近日,美国心脏协会(AHA)发布了《川崎病诊断、治疗和长期管理共识》,详细介绍了川崎病的诊断和管理。以下为川崎病共识中有关诊断、评估的要点整理。
一、流行病学
川崎病是一种以全身血管炎为主要病变的急性发热出疹性小儿疾病,发病原因至今未明,高发于5岁以下婴幼儿,男女比例约为1.5:1。在北美地区,每10万5岁以下幼儿中每年约发病25例,冬季和早春为高发季节。亚裔儿童,尤其是日本儿童的发病风险最高。在日本,该病复发风险约为3%,兄弟姐妹的风险升高10倍;病死率<0.1%。
在诊断前10天,该病表现为非特异性症状。40岁以下的成年人中,川崎病引发的冠状动脉瘤占急性冠脉综合征的5%。
二、病理学
川崎病血管病变主要累及肌性动脉,并以坏死性动脉炎、亚急性/慢性血管炎、血管内肌纤维母细胞增生(LMP)为特征病变。
大型或巨型冠状动脉瘤的直径≥8 mm或Z评分≥10时,不需处理,它们很少破裂,一般含有血栓,易致血管堵塞。动脉瘤明显受损但部分血管中层保留的情况下,随着时间延长,其直径可能因LMP和血栓而减小,并逐渐狭窄。
亚急性/慢性炎症引发的心包炎和心肌炎常出现在冠脉周围,但川崎病即使在晚期,也不会出现动脉粥样硬化性特征。

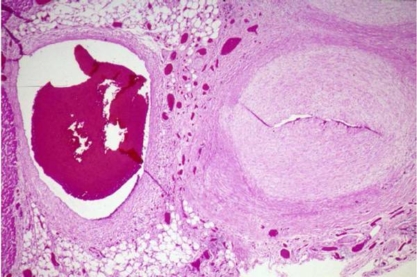
图1. 一名19个月川崎病婴儿的心外膜冠状动脉(右)和心外膜静脉(左),该幼儿患病10个月后死亡。
三、诊断
川崎病的典型表现为至少5天持续发热,同时伴有下列5种症状的4种。至少出现下列4种症状,尤其是手足出现潮红和肿胀时,连续发热4天即可诊断为川崎病。
①嘴唇开裂并伴有红斑,草莓舌,和/或口腔及咽粘膜红斑;
②双侧结膜充血,无分泌物;
③皮疹:斑丘疹、弥漫性红皮病或多形性细胞瘤样红疹;
④急性期手足出现红斑和水肿,和/或亚急性期出现甲周脱皮;
⑤颈部淋巴结肿大(直径≥1.5 cm),通常表现为单侧。

图2. 川崎病的典型临床特征。A,皮疹:斑丘疹、弥漫性红皮病或多形性细胞瘤样红疹;B,结膜炎:双侧结膜充血,无分泌物;C,口部变化:嘴唇开裂并伴有红斑,草莓舌,和/或口腔及咽粘膜红斑;D、E,手足红疹:通常伴有水肿,亚急性期甲周脱皮得到缓解;F,颈部淋巴结肿大:通常表现为单侧,直径≥1.5 cm;G,冠状动脉瘤:左室流出道磁共振成像显示巨型右冠状动脉瘤,伴有非堵塞性血栓(黄箭头所示),以及巨型左主冠脉瘤;H,外周动脉瘤:磁共振成像显示腋窝和锁骨下静脉以及髂骨和股动脉处的动脉瘤(黄箭头所示)。
未出现上述典型川崎病的临床特征时,通常要进行不完全性川崎病的评估,如图3。若发现冠状动脉异常,则大多数情况下可确诊为川崎病。

图3. 疑似不完全性川崎病的评估流程。
实验室检查通常显示白细胞正常或升高,C反应蛋白和血沉速度升高;可能出现血钠和白蛋白水平降低,血清肝酶升高,脓尿。发热后第2周,常出现血小板增多现象。
其他临床表现可能包括以下方面。

特异性诊断包括其他感染性和非感染性方面,主要包括下述内容。

可考虑诊断为川崎病的特殊情况如下。
(1)持续发热和过敏的不足6个月的婴儿;
(2)持续发热且伴有不明原因的非细菌性脑膜炎婴儿;
(3)婴儿或儿童持续发热,伴有不明原因的休克;
(4)婴儿或儿童持续发热,颈部淋巴结肿大,使用抗生素无效;
(5)婴儿或儿童持续发热,咽后或咽旁呈蜂窝组炎,抗生素无效。
四、评估
急性期诊断和监测:心血管评估建议
(1)考虑为川崎病时应行超声心动图检查。但如果条件不允许或存在技术限制,不应因此延误治疗(IB类推荐)。
(2)应对冠脉行影像学检查,并定量评估管腔直径(IB类证据)。
(3)对于无并发症的患者,治疗后1~2周、4~6周内应复查超声心动图(IB类推荐)。
(4)对于急性期诊断出严重、进行性冠脉病的患者(Z评分>2.5),应至少每周行2次超声心动图,直至管腔直径停止进展,确定栓塞危险(IB类推荐)。
(5)对于巨大动脉瘤患者,肿瘤直径快速增长期时,每周行2次超声心动图以确定冠脉栓塞情况,发病45天内至少每周行一次超声心动图,随后每月行一次,直到发病第3个月。这么做的原因在于,如果不能及时强化血栓预防,那么快速增长的动脉瘤会成为发病和死亡的首要原因(IIaC类推荐)。
心在线 专业平台专家打造
编辑 田新芳┆美编 柴明霞┆制版 潘欢
更多精彩,点击下方“阅读原文”查看。