患者提问:有两颗蛀牙,打算抽个时间去补牙,补牙的话,现在用什么材料比较好?(患者有两颗轻度蛀牙)
回复:补牙一般都是树脂材料,粘结性好,美观性好,也很耐磨,建议你先做个检查看看,详细了解后,再选择补牙材料。

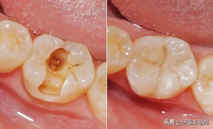
补牙过程
检查蛀牙具体情况,确定可以补牙。
将牙齿龋坏部分清除掉,一般会比实际龋坏的面积大一些,保证更为彻底地清除龋坏物。
修整牙洞,消毒,方便后面填充牙洞。
填充牙洞,固化补牙材料。

补牙后注意事项
补牙后,不要立即吃饭,最好等上两、三个小时,等补牙材料凝固后再用这颗牙。
刚补完牙,正常吃饭是没有问题的,但需注意不要吃过硬的食物。
补牙当天不要刷牙,防止补牙材料脱落,之后就可以正常早晚刷牙了,也可以洗牙。
树脂补牙材料有多种选择,每个人都可以根据自己的牙齿情况来选择。
蛀牙补牙比较简单,所以尽量在发现蛀牙后,就当即治疗,以免耽误了,后期发展严重到做根管治疗的地步。
想要龋坏的牙齿再次能正常使用,补牙材料、修复体一定要选好,不一定要最贵的,但一定要选择适合自己的。

两个要点能帮您了解蛀牙
1、蛀牙比较比较简单,补牙材料用的一般多是树脂材料,且有很多选择。
2、补牙后,等补牙材料固化后再使用,使用中注意饮食方式和口腔卫生。