
首发:文文大保贝儿
一个能直接联系上公号主的保险自媒体
大家好,我是文文大保贝儿,一个只写真实核保案例的保险博主。
前段时间 HPV 疫苗的热度很高,许多姐妹们都预约了注射。
很幸运,像宫颈癌这样的感染率非常高的疾病能够有措施可以预防,但同时我们也需要知道,做好保障和预防疾病一样重要。
01
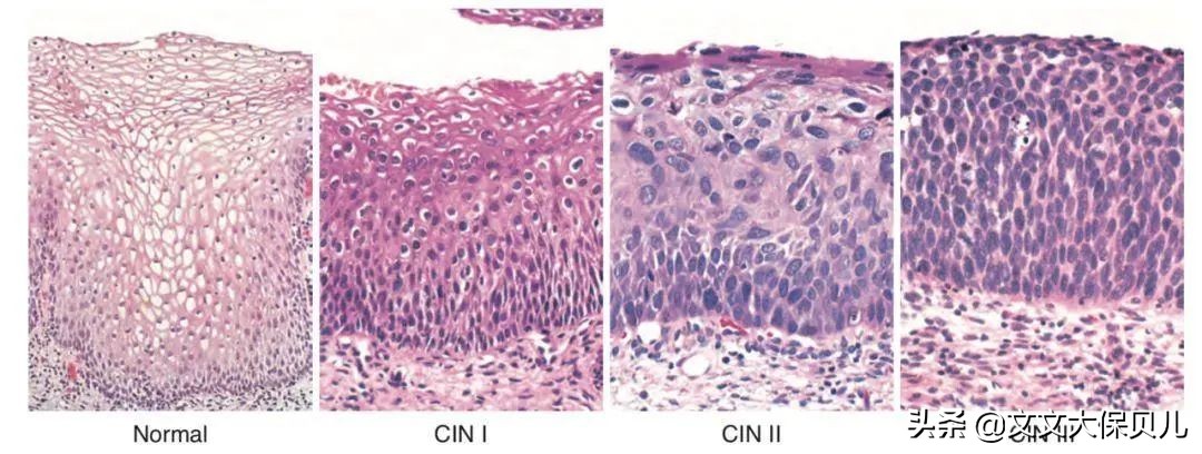
“癌前病变”是指组织发生了病变,但并不是癌症。
宫颈上皮内瘤变(CIN)是一组与宫颈浸润癌密切相关的癌前病变的统称。
包括宫颈不典型增生和宫颈原位癌,反映了宫颈癌发生中连续发展的过程。
即: 由宫颈不典型增生(轻→中→重)→原位癌→早期浸润癌→浸润癌的一系列病理变化。

在临床上,根据轻重程度的不同,宫颈癌前病变可以分成3个阶段,分别是:
CIN1(轻度不典型增生)
CIN2(中度不典型增生)
CIN3(重度不典型增生+原位癌)
宫颈癌的发生是一个渐变的过程,平均每一个阶段的进展,大约需要3-5年的时间。
不过,得了宫颈癌前病变也不代表一定会得宫颈癌,因为它也有逆转的可能,这就意味着这种病变也可能自然消失。
今天这个核保案例,就是关于cin2-3级的核保。
小姐姐是在2019年做的手术,至今已经三年了。
2019年的病理报告:

2019年的活检报告:

对于宫颈上皮内瘤变CIN3级患者而言,“宫颈锥形切除术”是一种有效的治疗方法。
但是在手术之后,一定要记得按时进行hpv和tct的复查,因为这些指标是临床评估、预测疾病复发短期和长期风险的一个重要因素。
2022年TCT复查:

2022年HPV复查:

02
在核保之前,小姐姐问我:不应该是先确定产品再进行核保吗?

很多小伙伴其实都会有这样的疑问——
我当然是要先看看产品,产品合适了我再去核保啊!
但是问题是,我并不知道哪个产品核保可以过。
如果我随便推荐一个产品,确实可以满足大家“先了解产品”的心情,但是,没什么意义啊。
我推荐了这个产品,你觉得挺满意,然后把产品各个问题讲解的很清楚了,我们开开心心的去核保,结果被拒保了。
——你感受一下,有没有一种,“终究是错付了”的心情。

比如小姐姐一开始自己看的达尔文6号,连核保都没送进去,直接就被风控了。

当时我的眼泪都想流下来。
真的除了浪费了时间和感情,什么意义都没有。
那么,如果文文大保贝儿之前就有相关的核保案例,我们直接投保之前的保险公司不就好啦?
事情也没有这么简单。
文文大保贝儿之前标体承*过保**两个cin2-3级的核保。
案例一的小姐姐在顺利拿到标体的核保结论后,很快就把她的“病友”,也就是案例二的小姐姐推荐给了我。
当时案例二的小姐姐说,就跟案例一的小姐姐买一样的保险就行!
结果你猜怎么着?案例一给小姐姐“标体承保”结论的保险公司,直接“拒保”了案例二的小姐姐!
为什么会这样呢?文文大保贝儿自己揣测,是案例一的承保公司,后知后觉的发现自己“核保错了”,应该给“拒保”的件,给成了“标体承保”。
正好让我们捡了个漏,阴差阳错的就保进去了。
但是做事情不能一错再错,因此在第二个小姐姐投保的时候,保险公司毫不犹豫就给了“拒保”的核保结论。
包括这次,我也尝试着核保了一下这家保险公司,结果还是“拒保”:

可见,第一次核保“出错”之后,保险公司真是长记性了。
另外一家拒保的保险公司,也是之前可以承保cin3级的公司,现在也是直接“谢绝承保”了。
所以,核保经验有没有用?我觉得肯定是有用的,如果经验不足,就难以判断核保风险,更不用说找到合适的产品了;
但只依赖之前的核保经验行不行?当然也不行。
核保有时候也讲究个“天时地利人和”,也是跟核保老师斗智斗勇的过程,不容易的嘞~
03
在接连面对风控、拒保的打击后,文文大保贝儿和客户小姐姐都没有放弃,而是决定继续核保。
不拿标体,誓不罢休!
随后,我们又拿到了两个“除外”的核保结论:
除外产品一:

除外产品二:

都已经进行了手术治疗,为什么还会“除外”呢?
这是因为,在手术之后,依然有比较高的复发及进展的风险,而且对于锥切术后的最佳随访策略,目前国际上也没有达成一个很好的共识。
这就是风险啊朋友们!
而且,“HPV阳性”的患者,会比“HPV阴性”的患者有更高的复发风险,这也是为什么术后要定期复查HPV和TCT的原因。
如果是一般的卖保险的,拿到了两个除外承保的核保结论,应该就会劝客户赶紧买了。
讲真,能拿到除外的核保结论,确实也不错。
但是文文大保贝儿当然不是一般卖保险的,我也并不满足于“除外承保”这个核保结论。
我的第六感告诉我,“标准体承保”是可以的,虽然我还不知道哪个产品能承保,但一定是可以的。
苦心人天不负啊,核保的第六个产品给了我们“标体承保”的核保结论!

自此,在经历了一个风控、两个拒保、两个除外之后,我们顺利的拿到了一个标体承保的核保结论~
撒花~太开心啦~
04
关于cin3原位癌的理赔
“原位癌”是指恶性肿瘤细胞未穿透基底膜的原位无浸润的恶性肿瘤。
原位癌有时也被称为“浸润前癌”或“0期癌”,严格意义上而言,还不算真正的癌症。
癌症之所以可怕,是因为会发生转移,转移后很难完全控制,而原位癌恰恰没有转移这个特点。
所以, 如果在原位癌阶段发现,是较轻微的病症,治疗方案也比较简单,通常是直接切除,不需要做化疗,是完全可以治愈的,而且费用也相对较少。
世界卫生组织(WHO) 女性生殖系统肿瘤分类(2014),建议采取与细胞学二级分类法,分为:
低级别鳞状上皮内瘤变(LSIL):60%可自然消退,定期随访;
高级别鳞状上皮内瘤变(HSIL):可进展为浸润癌,需积极治疗。

一般理赔实务中,CIN3可按原位癌进行理赔。
大家记得, 非标体的投保优先级是:标体承保>除外承保>啥都不买。
对于非标体的小伙伴核保,需要结合本人的实际身体情况,治疗过程中的病历、单据这些材料,再由文文大保贝儿协同进行。
不建议大家去盲目核保,如果因为资料准备不全、描述不准等问题,会直接导致核保通过概率降低,被保险公司“拒保”。
想要获得好的核保结果,主要还是靠大家的信任与积极配合哦~
