今天一共确诊3位肺癌病人,很可惜,都是晚期、扩散了,具体还能活多久暂时还不好说,要看肿瘤的病理类型和治疗敏感度,还有家里人的意愿。
尤为难堪的是,只有一位病人是肺部的咳嗽症状来看病,其他两位根本没想到会查出肺癌,还是晚期。我们下面看看这几个病例特点,希望对某些朋友有用。
病例1,吞咽困难,不能吃硬饭的老人

这是一位76岁老人,吞咽困难2个月,越来越严重,这5天只能喝点稀饭牛奶了,担心是食管癌,结果听诊右肺呼吸音很低,医生建议做肺部CT看看。
右侧肺癌,9.2cm的大肿块,把食管挤扁到一边,只剩下一条很窄的缝隙(红色箭头所指就是食管),饭团都咽不下去了……
很遗憾,老人之前没有明显咳嗽症状,只是偶尔有一点胸闷,很多老人勤劳朴实,善于忍耐,结果就拖太久了……
这个已经无法手术,只能采用一些方法让肿瘤缩小,改善症状,解决吃饭问题,长期疗效恐怕不乐观。
中老年人要重视吞咽困难的症状,这是很多早期食管癌患者的症状,如果短期反复出现,要及时挂消化科看一下,不要把小病拖严重。像这位老人因为肺癌引起吞咽困难,是比较少见的。
病例2,左边肩膀疼,怀疑肩周炎的老人

这位老人82岁,女性,抽烟65年,每年3斤。左边肩背部疼痛3个月,以为是上了年纪,颈椎病肩周炎了,开始吃点止疼药能缓解,最近十多天疼得厉害了。
肺部CT发现左侧肺癌,7.8×6.6cm大小的肿瘤,她的肩周炎症状是癌细胞破坏胸膜和胸椎造成的,晚期了……
贴近胸膜的早期肺癌,或者肿瘤较大侵犯胸壁破坏神经,有时可以出现类似肩周炎的症状,吃止疼药可以缓解。但对于中老年人近期出现的肩背痛,不建议自行购买舒筋活络的止疼药胡乱对付,尽量挂骨科先看看,简单排查一下早期肿瘤再对症治疗。
病例3,咳嗽、憋气1个月

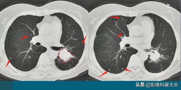
这位病人才61岁,咳嗽1个月,伴有喘息和憋气,肺部CT发现左侧中心型肺癌,3.6×2.6cm,不算大,却已经无法切除了,因为双肺见到十多个像黄豆大小的转移瘤,晚期了……
这位病人的生存期,相对比较乐观!如果基因检测阳性,通过靶向治疗为主的综合治疗,还有机会生存3年以上,甚至10年!
豪大夫不是吹牛,很多晚期肺癌病人都在创造和延续奇迹!今天还有一位复查的病人,3年半前确诊为肺癌晚期,双肺一百多个转移瘤和多发骨转移:

这位病人67岁,男性,因为咳嗽、胸痛做肺部CT,右上肺癌3.1cm,边缘有毛刺。因为肿瘤贴近胸膜,癌细胞沿着胸膜脉管系统(主要是淋巴系统)快速播散,像种子一样在双肺生根发芽,长出100多个转移瘤,还有胸椎、肋骨的多发骨转移,已经无法手术。
后来穿刺证实为低分化肺腺癌,基因检测阳性。他采用靶向治疗为主的综合治疗,吃了两年吉非替尼,定期服用双膦酸盐药物控制骨转移,辅助应用一下调理免疫的药物,从今年开始更换新的靶向药物,目前控制比较理想:

晚期癌症病人的治疗费用不算低,很多时候是用钱续命。有的人有药,买不起;有的人有钱,没有药了(靶向药存在耐药期,长短不一,幸运的人可以5年以上不耐药,不幸的可能只维持几个月就需要换药),这方面还需要更多的研发,找到更多的靶点或者新的方法,让更多的病人有药可用!
还有更需要的温情,让更多的特效药纳入医保,为肿瘤病人续命!

我是影像科豪大夫,分享小病例,传递正能量,欢迎关注!
#清风计划# #健康真探社#