
老李今年56了,平时身体健康,半年前开始有腹泻的症状,常常有稀水样便。他问了身边的人,都说“就是拉肚子嘛,这种情况多了去了,比如老刘!肠胃不好,经常拉肚子,好几年了,没事!”可他最近严重了,一天4-5次,实在扛不住了,上个月来到我们影像科做检查,准备第二天再去做个肠镜看看。
当我看了病史,在工作电脑上看到了这样的影像资料时(如下图),我宁可认为自己看错了。因为这是明确的、典型的大肠癌的影像学表现。一个最让人痛心的结果。

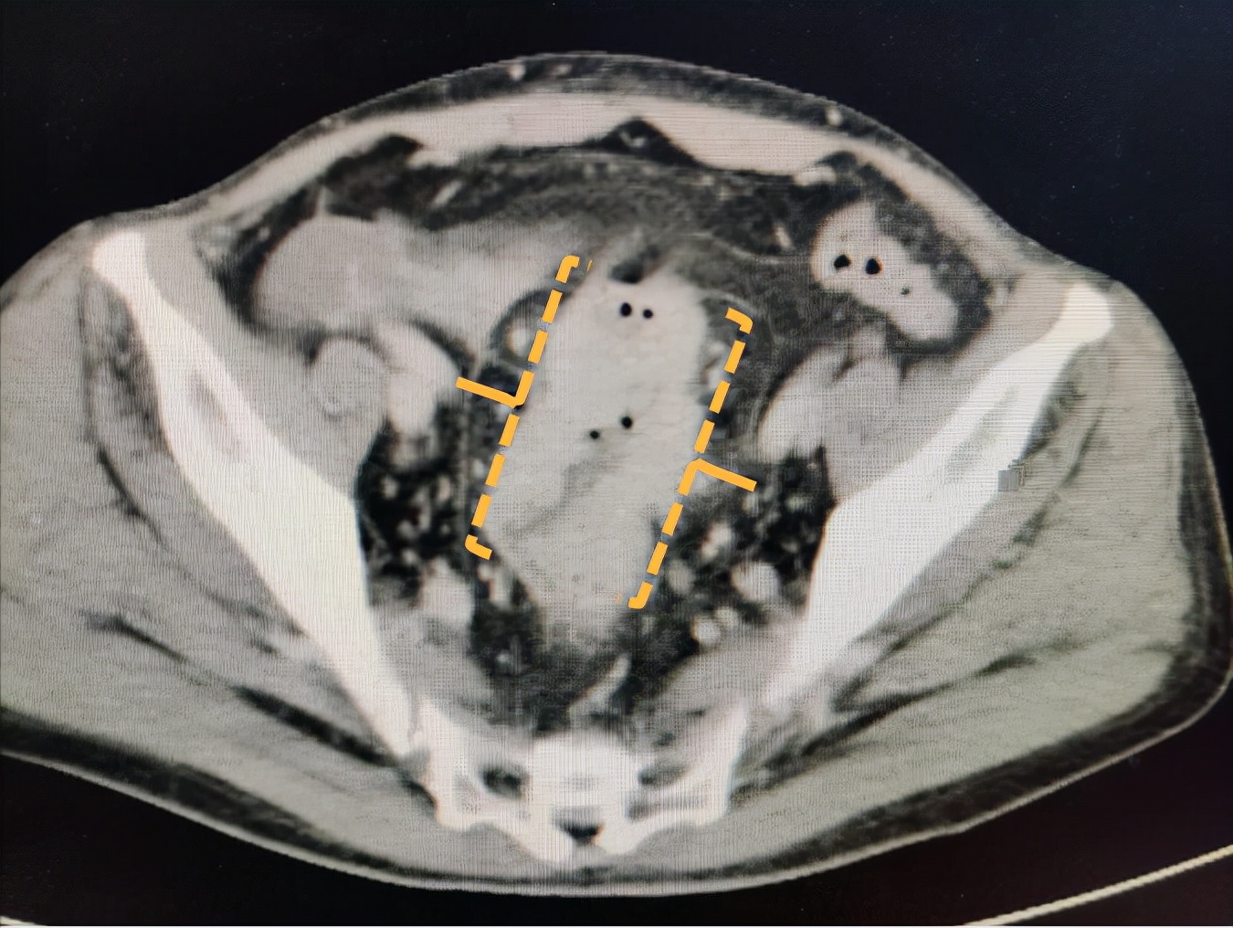
乙状结肠-直肠交界处明显增厚,肠腔狭窄,周围有些较大淋巴结

大致的测量了范围,厚约2cm,长度约7cm
我找到患者家属并当面进行了解释说明。由于情况比较突然,患者子女情绪激动,一时难以接受。稳定后,家属询问能不能马上手术切除。答案是否定的。因为肝上已经有了范围比较大的转移。也就是我们常说的癌症晚期。

圆圈内稍暗的部分为转移
事情发展到这一步,就非常难办了。 尽管结直肠癌治疗方式很多包括,内镜下切除(早期),外科手术,靶向药,放化疗,介入治疗等等,但是根据国家癌症中心最新发布的指南,发生远处转移的结直肠癌5年相对生存率仅为14%(中国结直肠癌筛查与早诊早治指南,2020年);而早期(I期)结直肠癌的5年相对生存率为90%。也就是说,发现得越早,问题越简单,事情越好办。

大肠(结肠和直肠)示意图
那么对于普通人,如何做到早发现?
权威数据显示,中国每年结直肠癌新发病例人数大概在小40万(2015年38.8万,2018年37.6万)。中国人从50岁起结肠癌发病率明显上升,考虑到我国实际国情,中国结直肠癌筛查与早诊早治指南(2020年)建议40岁起接受结直肠癌风险评估,50岁以上就开始做结肠镜了。也就是说,大家在4、50岁就要开始注意了。
结直肠癌一开始基本没有明显症状,随着病情发展会出现比如 排便习惯改变(本来一天一次,成了三天一次),大便不成形,肚子痛或者总是不舒服,再严重甚至可以触及到腹部肿块,一吃饭就呕吐,等等。文章开头的老李,就是属于前两种了。
同时大家还要注意自己是不是高风险人群。看看自己 家里直系亲属有没有得过结直肠癌的,自己是不是长年有肠炎、肠息肉,包括糖尿病、肥胖、吸烟、大量饮酒(注意是大量,大家不必过度解读)。 如果有上述情况,那你就需要再多留心一下,多咨询一下消化内科或者胃肠外科的医生,没坏处( 一般人群5-10年查一次就可以了)。
如果你真的担心自己的结直肠有问题,咨询正规医院医生并做肠镜!!做肠镜!!做肠镜!!
(提示:平时多吃水果蔬菜,增加 膳食纤维摄入,多吃谷类、多喝乳制品,合理增加体育锻炼,能够降低患病风险。)
我是医学影像嘚吧嘚,跟你嘚吧嘚吧医学及影像。
欢迎关注我,因为万一你有需要,能够第一时间找到我[谢谢]。(欢迎留言讨论、咨询;原创辛苦,欢迎点赞、赞赏鼓励作者[小鼓掌][中国赞])
#健康明星计划##健康科普大赛#