
重磅消息!
南昌人坐公交车
不用随时带公交卡了!
还能享受到
1分钱坐车!
因为可以刷 支付宝 啦~~

更令人开心的是
最近的江西好消息一个接一个
每一个都超级耐斯
直接影响你的
票子车子房子和小日子

定了! 每晚两场南昌秋水广场音乐喷泉开放

对于升级版后的秋水广场喷泉,南昌的小伙伴们可谓是“望眼欲穿”。记者了解到,南昌秋水广场音乐喷泉最近都会开放,每天开放两场,时间为19:30~19:45,20:30~20:45。
宜家来了!江西四地成为首批电商试点城市

但多年来,江西一直没有宜家落户,成为了很多人的遗憾。但现在好消息来了,宜家近日已开放试运营对江西的电商服务。大家可以网淘宜家家居用品了!
然而
你以为这样就结束了吗
NO,太天真

江西人注意!
即日起
矫正牙齿、种植牙,不进医保
也能省一大笔钱~

惊不惊喜?意不意外?
开不开心?
11月起
百万公益基金,助力难看牙圆梦计划
全省启动“难看牙,缺牙公益救助计划”
限时征集
100名黄牙、牙不齐、缺失牙市民
为缓解“看牙难、看牙贵”问题,让更多人享受到高端的美牙方式,省内各大媒体联合举办“全省寻找难看牙、缺牙”大型公益活动,并邀请了中德韩权威口腔专家现场义诊。

目前该活动已有近9800人报名,受益市民达到8700多人,很多来自主城,甚至吉安、九江、抚州等周边区县的市民都纷纷报名,希望能把牙齿问题解决。

现场专家咨询处人影不绝
招募对象
◎ 青少年组:
龅牙、地包天、牙畸形、牙齿不齐、牙缝稀疏、前牙拥挤等
◎ 成人组:
牙齿畸形、牙齿缺损、黄黑牙、色素牙等
◎ 中老年组:
单颗缺牙、多颗缺牙、半口、全口缺牙、牙齿松动、老掉牙等
总之,凡对牙齿不满意的朋友,均可免费报名参加!
11月1日-5日
凡江西省难看牙、缺失牙市民
报名
即可享受
矫正牙齿、种植牙
这些项目全免费!
优惠
01
8000元口腔大礼包免费送!

优惠
02
免费中德韩专家亲诊

活动期间,凡报名市民,可免费申请“中德韩种植专家组”免费亲诊,不收1分钱。
优惠
03
种牙、美牙指定项目
预存定金10倍增值!!!

优惠
04
牙齿矫正,最高可减10000元
德系超薄贴面指定项目做一颗送一颗;
不戴牙套矫正,减免300-3500元;
美国皓齿美白,减免500元;

不动声色的美 — 就是最美!

优惠
05
进口种植牙每颗补贴5000元

德国高端种植牙减免50%
送基台、牙冠,终身质保
优惠
06
二人同行一人免单
二人同行一人免单项目
☟☟☟
晧齿美白
明星纳米喷砂洁牙套餐
德系超声波洁牙
相当于全部半价!半价!
赶紧约上朋友、家人、闺蜜,美起来!

优惠
07
在线专家,免费一对一咨询
如果您有任何的口腔问题
扫码下方二维码即可免费报名
你的疑问
专家在线为你免费解答
活动受益市民
30岁王女士/四环素牙
告别“黑牙妹”,靓丽人生全新启程
服装销售,我是一个四环素牙的受伤者,也是超薄美牙贴面的受益者,我真的要非常感谢德亚给了我梦寐以求的全新笑容。

以前牙齿很黄很黑,现场医学会专家组根据她的意愿,制定了美牙方案,采用的是贴面微创修复,2小时就修复好了,还不用磨牙。现在牙齿又白又好看,有没有感觉顺眼了很多!

我现在超有自信,当看到我的新笑容我真的要开心死了!对我自己来说真的太完美了!我想要的都满足了!
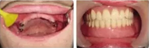
55岁张先生/全口缺失
8颗牙根,1小时长出全口牙
这是55岁的张先生,4年前就开始掉牙,到如今牙齿都掉了差不多,吃饭只能苦啄粥,身体状态逐日变差。其女儿为其报名做种植牙。如果采用常规种植技术,全口种牙需要16~20颗牙根。而现在只需8颗牙根,即可长出满口好牙齿。

(活动现场检查,种植很成功)
1小时后,张先生结束了 “一望无牙”的苦日子。他非常激动,说:“没想到这么快就种好了,而且还申请到了德国种植牙减免50%,省了不少钱。”
其他受益市民

重磅推出:征集100名难看牙、缺牙市民 ,按报名先后顺序安排。 长
龅牙、歪牙、黄牙、地包天、牙松动、牙缺失、假牙不适等情况均可获得相应补贴救助!(报名时间截止10月31日)
参与方式:
1.QQ报名:846944647
2. 微信报名:ncdykq8888(请及时说明年龄和牙齿需要解决的问题)
德亚口腔 源自德国
南昌·武汉·重庆 11月倾情巨献
中、德、韩大咖团坐诊

—— 地址 ——
西湖区洪城路318号江西国际珠宝城 1楼
(*警武**总队公交车站下车即到)
此条为广告信息 不代表本号观点
所有要约责任均归于广告商
如有违规请联系我们
将进行及时处理
小编工资已与此赞挂钩,一赞五分钱,求!打!赏!