右膝异物。
谁都不想宝宝发生这样的意外,尤其是各位爸爸妈妈。所以,无时无刻的监护,以及无漏洞、无死角的防护是非常重要的,希望每位家长都能做好以下几点,让宝宝远离危险!
1、不要给孩子戴一些容易抓下来的饰物,如发卡、吊坠等等;
2、图钉、钉子、缝衣针等尖锐的物品要收好;
3、钱币、钥匙、电池、磁铁不要给孩子当玩具,要放在孩子接触不到的地方;
4、换下来的电池要妥善存放,尤其是较小的纽扣电池,电动类的儿童玩具要注意封好电池;
5、3岁以下的孩子咀嚼和吞咽功能都还没有发育完全,果冻、干果类容易噎住、呛住的食物就不要吃了;
6、带刺、带骨的肉不要喂给孩子,汤面、肉汤等一定要用纱布过滤干净;
7、孩子哭闹的时候不要强行喂食,也不要追着喂饭,孩子吃东西的时候更不要逗笑、惊吓;
8、培养孩子正确的卫生习惯,尽量不穿开裆裤,不要把孩子的外生殖器暴露在外。
来源:南京市儿童医院