
颅脑中线结构异常主要包括大脑镰、透明隔、胼胝体、第三脑室、第四脑室、小脑蚓部、后颅窝等机构的异常,常与染色体异常或遗传综合征有关,并引起严重的颅面部畸形。
一、中线结构的超声检查
胎儿脑部超声检查显示和需要辨认的结构复杂、细微。常规超声检查显示的胎头横断面,包括经丘脑平面、经脑室平面及经小脑平面等可显示上述中线结构;胎头冠状平面从前向后可显示大脑镰、胼胝体、透明隔、左右侧脑室及脉络丛、小脑及蚓部、后颅窝池等。
胎头矢状面包括正中矢状面和正中旁矢状面。正中矢状面检查从前上方至后下方所显示的中线结构包括胼胝体、透明隔、第三脑室及脉络丛、第四脑室、小脑蚓部和后颅窝池等;正中旁矢状面可以显示侧脑室及其内部的脉络丛等。
中期妊娠三维重建对显示胎头中线结构更为有利。
二、全前脑
全前脑(HPE)是严重的脑部畸形,又称前脑无裂畸形, 包括脑半球未完全分开及间脑结构形成。发生率可高达1/250次妊娠,在活产中发生率为1/10000。单发、散发畸形病例多无染色体异常;常见的染色体异常包括三体、单体或其他染色体结构异常,其中13-三体中有60%发生HPE,而HPE中有20%患有13-三体;家族性HEP病例可与多与基因异常及母体患糖尿病、酗酒等有关,也有部分畸形儿合并某些相关综合征。
HPE由妊娠4~8周前脑未分裂成两侧大脑半球和侧脑室导致不同程度的HPE;视泡分裂异常导致眼和眼眶的异常,颜面部中线结构发育异常由于颅骨中线软骨诱导发育异常引起。有报道认为合并的畸形或异常越多染色体异常机会就越高。根据前脑的分裂程度的差异, HPE分为前脑无叶无裂畸形、半叶性前脑无裂畸形及叶性前脑无裂畸形三型。

图1全前脑畸形分型示意图(D:正常脑结构)
(一)前脑无叶无裂畸形
前脑无叶无裂畸形(图1A)是三种类型中最严重的一种。
1.解剖特点 大脑小于正常,大脑半球间裂隙、大脑镰及胼胝体完全缺失,仅有单一的原始脑室,丘脑在中间融合,没有第三脑室、神经垂体及嗅球和嗅觉通路。脑室顶部的脉络组织在发育过程中旋转障碍,不能卷入脑实质中,在脑组织表面和颅骨之间形成囊肿,称为“背侧囊肿”,除无叶HEP畸形外,“背侧囊肿”还可见于半叶HEP畸形。
2.超声检查 小头、单一脑室、无第三脑室、无透明隔、无胼胝体、无脑中线、丘脑窄小、融合等为本型超声检查特点。头型为短头状,单一的脑室常常是发现前脑无叶无裂畸形的线索。脑室腔左右相通,缺乏中线结构回声或显示不完整的中线样回声,脑组织可呈现盘状、杯状和球状。严重时颅内回声紊乱导致颅内结构的辨认困难。“背侧囊肿”显示为颅盖与大脑皮层之间的囊状无回声,脑内旋越差,背侧囊肿越大,脑皮质组织就越少。伴发的面部结构异常包括眼间距过小,严重者独眼,有时见两个眼球紧靠在一起位于一个眼眶中;无鼻、单鼻孔或者喙鼻(图2);中央性唇裂或同时伴发腭裂。

图2无叶全前脑畸形
(二)半叶HEP畸形
1.解剖特点 半叶HEP畸形(图1B)指前脑后侧部分分裂,有两个部分分离或全部分离的大脑半球,但是只有一个单一的脑室腔,左右相通,后角形成并分成两个,丘脑部分融合,透明隔消失;通常大脑半球在枕部是分离的。
2.超声检查 颅前部单一脑室腔、侧脑室后角可形成并显示、无第三脑室、无透明隔腔、无胼胝体、有部分脑中线回声及丘脑部分融合为本型超声检查特点。半叶前脑无裂畸形的声像图与前脑无叶无裂畸形相似, 但丘脑为不完全融合, 有时可见到部分中线结构。也可显示不同程度的面部畸形。
(三)叶性前脑无裂畸形
1.解剖特点 叶性前脑无裂畸形(图1C)指大脑半球裂隙在前方和后方形成良好,但是扣带回及侧脑室有不同程度的融合,透明隔缺失。
2.超声检查 叶性前脑无裂畸形是三种类型前脑无裂中最轻微的一种,产前超声容易漏诊。主要的超声检查可以发现无透明隔腔,侧脑室前角融合,体部及后角可能扩张;侧脑室前角与第三脑室之间交通扩张,胼胝体可能发育不良、缺失,也可存在,大脑半球几乎完全分开,可有部分脑中线。叶状HEP往往无明显面部改变。
(四)鉴别诊断
HEP畸形主要的鉴别诊断是积水性脑部畸形和单纯胼胝体发育不良等。
1.水脑畸形 水脑畸形超声显像检查显示为头颅内巨大无回声区,但有时可以显示大脑镰在无回声区内飘动,颅底多可显示发育不全的脑组织,面部一般无明显畸形。
2.严重脑积水 以脑室扩张为基础,脑室扩大,脑组织受压变薄,脑中线可见显示,有时漂浮于脑脊液中,第三脑室和第四脑室扩张,丘脑可被扩大的第三脑室分开,透明隔有时显示不清,头颅常增大;也没有面部发育异常。
3.胼胝体缺失 需要与叶状HEP鉴别。胼胝体缺失透明隔也不可见,但是胼胝体缺失时第三脑室前移,侧脑室呈“泪滴状”,侧脑室平行,侧脑室前角狭窄并向两侧分开,而叶状HEP的侧脑室前角融合。
三、胼胝体发育不全
胼胝体发育不全(ACC)分为完全型胼胝体缺失(TACC)、部分型胼胝体发育不良(PACC)。前者指整个胼胝体缺失,多为胚胎早期胼胝体发育停滞引起。后者指胼胝体形态失常、短小、部分胼胝体未发育等,通常是胼胝体压部缺如,多为胚胎稍晚期受外界影响致使胼胝体发育停滞引起。胼胝体发育不良指胼胝体形态正常,长度正常,但是胼胝体厚度比正常胼胝体薄,由于孕晚期胼胝体发育完成后受到炎症或者缺血影响,使得发育完成的胼胝体萎缩所致。
根据胼胝体发育异常是否合并其他畸形可分为单纯型胼胝体发育不良(IACC)和复杂型胼胝体发育不良(CACC),80%以上CACC合并其他部位的畸形,20%合并有染色体异常,常合并前脑无裂畸形、Dandy-Walker综合征、Andermann综合征、Aicardi综合征、Apert综合征、三体综合征以及其他多种畸形及综合征等。
在人群中ACC发生率为0.3‰~7‰,但在精神发育迟缓人群中的检出率高达2%~3%。
发病原因通常是宫内胎儿感染和致畸物质的接触,感染因素男性占优势。
(一)超声检查
尽管ACC在胚胎第6周胼胝体发育时就已经形成,但完整的胼胝体要到孕20周以后才形成,此后继续发育变长、变宽、变厚,直至足月。因此,对超声医生而言,ACC的诊断是一个挑战。
胼胝体缺失的直接征象为透明隔回声消失、泪滴状侧脑室及第三脑室抬高,谓之胼胝体缺失胎头横切面检查的三大征象。矢状切面上薄带状的低回声区消失,或冠状切面上侧脑室前角间的低回声区消失。
胎头横切面上不能直接显示胼胝体,显示以下间接征象则提示为胼胝体缺失。
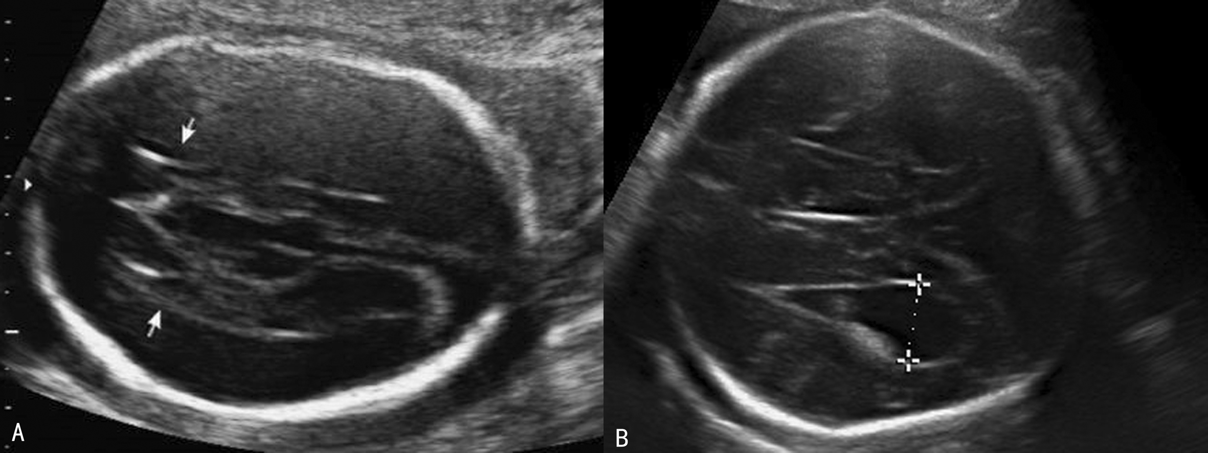
1. 侧脑室前角及侧脑室体部偏离中线,向外侧展开,侧脑室前角变窄呈尖角峰状,形成“公牛角征”(图3A)。双侧脑室呈平行状,侧脑室后角扩张,与变窄的前角一起呈现“泪滴状”(图3B)。

图3胼胝体缺失脑室变化
2. 透明隔腔消失(图4)。
3. 第三脑室扩张前移,第三脑室在脑中线区域呈囊性扩张的结构(图18-28)。

图4胼胝体缺失透明隔强消失
4.两侧端脑内侧缘间距增宽(三线征)。
5.矢状切面上:半环状胼周动脉走行缺失、扣带回走行杂乱。
部分ACC时超声检查可以显示胼周动脉半环状走行在胼胝体缺如处消失,而沿缺如处径直向上走行,有些超声表现为透明隔腔变小或消失。
三维超声检查第三切面的获得及其三维重建的优势,可以显示胼胝体的整体形态,并且对小脑蚓部、小脑延髓池、第四脑室等颅脑异常检查均具有良好的显示效果,较二维超声检查有明显的优势。
(二)鉴别诊断
1.ACC有侧脑室的扩张需要与单纯侧脑室扩张鉴别,单纯脑室扩张透明隔腔正常,侧脑室伴或不伴第三脑室扩张,但是没有第三脑室上移。彩色多普勒显示胼周动脉走行正常。
2.ACC第三脑室扩张呈囊性,需要与中线位置的颅内囊性占位性病变鉴别,如脑中线处的蛛网膜囊肿、孔洞脑及透明隔腔宽大等。蛛网膜囊肿压迫颅内结构,可以造成脑室系统扩张,但是扩张的脑室系统形态正常;透明隔宽大不合并侧脑室扩张。
ACC可导致大脑间信息连接失调、神经精神病学失调等临床症状。单纯型胼胝体缺失预后较好,有些可以达到智商完全正常,而复杂型胼胝体缺失预后较差,预后取决于合并畸形的严重程度。单纯型胼胝体缺失的胎儿中部分型ACC比完全型ACC的胎儿预后好,智力及精神发育等方面均优于完全型ACC的胎儿。但也有研究者报道单纯型ACC的胎儿预后与发育不全类型并无关系。