我院男科,完成首例CT下阴茎海绵体造影及三维血管重建手术!

河南中医药大学第一附属医院男科完成首例CT下阴茎海绵体造影及三维血管重建手术,明确了静脉性勃起功能障碍的诊断!

2023年2月7日,河中医一附院男科联合放射科完成一例 CT下阴茎海绵体造影及三维血管重建 ,成功为一位静脉性勃起功能障碍的患者明确了病因,为后期精确治疗提供了强有力的指导,缓解了曾经因诊断不明和过度医疗给患者带来的严重压力。据悉,该诊疗手段在省内中医医疗系统内属于首例,在全国男科诊疗水平上属于较为先进的医疗手段。

一:病例分享

患者是一名32岁男性,因7年来勃起困难,难以完成*生活性**至我院男科就诊。患者自诉刚结婚时便存在勃起欠佳的症状,但6年前因意外情况遭受惊吓后,甚至出现了无法勃起,难以维持夫妻生活的情况,长期的*生活性**不和谐最终导致婚姻破裂,对其心理及生活都造成了严重影响。

我院男科,完成首例CT下阴茎海绵体造影及三维血管重建手术!

在陈述病情时,患者的父亲在一旁愁眉紧锁,男科王祖龙主任细问后了解到,患者作为家庭独子,被家人寄予了较大的期盼,希望能够承担起传宗接代的责任,但却因为这一症状,不仅没能实现家人的期望还承担了巨大的家庭和经济压力。

这7年来,为了能够得到更好的治疗,患者及其家人曾辗转全国各地大大小小的中医院及西医院,做了数不清的检查。 有些医院诊断为阴茎静脉漏,也有不少医院否定该诊断,在治疗意见上始终存在着较大分歧 。为了改善这一症状,患者尝试过多种治疗方法,几乎每天都在服药,但却无好转的迹象。

二: 疾病诊断

王祖龙主任详细了解后,建议患者停止盲目的药物和治疗,并进一步明确诊断是否为静脉性勃起功能障碍,目前诊断该病的金标准是“ 阴茎海绵体造影 ”,但常规的检查主要是借助X线,这会导致对小的静脉漏显影不太清晰。王主任与患者及家属耐心沟通后,决定联合CT行阴茎海绵体造影并进行三维重建。

我院男科,完成首例CT下阴茎海绵体造影及三维血管重建手术!

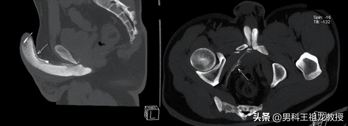
三维重建图

在王祖龙主任的指导下由我科医生为患者行阴茎海绵体血管活*药性**物注射,待其完全勃起后推注造影剂,并在放射科王道清主任及程留慧主任的大力支持下,为患者完成了CT扫描及三维血管重建。

影像表现可见 :阴茎右侧海绵体较左侧充盈差,右侧海绵体脚静脉、阴部内静脉及右侧髂内静脉显影。阴茎远端背深静脉显影显著。

我院男科,完成首例CT下阴茎海绵体造影及三维血管重建手术!

造影剂增强计算机断层扫面成像

我院男科,完成首例CT下阴茎海绵体造影及三维血管重建手术!

造影剂增强计算机断层扫面成像

王祖龙主任仔细阅片后,告知患者其明确诊断为 静脉性勃起功能障碍 ,在阴茎背深静脉及阴茎右侧海绵体脚静脉存在两处静脉漏,建议患者择期手术治疗

三:阴茎海绵体造影

阴茎海绵体造影(Cavernosography),主要用于静脉性勃起功能障碍的鉴别诊断。

适应症:

患者病史长,久治不愈,夜间勃起功能测试勃起不佳或不能勃起;

海绵体血管活性物质注射,血流正常、怀疑存在静脉漏者;

其他临床非创伤性检查未能发现原因者。

常规X线阴茎海绵体造影,被认为是诊断静脉性勃起功能障碍的 金标准 ,但其 对小的静脉漏显影不够清晰,操作相对繁琐

四:展望

作为我院首例CT下阴茎海绵体造影及三维血管重建,也是省内中医医疗系统的第一例,该检查的成功完成,体现了我院多学科团队之间的交叉融合,填补了我院对于诊断阴茎海绵体细小静脉漏的一个空白,也标志着我院男科诊疗技术又迈上一个新的台阶,对于提高我院男科的诊疗水平以及推动我院男科在国内的发展具有积极的促进作用。