
一、羊水异常的超声显像检查
(一)羊水过少
妊娠晚期羊水量少于300ml时称为羊水过少。有研究者以羊水量<200 ml或<500 ml时诊断为羊水过少,或以羊水量低于同孕龄的第5百分位时为羊水过少。早期和中期妊娠羊水过少时多以流产结束妊娠,晚期羊水过少时多可影响胎儿的发育,甚至引起胎儿IUGR,严重时可危及胎儿生命。晚期妊娠羊水过少的发生率约为0.5%~5.5%,破膜后常可发现羊水呈黏稠状、暗绿色,浑浊。
羊水过少的原因尚未完全明了。在临床上,胎儿畸形(如胎儿先天性肾脏缺如、肾脏发育不全、输尿管或尿道畸形等)、过期妊娠、胎儿宫内生长迟缓、羊膜病变、早破膜等均会引起羊水过少。
超声显像检查尚无准确的方法对羊水进行定量计算,但对于有经验的超声检查医生或明显羊水过少时通过对胎体周围羊水的观察做出羊水过少的评估并不困难(图1);超声显像检查对羊水过少的定量分析标准尚无一致的意见。以下几种不同的方法有可能对不同妊娠期的羊水过少进行评价。
1.早期妊娠 尽管妊娠囊内径与羊水量有一定关系,但并不能很好地反映孕龄,也不推荐以妊娠囊内经的大小对羊水过少做出预测。
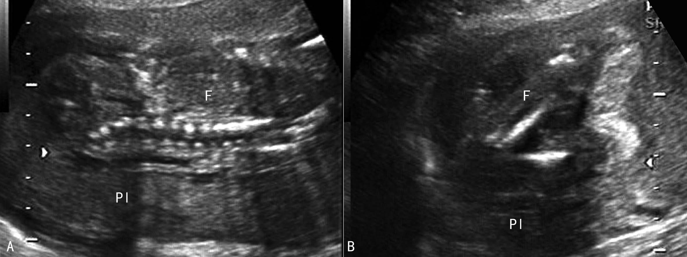
2.中晚期妊娠 比较常用的是测量羊水池内径,当羊水池内径小于3cm时考虑有羊水过少(图1)。一般认为,2cm<羊水池内径<3cm时为轻度羊水过少,1cm<羊水池内径<2cm时为中度羊水过少,<1cm时为重度羊水过少;利用羊水指数评价羊水过少时,羊水指数≤5cm时可诊断为羊水过少,5.1~8cm时为低羊水量或可疑羊水过少(图2)。
3.早破膜 超声显像检查显示羊水不同程度减少,并且随着破膜时间的延长羊水呈进行性减少,前羊膜囊消失,结合临床病史可诊断为胎膜早破、羊水过少。

图1羊水过少声像图

图2 羊水指数评价羊水过少
发生在妊娠不同时期的羊水过少,对胎儿的影响可有较大的差异。妊娠早期羊水过少时常可发生胎体胎膜粘连,影响胎儿发育而引起胎儿畸形;妊娠中晚期羊水过少时常影响胎儿肌肉、骨骼和肺的发育;压迫脐带可加重胎儿缺氧;严重的肾发育不良、羊水过少可以引起羊水过少序列征,即Potter综合征(胎儿肺发育不良、扁平鼻、耳廓大、铲形手、弓形腿等)。
晚期妊娠羊水过少是胎儿危险的重要信号,常预示着围产儿的发病率和死亡率明显增加。与正常妊娠比较,严重羊水过少的围产儿死亡率要高出47倍。有研究者在比较羊水指数法评价羊水过少和羊水池法评价羊水过少后认为,羊水指数法并无明显优势。
(二)羊水过多
正常妊娠时羊水量随孕周的增加而增加,至第36~38孕周时开始减少。足月妊娠时羊水量正常在800~1200ml。凡在妊娠任何时期内羊水量超过2000ml、或超过同孕龄的第95或97百分位者称为羊水过多,最高有报道达到20000ml者。多数羊水过多是在妊娠过程中缓慢形成的,称为慢性羊水过多;在数日内急性增加引起的羊水过多称为急性羊水过多。羊水过多的发生率约为0.2%~2%。
羊水过多的原因不甚清楚。任何可以引起羊水产生增加或排出减少的情况均可以引起羊水过多。大约有30%的羊水过多不能发现任何原因,临床上常称为特发性羊水过多。已经发现,中枢神经系统开放性畸形、消化道畸形、骨骼发育异常和染色体异常等也可引起羊水过多,如18-三体、21-三体、13-三体等;胎儿水肿、巨胎盘、胎盘肿瘤、脐带帆状附着等也可合并羊水过多。多胎妊娠、孕妇(糖尿病、妊娠高血压综合征、急性肝炎、严重贫血等)及胎儿的某些疾病可合并羊水过多。
急性羊水增多多发生在妊娠第20~24周。羊水可在数日内迅速增加;子宫腔的过度增大可因孕妇腹部严重撑胀而引起孕妇的痛苦、进食减少、行走不便,膈肌上抬可引起呼吸困难,不能平卧,甚至出现发绀、端坐呼吸,压迫下腔静脉回流时可以引起下肢和会阴部水肿。由于发生较急,羊水量增加不甚多即可引起明显的临床表现,多可引起不良的妊娠结局。
大多数羊水过多表现为慢性发病过程,羊水可在数周,甚至更长的时间内缓慢形成,孕妇多已适应而不出现明显的症状。腹部检查可以发现腹部膨隆,宫底升高,腹壁及子宫张力明显增加,胎体不清,胎心遥远、低钝或不能听清。
由于超声显像检查不能准确地判断羊水量,在羊水量增多的早期多不能作出诊断。如果有可能对羊膜腔的容积进行测量,以羊膜腔容积减去胎儿体积(胎体比重可按人体软组织平均密度1.016 计算),即可获得羊水的体积,据此可以对不同妊娠期的羊水过多作出比较准确的判断。
中晚期妊娠中可以采用以下方法对羊水过多进行评价。
1.四象限法 四分之一象限中无胎体回声则为可疑羊水过多,两个象限中缺少胎体回声时可诊断羊水过多。采取这种方法,可预防羊水过多由于测值达不到标准而漏诊,尤其适用于中期妊娠中对羊水过多的评价。笔者在中期妊娠中以此种方法预测中期妊娠的羊水过多,阳性率88.5%,敏感性90.3%。
2.羊水池测量 测量方法同上。当羊水池不包含有胎儿肢体的最大无回声区内径>8cm时即应警惕有羊水过多,>10cm则肯定有羊水过多(图3A)。
3.羊水指数 测量方法同上。当羊水指数≥18cm时可考虑羊水过多(图3B)。
以AFI诊断羊水过多的界限值多集中在18cm、20cm、24cm等。
根据羊水池深部及AFI可以对羊水过多进行分度。羊水池深度8~<12cm、AFI 25~30时为轻度羊水过多,羊水池深度12~<16cm、AFI 30.1~35cm时为中度羊水过多,羊水池深度>16cm以上、AFI>35.1cm时为重度羊水过多。

图3羊水过多声像图
超声显像发现羊水过多时,应仔细检查胎儿头部、脊柱和胎儿体内器官有无异常回声存在,观察胎盘、脐带,必要时进行羊膜腔造影和羊水染色体核型分析,羊水和母血AFP测定和孕妇尿雌激素/肌酐比值(E/C)测定等,以确定或排除可能合并的异常。
二、胎膜异常超声检查
羊膜带综合征(ABS)是由于羊膜带缠绕或粘连胎儿躯体某一部分引起胎儿变形、畸形或肢体截断的一组综合病征。有研究者将其命名为ADAM复合畸形,即羊膜变形、粘连、肢体残缺复合畸形。ABS发生率为1/1300~1/15000活产儿,如果包括不能存活的胎儿,其发生率要高得多。在妊娠早期,羊膜带可能是造成自然流产和浸软胎儿的常见原因,部分羊膜带并末引起胎儿异常而常常漏诊。羊膜黏附、缠绕或切割可以引起一系列复杂、稀奇古怪的多发畸形,常见的胎儿畸形有多发性、不对称性肢体缺损、颅面缺损、脏器缺损、裂损、脊柱侧凸等,多为散在性发病,大多数畸形儿无家族史。
(一)病因
一般认为ABS是由于妊娠早期羊膜囊破裂而造成的,部分病人有妊娠早期阴道流水、流血、机械性创伤、羊膜腔穿刺操作等病史支持此成因的存在。在致病因素的作用下羊膜囊破裂与绒毛膜分离,在脐带周围和羊膜腔内形成纤维带状结构,形成羊膜索或羊膜带。羊膜索或羊膜带可以缠绕、黏附甚至嵌入胎体组织内;或者羊膜破裂,羊水由破裂处进入羊膜与绒毛膜之间,胎体的某一部分进入羊膜与绒毛膜之间的腔隙,与羊膜或绒毛膜粘连,引起其远端肢体的缺血、水肿、发育障碍,甚至被切断、吸收,形成畸形。由于羊膜破裂后裸露的绒毛膜对羊水的吸收作用,常可发生短暂的羊水过少,严重的羊水过少可以引起宫腔缩小,胎儿因受压而导致脊柱的畸形发育,或影响胎儿肺部的正常发育,引起胎儿死亡。有一些畸形是源于ABS还是与ABS并存尚不清楚,如全前脑畸形、小脑发育不良或异位、心脏及肾脏畸形等。
(二)临床特征与诊断
ABS多以胎体的不同部分、不同程度的非对称性、多发性畸形为特征性临床表现。畸形主要发生在胎体的末端和突出的部分,如四肢远端、头端、躯干表面等。
极少数胎儿可以合并脊柱和内脏的发育异常。在畸形的部位有时可以发现羊膜带,或胎体与胎膜粘连。流产、早产,围产儿死亡等的发生率多较高。
根据以上临床发现,诊断本病多无疑问。如果发现畸形部位有羊膜带存在,或胎膜仅有裸露的绒毛膜,其上有纤维带散出或病理检查绒毛膜上有胎儿组织肉芽肿,均有助于本病的诊断。尽管常有多发性畸形存在,染色体检查几乎均无异常发现。
(三)超声显像
羊膜腔内可见不规则单条或多条索带状回声连于羊膜腔的不同部位,或连于羊膜腔的一侧壁和胎体的某一部位,胎体位置固定,活动受限(图4)。追踪扫查可以不同的畸形。几乎所有的病例均显示为多发的、非系统性的畸形。主要畸形可分为三类:肢体异常,颅面畸形,躯干异常。肢体异常可显示为多种不对称性畸形,如多指(趾)、并指(趾)、指(趾)缺失、肢体纵裂、收缩环,离断等(图5);颅面畸形包括颅骨缺损、脑组织膨出和缺损、颅裂、无脑、颅骨无钙化或钙化不全,并常可发生面裂、额裂、唇腭裂、颌裂、耳裂等。常见的躯干畸形包括内脏异常、脐膨出、腹裂、缩复环等。

图4羊膜索带声像图

图5新生儿肢体缺失
羊水显示过少、过多均有可能出现,也可能无明显异常。
实时三维超声显像检查可以更好地显示胎儿的三维空间结构,更有利于显示胎儿活动或活动受限、多发的畸形及其与羊膜带的关系。
(四)超声显像检查意义
羊膜带综合征的发病均属于偶然性,对母儿危害较大。防止孕期创伤、避免不必要的羊膜腔穿刺可能对预防本病有一定的意义。仔细的超声显像检查和对胎儿每一个部位的追踪扫查可以避免本病的误诊和漏诊,对预防羊膜带综合征患儿的出生有重要的意义。