患者,男性,35岁,广东人。
主诉:反复乏力、食欲缺乏16年,下肢皮肤溃疡1月余。
现病史:患者于16年前开始出现反复乏力、食欲缺乏,于外院确诊“慢性肾小球肾炎、慢性肾衰竭(尿毒症期)”,血液透析数次后于广州某医院行同种异体肾移植术,术后出现急性排斥反应给予移植肾摘除,继续规律血液透析,每周3次,每次透析4小时。3年前在我院行二次肾移植术,手术顺利,术后出现肾功能延迟恢复,血肌酐降至300μmol/L 左右出院,免疫抑制方案为:他克莫司+吗替麦考酚酯+泼尼松,出院后血肌酐维持在200~300μmol/L 之间,血压控制在(116~150)/(70~90)mmHg 之间。近10年来患者反复不规则使用骨化三醇(0.25~0.5μg,每日1次)、碳酸钙每日1~2片。3个月前因移植肾失功,再次规律血液透析(3次/周)。1个月前无诱因开始出现双下肢皮肤反复出现青紫、溃疡,局部疼痛剧烈,伴不规则发热,体温37.5~38.5℃,双下肢酸痛,时有双侧髋关节疼痛感,进行性加重,无咳嗽,无腹痛、腹泻,无尿频、尿急、尿痛,外院抗感染及对症处理无好转,入院当天透析后双下肢酸痛不适感加重,坐立不安,伴胸闷,急诊我院,急诊科以“移植肾失功、双下肢疼痛待查”收住入院。发病以来,患者精神、饮食、睡眠差。
既往史:否认糖尿病、脑血管疾病等其他病史,否认结核、肝炎等传染病史,否认食物、药物过敏史,预防接种史不详。
个人史:出生、居住于原籍,无烟酒等不良嗜好。
家族史:否认家族性遗传病史。
体格检查:体温36.8℃,脉搏113次/分,呼吸18次/分,血压148/98mmHg。神志清楚,精神一般,慢性病容,未见颈静脉怒张;双肺呼吸音稍粗糙,未闻及明显干湿性啰音,心音有力,律齐,未闻及病理性杂音;腹部软,未扪及包块,肝、脾肋下未触及肿大,移动性浊音阴性,左、右下腹各一长约17cm 弧形手术切口瘢痕,左下腹移植肾触诊不满意;双下肢见多处青紫斑,双足小趾及左足跟部见多个黑色溃疡坏死灶,大小约直径6mm。双足背动脉搏动可扪及。双下肢呈凹陷性水肿。脊柱及四肢无畸形(图35‐1~35‐4)。

图35‐1 右小趾的干性溃疡坏死灶

图35‐2 左足跟的干性溃疡坏死灶

图35‐3 左足跟的干性溃疡坏死灶

图35‐4 左小趾内侧的溃疡坏死并感染灶
入院诊断:①慢性肾小球肾炎 慢性肾衰竭(尿毒症期);②移植肾失功;③肾性骨病;④双足多发溃疡。
实验室检查:2009年6月2日血生化示:钾离子6.12mmol/L,肌酐697μmol/L,钙离子2.46mmol/L,钠离子137.9mmol/L,氯离子100.3mmol/L,磷离子2.44mmol/L,镁离子1.27mmol/L,尿素氮26.1mmol/L,二氧化碳结合力23.7mmol/L,尿酸396μmol/L,总蛋白57.4g/L,白蛋白31.8g/L,球蛋白25.4g/L,天冬氨酸氨基转移酶15U/L,丙氨酸氨基转移酶40U/L,碱性磷酸酶91U/L。血常规示:白细胞总数7.5×10 9/L,中性粒细胞百分数75.3%,血小板计数155 ×10 9/L,血红蛋白73g/L。纤维蛋白原(Fg)7.41g/L。D‐二聚体(D‐DI)710.0μg/L(参考值0~500μg/L)。甲状旁腺激素(iPTH):1165pg/ml。血沉:140mm/h;超敏C 反应蛋白(HSCRP)1.35mg/L,类风湿因子(RF)10.7U/L,抗链球菌溶血素“O”(ASO)45U/L。
2009年6月2日生化系列示:钾离子4.72mmol/L,肌酐607μmol/L,钙离子2.2mmol/L,钠离子137.9mmol/L,氯离子100.3mmol/L,磷离子1.71mmol/L;镁离子1.04mmol/L,尿素氮18.3mmol/L,二氧化碳结合力22.1mmol/L,尿酸382μmol/L,总蛋白55.2g/L,白蛋白30.6g/L,球蛋白24.6g/L,ALT9U/L,AST10U/L,碱性磷酸酶(ALP)102U/L。
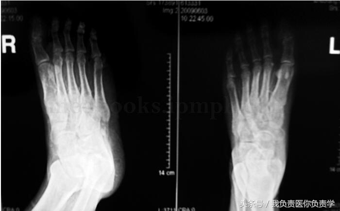
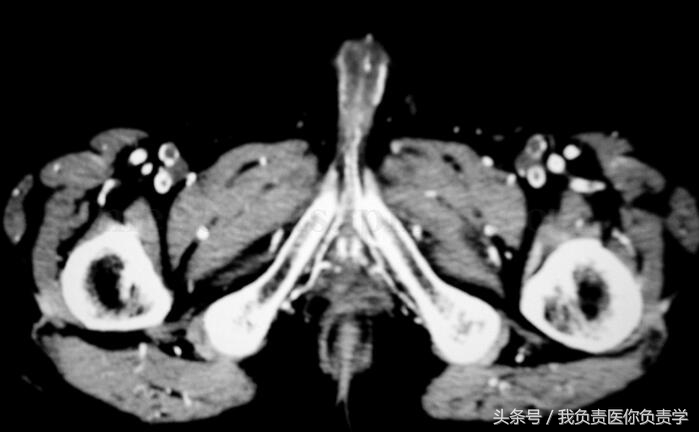
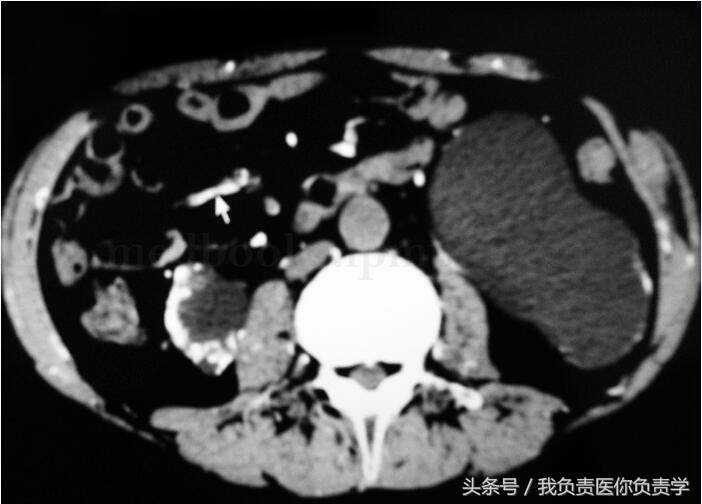
其他检查:左右足正斜位片:检查所见构成双足各骨骨质疏松,未见明确骨质增生及破坏,未见骨折,双足各关节未见异常。印象诊断双足骨质疏松。胸片(图35‐5):心、肺、膈未见异常。胸部CT:检查所见两肺透亮度减低,呈毛玻璃样改变,以双上肺明显,右下肺后基底段可见钙化点,余两肺未见结节及片状病灶,气管及叶、段支气管无狭窄,肺门、纵隔未见明确肿大淋巴结。心脏无扩大,胸膜无结节,胸腔无积液,胸壁未见确切异常。印象诊断:双肺呈毛玻璃样改变,考虑慢性肾衰竭引起心肺改变。泌尿系彩超:左肾区不纯液性包块;右下腹移植肾血流显示较稀少。下腹部CT:检查所见左侧髂窝可见移植肾,其形态、大小未见异常改变,移植肾内侧可见扩张的输尿管,前列腺形态、大小正常,内见散在钙化斑,膀胱充盈不佳,膀胱精囊角存在,直肠结构未见异常,盆壁未见肿大淋巴结,盆腔、双侧腹股沟区、双侧臀部血管广泛钙化。印象诊断:左侧髂窝移植肾形态、大小未见异常改变,左侧输尿管扩张积水;盆腔、双侧腹股沟区、双侧臀部血管广泛钙化。腹部CT(图35‐6):双肾皮质变薄,并见大量蛋壳样钙化,双肾盂、肾盏及左侧输尿管上段扩张积水;移植肾大小、位置、形态未见明显异常;腹部血管广泛钙化;胆囊结石。心电图(图35‐7):窦性心律,大致正常心电图。

图35‐5 X 线检查提示:双足骨质疏松

图35‐6 盆腔CT 平扫:盆腔、双侧腹股沟区、双侧臀部血管广泛钙化

图35‐7 腹腔CT 平扫:双肾大量蛋壳样钙化;腹部血管广泛钙化
院内观察
入院后予停服钙剂及维生素D 制剂,严格限磷饮食,并改行联机血液透析滤过配合间断血液灌流治疗,以降低血iPT H 浓度;使用低钙透析液(透析液钙离子浓度不超过1.25mmol/L),鲑鱼降钙素降钙处理,氢氧化铝凝胶降磷,足部溃疡灶予保护创面,预防感染。经上述处理2周后,患者双下肢及髋关节酸痛症状明显改善,皮肤多处溃疡灶逐步愈合。但住院期间仍有反复发热,体温最高38.5℃,予抗感染等治疗后无明显好转。其后B 超检查见左肾大量积液,发热原因曾一度考虑为原左肾梗阻继发感染引起,请泌尿外科先后两次予左肾穿刺造瘘引流,引流液未见明显脓性分泌物,留取尿标本送检未见病原菌,且引流及抗感染后体温无明显下降,排除原左肾感染可能;左足小趾溃疡灶疼痛加剧,局部红肿,痂皮深面可见烧瓶状脓腔及脓性分泌物,经加强患者左足小趾溃疡灶清创换药,疼痛无好转,左足小趾末节远端变黑坏死,坏疽灶呈进展性扩大,遂转骨科行左足小趾切除术,术后体温恢复正常。目前病情仍在随访中。
最后诊断:①慢性肾小球肾炎、慢性肾衰竭(尿毒症期);②移植肾失功;③继发性甲状旁腺功能亢进并钙化防御(钙性尿毒症性小动脉病);④左足小趾坏疽并感染。
讨论
钙化防御(calciphylaxis)是一种以系统性小动脉钙化和组织缺血为特征的严重疾病,主要见于尿毒症继发性甲状旁腺功能亢进[1]。发生于尿毒症者称尿毒症钙化防御,亦称为钙性尿毒症性小动脉病(calcificuremic arteriolopathy,CUA)。既往认为本病罕见,但是近年发现并非罕见,血液透析患者中CUA 发生率已达4.1%[2]。本病发病机制尚不十分清楚。多数学者认为尿毒症患者长期大量摄入维生素D 和钙剂导致血清甲状旁腺激素(PT H)以及钙磷乘积增高,造成机体高敏状态。当存在局部创伤、药物注射等外源性刺激时即可能发生钙化防御。钙化防御发生的病理基础是皮下组织中小动脉和微动脉发生钙化,邻近皮下组织和皮肤发生缺血性梗死。临床上主要表现为动脉血管钙化,伴有典型的皮肤缺血性坏死,开始皮肤疼痛,颜色呈红或青紫色,类似网状青斑或紫斑。见于大腿或臂部,膝周或四肢远端(脚趾或手指)[4],皮肤病变进一步发展为黑色硬结或坏疽,远端的脉搏仍可触及,逐渐发展为手指或脚趾坏死[2],可发生肢体自截。皮损部位常合并感染,溃疡表面有脓性分泌物,常导致败血症。皮肤活检可见真皮和皮下组织内的小动脉内膜和中膜钙沉积,小血管内血栓形成,伴分叶状脂肪坏死,淋巴细胞及巨细胞浸润[3]。CUA 的诊断缺乏特异性,目前无实验室的诊断标准。对于尿毒症患者并发上述特殊皮损,尤其是有高血清PT H,高磷和高钙水平,钙磷乘积大于5.6~12mmol/L(>55mg/dl)时需警惕CUA。同时注意排除其他引起钙化防御样皮损的血管性疾病,如动脉粥样硬化、皮肤多发性动脉炎结节及糖尿病溃疡等。本病常靠典型的皮肤坏死来提示,皮肤活检有重要诊断价值[4],表现为动脉闭塞钙化而没有血管炎的改变[1]。
本例为终末期尿毒症患者,长期行血液透析替代治疗,并先后两次行肾移植替代治疗,有不规则长期使用钙剂和维生素D 制剂史,临床表现为明显的继发性甲状旁腺功能亢进症,见下肢骨痛,呈坐立不安状,血清PT H 显著增高,高磷血症,钙磷乘积增高,伴有典型的肢端皮肤缺血性溃疡坏死,CT 等影像学检查提示全身血管钙化严重,临床表现符合钙化防御临床特点,故虽无皮肤活检病理依据,仍可诊断尿毒症钙化防御或CUA。患者本次发病无明显碰伤等外伤刺激,因患者长期皮下注射促红细胞生成素,故其诱因考虑为皮下注射。
钙化防御目前没有特殊的治疗方法。多数学者强调预防为主[4],注意钙、磷、PT H 以及营养参数的调整有可能减少CUA 发生。尽量避免碰伤、皮下注射等损伤局部组织;积极处理创面,保护创面,避免继发感染;停用免疫*制剂抑**及糖皮质激素;纠正血清钙磷异常;使用低钙透析液(浓度不应超过2.5mmol/L);停用钙剂和维生素D 制剂。在上述治疗原则基础上,考虑到血液灌流、血液透析滤过能有效降低iPT H[5 ,6],本例在上述治疗原则基础上,调整血液净化方式,采用联机血液透析滤过配合血液灌流治疗;文献报道降钙素短期使用可迅速抑制破骨细胞的活性,长期使用则可抑制破骨细胞的增殖,减少其数量,从而抑制骨吸收;刺激成骨细胞形成和活性,降低骨转换,使血透患者病理性升高的血钙降低,缓解骨痛症状[7],因此本例配合使用鲑鱼降钙素。这些措施在短期内明显改善了患者下肢骨痛症状。由于患者左小趾皮损合并感染,经积极换药及抗感染无好转,缺血坏死范围扩大,最终予以行外科切除。除上述治疗外,尿毒症钙化防御高PT H 患者尚可有选择性地使用甲状旁腺切除术[8]或甲状旁腺内注射无水乙醇治疗,以改善本病预后。本病预后较差,5年存活率<50%,患者大多死于败血症和缺血性事件[4]。
参考文献
[1]杜学海.尿毒症患者的钙化防御(钙性尿毒症性小动脉病).中国血液净化,2002,1(1):29‐31 .
[2]Angelis M,Wong LL,Myers SA,et al .Calciphylaxis in patients on hemo dialysis:a prevalence study .Surgery,1997,122(6):1083‐1089 .
[3]Coates T,Kirkland GS,Dy mock RB,et al .Cutaneous necrosis fromcalcific uremic arteriolopathy .AmJ Kidney Dis,1998,32(3):384‐391 .
[4]黄颂敏.血液透析与钙性尿毒症性小动脉病.中国实用内科杂志,2005,25(10):876‐878 .
[5]Leto E,Bilal F,Osmic I .Efficiency of high‐flow dialyzers in removal of beta‐2‐microglobulin .Med Arh,2001,55(4):225‐226 .
[6]Strozecki P,Adamowicz A,Nartowicz E,et al .Parathor mon,calcium,phosphorus,and left ventricular structure and function in nor motensive hemodialysis patients .Ren Fail,2001,23(1):115‐126 .
[7]Carney SL,Epstein MT .Effect of calcitonin on hemodialysis patients with hypercalcemia and renal osteodystrophy .Uremia Invest,1984,8(2):97‐101 .
[8]Fox R,Banowsky L H,Cruz AB Jr .Post‐renal transplant calciphylaxis:successful treat ment with parathyroidectomy .J Urol,1983,129(2):362‐363 .
来源:《内科疑难病例.泌尿分册》
作者:杜新 齐卡
参编:陈光磊 余鹏程 徐德宇 毕礼明 刘伟
页码:355-367
出版:人民卫生出版社