“无精症”患者有了亲生女儿
要一个孩子
对他竟然成了最大的奢望
因为,他是一位“无精症”患者
曾经他只有两个选择
领养一个
或,用别人的精子孕育个试管婴儿
而前几天
他却有了一个女儿,亲生的

无精症患者“绝处逢生”
俗话说,不相忘,挚情为大。年轻夫妇共浴爱河、迈进婚姻殿堂后,紧接着,就是孕育爱情的结晶,让双方老人同享含饴弄孙的天伦之乐。
这看似再自然不过的过程,在有些人身上,却因为这样那样的原因无法实现。
比如,女性患了多囊卵巢综合征不排卵、月经周期不调、子宫输卵管炎症、输卵管不通等。

男性患了少精症、精子畸形太多与活力不足、前列腺炎症、输精管不通等,都可能影响到自然怀孕的过程。
在众多的不孕症原因中,有一种疾病,过去被判断为生育的“绝症”,那就是男性的“无精症”。无精症患者,*丸睾**不会产生精子。

曾经,如果他们想有个自己的孩子,要么去领养一个,要么采用供者(其他人)的精子做试管婴儿,来拥有自己的孩子。
一年前,河南省生殖医院引进了一项新技术 :*丸睾**切开显微取精技术,属于国际先进水平。
许先生是河南首个受益于这项技术的无精症患者。
19岁时,许先生有过腮腺炎合并*丸睾**炎病史。结婚后,妻子多年未孕。经多次检查,许先生精液里都没有发现精子。河南省生殖医院生殖男科主任、副主任医师郭海彬综合考虑各方面因素,建议许先生行显微镜下*丸睾**取精术。

几天前,他的女儿呱呱坠地,小家伙是河南第一例通过显微取精受孕的宝宝。新生儿一半是她母亲的遗传基因,一半是她父亲的基因,重六斤六两,哭声嘹亮,身体健康。
无精症患者也能拥有自己的亲生孩子,许先生的感受无异于“绝处逢生”。
2
还原神奇的显微取精过程
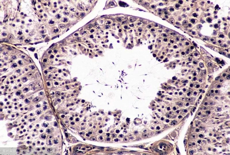
显微镜下*丸睾**取精术是针对非梗阻性无精子症的一种外科手术,以微创、精细、显微为特点,借助先进的手术显微镜和精密的显微手术器械完成,是目前世界范围内治疗非梗阻性无精子症的终极手段。
到底显微取精有啥神奇之处呢?让我们来还原一下过程。
首先,河南省生殖医院男科医生团队的医生们,在手术室将患者的*丸睾**切开,在显微镜下寻找正常的精子。

正常男性每次射精都有数以亿计的精子排出,那*丸睾**曲精小管(图称生精小管)内的精子更是不计其数。可是,到了无精症患者身上,显微镜下,医生们在切开的*丸睾**内寻找的时候,那精子就像是茫茫沙漠里的一棵小草幼苗,又像海底的一枚缝衣针,太考验人的耐心和眼力劲儿了。
往往,医生们要花几个小时的时间,才找到几个能用的精子。
通过手术,医生成功在许先生*丸睾**内找到十余条精子,并偶见活动精子。

有了宝贵的精子,还需要生殖医院的其他团队,给许先生的妻子做促排卵和取卵。然后,再小心翼翼地让那些来之不易的宝贝精子和卵子在体外融合,培育成胚胎,再在合适的时间移植到患者妻子的子宫。
如果着床成功,医院其他各个部门还需要通力配合,做好孕检和保胎工作。

医学技术创奇迹,加上功夫不负有心人。许先生和妻子终于在河南省生殖医院心想事成,实现了为人父母的人生渴盼。目前,医院已经完成近百台显微取精手术。
--------------------------------------------------
专家建议
河南省生殖医院院长张翠莲建议,无精子症患者不要放弃治疗,药物治疗、手术治疗、辅助生殖技术都是可以选择的助孕方式。
目前针对非梗阻性无精子症包括克氏征等,推荐行备供精同步显微取精取卵助孕方式治疗,即在女方取卵的当天或者前一天男方行显微取精手术,保存在实验室备用,不需经历冻融过程,女方取卵后直接行卵细胞浆内单精子注射。即使显微手术找不到精子,也可以启用供精,保证女方的卵子有精子可用。
我是省医人,我愿为您服务!
河南省人民医院官方*今条头日**号
-总第37期-