65岁的王大爷一到冬天就出现了胸闷、气促、呼气不畅、呼吸困难,上楼心慌气促等症状,最近天气降温,又来找我做胸部CT,我一看片子:肺气肿。作为一名放射科医生,这也是这个季节我遇到的非常常见的病之一,几乎每天都可以遇到。那么肺气肿究竟是什么样的一种病呢?今天刘医生带大家认识认识。

一、什么是肺气肿?
肺气肿是指终末细支气管远端的气道弹性减退,过度膨胀、充气和肺容积增大或同时伴有气道壁破坏的病理状态。是一种严重的慢性呼吸系统疾病,导致肺功能逐步下降。肺气肿一般分为:小叶中央型肺气肿、全小叶型肺气肿、间隔旁型肺气肿、瘢痕旁型肺气肿。
肺泡是肺部气体交换的主要部位,也是肺的功能单位。肺气肿患者的肺泡弹性差,里面气聚集、膨胀,导致肺通气、换气功能衰退。当肺的过度膨胀达到一定的程度时,会出现胸廓的前后径增大,呈“桶状”改变。

而肺气肿的主要表现有:胸闷、气促、呼气不畅、咳嗽咳痰、呼吸困难、上楼时气踹或心慌气促等;而随着病情的发展,肺气肿常常还可以并发:肺部急性感染、呼吸衰竭、自发性气胸、慢性阻塞性肺疾病等。
肺气肿的形成原因主要包括:吸烟或接触二手烟,*草烟**可以导致支气管功能异常,降低其局部抵抗力;环境因素,如空气污染或化学物质污染等;感染因素,如反复发生呼吸道感染,是该病发生和发展的重要因素,包括细菌、病毒或支原体感染等。患有慢性呼吸系统疾病,如支气管炎和支气管哮喘,反复发作没有得到好的控制。

二、肺气肿如何诊断?
对于肺气肿的诊断,目前运用最多且最靠谱的方法,便是胸部CT检查,作为一名放射科医生,今天刘医生就仔细给大家科普以下肺气肿在CT上的表现。
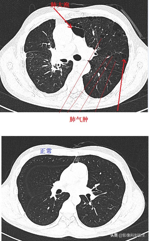
首先给大家看几张CT图像:



通过上面的图像,相信大家有了一个大概的印象。肺气肿主要征象即为正常肺组织内出现无囊壁的低密度区。
首先,我们来看小叶中央型肺气肿。它是一种与吸烟相关的肺部疾病,主要累及肺上叶、呼吸性细支气管破坏融合,肺泡导管肺泡囊正常,在CT上主要表现为散在分布的小圆形、无壁的低密度区,直径一般约2-10mm,位于肺小叶中央,仍可见小叶核心内的动脉。

其次,我们再来看一看全小叶型肺气肿。它形成的重要原因是抗胰蛋白酶缺乏,表现为终末细支气管远端气腔的全部破坏、扩大,累及整个腺泡,弥漫分布于整个肺野;在CT上,主要为广发分布的无壁低密度区,大小和形态多不规则,病变区内的血管影明显变细、变少,肺气肿样改变通常在肺基底部。

第三,间隔旁型肺气肿。它通常与其他类型的肺气肿合并存在。它的危险因素也是吸烟;主要位于胸膜下,容易造成气胸。在CT上表现为多发、单层胸膜下局限性透亮区,通常在1.0cm以下,常常伴有小叶中央型肺气肿或肺大泡。

第四,瘢痕旁型肺气肿。它主要是肺纤维化及瘢痕病变周围的异常扩张的含气腔隙,常见于肺结核纤维化病灶的周围出现低密度区。
第五,间质性肺气肿。间质性肺气肿是在肺组织间质纤维化的基础上并发肺气肿。在CT上,肺间质纤维化一般表现为蜂窝状、网格状的高密度影,而肺气肿表现为低密度影,它们形成鲜明的对比,非常容易诊断。

三、诊断肺气肿后,我们在日常生活中应该如何护理?
1、严格戒烟,同时要避免接触二手烟环境。
2、注意休息,避免熬夜,避免过度劳累。
3、注意卫生,做好个人防护,尽量避免接触污染环境。
4、在家里经常做好开窗通风,保持家里的空气新鲜。
5、保持烹饪环境的卫生,避免过多的油烟污染,多采用蒸、煮、炖之类的烹饪方法。
6、尽量避免去人群过于集中的场所。
7、每天坚持适当的锻炼,锻炼的方法可以选择散步、快走等,同时做一些呼吸操的训练,增强身体的抵抗力和免疫力,提升肺功能。
8、注意防寒保暖,预防感冒,尤其是季节变化的时候,避免冷空气的突袭,加重病情。
9、养成良好的情绪。尽量避免负面情绪的存在,调整心理状态,保存乐观愉快的心情。
10、注意合理饮食。平时多吃高蛋白、清淡、有营养、易消化的食物,同时避免辛辣、油腻,过咸的食物的摄入。

刘医生总结:肺气肿作为我国老年人非常常见的肺部疾病,它的一些症状确实会对我们的生活造成比较大的影响,特别是进展到晚期时很容易造成患者肺功能过差,最终导致呼吸衰竭死亡。因此,建议有相应症状的患者一定要到医院完善检查,确定是否为肺气肿。如果诊断为肺气肿,建议咨询相关专科医生,制定好科学合理的治疗方案,避免其进展过快。同时,在日常生活中按照刘医生说的做好相关护理,避免其并发症的发生。
如果您还有其他疑问,欢迎在下方留言,大家共同探讨。
我是影像科刘医生,专注分享医学、健康方面相关知识,如果您觉得文章不错,欢迎转发、点赞或加个关注,我会定期更新医学健康方面相关知识,共同进步。
#清风计划# #头条健康# @南方健康 @健康真相官 @头条健康 @青云计划
(部分图片来源于网络)