作者 | 贾延 高娃 江门市澳保生物科技有限公司
黄颡鱼,俗称黄骨鱼、黄腊丁等,隶属鲶形目(Siluriformes)、鲿科(Bagridae)、黄颡鱼属(Pelteobagrus),广泛分布于我国江河、湖泊、池塘等水体中。
杂交黄颡鱼是由雌性普通黄颡鱼(P. fulvidraco)♀和雄性瓦氏黄颡鱼(P. vachelli)♂杂交繁殖的子代,其中全雄黄颡鱼是利用鱼类性逆转技术,通过雌核发育、测交等手段获得全雄子代,因其个体大、抗病强、长速快、料比低、亩产高,故深受养殖群体欢迎。自2017年之后,广东多家黄颡鱼孵化场及浙、鄂、湘等部分大型孵化场大规模繁育全雄苗供国内各区域养殖。
随着黄颡鱼养殖密度和规模不断攀升,养殖水域环境日益恶化,细菌性疾病也逐年频发。2015年辽宁省灯塔市某养殖基地出现典型患“红头病”的黄颡鱼,经16S rDNA测序结合细菌形态及生理生化特性,鉴定为蜡状芽孢杆菌。2016年广西省柳州市某养殖厂黄颡鱼发生大规模死亡,从病鱼肾脏中分离鉴定出的菌株为迟钝爱德华氏菌。2017年云南省某养殖公司的瓦氏黄颡鱼出现死亡情况,对分离菌进行生理生化鉴定与基因序列分析等,从病鱼肝脏中鉴定出嗜水气单胞菌。
2018年浙江省某黄颡鱼主养区暴发严重溃疡病,对分离的多株优势菌进行分类鉴定,结果表明11株优势菌皆为拟态弧菌。2019 年湖北省汉川市某黄颡鱼养殖场爆发疾病,经病原菌分离鉴定为铜绿假单胞菌急性感染。2020年湖北省潜江市某黄颡鱼主养池塘出现暴发性病害,经细菌纯化鉴定致病菌为维氏气单胞菌和类志贺邻单胞菌。病原多样性常导致疾病难以实时防控,从而造成较大经济损失。做好疾病早期筛查机制有助于养殖疾病大规模薄发的风险。科学用药即可降低用药成本,也可以避免乱用抗生素药物导致环境污染及药物残留。
2021年10月末,江门市新会区大泽镇某黄颡鱼养殖池塘出现病情,池塘面积30亩,水深1.8米,塘内养殖的黄颡鱼连续数日损耗超过600斤/天(图-1)。11月9日,采集发病池塘水体样本和濒死病鱼样本进行检测和诊断。

图-1 发病黄颡鱼池塘
1 池塘水质指标检测
表-1 发病黄颡鱼池塘水质指标检测结果

2 发病黄颡鱼规格测量
表-2 发病黄颡鱼平均体重和体长指标测量结果

3 发病黄颡鱼临床病灶记录
发病黄颡鱼经体表标准化检查可见:鳃丝肿大充血、部分发白,吻部及下颌多处出血、口腔内少量出血(图-2a-c);体表黏液增多,背鳍有出血点,鳍条基部溃疡,胸鳍基部充血、发红,腹鳍出血,肛门充血、红肿,臀鳍有多处点状溃疡灶,尾鳍点状出血(图2d-h)。经解剖标准化检查可见:病鱼脑部外观无明显病变,肝脏肿大、发白、充血,贴近胆囊一侧肝组织颜色发绿,有胆汁回流情况,胆囊轻微肿大(图-2i-k)。


图-2 发病黄颡鱼体表和解剖检查结果
a:鳃丝、眼部;b:吻部、口腔;c:下颌;d:背鳍;e:胸鳍;f:腹鳍、肛门;g:臀鳍;h:尾鳍、尾柄;i:脑;j:内脏团(白肝);k:内脏团(绿肝)。
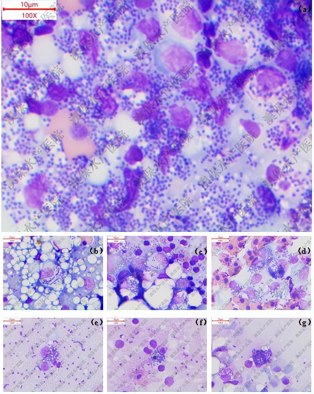
4 发病黄颡鱼各组织印片细胞学检查
取发病黄颡鱼的少量脾脏、肝脏、肾脏、血液、心脏、脑和肠道内容物,制成细胞学印片,后进行瑞氏-姬姆萨染色,显微镜油镜下镜检各组织中病原菌的形态和数量分布情况。显微视野下可见:病鱼脾脏部位病原菌感染量较多(图-3a);肾脏、血液部位次之(图-3c,d);肝脏、心脏、脑和肠道内容物等部位较少(图-3b,e-g)。


图-3 发病黄颡鱼各组织印片、染色、镜检结果
a:脾脏;b:肝脏;c:肾脏;d:血液;e:心脏;f:脑;g:肠道内容物。
5 病原菌分离纯化、测序比对
经挑取脑心琼脂固体培养基平板(BHIA)上划线分离得到的链球菌单菌落(图-4),接种于脑心液体培养基(BHI)中培养,分离纯化后的单菌珠进行16S rDNA基因检测鉴定,该菌株与海豚链球菌(Streptococcus iniae)同源性为99.65%,结合细菌形态特征,确认本次分离菌株鉴定为海豚链球菌(表-3)。

图-4 链球菌在脑心琼脂固体培养基平板(BHIA)上形成的菌落特征
表-3 分离菌种NCBI物种相似度比对结果

6 药物敏感性试验
采用纸片琼脂扩散法检测分离的海豚链球菌MP002药物敏感性实验,实验结果显示该菌株对阿莫西林、多西环素、氟苯尼考、恩诺沙星、复方新诺明的相对敏感度较高,对硫酸新霉素的相对敏感度较低,其中阿莫西林和多西环素的抑菌圈直径较大(图-5,表-4)。

图-5 链球菌的药敏试验
表-4 海豚链链球菌MP002的药敏试验 单位:mm

链球菌病的病原主要为海豚链球菌(Streptococcus iniae)和无乳链球菌(Streptococcus agalactiae),普遍存在于养殖环境中,其发病与水温、密度和环境有着密切联系,可危害包括罗非鱼、鲻、鲷、鳉等几十种淡海水鱼类,一般流行于5~10月份。2016年7~8月福建省某黄颡鱼养殖场暴发病情,发病率40%~60%,死亡率约90%,经诊断确诊病原菌为海豚链球菌;2616年10月贵州省某黄颡鱼养殖场出现水中转圈、死亡现象,死后可见鱼体不同部位溃疡,经诊断确诊病原菌为无乳链球菌。
本次诊断中,根据发病黄颡鱼胸鳍基部发红、尾鳍点状出血等临床症状,结合实验室内对病鱼各组织进行印片、染色及镜检,并将分离纯化的菌种送检测序比对,最终确诊造成本次黄颡鱼养殖池溏发病的病因为海豚链球菌感染。目前抗生素治疗仍是治疗该类疾病的主要有效手段之一,但随着各种细菌性疾病频繁暴发,药物使用不当或滥用药物导致致病菌产生耐药性,且在环境中残留,给养殖户防控链球菌病带来较大困难。因此,在疾病诊断时应及时准确确诊病原,了解其耐药性,寻找高度敏感药物,做到科学用药。根据药敏试验结果,该病原菌对阿莫西林、多西环素、氟苯尼考及恩诺沙星等敏感度较高,临床上需考虑药物质量、给药剂量和给药途径,而养殖一线则还需考虑成本因素。
对于链球菌病的防治,本文给出了几点建议方案,供广大养殖户朋友参考借鉴:
1、首先镜检确认是否有小瓜虫、车轮虫等寄生虫感染,如有则建议先杀虫。
2、建议交替使用二氧化氯和水产用碘制剂,消毒2~3次(3天/次),杀灭水层与泥层病原菌。
3、根据药敏试验结果,可尝试选择敏感度较高的药物进行拌料投喂,每日1餐(5天/疗程),观察用药效果,当损耗降至0.02%时(例:5万尾/塘,日损耗≤10条),建议停止用药。
4、通过对芽孢杆菌抑菌效果的研究,已证实芽孢杆菌中的某些菌株对嗜水气单胞菌、爱德华氏菌、溶藻弧菌等致病菌均有抑制效果,建议使用复合芽孢杆菌,为池塘水体及鱼体肠道内补充有益菌,抑制病原菌生长繁殖。
5、定期使用高铁酸钾+过氧化钙,净水絮凝、改底增氧,降解池塘底层毒素,抑制病原菌滋生。
6、使用中草药类保肝产品+水产用多维拌料投喂,每日1餐(5天/疗程),护肝增免疫,健肠促消化,降低病原菌感染率。
国内很少有链球菌感染黄颡鱼的病例报道,但由海豚链球菌引起的疾病对水产养殖业仍造成巨大损失。由于本次爆发链球菌病的情况较为严重,发病黄颡鱼均已闭口不吃料,在使用阿莫西林和少量恩诺沙星后,损耗明显下降并开始摄食,配合水产服务技术专员的方案,养殖池塘黄颡鱼回复健康水平,池塘水质良好、黄颡鱼活力好摄食猛。
结束语:
黄颡鱼链球菌病通过水体传播非常迅速,肠道黏液及粪便内均存在链球菌,建议养殖户平时多留意观察,日常做好消毒、改底、增强鱼体质等工作,遇到疑似发病情况,尽早联系技术员现场采样检测,或及时送到周边服务站寻求诊断,同时选择相对敏感性较好的药物进行口服给药治疗,避免链球菌病传播和爆发。