敏感肌是高度不耐受的问题性肌肤,容易出现发红发痒、刺痛蜕皮等过敏现象。敏感肌一般有四种主要类型,今天就带大家来了解一下。
第一种:发红性敏感肌
这是最为常见的敏感肌类型,从外观上看就是皮肤薄、毛细血管扩张充血,比较容易泛红。
特征:面部有灼热感,如遇到高温、情绪波动、辛辣食物、摄入酒精都会造成血管扩张,引起面部发红。

注意事项:平时要按时作息,不要熬夜。日常饮食要避开高甜高油、辛辣刺激等食物,还有蘑菇、海鲜等发物,可以适当多吃维C含量高的新鲜蔬果。
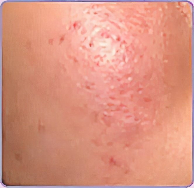
第二种:接触性敏感肌
这种类型的敏感肌多发生在使用了含有防腐剂、香精、酒精等成分的化妆品之后出现的过敏反应。
特征:一般表现为泛红、紧绷,附有刺痛感和瘙痒感。

注意事项:避开含有防腐剂、香精等化学致敏成分的美妆产品,可以选用含有神经酰胺等仿生脂质,以及库拉索芦荟、积雪草、马齿苋等植物提取物的温和型护肤品,可以起到镇静舒缓,改善泛红敏感的作用。
第三种:环境刺激性敏感肌
这种类型常见于肤色偏白,偏干、偏薄的肤质,这类人群的皮肤角质层普遍较薄。
特征:肌肤紧绷、瘙痒、有刺痛感,容易出现红斑。

注意事项:注意养成规律的作息,不要熬夜,多吃新鲜健康的蔬果,少吃油腻辛辣刺激食物。由于皮肤角质层薄弱,要避免过度清洁,少用去角质产品,减少化妆的频率,卸妆产品也要选择温和型的,避免二次清洁造成的刺激。
第四种:缺水性敏感肌
指皮肤长时间处于缺水状态而导致的水油失衡,干燥敏感,相较于其他肤质,这种肤质更易出现松弛老化。
特征:皮肤干燥脱屑,水油不平衡,有明显的细纹,肌肤弹性较小,容易松弛。

注意事项:平时除了注意补水保湿的同时还要注意油分的适当补充,可以选择精华霜、精华油等一些质地比较滋润的护肤品,维持水油平衡的同时,又能减轻肌肤油脂负担。
看完上面内容,你们了解到自己的敏感肌肤属于哪一种类型了吗?敏感肌不可怕,可怕的是不懂得针对性的护理。下期就教大家如何科学护理敏感肌~
更多专业护肤知识,关注小编不走弯路!
有任何皮肤问题,欢迎私信和评论留言!