在日常的检查中,
“医生,我照的是黑白超还是彩超啊?”
“彩超是什么来的,与黑白超有什么区别啊”
“这个彩超比黑白超看得是不是更清晰准确啊?”
患者的疑问层出不穷
今天就由我院医学影像科专家来揭开彩超的真面目

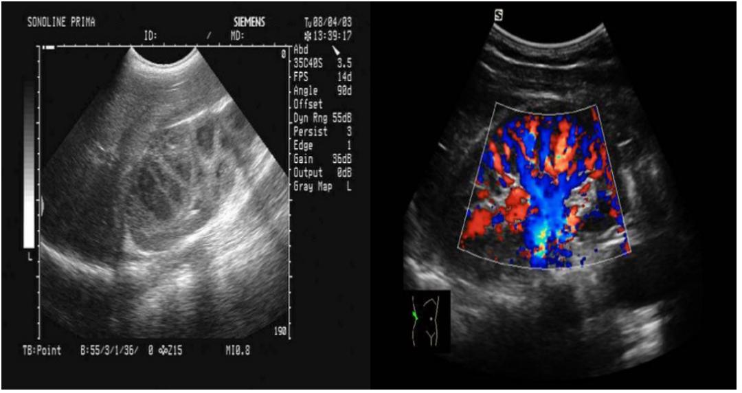
△左图为“黑白超声”,右图为“彩色超声”
什么是“彩超”?
彩超即彩色多普勒血流显像,英文缩写是CDFI,简单来说,彩超是高清晰的黑白B超再加上彩色多普勒,是一种复合图像,就是将所获得的多普勒信息进行处理,通过彩色灰阶编码,以不同的颜色和亮度分别标识血流的方向和速度以及性质,并叠加于B型超声声像图上。
彩超血流的特点是颜色代表血流的方向,即红色代表血流方向朝向探头,蓝色代表血流方向背离探头;色调的亮度表示速度,即色调的亮度越亮表示速度越高,色调的亮度越暗表示速度越低;血流颜色的单纯代表是层流,是正常的血流。五彩镶嵌的花色血流信号代表是湍流或涡流,说明血流性质有改变,多见于狭窄处的血流以及返流。
由此可见,彩超既具有二维超声结构图像的优点,又同时提供了血流动力学的丰富信息,实际应用受到了广泛的重视和欢迎,在临床上被誉为"非创伤性血管造影”。
4个彩超的优点
1.能快速实时直观地显示各脏器的二维图像,以及血流的二维平面分布状态。
2.可以动态显示血流的运行方向,方便了解血流的时相和速度。
3.可以辨别动脉和静脉血管,可识别血管性病变和非血管性病变
,可以了解血管的性质,可进一步鉴别良恶性肿瘤有帮助。
4.能可靠地发现分流和返流,能对血流束的起源、宽度、长度、面积进行定量分析。

彩超的应用范围
临床应用范围:心脏、消化、泌尿、子宫附件、乳腺、甲状腺,*丸睾**、肌肉骨骼系统等全身性脏器,都可以作为首选检查。
我院功能检查科最近准备开展胃肠超声,检查之前,患者先喝入500ml的超声显影剂(是由食物组成),把胃肠充盈起来,把胃肠气体排开后,就可以清晰显示出胃肠的壁层结构以及壁内、壁外的占位性病变。胃肠超声可以作为常规的体检,发现病变后可进一步检查胃肠镜。
科室介绍
功能检查科
广州中医药大学第三附属医院功能检查科分别设立在三个院区,是集诊断、教学、科研于一体的专业团队,专业涵盖常规心电图检查、超声诊断等,除了临床外,还承担第三临床医学院的本科教学工作及临床带教工作。近年来主持省级课题一项,主持并参与厅局级及校级课题多项,发表论文数十篇。
功能科现开展的具体项目:
一、常规心电图:用于诊断各种心律失常、心肌梗塞及心绞痛、心房室增大、药物影响与电解质紊乱等各种疾病。
二、超声常规检查
超声医学影像随着超声新技术的日臻完善它与临床科室不断融合发展,在疾病的诊断与治疗中发挥着重要作用,在医疗服务体系当中占有越来越重要的地位。超声检查是一种安全的诊断方式,具有无痛、简便,迅速,无放射性,无辐射,无创伤、价格便宜,可重复检查,实时性强等等优势,可作为临床常规检查。
1.适用于肌骨方向——周围神经卡压综合征(腕管综合征、肘管综合征等)、周围神经外伤性病变、周围神经占位性病变等。皮下软组织肿物、异物、腹股沟疝、肌腱断裂、肌肉撕裂、滑囊病变、骨肿瘤。肩关节、肘关节、腕关节、髋关节、膝关节、踝关节等损伤的诊断。
2.适用于心脏大血管——先天性心脏病、心脏瓣膜病、心肌病、冠心病、心衰、心包积液、心脏内血栓、心脏内肿瘤等。
3.适用于消化系统:肝、胆、胰、脾、阑尾、胃肠系统——脂肪肝、肝囊性病变、肝血管瘤、肝癌、肝炎、胆囊结石、胆囊炎、胆囊息肉、胆囊癌、胆管结石、胰腺炎、胰腺癌、脾大、脾外伤、阑尾炎、肠梗阻等。
4.适用于泌尿(男)生殖系统:肾、输尿管、膀胱、前列腺、阴囊*丸睾**——肾结石、肾积水、肾囊性病变、肾肿瘤、输尿管结石、膀胱结石、膀胱憩室、膀胱癌、前列腺癌、前列腺增生伴钙化、附睾炎、*丸睾**扭转、*丸睾**肿瘤、精索静脉曲张等。
5.适用于妇产科:子宫、附件、胎儿——子宫畸形、子宫肌瘤、宫颈癌、宫颈息肉、内膜息肉、内膜癌、宫腔粘连、卵巢肿瘤、黄体破裂、输卵管积水、早孕、宫外孕、胎物残留、葡萄胎等。
6.适用于浅表器官:眼、甲状腺、腮腺、乳腺、淋巴结、*丸睾**等——玻璃体浑浊、视网膜脱落、晶状体浑浊、脉络膜脱离、眼内肿瘤,甲状腺肿瘤、甲亢、桥本氏甲状腺炎、腮腺炎、腮腺混合瘤、乳腺增生、乳腺炎、乳腺肿瘤、淋巴结反应性增生、淋巴瘤、淋巴结转移癌等。
7.适用于颈部血管、四肢血管、腹部大血管——动脉粥样硬化伴斑块形成、锁骨下动脉盗血综合征、动脉瘤、静脉血栓、动静脉瘘、静脉瓣功能不全等) 。
8.超声引导下进行甲状腺结节、静脉、胸水、腹水、肾积水、关节积液等穿刺定位及超声引导下穿刺。
供稿:胡智文 | 初审:张素萍
排版编辑(实习生):林于琳
文字编辑:叶美琪 | 校对编辑:李龙浩
审核:王剑 | 审定发布:范琳燕