海绵状血管瘤
简要病史:男,53 岁,头晕头痛 3 周,加重 2 天。

影像所见:
右眼肌椎内偏内侧见一结节状异常信号影,边缘清楚,大小约 1.7 cmX1.2 cm,图 B、C 示 T2WI 及压脂轴位呈稍高信号
图 A 示 T1WI 轴位呈低信号,图 D-F 增强明显强化,图 B 示视神经呈推压改变,病灶与肌肉分界清楚
诸序列示双侧眼球对称,大小形态未见明显异常,球内玻璃体、晶状体信号未见异常,眼球均匀光滑,眼外肌无明显增粗
病理诊断:右眼眶肿物切除标本:海绵状血管瘤伴血栓机化再通
海绵状血管瘤(Cavernous hemangioma):因肿瘤内有较大的血管窦腔,呈海绵状而命名。约占眼眶内肿瘤的 4.6%-14.5%,发病年龄平均 38 岁,女性占 52%-70%,多单侧发病,临床表现缺乏特异性,最常见的表现为眼球突出,多为缓慢、渐进性眼球突出,为轴性眼球突出,且不受体位影响,发生于眼眶尖者早期出现视力减退,肿瘤较大时,可引起眼球运动障碍,大标本肿瘤呈类圆形,有完整纤维包膜,切面观见许多血窦,直径可达 1 mm,内由扁平的内皮细胞覆衬,间质为不等量的纤维细胞。影像学有良性肿瘤的一般征象,不侵犯邻近组织,增强有特征性「渐进性强化」表现
颈内动脉海绵窦瘘
简要病史:女,58 岁,突发剧烈头痛 4 天。

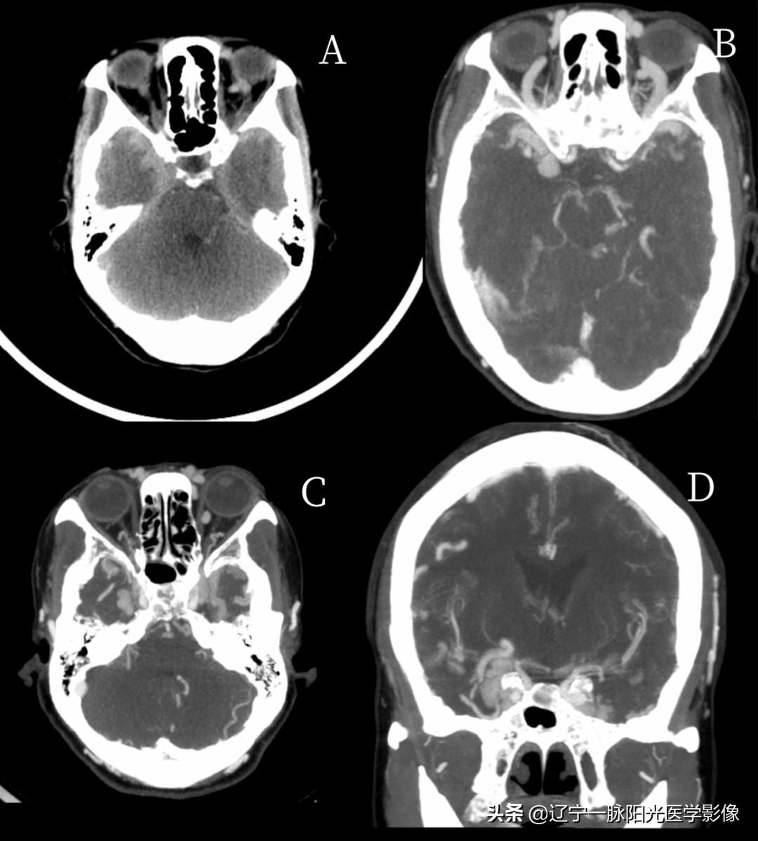
影像所见:
图 A 平扫轴位示双侧海绵窦区见斑片状高密度影
图 B 增强轴位示双侧眼静脉增粗,密度增高
图 C、D 增强轴位示矢状位示海绵窦提前显影,双侧海绵窦呈蚓状、迂曲状增粗,双侧眼静脉扩张增粗
最终诊断:双侧颈内动脉-海绵窦瘘
颈内动脉海绵窦瘘(carotid-cavernous,CCF):一般指海绵窦段的颈内动脉本身或其在海绵窦内的分支破裂,与海绵窦之间形成异常的动静脉沟通
多由外伤引起,临床表现有波动性突眼、患侧眼眶、额部、颞部、耳后血管杂音、球结膜水肿和充血、眼球运动障碍、视力减退以及神经系统功能障碍和蛛网膜下腔出现等
影像征象上眼上静脉增粗和海绵窦扩大,DSA 直接显示瘘口,结合病史,可以明确诊断
骨瘤
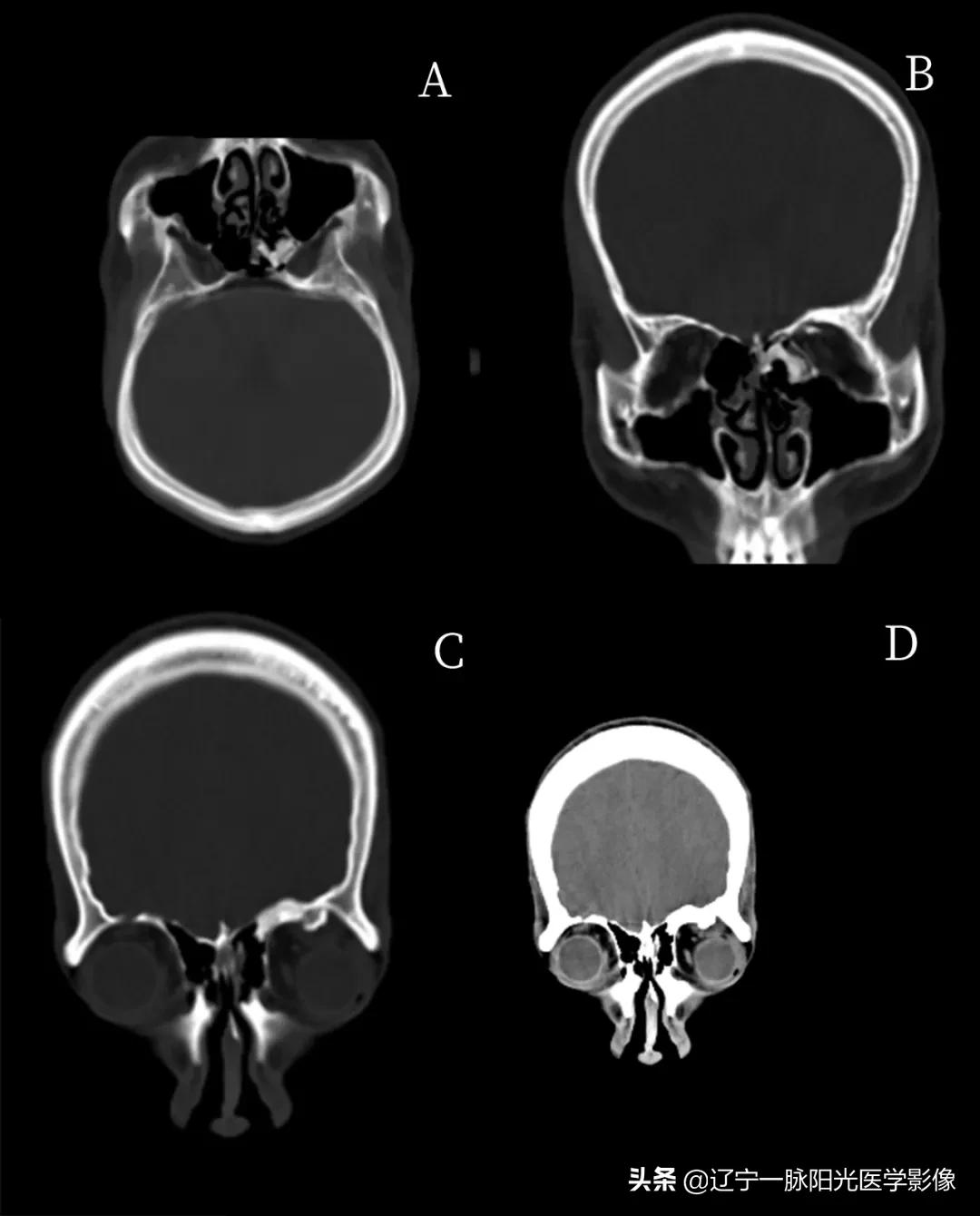
简要病史:男,34 岁,发现左眼球突出 1 年。

影像所见:
图 A、B 左侧筛窦外侧壁骨质不规则增厚,密度增高
图 C 示左侧眼眶上壁见向腔内突出的骨性密度影
图 D 冠状位软组织窗示左侧眼上直肌受骨样密度影压迫伴增粗,左侧眼球向前稍突出
最终诊断:左侧筛窦及左眼眶上壁骨瘤伴左眼上直肌受压、左眼球突出
骨瘤(osteoma):为起源于膜内成骨的良性骨肿瘤,好发于颅骨和面骨等部位,以鼻旁窦腔多见
病理为仅含骨组织的肿瘤,据其密度差别可分为致密型、松质型和混合型,致密型骨瘤呈象牙质样密度,看不到骨质结构,而松质型密度不高,可见骨小梁,一般呈半球状或扁平状,起于鼻窦腔者多为致密型,可引起头痛及鼻旁窦炎,近眶者可引起头痛及鼻旁窦炎
CT 像上致密骨瘤显示隆起,外壁光滑,颅骨骨瘤基底宽广,呈波状。位内板者则内板增厚,骨密度均匀增高
骨纤维异常增殖症 FD
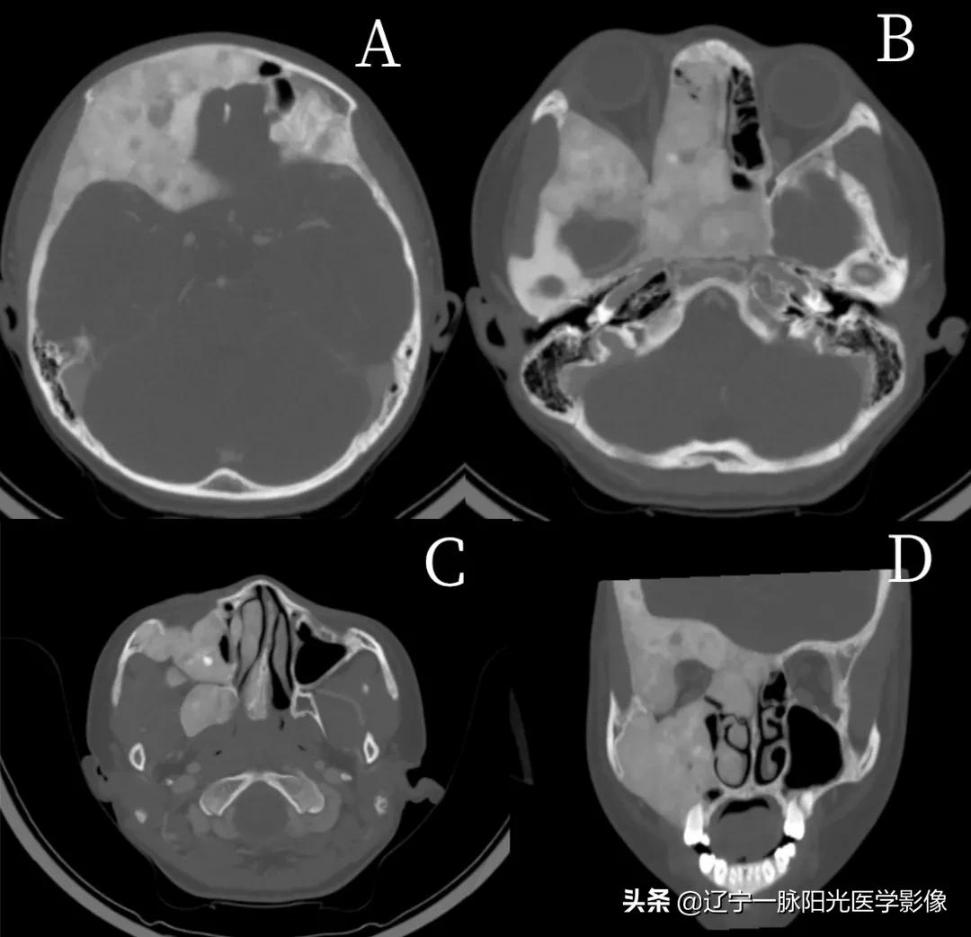
简要病史:男,13 岁,右颧骨、面颊部缓慢肿胀 6 年

影像所见:
图 A-D 轴位及冠状位示右侧上颌窦、右侧筛窦、右侧颧骨、额骨右侧及颅底部分骨质密度一致性增高,呈磨玻璃样改变,其内见棉花团样密度增高影及小囊状透光区;右眼眶变形,右侧眼球前凸
最终诊断:右侧颌面骨骨纤维结构不良
骨纤维结构不良为纤维骨性病变,又名骨纤维异常增殖症,其特征为正常的骨层状松质骨由异常的纤维组织所取代,这种组织内含有由纤维基质化生形成的未成熟编织骨构成的小的异常排列的骨小梁,骨破坏性病变和骨形成同时存在
根据新生骨小梁分化成熟程度及纤维成分与新生骨相互比列不同,其影像学表现各异,病灶主要为纤维组织者长表现为囊状透亮区,主要为砂粒样钙化新生骨者常呈毛玻璃状,新生骨钙化较多时则表现为象牙质状增白区
全身骨骼均可发病,以四肢长骨居多,脊柱和盆腔相对较少,30% 累及颅面骨,发病无年龄差异,CT 检查一般能明确诊断
眼眶骨肉瘤
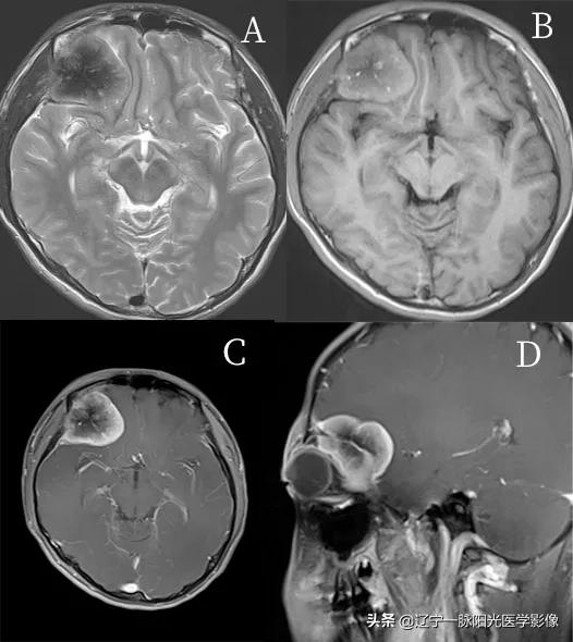
简要病史:男,17 岁,右侧眼球突出 1 月余,头晕、头痛 1 周。

影像所见:
右眼肌椎外上方见团块状异常信号影,边界尚清,范围约 5.0 cm×3.8 cm×3.2 cm,内部信号欠均匀
图 B 轴位 T1WI 信号介于脑白质与脑灰质,内可见斑点状高信号,图 A 轴位 T2WI 等低信号,内部低信号,水抑制低信号
图 C、D 增强后病灶明显强化,不均匀,邻近脑膜可见强化;右侧上斜肌及外直肌增粗,并受压移位,右眼球受压突出眼眶,右额叶呈弧形推压,边界清楚
最终病理诊断:骨母细胞瘤样骨肉瘤
骨肉瘤(osteosarcoma)是瘤细胞能直接形成骨样组织或骨质的恶性肿瘤,其恶性程度高,是国内最常见的骨恶性肿瘤
原发性骨肉瘤多见于男性,好发年龄为 11 岁 ~20 岁,肿瘤可发生于任何部分,好发于长骨干骺端,尤其示股骨远端和胫骨近端最多见