
1、持续性异位妊娠:输卵管妊娠经保守性治疗未完全清楚妊娠囊,或残存的滋养细胞继续生长,致术后β-hCG不下降或上升,称为持续性输卵管妊娠(persistent ectopic pregnancy)。超声显象检查可显示附件区包块回声,形态不规则,边缘不清晰,内部回声不均匀,腹腔内多无积液回声或有少量积液显示。由于声像图不典型,在检查时应详细询问病史、 结合临床表现及其他检查资料作出诊断。
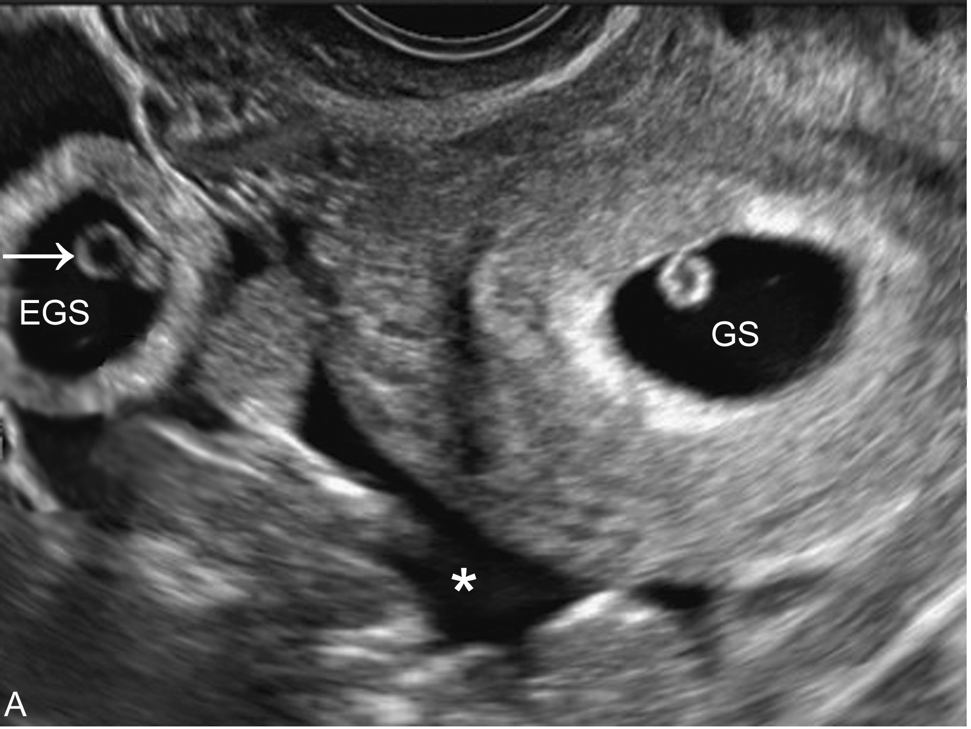
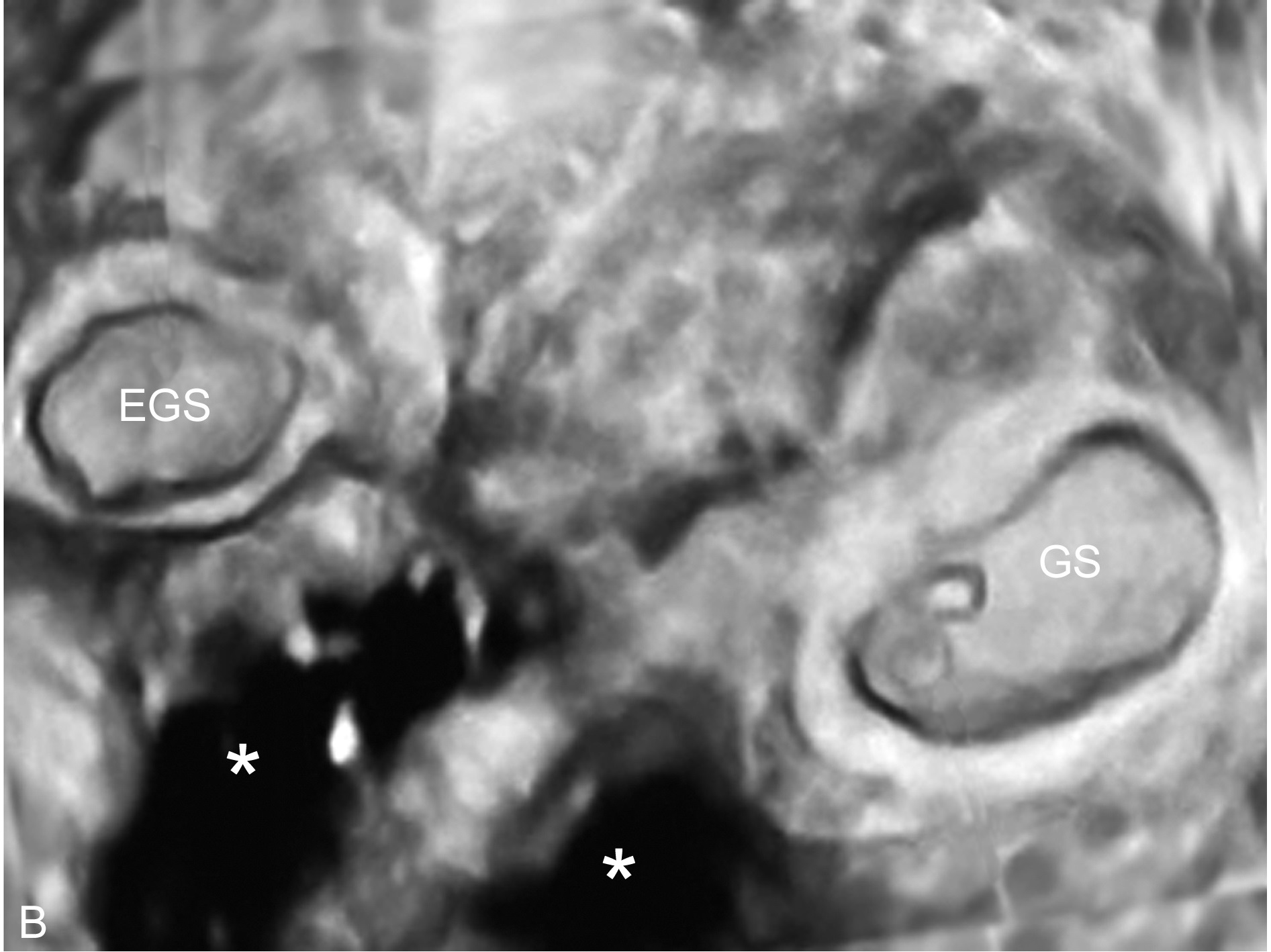
2、宫外孕与宫腔内妊娠合并发生:在自然妊娠中,宫外孕与宫腔内妊娠合并发生率为1:30000。故一般认为显示了宫内妊娠即可排除宫外妊娠,但随着辅助生殖技术及促排卵药物的应用其发生率明显增加。临床诊断困难。如果子宫腔内有妊娠囊显示,同时也显示了宫外妊娠的征象(图1,2),亦应作出宫腔内外同时妊娠的诊断。

图1 宫内妊娠(GS)合并宫外孕(EGS)腹腔积血(*)

图2 三维重建:宫内妊娠(GS)合并宫外孕(EGS)腹腔积血(*)
彩色多普勒彩色血流显像检查可以发现患侧附件区血流明显增多,血流阻力较低,但异位妊娠包块内血流并无明显的增多,而在孕卵植入部位的血流增多明显;输卵管妊娠破裂后局部血流明显减少。
输卵管妊娠破裂时病人多有典型的临床病史及其表现,结合阴道后穹窿穿刺、实验室检查和诊断性刮宫等可作出诊断;超声显象检查可以通过直接显示附件区包块和少量腹腔积液作出诊断。对于病史不典型或声像图不典型的病人应当注意与附件区炎块、滤泡或黄体破裂、卵巢扭转、卵巢肿瘤蒂扭转、急性阑尾炎等进行鉴别。此外,输卵管不同部位的妊娠,尤其是对输卵管间质部和峡部妊娠、卵巢妊娠的辨认,对临床治疗有重要的意义。输卵管间质部妊娠时显示为子宫角部突出,内部显示孕囊及胎体回声,宫腔内可见蜕膜反应,部分漏诊的病例妊娠可能维持相当长的时间,破裂后可引起大量的出血;输卵管峡部的妊娠破裂常较早,甚至在病人尚未意识到闭经时就可能发生破裂,而在声像图上与输卵管壶腹部的妊娠不易鉴别。腹腔妊娠时异位妊娠可种植在腹腔的任何部位,超声显象检查可显示异常之胎儿,位置较高,羊水量显示较少,胎盘显示不清,膀胱后方可显示增大的子宫回声。