脊髓的胚胎发育
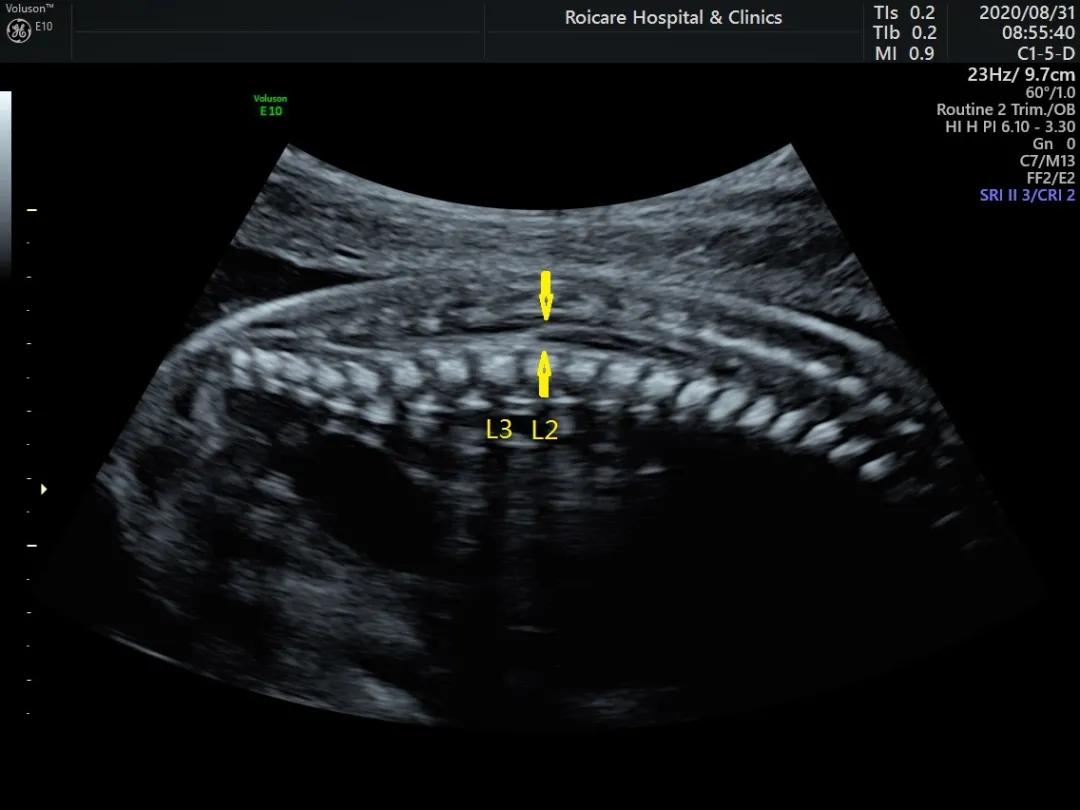
脊髓圆锥指脊髓下端逐渐变细呈圆锥状,位于腰膨大以下,下续终丝,圆锥以下部位也是进行腰椎穿刺部位。

正常位置的脊髓圆锥
脊髓发育起源于胚胎时期神经管的尾部,脊髓末端逐渐变细的部分即脊髓圆锥。在胚胎发育的前3个月,脊髓与脊柱几乎等长,其所发出的脊神经与相应的椎间孔均处同一水平,其末端延伸到发育中的尾骨。
从胚胎第4个月开始,脊髓生长慢于脊椎,而脊髓上端与脑相连,位置固定,因此脊髓下端逐渐上移。由于脊柱增长比脊髓快,并逐渐超越脊髓向尾端延伸,而脊髓圆锥末端以下为逐渐被拉长的线状终丝与尾骨相连,随着脊柱的迅速增长,脊髓的位置相对上移到较高的平面,脊髓末端的终丝被拉的更长。

正常位置的脊髓圆锥
出生时脊髓圆锥位于第2腰椎(L2)至第3腰椎(L3)水平,出生后3个月位于L1~L2水平,与成人相同。脊髓下端因各种先天或后天原因受制于椎管的末端不能正常上升,使其位置低于正常,由此而导致的一系列临床神经功能障碍和畸形的综合征即称为脊髓拴系综合征。
脊髓拴系综合征的临床表现
脊髓拴系综合征的临床表现,主要表现为脊髓神经损伤病症。
如下肢的运动障碍:表现为行走异常,下肢力弱、变形和疼痛,还可合并脊柱侧弯;下肢的感觉障碍:表现为下肢、会阴部和腰背部的感觉异常和疼痛;大小便功能障碍:常见表现为尿潴留,排尿困难,尿*禁失**,小便次多,大便秘结、便秘,或便*禁失**等症状。
脊柱裂是引起脊髓拴系综合征的十分常见先天性因素。根据皮肤有无缺损脊柱裂分为开放性脊柱裂和闭合性脊柱裂。

骶尾部脊柱裂伴脊髓脊膜膨出
开放性脊柱裂受累段脊髓神经损伤,可导致双下肢运动异常和大小便*禁失**;伴发脑室扩张或积水将影响运动、脑神经、认知功能。闭合性脊柱裂包括多种类型,即有包块型:脊膜膨出、脂肪脊髓脊膜膨出、脂肪脊髓裂、末端脊髓囊状膨出;无包块型:脊髓纵裂、终丝紧张、皮毛窦、尾端退化综合征等。

骶尾部脊柱裂伴脊髓脊膜膨出

骶尾部脊柱裂伴脊髓脊膜膨出
闭合性脊柱裂受累段脊髓神经损伤常较轻,新生儿和婴幼儿症状不明显,随着年龄增长,脊髓圆锥及马尾和椎管后壁粘连,脊髓圆锥不能随发育向头侧移位,被粘连部位或者异常神经终丝牵拉缺血,导致脊髓栓系综合征。闭合性脊柱裂也可无任何临床症状。
正常孕20周以上的胎儿脊髓圆锥的位置达到L3水平以上,如果孕20周以上胎儿脊髓圆锥位置在L4以下,要警惕脊柱裂可能以及是否合并其他异常。中孕期产前超声检查可以发现严重的开放脊柱裂。闭合性脊柱裂表现多样、脊柱裂口小、影像学表现不典型,因此产前超声诊断困难。
另外需要注意的是部分胎儿皮肤完整的脊柱裂如脊膜膨出、脂肪脊髓脊膜膨出等,在宫内继续生长或分娩过程中或是生后也可能因皮肤破损而转变为开放性脊柱裂。
引起畸形的常见原因
引起脊髓栓系综合征的各种先天性脊髓畸形的常见原因:
母体孕期的病毒感染、叶酸缺乏和/或叶酸代谢障碍、接触不良环境、染色体异常包括21三体、22q11.2缺失、8号染色体三倍体、Dandy-Walker畸形、Kippel-Feil综合征等。
各种内因或外因导致胎儿在3-6周神经管发育的关键时期神经管不闭合,中胚层和/或外胚层破入神经管生长、脊髓末端发育障碍等,出生后表现为脊髓栓系综合征。
胎儿期和出生后管理
胎儿期管理:
1.如果孕20周以上胎儿,脊髓圆锥位置位于L4以下,应建议转诊至有资质的产前诊断机构进行胎儿超声会诊,判断是否存在开放性脊柱裂或闭合性脊柱裂及其他结构异常,并交代小的开放性脊柱裂及闭合性脊柱裂产前超声及MRI诊断均有难度。

脊髓圆锥低位

脊柱裂
对于脊髓圆锥低位但影像学检查没有发现明确原因的胎儿应建议复查,观察脊髓圆锥是否上升,不可盲目引产。部分闭合性脊柱裂可能无任何临床症状。随着神经显微外科的发展,闭合性脊柱裂已取得较好临床疗效。
2、羊膜腔穿刺,排除胎儿染色体核型异常及基因拷贝数异常。

图片来源网络
3、胎儿MRI检查,进一步辅助诊断是否存在脊柱裂。
出生后管理:
1、出生后仔细检查腰背部皮肤、是否有脊柱裂、脊膜膨出、脂肪瘤、皮毛窦等,是否合并脊柱侧弯、足内翻和肛门闭锁等其他畸形。
2、根据是否合并存在神经功能障碍,进行相关的检查,并根据病症需要,由专业儿外科医师给予治疗方案,进行相关的康复训练或手术治疗。