巧克力囊肿易复发
前几天做了一个巧克力囊肿,给大家分享一下。当时已经报到巧克力囊肿六个公分了,并且囊肿有一个大一点的,应该里面还有小的。好多患者都反馈巧克力囊肿做过一次两次甚至三次手术了,怎么还长?因为它是一个一个的囊,把这个巧克力囊肿手术做好了,另外的可能又涨起来了。

我们介入科的方法就是,经过穿刺,把囊液抽出来,然后打硬化剂,把内壁破坏以后,它不再生出囊液了,这个病就算治好了。当然,即使以后复发了,还可以这样做穿刺,毕竟扎个针和你开个刀,这样的创伤大家比较一下就行了。
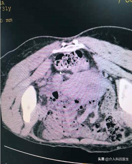
图是CT的图像,在臀部扎针进来,把里面的囊液抽出来。我没有照囊液的图片,囊液有一百多毫升,全是那种粘稠的血性的。


实际上巧克力囊肿是以它的颜色像巧克力一样,其实囊肿也是一种经血,在反复的出来以后,把囊给憋大了,里边水分吸收以后,囊液变得更加的粘稠,这个也是常见病。
抽出囊液后,我们打酒精硬化。图可以看到巧克力囊肿没了,就剩这么一点了,这是超级微创的一个治疗方法。

有些人问直接开刀行不行?开刀的过程中间可能会影响到卵巢的动脉血管,引起卵巢的功能的减退等等;穿刺有没有可能呢?我觉得它的这种几率可能会更低一些。这个治疗还有争议的地方,但是我个人感觉还是非常好,最起码创伤小,恢复快,对患者影响很小。
我是介入科吕医生,还有什么疑问,可以留言、私信与我联系。