认识肺实变和肺不张是理解肺部影像学表现的基础。
气腔实变是肺泡腔被液体、血液、脓液、细胞或其他物质所代替。肺泡实变和肺实质实变是气腔实变的同义词。
一、影像学表现
气腔实变的X线和CT异常表现包括以下几点:
1)致血管影模糊的均匀致密影。
2)空气支气管征。
3)边界不清的或毛糙的阴影。
4)充气肺泡影。
5)斑片状阴影。
6)“腺泡”或气腔结节。
7)肺容积不变。
8)延伸至胸膜表面。
9)“CT血管造影”征。
肺的均匀致密影是肺泡内气体完全被代替的结果。实变的肺内血管是不可见的(图2-1A)。
1
空气支气管征
肺实变的患者中,充气的支气管在平片或CT上都能看到,在不透光的肺实质衬托下显示为透光区(图2-1)。这一征象称为空气支气管征。
有些原因引起的肺实变,可能看不到空气支气管征。造成这种情况的原因主要是中央型支气管阻塞(如肿瘤或黏液),并与阻塞支气管病理改变相关。例如,由于血液充满了支气管,肺梗死导致的肺实变并不伴有空气支气管征。支气管肺炎的患者,支气管中可能因为充填了黏液或脓液也不显示此征象。
如果在某一实变区出现空气支气管征,支气管阻塞不可能(但不能排除)成为真正的病因。空气支气管征是气腔实变的典型征象,但也见于混合性间质性疾病。

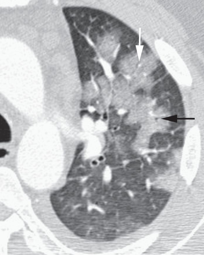
A

B
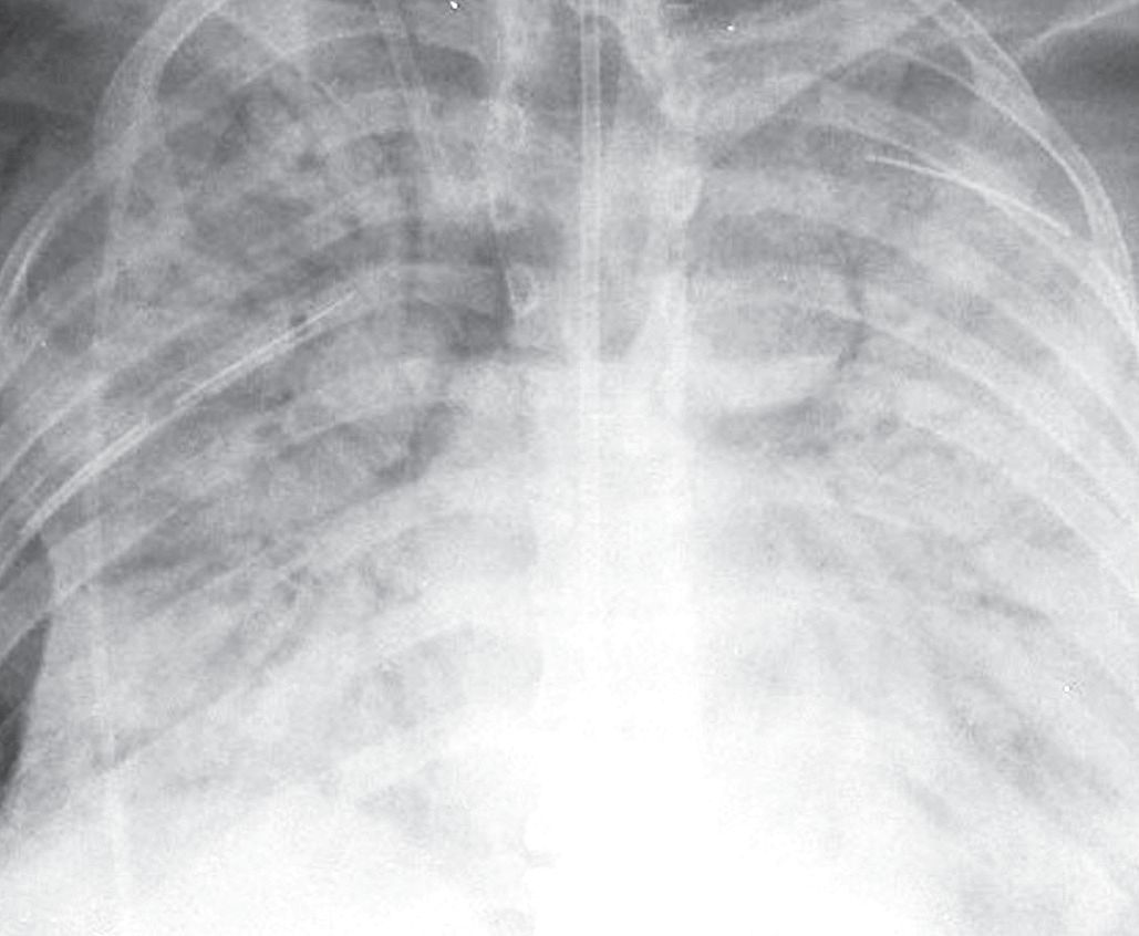
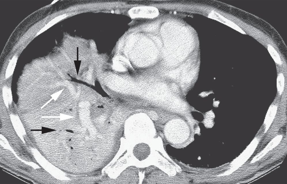
图2-1 实变:均匀致密影,纹理遮盖,空气 支气管征和CT 血管造影征
A.肺水肿所致的右肺实变。可见双侧实变肺内空气支气管征,肺血管模糊;B. 右肺中下叶肺炎患者增强CT 显示病变区均匀实变,肺体积保持不变,空气支气管征( 黑色箭头) 和致密血管影( 白色箭头),其密度高于邻近实变肺组织( 即“CT血管造影”征)
2
边界不清或模糊阴影
实变经常表现为边界不清的阴影(图2-2,图2-3),这与边界锐利的肺部肿块相反。在病理学上,缘于斑片病变蔓延的边缘存在数量不等的含气肺泡。

A

B
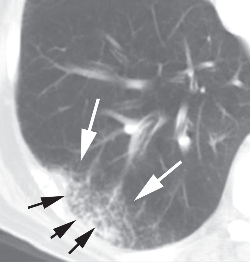
图2-2 实变:边界不清的,毛玻璃样致密影伴“肺泡充气征”
放大影像细节观察右肺下叶实变呈磨玻璃样边界不清的致密影,内含有小圆形透亮影,称为肺泡充气征,尽管与实际肺泡大小并不相符;B.右下叶肺炎患者胸部CT显示边界不清的磨玻璃样实变(白色箭头),实变区内小的局灶性透亮影(黑色箭头)为“肺泡充气征”
3
肺泡充气征
如果肺实变不融合,可以看到间杂小的局灶性透亮区,代表未受累的肺组织( 图2-2)。这些透亮区被称为“肺泡充气征”,但因为肺泡太小无法在X 线片上看到,这是一个误称。这些透亮区反映了不完全肺实变。
4
斑片状不透光区
不同性质成分的实变肺组织会导致透光程度的差异( 图2-3)。肺血管可能变得模糊或显示不清。
斑片状肺实变有时在胸部X线片或CT 上显示为小叶或多小叶的病变( 包括孤立的肺小叶)( 图2-4),可表现为一些小叶密度增高而邻近小叶充气正常。

A

B
图2-3 实变:斑片状致密影
A.肾衰竭引起的肺水肿患者,胸部X 线显示肺门周围斑片状实变影:B.CT 显示斑片样磨玻璃样实变,其边缘模糊是由于病理进程中肺泡受累程度不同

A

B

C
图2-4 实变,斑片状致密影
A、B. 支气管肺炎及小叶性实变患者增强HRCT显示单个小叶实变而周围邻近小叶正常,实变区小叶中心动脉( 白箭头) 和细支气管( 黑箭头);C. 冠状面CT 也显示斑片状实变影呈小叶性分布
5
“腺泡”或气腔结节
腺泡是参与气体交换过程的最大气道单位。在解剖学中,腺泡位于终末细支气管远端, 由第一级呼吸性细支气管所支配。腺泡平均直径为7~8mm。
“腺泡结节”和“气腔结节”是用于描述有边界的圆形不透光区,直径通常在5 ~10mm, 多由局灶性肺实变所致( 图2-5)。这些结节大小近似于腺泡,但趋向于小叶中心和细支气管周围分布,可能是实变的唯一征象或出现于大面积的实变区边缘。

A

B
图2-5 实变:腺泡或气腔结节
胸部平片显示斑片状左上叶大叶性肺炎,致密实变影边缘可见直径小于1cm 的边界不清的结节样密度增高影( 箭头),代表气腔或腺泡结节;B. 双肺实变患者CT 显示( 层厚5mm),左肺下叶可见空气支气管征,并显示斑片状实变和毛玻璃样致密影, 右肺中叶、下叶可见气腔结节( 箭头)。这些结节边界不清,直径5 ~ 10mm,呈小叶中央分布
胸部HRCT 较平片更易显示结节状的致密影。在HRCT 中,小叶中心区容易定位。这些表现将在第10 章中详细描述。
6
肺体积变化
肺实变时,由于肺泡气体被其他物质所替代( 如液体),病变的肺叶体积保持不变( 图2-1B) 或轻度缩小。有些肺实变患者肺叶有轻度增大。
7
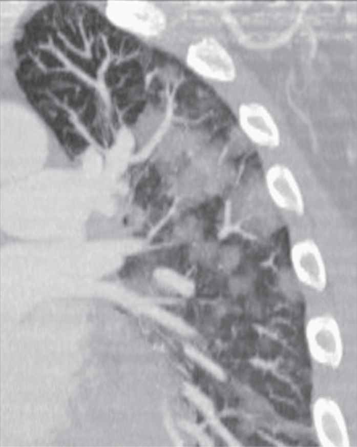
延伸至胸膜表面
实变经常通过肺泡孔延伸到胸膜表面的裂隙( 图2-5B),可防止病变进一步扩散。当胸膜表面受累时,病变可累及整个肺叶,如大叶性肺炎。
8
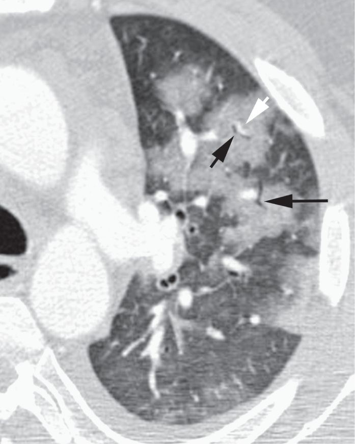
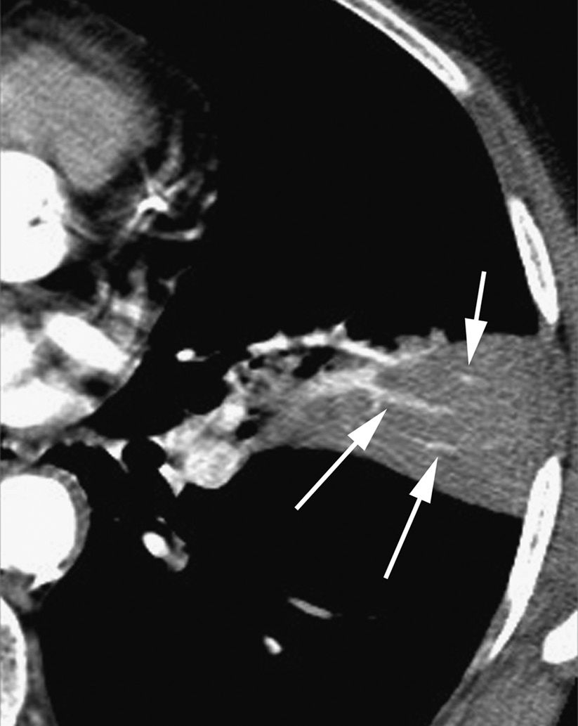
CT血管造影征
肺实变患者CT 的特有征象是“CT 血管造影征”。这是指静脉内灌注对比剂后,在实变肺组织内正常走行的血管影增强呈高密度,在实变影的衬托下显影( 图2-1B,图2-6)。肺部肿块中也可见高密度的血管影,但血管经常表现为压缩和扭曲的形态。

图2-6 实变:CT 血管造影征
肺炎患者增强CT 显示局灶性实变,与实变肺组织相比, 不透明的动脉( 箭头所示) 密度增大,实变边界在斜裂后部分出现
编辑推荐:
-
由全球著名的放射学家W. Richard Webb主编撰写
-
纵向按疾病、按部位进行编写,横向按征象进行编写
-
将最重要和关键的资料加以总结和凝练,以大量提纲挈领式的图表形式呈现。
-
2000余幅精美的影像学图片。展示了临床上所能遇到的各种胸部相关疾病的重要影像学表现和典型征象”

《胸部影像学》第2版 优惠 进行时……
内容简介
《胸部影像学》是一部系统介绍胸部影像学以及各种影像学检查新技术(如螺旋CT、高分辨率CT、MRI和磁共振血管造影)的专著,由全球著名的放射学家W. Richard Webb主编撰写。全书38章,按照肺部疾病的影像学表现、解剖部位、临床表现、分期、诊断方法与鉴别诊断等内容进行编排。胸部平片和CT技术分述于相关章节之中,并对MRI和CT在缺血性心脏病方面的应用现状进行了系统介绍。
《胸部影像学》力求全面详尽、深入浅出、易于理解,适宜于从事影像学专业5年以上的各级医师、研究生学习阅读,也适宜于呼吸与危重症学医师、心血管内科医师、全科医师、ICU医师的参考阅读。

科学出版社赛医学(sci_med)
科学出版社医药卫生分社订阅号