高龄房颤患者,服用华法林7个月后突发咯血,后调整用药为达比加群酯,不过1个月时间,再发咯血,下一步诊疗计划如何考虑?

病史
现病史
80岁女性,2年前体检时心电图示心房颤动(房颤),无心悸、胸闷、胸痛,偶有活动时气短,无头晕、黑矇。后多次查心电图均示房颤,外院诊断为持续性房颤,未行任何抗凝或者转复治疗,患者平日一般活动可。
既往史
既往高血压病史14年,最高达190/110 mmHg,药物控制良好;充血性心衰病史3年,规范药物治疗,偶有活动时气短;14年前因升主动脉瘤样扩张行升主动脉人工血管置换术,目前降主动脉瘤样扩张(降主动脉膈段内径5.5 cm),未行外科治疗;慢性支气管炎、间质性肺病病史20余年;有慢性萎缩性胃炎及十二指肠溃疡病史,现无活动性出血;无糖尿病及卒中病史。
用药史和过敏史
琥珀酸美托洛尔95 mg Qd,地高辛0.125 g Qd,单硝酸异山梨酯缓释片20 mg Bid,呋塞米20 mg Qd,托拉塞米2.5 mg Qd。
无药物过敏史。
个人史及家族史
已婚,职业为教师(退休);不吸烟、不饮酒、无违禁药物使用史;久居本地。无心肺疾病及猝死家族史。
体格检查
生命体征:无发热,脉搏70次/分,血压106/66 mmHg。颈静脉明显充盈,肝-颈静脉回流征(+)。双肺呼吸音清,未闻及干湿啰音。心界向左下扩大,心率约90次/分,律绝对不齐,各瓣膜听诊区未闻及明显病理性杂音。腹软,剑下可触及腹主动脉搏动,肝脾未触及,移动浊音(-),双下肢水肿不明显。
诊疗经过
问题1. 对于该患者,如何给予抗栓治疗?
A. 口服抗凝药(华法林或新型口服抗凝药)
B. 阿司匹林
C. 口服抗凝药+阿司匹林
D. 不进行抗栓治疗
专家解读
正确答案是:A。
《2014年AHA房颤指南》指出,抗栓治疗应综合评价患者的出血及卒中风险。本例患者为非瓣膜病房颤患者,采用CHA2DS2- VASc评价卒中风险:CHA2DS2- VASc评分为6分;HAS-BLED评估出血风险:HAS-BLED评分为2分。
上述指南明确指出,对于非瓣膜病房颤患者,CHA2DS2- VASc≥2分或者既往卒中、短暂脑缺血发作的患者应口服抗凝治疗,包括华法林,新型口服抗凝药(达比加群酯、利伐沙班、阿哌沙班等);CHA2DS2- VASc为1分时,可不行抗栓治疗,或口服阿司匹林或华法林;CHA2DS2- VASc为0分时,不推荐口服抗栓药物治疗。结合本例患者CHA2DS2- VASc评分(6分),HAS-BLED评分(2分),综合考虑卒中风险及出血风险,应给予华法林或者新型口服抗凝药抗凝治疗。
诊疗经过1
患者规律口服华法林抗凝治疗。7个月后,突发咯血症状,为鲜红色血液,出血量约150 ml,急查INR 6.0。
问题2. 患者服用华法林期间突发咯血,该如何处理?
A. 停用华法林观察
B. 停用华法林,应用维生素K
C. 停用华法林,应用凝血酶原复合物
D. 停用华法林,应用凝血酶原复合物并联合静脉应用维生素K
专家解读
正确答案是:D。
患者服用华法林期间,出现咯血症状,INR值明显升高。根据《2013年华法林抗凝应用指南》,对于华法林导致的严重出血(四肢出血或者致命性出血),停用华法林同时应用凝血酶原复合物并联合静脉应用维生素K 5 mg。凝血酶原复合物能在10min内有效逆转华法林抗凝作用,但由于凝血酶原复合物中凝血因子半衰期较短,应联合静脉应用维生素K制剂。
诊疗经过2
患者开始口服达比加群酯110 mg Bid。1月后,患者再次出现咯血,停用达比加群酯。血常规示血红蛋白130 g/L。
问题3. 患者进行抗凝治疗后多次出现出血症状,下一步的治疗措施为?
A. 阿司匹林抗血小板治疗
B. 口服抗凝药(华法林或新型口服抗凝药)
C. 房颤射频消融术
D. 左心耳封堵术
患者在服用华法林后出现了INR易变及咯血情况,换用新型口服抗凝药后再次出现咯血症状。目前HAS-BLED评分为4分。
左心耳封堵术是可替代华法林长期抗凝的有效手段,《2012年ESC房颤指南》已将左心耳封堵作为房颤患者血栓预防手段,特别适用于卒中和出血高危的高龄人群。ASAP注册研究表明,对于不能耐受长期抗凝治疗并且高卒中风险患者,WATCHMAN装置联合应用抗血小板药物可作为抗凝治疗的替代措施。
房颤射频消融术虽有几率可以恢复窦性心律,但该患者CHA2DS2- VASc评分为6分,指南建议射频消融术后仍需长期抗凝,不宜作为首选治疗方案。
诊疗经过3
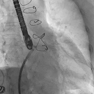
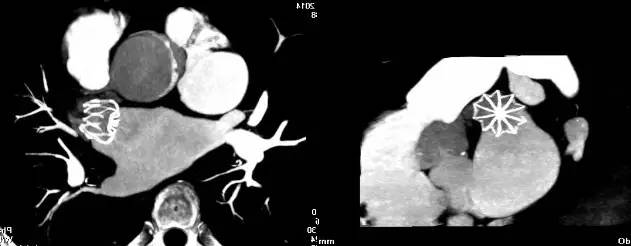
行左心耳封堵术,术前左房肺静脉CTA三维重建如(图1),术中左心耳造影并测量如(图2)(图3),封堵器释放后3D经食道超声心动图(TEE)如(图4)。术后当晚复查超声心动图后,开始应用低分子肝素+华法林,INR达标后,改为华法林+阿司匹林100 mg/d,嘱患者INR控制在1.8~2.5之间。出院1周后患者再次出现咯血,当时测INR 2.0,停用华法林。

图1

图2

图3

图4
问题4. 患者下一步的抗栓治疗方案是?
A. 华法林+阿司匹林
B. 华法林
C. 新型口服抗凝药
D. 阿司匹林
E. 双联抗血小板(阿司匹林+氯吡格雷)
专家解读
正确答案是:阿司匹林+氯吡格雷口服。
PROTECT AF研究及ESC专家共识建议,左心耳封堵术后,维生素K拮抗剂抗凝6周+单个抗血小板药物→双联抗血小板6月→单个抗血小板药物长期服用。
患者术后服用华法林+阿司匹林出现咯血症状,考虑到患者同时有胸主动脉瘤样扩张,停用华法林,给予阿司匹林100 mg/d+氯吡格雷75 mg/d口服6个月。
诊疗经过4
术后45天,因患者无法耐受TEE,行左房肺静脉CTA检查如(图5),未见封堵器表面血栓形成,封堵器形态良好,左心耳内血栓形成,封堵器与左心耳根部残余分流<5 mm(2.1 mm)。

图5
术后6个月,停用氯吡格雷,服用阿司匹林100 mg/d,随访13个月,无出血和血栓事件发生。
教学点
1.华法林导致严重出血时,应停用华法林并及时应用凝血酶原复合物联合静脉应用维生素K制剂。
2.对于华法林禁忌或不能耐受短期华法林抗凝的患者,左心耳封堵术后双联抗血小板治疗是一个安全有效的替代方案。
病例提供:首都医科大学附属北京安贞医院 王喆 吴佳慧 李松南 汤日波
病例征稿啦!
攻克疑难患者,您是否想传授经验、分享喜悦?遇到罕见病例,您是否想找“高手”指点,听取多方见解?那么,机会来了! “心在线”现面向全国征集心血管疾病相关病例啦!我们将为您提供传授经验、切磋技艺的平台,您不仅可以拓宽思路、丰富视角,还可获得丰厚稿酬!
投稿邮箱:content@cardiounion.cn
心在线 专业平台专家打造
编辑 刘倩┆美编 柴明霞┆制版 田新芳